JavaScript is disabled in your browser. Please enable JavaScript to view this website.
AB255605

Anti-ABCB11/BSEP antibody [EPR22670-64]

Be the first to review this product! Submit a review

|

(2 Publications)

Rabbit Recombinant Monoclonal ABCB11/BSEP antibody. Suitable for Flow Cyt (Intra), ICC/IF, IHC-P and reacts with Transfected cell line, Human samples. Cited in 2 publications.

View Alternative Names

BSEP, ABCB11, Bile salt export pump, ATP-binding cassette sub-family B member 11

5 Images
Immunohistochemistry (Formalin/PFA-fixed paraffin-embedded sections) - Anti-ABCB11/BSEP antibody [EPR22670-64] (AB255605)
  • IHC-P

Unknown

Immunohistochemistry (Formalin/PFA-fixed paraffin-embedded sections) - Anti-ABCB11/BSEP antibody [EPR22670-64] (AB255605)

Immunohistochemical analysis of paraffin-embedded human hepatocellular carcinoma tissue labeling BSEP with ab255605 at 1/ 500 dilution (1.288μg/ml) followed by a ready to use Goat Anti-Rabbit IgG H&L (HRP). Positive staining in canaliculi of human hepatocellular carcinoma (PMID : 26735860) is observed.

Secondary antibody only control : Used PBS instead of primary antibody, secondary antibody is a ready to use Goat Anti-Rabbit IgG H&L (HRP).

Perform heat mediated antigen retrieval with Tris/EDTA buffer pH 9.0 before commencing with IHC staining protocol.

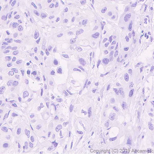
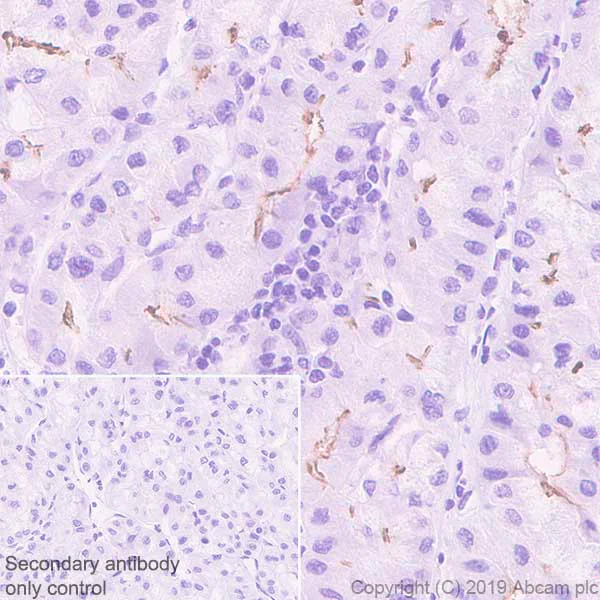
Immunohistochemistry (Formalin/PFA-fixed paraffin-embedded sections) - Anti-ABCB11/BSEP antibody [EPR22670-64] (AB255605)
  • IHC-P

Unknown

Immunohistochemistry (Formalin/PFA-fixed paraffin-embedded sections) - Anti-ABCB11/BSEP antibody [EPR22670-64] (AB255605)

Immunohistochemical analysis of paraffin-embedded human cholangiocarcinomas tissue labeling BSEP with ab255605 at 1/500 dilution (1.288μg/ml) followed by a ready to use Goat Anti-Rabbit IgG H&L (HRP). Negative staining in human cholangiocarcinomas (PMID : 26735860) is observed. Counterstained with hematoxylin. Heat mediated antigen retrieval using ab93684 (Tris/EDTA buffer, pH 9.0).

Secondary antibody only control : Used PBS instead of primary antibody, secondary antibody is a ready to use Goat Anti-Rabbit IgG H&L (HRP).

Immunocytochemistry/ Immunofluorescence - Anti-ABCB11/BSEP antibody [EPR22670-64] (AB255605)
  • ICC/IF

Unknown

Immunocytochemistry/ Immunofluorescence - Anti-ABCB11/BSEP antibody [EPR22670-64] (AB255605)

Immunofluorescent analysis of 4% Paraformaldehyde-fixed, 0.1% Triton X-100 permeabilized HEK-293T (human embryonic kidney epithelial cell) cells labeling BSEP with ab255605 at 1/100, (6.4μg/ml) dilution, followed by aab150080 AlexaFluor®594 Goat anti-Rabbit secondary antibody at 1/1000, (2μg/ml) dilution (Red). Confocal image showing membranous and cytoplasmic staining in 293T cells transfected with myc-tagged BSEP expression vector. Myc-Tag Mouse mAb (Alexa Fluor® 488) was used as a counterstain (Green) at 1/100 dilution (Red). The nuclear counterstain was DAPI (Blue).

Negative control : myc-transfected cells.

Secondary antibody only control : Used PBS instead of primary antibody, secondary antibody is ab150077 AlexaFluor® 488 Goat anti-Rabbit secondary at 1/1000, 2μg/ml dilution.

Flow Cytometry (Intracellular) - Anti-ABCB11/BSEP antibody [EPR22670-64] (AB255605)
  • Flow Cyt (Intra)

Unknown

Flow Cytometry (Intracellular) - Anti-ABCB11/BSEP antibody [EPR22670-64] (AB255605)

Intracellular flow cytometric analysis of 4% paraformaldehyde-fixed, 90% methanol permeabilized HEK-293T (human embryonic kidney epithelial cell) transfected with myc-tagged BSEP expression vector cells labeling BSEP with ab255605 at 1/600 dilution (Red) compared with a Rabbit monoclonal IgG (ab172730) (Black) isotype control and an unlabeled control (cells without incubation with primary antibody and secondary antibody) (Blue). A Goat anti rabbit IgG (Alexa Fluor® 488, ab150077) at 1/2000 dilution was used as the secondary antibody. Gated on myc (+) population.

Immunohistochemistry (Formalin/PFA-fixed paraffin-embedded sections) - Anti-ABCB11/BSEP antibody [EPR22670-64] (AB255605)
  • IHC-P

Unknown

Immunohistochemistry (Formalin/PFA-fixed paraffin-embedded sections) - Anti-ABCB11/BSEP antibody [EPR22670-64] (AB255605)

Immunohistochemical analysis of paraffin-embedded human liver tissue labeling BSEP with ab255605 at 1/500 dilution (1.288μg/ml) followed by a ready to use Goat Anti-Rabbit IgG H&L (HRP). Positive staining in canaliculi of human liver (PMID : 26182153) is observed. Counterstained with hematoxylin. Heat mediated antigen retrieval using ab93684 (Tris/EDTA buffer, pH 9.0).

Secondary antibody only control : Used PBS instead of primary antibody, secondary antibody is a ready to use Goat Anti-Rabbit IgG H&L (HRP).

  • Carrier free

    Anti-ABCB11/BSEP antibody [EPR22670-64] - BSA and Azide free

  • 578 PE

    PE Anti-ABCB11/BSEP antibody [EPR22670-64]

  • HRP

    HRP Anti-ABCB11/BSEP antibody [EPR22670-64]

  • 617 Alexa Fluor® 594

    Alexa Fluor® 594 Anti-ABCB11/BSEP antibody [EPR22670-64]

  • 665 Alexa Fluor® 647

    Alexa Fluor® 647 Anti-ABCB11/BSEP antibody [EPR22670-64]

  • 660 APC

    APC Anti-ABCB11/BSEP antibody [EPR22670-64]

  • 519 Alexa Fluor® 488

    Alexa Fluor® 488 Anti-ABCB11/BSEP antibody [EPR22670-64]

  • 565 Alexa Fluor® 555

    Alexa Fluor® 555 Anti-ABCB11/BSEP antibody [EPR22670-64]

  • 603 Alexa Fluor® 568

    Alexa Fluor® 568 Anti-ABCB11/BSEP antibody [EPR22670-64]

  • 775 Alexa Fluor® 750

    Alexa Fluor® 750 Anti-ABCB11/BSEP antibody [EPR22670-64]

Key facts

Host species

Rabbit

Clonality

Monoclonal

Clone number

EPR22670-64

Isotype

IgG

Carrier free

No

Reacts with

Human

Applications

IHC-P, ICC/IF, Flow Cyt (Intra)

applications

Immunogen

The exact immunogen used to generate this antibody is proprietary information.

Reactivity data

{ "title": "Reactivity Data", "filters": { "stats": ["", "Species", "Dilution Info", "Notes"], "tabs": { "all-applications": {"fullname" : "All Applications", "shortname": "All Applications"}, "FlowCytIntra" : {"fullname" : "Flow Cytometry (Intracellular)", "shortname":"Flow Cyt (Intra)"}, "ICCIF" : {"fullname" : "Immunocytochemistry/ Immunofluorescence", "shortname":"ICC/IF"}, "IP" : {"fullname" : "Immunoprecipitation", "shortname":"IP"}, "WB" : {"fullname" : "Western blot", "shortname":"WB"}, "IHCP" : {"fullname" : "Immunohistochemistry (Formalin/PFA-fixed paraffin-embedded sections)", "shortname":"IHC-P"} }, "product-promise": { "all": "all", "testedAndGuaranteed": "tested", "guaranteed": "expected", "predicted": "predicted", "notRecommended": "not-recommended" } }, "values": { "Human": { "FlowCytIntra-species-checked": "guaranteed", "FlowCytIntra-species-dilution-info": "", "FlowCytIntra-species-notes": "", "ICCIF-species-checked": "guaranteed", "ICCIF-species-dilution-info": "", "ICCIF-species-notes": "", "IP-species-checked": "notRecommended", "IP-species-dilution-info": "", "IP-species-notes": "<p></p>", "WB-species-checked": "notRecommended", "WB-species-dilution-info": "", "WB-species-notes": "<p></p>", "IHCP-species-checked": "testedAndGuaranteed", "IHCP-species-dilution-info": "1/500", "IHCP-species-notes": "<p></p> Perform heat-mediated antigen retrieval with Tris/EDTA buffer pH 9.0 before commencing with IHC staining protocol." }, "Transfected cell line": { "FlowCytIntra-species-checked": "testedAndGuaranteed", "FlowCytIntra-species-dilution-info": "1/600", "FlowCytIntra-species-notes": "<p></p>", "ICCIF-species-checked": "testedAndGuaranteed", "ICCIF-species-dilution-info": "1/100", "ICCIF-species-notes": "<p></p>", "IP-species-checked": "notRecommended", "IP-species-dilution-info": "", "IP-species-notes": "", "WB-species-checked": "notRecommended", "WB-species-dilution-info": "", "WB-species-notes": "", "IHCP-species-checked": "notRecommended", "IHCP-species-dilution-info": "", "IHCP-species-notes": "" } } }

Product details

Patented technology
Our RabMAb® technology is a patented hybridoma-based technology for making rabbit monoclonal antibodies. For details on our patents, please refer to RabMAb® patents.

What are the advantages of a recombinant monoclonal antibody?
This product is a recombinant monoclonal antibody, which offers several advantages including:

  • - High batch-to-batch consistency and reproducibility
  • - Improved sensitivity and specificity
  • - Long-term security of supply
  • - Animal-free batch production

For more information, read more on recombinant antibodies.

Properties and storage information

Form
Liquid
Purification technique
Affinity purification Protein A
Storage buffer
pH: 7.2 - 7.4 Preservative: 0.01% Sodium azide Constituents: PBS, 40% Glycerol (glycerin, glycerine), 0.05% BSA
Shipped at conditions
Blue Ice
Appropriate short-term storage duration
1-2 weeks
Appropriate short-term storage conditions
+4°C
Appropriate long-term storage conditions
-20°C
Aliquoting information
Upon delivery aliquot
Storage information
Avoid freeze / thaw cycle

Supplementary information

This supplementary information is collated from multiple sources and compiled automatically.

ABCB11 also known as BSEP (bile salt export pump) is a protein that functions as an ATP-binding cassette transporter. It is encoded by the ABCB11 gene and has an approximate molecular mass of 160 kDa. BSEP is mainly expressed in the liver specifically on the canalicular membrane of hepatocytes. It facilitates the flow of bile acids from liver cells into the bile canaliculi playing an important role in bile acid homeostasis and detoxification processes within the liver.
Biological function summary

BSEP is essential for the transport of bile acids which are important components of bile necessary for the digestion and absorption of lipids and fat-soluble vitamins in the small intestine. BSEP functions as a homodimer and operates by using energy derived from ATP hydrolysis to export bile acids into bile. Malfunction of BSEP can impact bile flow and lead to severe liver conditions as it is the primary bile acid transporter at the canalicular membrane.

Pathways

BSEP's activity is integral to the enterohepatic circulation of bile acids. It works in conjunction with other transporters such as NTCP (sodium-taurocholate co-transporting polypeptide) and OSTα/β (organic solute transporter alpha-beta). These transporters play roles in the bile acid enterohepatic system contributing to liver-bile-gut circulation. Disruption in BSEP function can alter the FXR (farnesoid X receptor) signaling pathway critical in maintaining the balance of bile acid synthesis and metabolism.

Mutations or functional deficiencies in BSEP are linked to progressive familial intrahepatic cholestasis type 2 (PFIC2) and intrahepatic cholestasis of pregnancy (ICP). These disorders are characterized by impaired bile flow and accumulation of bile acids in the liver. BSEP dysfunction may also interact with other proteins such as MDR3 (multidrug resistance protein 3) which is involved in phospholipid transport and bile formation contributing further to liver pathology.

Product protocols

For this product, it's our understanding that no specific protocols are required. You can visit:

Target data

Catalyzes the transport of the major hydrophobic bile salts, such as taurine and glycine-conjugated cholic acid across the canalicular membrane of hepatocytes in an ATP-dependent manner, therefore participates in hepatic bile acid homeostasis and consequently to lipid homeostasis through regulation of biliary lipid secretion in a bile salts dependent manner (PubMed : 15791618, PubMed : 16332456, PubMed : 18985798, PubMed : 19228692, PubMed : 20010382, PubMed : 20398791, PubMed : 22262466, PubMed : 24711118, PubMed : 29507376, PubMed : 32203132). Transports taurine-conjugated bile salts more rapidly than glycine-conjugated bile salts (PubMed : 16332456). Also transports non-bile acid compounds, such as pravastatin and fexofenadine in an ATP-dependent manner and may be involved in their biliary excretion (PubMed : 15901796, PubMed : 18245269).
See full target information ABCB11

Publications (2)

Recent publications for all applications. Explore the full list and refine your search

Cell death & disease 16:507 PubMed40634316

2025

Mesenchymal stromal cells highly expressing Sca-1 promote breast cancer lung metastasis through recruiting myeloid cells.

Applications

Unspecified application

Species

Unspecified reactive species

Lijuan Cao,Yanan Li,Minghui Ou,Artem Smirnov,Rui Liu,Tingting Wang,Xiao Su,Peishan Li,Mancini Mara,Eleonora Candi,Zhiyuan Zheng,Gerry Melino,Changshun Shao,Yufang Shi

Translational oncology 36:101747 PubMed37517143

2023

ABCB11 accumulated in immature tertiary lymphoid structures participates in xenobiotic metabolic process and predicts resistance to PD-1/PD-L1 inhibitors in head and neck squamous cell carcinoma.

Applications

Unspecified application

Species

Unspecified reactive species

Junya Ning,Jie Hao,Fengli Guo,Xiukun Hou,Lijuan Li,Jinmiao Wang,Shoujun Wang,Ying Gao,Xiangqian Zheng,Ming Gao
View all publications

Product promise

We are committed to supporting your work with high-quality reagents, and we're here for you every step of the way. In the unlikely event that one of our products does not perform as expected, you're protected by our Product Promise.
For full details, please see our Terms & Conditions

Please note: All products are 'FOR RESEARCH USE ONLY. NOT FOR USE IN DIAGNOSTIC OR THERAPEUTIC PROCEDURES'.

For licensing inquiries, please contact partnerships@abcam.com