JavaScript is disabled in your browser. Please enable JavaScript to view this website.
AB315475

Anti-ABCB11/BSEP antibody [EPR28773-83] - BSA and Azide free

  • BOND RX™ Validated
  • Advanced Validation
  • RabMAb
  • Recombinant
  • KO Validated
  • What is this?

Be the first to review this product! Submit a review

|

(0 Publication)

Rabbit Recombinant Monoclonal ABCB11/BSEP antibody. Carrier free. Suitable for mIHC, IHC-P, WB and reacts with Mouse, Rat, Human, Transfected cell lysate - Human samples.

View Alternative Names

BSEP, ABCB11, Bile salt export pump, ATP-binding cassette sub-family B member 11

13 Images
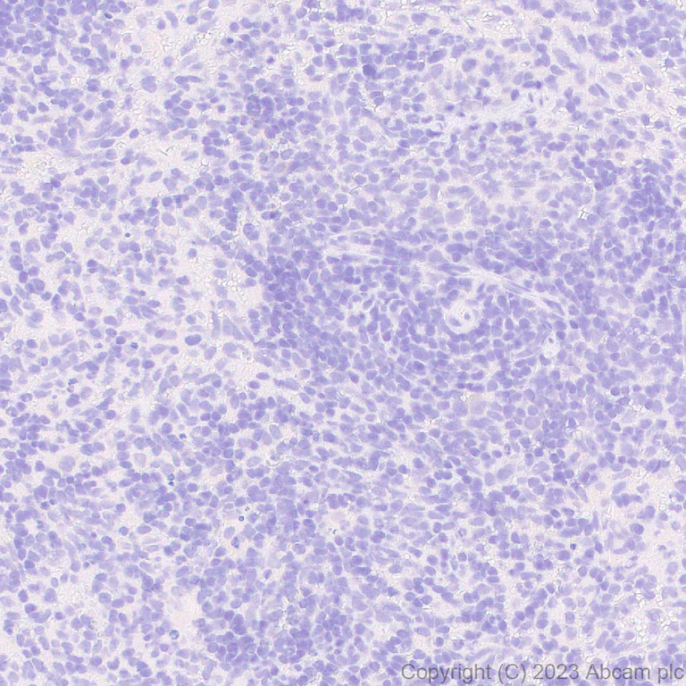
Immunohistochemistry (Formalin/PFA-fixed paraffin-embedded sections) - Anti-ABCB11/BSEP antibody [EPR28773-83] - BSA and Azide free (AB315475)
  • IHC-P

Supplier Data

Immunohistochemistry (Formalin/PFA-fixed paraffin-embedded sections) - Anti-ABCB11/BSEP antibody [EPR28773-83] - BSA and Azide free (AB315475)

This data was developed using ab315474, the same antibody clone in a different buffer formulation.

Immunohistochemical analysis of paraffin-embedded Human spleen tissue labeling ABCB11/BSEP with ab315474 at 1/2000 (0.256 ug/ml) dilution, followed by a ready to use LeicaDS9800 (Bond™ Polymer Refine Detection).

Negative control : no staining on human spleen.
The section was incubated with ab315474 for 30 mins at room temperature.
The immunostaining was performed on a Leica Biosystems BOND® RX instrument.

Counterstained with Hematoxylin.

Secondary antibody only control : Secondary antibody is a ready to use LeicaDS9800 (Bond™ Polymer Refine Detection).

Heat mediated antigen retrieval was performed with Tris-EDTA buffer (pH 9.0, Epitope Retrieval Solution2) for 20 mins.

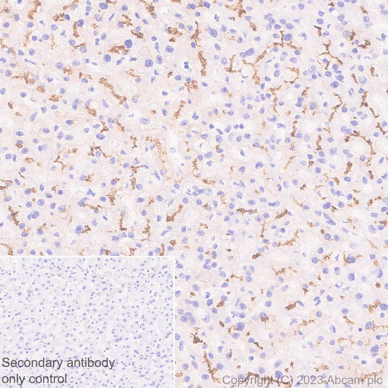
Immunohistochemistry (Formalin/PFA-fixed paraffin-embedded sections) - Anti-ABCB11/BSEP antibody [EPR28773-83] - BSA and Azide free (AB315475)
  • IHC-P

Supplier Data

Immunohistochemistry (Formalin/PFA-fixed paraffin-embedded sections) - Anti-ABCB11/BSEP antibody [EPR28773-83] - BSA and Azide free (AB315475)

This data was developed using ab315474, the same antibody clone in a different buffer formulation.

Immunohistochemical analysis of paraffin-embedded Human liver tissue labeling ABCB11/BSEP with ab315474 at 1/2000 (0.256 ug/ml) dilution, followed by a ready to use LeicaDS9800 (Bond™ Polymer Refine Detection).

Positive staining on canaliculi of human liver (PMID : 31886153).
The section was incubated with ab315474 for 30 mins at room temperature.
The immunostaining was performed on a Leica Biosystems BOND® RX instrument.

Counterstained with Hematoxylin.

Secondary antibody only control : Secondary antibody is a ready to use LeicaDS9800 (Bond™ Polymer Refine Detection).

Heat mediated antigen retrieval was performed with Tris-EDTA buffer (pH 9.0, Epitope Retrieval Solution2) for 20 mins.

Immunohistochemistry (Formalin/PFA-fixed paraffin-embedded sections) - Anti-ABCB11/BSEP antibody [EPR28773-83] - BSA and Azide free (AB315475)
  • IHC-P

Supplier Data

Immunohistochemistry (Formalin/PFA-fixed paraffin-embedded sections) - Anti-ABCB11/BSEP antibody [EPR28773-83] - BSA and Azide free (AB315475)

This data was developed using ab315474, the same antibody clone in a different buffer formulation.

Immunohistochemical analysis of paraffin-embedded Rat liver tissue labeling ABCB11/BSEP with ab315474 at 1/2000 (0.256 ug/ml) dilution, followed by a ready to use LeicaDS9800 (Bond™ Polymer Refine Detection).

Positive staining on canaliculi of rat liver.
The section was incubated with ab315474 for 30 mins at room temperature.
The immunostaining was performed on a Leica Biosystems BOND® RX instrument.

Counterstained with Hematoxylin.

Secondary antibody only control : Secondary antibody is a ready to use LeicaDS9800 (Bond™ Polymer Refine Detection).

Heat mediated antigen retrieval was performed with Tris-EDTA buffer (pH 9.0, Epitope Retrieval Solution2) for 20 mins.

Immunohistochemistry (Formalin/PFA-fixed paraffin-embedded sections) - Anti-ABCB11/BSEP antibody [EPR28773-83] - BSA and Azide free (AB315475)
  • IHC-P

Supplier Data

Immunohistochemistry (Formalin/PFA-fixed paraffin-embedded sections) - Anti-ABCB11/BSEP antibody [EPR28773-83] - BSA and Azide free (AB315475)

This data was developed using ab315474, the same antibody clone in a different buffer formulation.

Immunohistochemical analysis of paraffin-embedded Mouse liver tissue labeling ABCB11/BSEP with ab315474 at 1/2000 (0.256 ug/ml) dilution, followed by a ready to use LeicaDS9800 (Bond™ Polymer Refine Detection).

Positive staining on canaliculi of mouse liver.
The section was incubated with ab315474 for 30 mins at room temperature.
The immunostaining was performed on a Leica Biosystems BOND® RX instrument.

Counterstained with Hematoxylin.

Secondary antibody only control : Secondary antibody is a ready to use LeicaDS9800 (Bond™ Polymer Refine Detection).

Heat mediated antigen retrieval was performed with Tris-EDTA buffer (pH 9.0, Epitope Retrieval Solution2) for 20 mins.

Immunohistochemistry (Formalin/PFA-fixed paraffin-embedded sections) - Anti-ABCB11/BSEP antibody [EPR28773-83] - BSA and Azide free (AB315475)
  • IHC-P

Supplier Data

Immunohistochemistry (Formalin/PFA-fixed paraffin-embedded sections) - Anti-ABCB11/BSEP antibody [EPR28773-83] - BSA and Azide free (AB315475)

This data was developed using ab315474, the same antibody clone in a different buffer formulation.

Immunohistochemical analysis of paraffin-embedded Mouse spleen tissue labeling ABCB11/BSEP with ab315474 at 1/2000 (0.256 ug/ml) dilution, followed by a ready to use LeicaDS9800 (Bond™ Polymer Refine Detection).

Negative control : no staining on mouse spleen.
The section was incubated with ab315474 for 30 mins at room temperature.
The immunostaining was performed on a Leica Biosystems BOND® RX instrument.

Counterstained with Hematoxylin.

Secondary antibody only control : Secondary antibody is a ready to use LeicaDS9800 (Bond™ Polymer Refine Detection).

Heat mediated antigen retrieval was performed with Tris-EDTA buffer (pH 9.0, Epitope Retrieval Solution2) for 20 mins.

Immunohistochemistry (Formalin/PFA-fixed paraffin-embedded sections) - Anti-ABCB11/BSEP antibody [EPR28773-83] - BSA and Azide free (AB315475)
  • IHC-P

Supplier Data

Immunohistochemistry (Formalin/PFA-fixed paraffin-embedded sections) - Anti-ABCB11/BSEP antibody [EPR28773-83] - BSA and Azide free (AB315475)

This data was developed using ab315474, the same antibody clone in a different buffer formulation.

Immunohistochemical analysis of paraffin-embedded Rat spleen tissue labeling ABCB11/BSEP with ab315474 at 1/2000 (0.256 ug/ml) dilution, followed by a ready to use LeicaDS9800 (Bond™ Polymer Refine Detection).

Negative control : no staining on rat spleen.
The section was incubated with ab315474 for 30 mins at room temperature.
The immunostaining was performed on a Leica Biosystems BOND® RX instrument.

Counterstained with Hematoxylin.

Secondary antibody only control : Secondary antibody is a ready to use LeicaDS9800 (Bond™ Polymer Refine Detection).

Heat mediated antigen retrieval was performed with Tris-EDTA buffer (pH 9.0, Epitope Retrieval Solution2) for 20 mins.

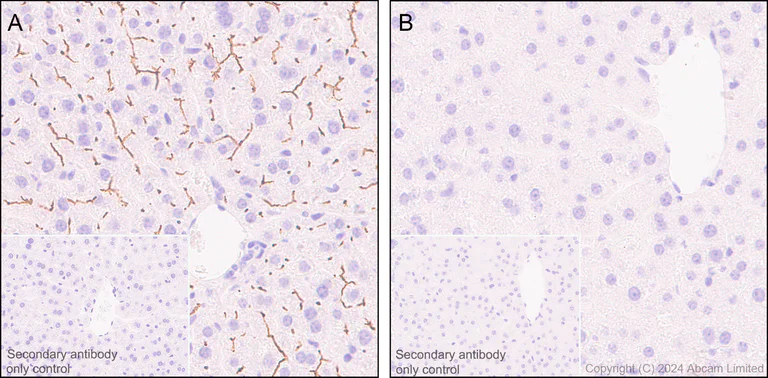
Immunohistochemistry (Formalin/PFA-fixed paraffin-embedded sections) - Anti-ABCB11/BSEP antibody [EPR28773-83] - BSA and Azide free (AB315475)
  • IHC-P

Lab

Immunohistochemistry (Formalin/PFA-fixed paraffin-embedded sections) - Anti-ABCB11/BSEP antibody [EPR28773-83] - BSA and Azide free (AB315475)

This data was developed using ab315474, the same antibody clone in a different buffer formulation.

Immunohistochemical analysis of paraffin-embedded (A) Liver tissue from wild-type C57BL/6JGpt mice and (B) Liver tissue from ABCB11 knockout mice labeling ABCB11/BSEP with ab315474 at 1/5000 dilution, followed by a ready to use LeicaDS9800 (Bond Polymer Refine Detection).

Positive staining on (A) Liver tissue from wild-type C57BL/6JGpt mice and no staining on (B) Liver tissue from ABCB11 knockout mice.
The section was incubated with ab315474 for 30 mins at room temperature.
The immunostaining was performed on a Leica Biosystems BOND® RX instrument
The tissue samples were kindly provided by GemPharmatech. C57BL/6JGpt wildtype mice and Abcb11-KO homozygous mice (Strain ID : T013731).

Counterstained with hematoxylin.

Secondary antibody only control : Secondary antibody is a ready to use LeicaDS9800 (Bond Polymer Refine Detection).

Heat mediated antigen retrieval was performed with Tris-EDTA buffer (pH 9.0, Epitope Retrieval Solution2) for 20 mins.

Multiplex immunohistochemistry - Anti-ABCB11/BSEP antibody [EPR28773-83] - BSA and Azide free (AB315475)
  • mIHC

Lab

Multiplex immunohistochemistry - Anti-ABCB11/BSEP antibody [EPR28773-83] - BSA and Azide free (AB315475)

This data was developed using ab315474, the same antibody clone in a different buffer formulation.

Multiplex immunohistochemistry analysis of formalin/PFA-fixed paraffin-embedded mouse liver tissue staining ALDH1L1 with ab307696 at a 1/5000 dilution, ab182981 anti-CD31 used at 1/5000 dilution and ab315474 anti-ABCB11 used at a 1/2000 dilution. Opal Polymer HRP Ms + Rb was used as a secondary antibody.

Panel A : merged staining of anti-ALDH1L1 (green; Opal™520), anti-CD31 (magenta; Opal™690) and anti-ABCB11 (grey; Opal™570) on mouse liver.
Panel B : anti-ALDH1L1 staining hepatocytes in mouse liver.
Panel C : anti-CD31 staining endothelium in mouse liver.
Panel D : anti-ABCB11 staining bile canaliculi in mouse liver.
Nuclear DNA was labeled with DAPI (shown in blue).

The section was incubated in three rounds of staining : in the order of ab307696, ab182981 and ab315474 for 30 mins at room temperature. Each round was followed by a separate fluorescent tyramide signal amplification system.

Heat mediated antigen retrieval with Tris-EDTA buffer (pH 9.0, epitope retrieval solution2) for 20 mins.

Multiplex immunohistochemistry - Anti-ABCB11/BSEP antibody [EPR28773-83] - BSA and Azide free (AB315475)
  • mIHC

Lab

Multiplex immunohistochemistry - Anti-ABCB11/BSEP antibody [EPR28773-83] - BSA and Azide free (AB315475)

This data was developed using ab315474, the same antibody clone in a different buffer formulation.

Multiplex immunohistochemistry analysis of formalin/PFA-fixed paraffin-embedded rat liver tissue staining ALDH1L1 with ab307696 at a 1/5000 dilution, ab182981 anti-CD31 used at 1/5000 dilution and ab315474 anti-ABCB11 used at a 1/2000 dilution. Opal Polymer HRP Ms + Rb was used as a secondary antibody.

Panel A : merged staining of anti-ALDH1L1 (green; Opal™520), anti-CD31 (magenta; Opal™690) and anti-ABCB11 (grey; Opal™570) on mouse liver.
Panel B : anti-ALDH1L1 staining hepatocytes in rat liver.
Panel C : anti-CD31 staining endothelium in rat liver.
Panel D : anti-ABCB11 staining bile canaliculi in rat liver.
Nuclear DNA was labeled with DAPI (shown in blue).

The section was incubated in three rounds of staining : in the order of ab307696, ab182981 and ab315474 for 30 mins at room temperature. Each round was followed by a separate fluorescent tyramide signal amplification system.

Heat mediated antigen retrieval with Tris-EDTA buffer (pH 9.0, epitope retrieval solution2) for 20 mins.

Multiplex immunohistochemistry - Anti-ABCB11/BSEP antibody [EPR28773-83] - BSA and Azide free (AB315475)
  • mIHC

Lab

Multiplex immunohistochemistry - Anti-ABCB11/BSEP antibody [EPR28773-83] - BSA and Azide free (AB315475)

This data was developed using ab315474, the same antibody clone in a different buffer formulation.

Multiplex immunohistochemistry analysis of formalin/PFA-fixed paraffin-embedded mouse liver tissue staining ALDH1L1 with ab307696 at a 1/5000 dilution, ab322457 anti-PAR1 used at 1/500 dilution and ab315474 anti-ABCB11 used at a 1/2000 dilution.

Panel A : merged staining of anti-ALDH1L1 (green; Opal520), anti-PAR1 (magenta; Opal690) and anti-ABCB11 (gray; Opal570) on mouse liver.
Panel B : anti-ALDH1L1 staining hepatocytes in mouse liver.
Panel C : anti-PAR1 staining endothelium in mouse liver.
Panel D : anti-ABCB11 staining bile canaliculi in mouse liver.
Nuclear DNA was labeled with DAPI (shown in blue).
The section was incubated in three rounds of staining : in the order of ab307696, ab322457 and ab315474 for 30 mins at room temperature. Each round was followed by a separate fluorescent tyramide signal amplification system.

Heat mediated antigen retrieval with Tris-EDTA buffer (pH 9.0, epitope retrieval solution2) for 20 mins.

Western blot - Anti-ABCB11/BSEP antibody [EPR28773-83] - BSA and Azide free (AB315475)
  • WB

Supplier Data

Western blot - Anti-ABCB11/BSEP antibody [EPR28773-83] - BSA and Azide free (AB315475)

This data was developed using ab315474, the same antibody clone in a different buffer formulation.

Blocking and diluting buffer and concentration : 5% NFDM/TBST.

Negative control : spleen(PMID : 9806540)

Low expression : testis

Lysates were freshly made and used immediately to minimize protein degradation.

In Western blot, Anti-Vinculin antibody [EPR8185] (ab129002) staining at 1/10000 dilution.

All lanes:

Western blot - Anti-ABCB11/BSEP antibody [EPR28773-83] (<a href='/en-us/products/primary-antibodies/abcb11-bsep-antibody-epr28773-83-ab315474'>ab315474</a>) at 1/1000 dilution

Lane 1:

Rat liver tissue lysate at 20 µg

Lane 2:

Rat testis tissue lysate at 20 µg

Lane 3:

Rat spleen tissue lysate at 20 µg

Secondary

All lanes:

Western blot - Goat Anti-Rabbit IgG H&L (HRP) (<a href='/en-us/products/secondary-antibodies/goat-rabbit-igg-h-l-hrp-ab97051'>ab97051</a>) at 1/100000 dilution

Observed band size: 147 kDa,124 kDa

false

Exposure time: 59s

Western blot - Anti-ABCB11/BSEP antibody [EPR28773-83] - BSA and Azide free (AB315475)
  • WB

Supplier Data

Western blot - Anti-ABCB11/BSEP antibody [EPR28773-83] - BSA and Azide free (AB315475)

This data was developed using ab315474, the same antibody clone in a different buffer formulation.

Blocking and diluting buffer and concentration : 5% NFDM/TBST.

Negative control : brain, spleen(PMID : 9806540)

Low expression : testis

Lysates were freshly made and used immediately to minimize protein degradation.

In Western blot, Anti-Vinculin antibody [EPR8185] (ab129002) staining at 1/10000 dilution.

All lanes:

Western blot - Anti-ABCB11/BSEP antibody [EPR28773-83] (<a href='/en-us/products/primary-antibodies/abcb11-bsep-antibody-epr28773-83-ab315474'>ab315474</a>) at 1/1000 dilution

Lane 1:

Mouse brain tissue lysate at 20 µg

Lane 2:

Mouse liver tissue lysate at 20 µg

Lane 3:

Mouse testis tissue lysate at 20 µg

Lane 4:

Mouse spleen tissue lysate at 20 µg

Secondary

All lanes:

Western blot - Goat Anti-Rabbit IgG H&L (HRP) (<a href='/en-us/products/secondary-antibodies/goat-rabbit-igg-h-l-hrp-ab97051'>ab97051</a>) at 1/100000 dilution

Observed band size: 147 kDa,124 kDa

false

Exposure time: 180s

Western blot - Anti-ABCB11/BSEP antibody [EPR28773-83] - BSA and Azide free (AB315475)
  • WB

Supplier Data

Western blot - Anti-ABCB11/BSEP antibody [EPR28773-83] - BSA and Azide free (AB315475)

This data was developed using ab315474, the same antibody clone in a different buffer formulation.

This antibody does not cross-react with human ABCB1, ABCB4 and ABCB5.

Blocking and diluting buffer and concentration : 5% NFDM/TBST.

In Western blot, Anti-6X His tag® antibody [EPR20547] - ChIP Grade (ab213204) staining at 1/5000 dilution.

All lanes:

Western blot - Anti-ABCB11/BSEP antibody [EPR28773-83] (<a href='/en-us/products/primary-antibodies/abcb11-bsep-antibody-epr28773-83-ab315474'>ab315474</a>) at 1/1000 dilution

Lane 1:

293T cells transfected with a human ABCB1 expression vector containing a myc-His-tag®, whole cell lysate at 10 µg

Lane 2:

293T cells transfected with a human ABCB4 expression vector containing a myc-His-tag®, whole cell lysate at 10 µg

Lane 3:

293T cells transfected with a human ABCB5 expression vector containing a myc-His-tag®, whole cell lysate at 10 µg

Lane 4:

293T cells transfected with a human ABCB11 expression vector containing a myc-His-tag®, whole cell lysate at 10 µg

Secondary

All lanes:

Western blot - Goat Anti-Rabbit IgG H&L (HRP) (<a href='/en-us/products/secondary-antibodies/goat-rabbit-igg-h-l-hrp-ab97051'>ab97051</a>) at 1/100000 dilution

Observed band size: 147 kDa

false

Exposure time: 6s

Key facts

Host species

Rabbit

Clonality

Monoclonal

Clone number

EPR28773-83

Isotype

IgG

Carrier free

Yes

Reacts with

Human, Mouse, Rat

Applications

mIHC, IHC-P, WB

applications

Immunogen

The exact immunogen used to generate this antibody is proprietary information.

Specificity

HepG2 is an established negative control for ABCB11 protein expression (nTPM=0), supported by published studies (PMID: 23213087, 11870371, 28778767).

Reactivity data

{ "title": "Reactivity Data", "filters": { "stats": ["", "Species", "Dilution Info", "Notes"], "tabs": { "all-applications": {"fullname" : "All Applications", "shortname": "All Applications"}, "FlowCytIntra" : {"fullname" : "Flow Cytometry (Intracellular)", "shortname":"Flow Cyt (Intra)"}, "mIHC" : {"fullname" : "Multiplex immunohistochemistry", "shortname":"mIHC"}, "IHCP" : {"fullname" : "Immunohistochemistry (Formalin/PFA-fixed paraffin-embedded sections)", "shortname":"IHC-P"}, "WB" : {"fullname" : "Western blot", "shortname":"WB"}, "ICCIF" : {"fullname" : "Immunocytochemistry/ Immunofluorescence", "shortname":"ICC/IF"}, "IP" : {"fullname" : "Immunoprecipitation", "shortname":"IP"} }, "product-promise": { "all": "all", "testedAndGuaranteed": "tested", "guaranteed": "expected", "predicted": "predicted", "notRecommended": "not-recommended" } }, "values": { "Human": { "FlowCytIntra-species-checked": "notRecommended", "FlowCytIntra-species-dilution-info": "", "FlowCytIntra-species-notes": "<p></p>", "mIHC-species-checked": "guaranteed", "mIHC-species-dilution-info": "", "mIHC-species-notes": "", "IHCP-species-checked": "testedAndGuaranteed", "IHCP-species-dilution-info": "", "IHCP-species-notes": "<p></p>", "WB-species-checked": "guaranteed", "WB-species-dilution-info": "", "WB-species-notes": "", "ICCIF-species-checked": "notRecommended", "ICCIF-species-dilution-info": "", "ICCIF-species-notes": "<p></p>", "IP-species-checked": "notRecommended", "IP-species-dilution-info": "", "IP-species-notes": "<p></p>" }, "Mouse": { "FlowCytIntra-species-checked": "notRecommended", "FlowCytIntra-species-dilution-info": "", "FlowCytIntra-species-notes": "", "mIHC-species-checked": "testedAndGuaranteed", "mIHC-species-dilution-info": "", "mIHC-species-notes": "<p></p>", "IHCP-species-checked": "testedAndGuaranteed", "IHCP-species-dilution-info": "", "IHCP-species-notes": "<p></p>", "WB-species-checked": "testedAndGuaranteed", "WB-species-dilution-info": "", "WB-species-notes": "<p></p>", "ICCIF-species-checked": "notRecommended", "ICCIF-species-dilution-info": "", "ICCIF-species-notes": "<p></p>", "IP-species-checked": "notRecommended", "IP-species-dilution-info": "", "IP-species-notes": "" }, "Rat": { "FlowCytIntra-species-checked": "notRecommended", "FlowCytIntra-species-dilution-info": "", "FlowCytIntra-species-notes": "", "mIHC-species-checked": "testedAndGuaranteed", "mIHC-species-dilution-info": "", "mIHC-species-notes": "<p></p>", "IHCP-species-checked": "testedAndGuaranteed", "IHCP-species-dilution-info": "", "IHCP-species-notes": "<p></p>", "WB-species-checked": "testedAndGuaranteed", "WB-species-dilution-info": "", "WB-species-notes": "<p></p>", "ICCIF-species-checked": "notRecommended", "ICCIF-species-dilution-info": "", "ICCIF-species-notes": "", "IP-species-checked": "notRecommended", "IP-species-dilution-info": "", "IP-species-notes": "" }, "Transfected cell lysate - Human": { "FlowCytIntra-species-checked": "notRecommended", "FlowCytIntra-species-dilution-info": "", "FlowCytIntra-species-notes": "", "mIHC-species-checked": "notRecommended", "mIHC-species-dilution-info": "", "mIHC-species-notes": "", "IHCP-species-checked": "notRecommended", "IHCP-species-dilution-info": "", "IHCP-species-notes": "", "WB-species-checked": "testedAndGuaranteed", "WB-species-dilution-info": "", "WB-species-notes": "<p></p>", "ICCIF-species-checked": "notRecommended", "ICCIF-species-dilution-info": "", "ICCIF-species-notes": "", "IP-species-checked": "notRecommended", "IP-species-dilution-info": "", "IP-species-notes": "" } } }

Product details

ab315475 is the carrier-free version of ab315474.

Patented technology
Our RabMAb® technology is a patented hybridoma-based technology for making rabbit monoclonal antibodies. For details on our patents, please refer to RabMAb® patents.

What are the advantages of a recombinant monoclonal antibody?
This product is a recombinant monoclonal antibody, which offers several advantages including:

  • - High batch-to-batch consistency and reproducibility
  • - Improved sensitivity and specificity
  • - Long-term security of supply
  • - Animal-free batch production

For more information, read more on recombinant antibodies.

Conjugation ready
Our carrier-free antibodies are typically supplied in a PBS-only formulation, purified and free of BSA, sodium azide and glycerol. This conjugation-ready format is designed for use with fluorochromes, metal isotopes, oligonucleotides, and enzymes, which makes them ideal for antibody labelling, functional and cell-based assays, flow-based assays (e.g. mass cytometry) and Multiplex Imaging applications.

Use our conjugation kits for antibody conjugates that are ready-to-use in as little as 20 minutes with 1 minute hands-on-time and 100% antibody recovery: available for fluorescent dyes, HRP, biotin and gold.

Compatibility
This product is compatible with the Maxpar® Antibody Labeling Kit from Fluidigm, without the need for antibody preparation. Maxpar® is a trademark of Fluidigm Canada Inc.

Properties and storage information

Form
Liquid
Purification technique
Affinity purification Protein A
Storage buffer
pH: 7.2 - 7.4 Constituents: PBS
Shipped at conditions
Blue Ice
Appropriate short-term storage conditions
+4°C
Appropriate long-term storage conditions
+4°C

Supplementary information

This supplementary information is collated from multiple sources and compiled automatically.

ABCB11 also known as BSEP (bile salt export pump) is a protein that functions as an ATP-binding cassette transporter. It is encoded by the ABCB11 gene and has an approximate molecular mass of 160 kDa. BSEP is mainly expressed in the liver specifically on the canalicular membrane of hepatocytes. It facilitates the flow of bile acids from liver cells into the bile canaliculi playing an important role in bile acid homeostasis and detoxification processes within the liver.
Biological function summary

BSEP is essential for the transport of bile acids which are important components of bile necessary for the digestion and absorption of lipids and fat-soluble vitamins in the small intestine. BSEP functions as a homodimer and operates by using energy derived from ATP hydrolysis to export bile acids into bile. Malfunction of BSEP can impact bile flow and lead to severe liver conditions as it is the primary bile acid transporter at the canalicular membrane.

Pathways

BSEP's activity is integral to the enterohepatic circulation of bile acids. It works in conjunction with other transporters such as NTCP (sodium-taurocholate co-transporting polypeptide) and OSTα/β (organic solute transporter alpha-beta). These transporters play roles in the bile acid enterohepatic system contributing to liver-bile-gut circulation. Disruption in BSEP function can alter the FXR (farnesoid X receptor) signaling pathway critical in maintaining the balance of bile acid synthesis and metabolism.

Mutations or functional deficiencies in BSEP are linked to progressive familial intrahepatic cholestasis type 2 (PFIC2) and intrahepatic cholestasis of pregnancy (ICP). These disorders are characterized by impaired bile flow and accumulation of bile acids in the liver. BSEP dysfunction may also interact with other proteins such as MDR3 (multidrug resistance protein 3) which is involved in phospholipid transport and bile formation contributing further to liver pathology.

Product protocols

For this product, it's our understanding that no specific protocols are required. You can visit:

Target data

Catalyzes the transport of the major hydrophobic bile salts, such as taurine and glycine-conjugated cholic acid across the canalicular membrane of hepatocytes in an ATP-dependent manner, therefore participates in hepatic bile acid homeostasis and consequently to lipid homeostasis through regulation of biliary lipid secretion in a bile salts dependent manner (PubMed : 15791618, PubMed : 16332456, PubMed : 18985798, PubMed : 19228692, PubMed : 20010382, PubMed : 20398791, PubMed : 22262466, PubMed : 24711118, PubMed : 29507376, PubMed : 32203132). Transports taurine-conjugated bile salts more rapidly than glycine-conjugated bile salts (PubMed : 16332456). Also transports non-bile acid compounds, such as pravastatin and fexofenadine in an ATP-dependent manner and may be involved in their biliary excretion (PubMed : 15901796, PubMed : 18245269).
See full target information ABCB11

Product promise

We are committed to supporting your work with high-quality reagents, and we're here for you every step of the way. In the unlikely event that one of our products does not perform as expected, you're protected by our Product Promise.
For full details, please see our Terms & Conditions

Please note: All products are 'FOR RESEARCH USE ONLY. NOT FOR USE IN DIAGNOSTIC OR THERAPEUTIC PROCEDURES'.

For licensing inquiries, please contact partnerships@abcam.com