JavaScript is disabled in your browser. Please enable JavaScript to view this website.
AB217532

Anti-ABCB11/BSEP antibody

Be the first to review this product! Submit a review

|

(3 Publications)

Rabbit Polyclonal ABCB11/BSEP antibody. Suitable for IHC-P and reacts with Rat, Human samples. Cited in 3 publications. Immunogen corresponding to Synthetic Peptide within Mouse Abcb11 aa 1-50 conjugated to Keyhole Limpet Haemocyanin.

View Alternative Names

BSEP, ABCB11, Bile salt export pump, ATP-binding cassette sub-family B member 11

2 Images
Immunohistochemistry (Formalin/PFA-fixed paraffin-embedded sections) - Anti-ABCB11/BSEP antibody (AB217532)
  • IHC-P

Supplier Data

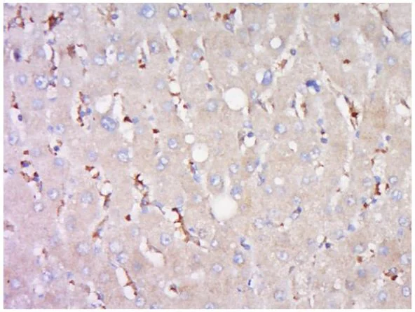
Immunohistochemistry (Formalin/PFA-fixed paraffin-embedded sections) - Anti-ABCB11/BSEP antibody (AB217532)

Immunohistochemical analysis of paraformaldehyde-fixed, paraffin-embedded human liver carcinoma tissue labeling ABCB11/BSEP with ab217532 at 1/500 dilution overnight at 4°C, followed by a conjugated secondary antibody for 90 minutes and DAB staining.

Antigen retrieval by boiling in sodium citrate buffer (pH 6) for 15 minutes; Block endogenous peroxidase by 3% hydrogen peroxide for 30 minutes; Blocking buffer (normal goat serum) at 37°C for 20 minutes.

Immunohistochemistry (Formalin/PFA-fixed paraffin-embedded sections) - Anti-ABCB11/BSEP antibody (AB217532)
  • IHC-P

Supplier Data

Immunohistochemistry (Formalin/PFA-fixed paraffin-embedded sections) - Anti-ABCB11/BSEP antibody (AB217532)

Immunohistochemical analysis of formalin-fixed, paraffin-embedded rat pancreatic tissue labeling ABCB11/BSEP with ab217532 at 1/200 dilution, followed by conjugation to the secondary antibody and DAB staining.

Key facts

Host species

Rabbit

Clonality

Polyclonal

Isotype

IgG

Carrier free

No

Reacts with

Rat, Human

Applications

IHC-P

applications

Immunogen

Synthetic Peptide within Mouse Abcb11 aa 1-50 conjugated to Keyhole Limpet Haemocyanin. The exact immunogen used to generate this antibody is proprietary information.

Q9QY30

Reactivity data

{ "title": "Reactivity Data", "filters": { "stats": ["", "Species", "Dilution Info", "Notes"], "tabs": { "all-applications": {"fullname" : "All Applications", "shortname": "All Applications"}, "IHCP" : {"fullname" : "Immunohistochemistry (Formalin/PFA-fixed paraffin-embedded sections)", "shortname":"IHC-P"} }, "product-promise": { "all": "all", "testedAndGuaranteed": "tested", "guaranteed": "expected", "predicted": "predicted", "notRecommended": "not-recommended" } }, "values": { "Human": { "IHCP-species-checked": "testedAndGuaranteed", "IHCP-species-dilution-info": "1/100 - 1/500", "IHCP-species-notes": "<p></p>" }, "Mouse": { "IHCP-species-checked": "predicted", "IHCP-species-dilution-info": "", "IHCP-species-notes": "" }, "Rat": { "IHCP-species-checked": "testedAndGuaranteed", "IHCP-species-dilution-info": "1/100 - 1/500", "IHCP-species-notes": "<p></p>" } } }

Properties and storage information

Form
Liquid
Purification technique
Affinity purification Protein A
Storage buffer
pH: 7.4 Preservative: 0.02% Proclin 300 Constituents: 50% Glycerol (glycerin, glycerine), 48.98% TBS, 1X, 1% BSA
Shipped at conditions
Blue Ice
Appropriate short-term storage duration
1-2 weeks
Appropriate short-term storage conditions
+4°C
Appropriate long-term storage conditions
-20°C
Aliquoting information
Upon delivery aliquot
Storage information
Avoid freeze / thaw cycle

Supplementary information

This supplementary information is collated from multiple sources and compiled automatically.

ABCB11 also known as BSEP (bile salt export pump) is a protein that functions as an ATP-binding cassette transporter. It is encoded by the ABCB11 gene and has an approximate molecular mass of 160 kDa. BSEP is mainly expressed in the liver specifically on the canalicular membrane of hepatocytes. It facilitates the flow of bile acids from liver cells into the bile canaliculi playing an important role in bile acid homeostasis and detoxification processes within the liver.
Biological function summary

BSEP is essential for the transport of bile acids which are important components of bile necessary for the digestion and absorption of lipids and fat-soluble vitamins in the small intestine. BSEP functions as a homodimer and operates by using energy derived from ATP hydrolysis to export bile acids into bile. Malfunction of BSEP can impact bile flow and lead to severe liver conditions as it is the primary bile acid transporter at the canalicular membrane.

Pathways

BSEP's activity is integral to the enterohepatic circulation of bile acids. It works in conjunction with other transporters such as NTCP (sodium-taurocholate co-transporting polypeptide) and OSTα/β (organic solute transporter alpha-beta). These transporters play roles in the bile acid enterohepatic system contributing to liver-bile-gut circulation. Disruption in BSEP function can alter the FXR (farnesoid X receptor) signaling pathway critical in maintaining the balance of bile acid synthesis and metabolism.

Mutations or functional deficiencies in BSEP are linked to progressive familial intrahepatic cholestasis type 2 (PFIC2) and intrahepatic cholestasis of pregnancy (ICP). These disorders are characterized by impaired bile flow and accumulation of bile acids in the liver. BSEP dysfunction may also interact with other proteins such as MDR3 (multidrug resistance protein 3) which is involved in phospholipid transport and bile formation contributing further to liver pathology.

Product protocols

For this product, it's our understanding that no specific protocols are required. You can visit:

Target data

Catalyzes the transport of the major hydrophobic bile salts, such as taurine and glycine-conjugated cholic acid across the canalicular membrane of hepatocytes in an ATP-dependent manner, therefore participates in hepatic bile acid homeostasis and consequently to lipid homeostasis through regulation of biliary lipid secretion in a bile salts dependent manner (PubMed : 15791618, PubMed : 16332456, PubMed : 18985798, PubMed : 19228692, PubMed : 20010382, PubMed : 20398791, PubMed : 22262466, PubMed : 24711118, PubMed : 29507376, PubMed : 32203132). Transports taurine-conjugated bile salts more rapidly than glycine-conjugated bile salts (PubMed : 16332456). Also transports non-bile acid compounds, such as pravastatin and fexofenadine in an ATP-dependent manner and may be involved in their biliary excretion (PubMed : 15901796, PubMed : 18245269).
See full target information ABCB11

Publications (3)

Recent publications for all applications. Explore the full list and refine your search

International journal of molecular sciences 25: PubMed38791314

2024

Puerarin Modulates Hepatic Farnesoid X Receptor and Gut Microbiota in High-Fat Diet-Induced Obese Mice.

Applications

Unspecified application

Species

Unspecified reactive species

Ching-Wei Yang,Hsuan-Miao Liu,Zi-Yu Chang,Geng-Hao Liu,Hen-Hong Chang,Po-Yu Huang,Tzung-Yan Lee

Cells 8: PubMed30884843

2019

Ursodeoxycholic Acid Regulates Hepatic Energy Homeostasis and White Adipose Tissue Macrophages Polarization in Leptin-Deficiency Obese Mice.

Applications

Unspecified application

Species

Unspecified reactive species

Yu-Sheng Chen,Hsuan-Miao Liu,Tzung-Yan Lee

Molecules (Basel, Switzerland) 23: PubMed30424502

2018

Effects of Red Ginseng Extract on the Pharmacokinetics and Elimination of Methotrexate via Mrp2 Regulation.

Applications

Unspecified application

Species

Unspecified reactive species

Sowon Lee,Mihwa Kwon,Min-Koo Choi,Im-Sook Song
View all publications

Product promise

We are committed to supporting your work with high-quality reagents, and we're here for you every step of the way. In the unlikely event that one of our products does not perform as expected, you're protected by our Product Promise.
For full details, please see our Terms & Conditions

Please note: All products are 'FOR RESEARCH USE ONLY. NOT FOR USE IN DIAGNOSTIC OR THERAPEUTIC PROCEDURES'.

For licensing inquiries, please contact partnerships@abcam.com