JavaScript is disabled in your browser. Please enable JavaScript to view this website.
AB272459

Anti-ABCB4 antibody [EPR23697-35] - BSA and Azide free

1

(1 Review)

|

(0 Publication)

Rabbit Recombinant Monoclonal ABCB4 antibody. Carrier free. Suitable for IHC-P and reacts with Human samples.

View Alternative Names

MDR3, PGY3, ABCB4, Phosphatidylcholine translocator ABCB4, ATP-binding cassette sub-family B member 4, Multidrug resistance protein 3, P-glycoprotein 3

2 Images
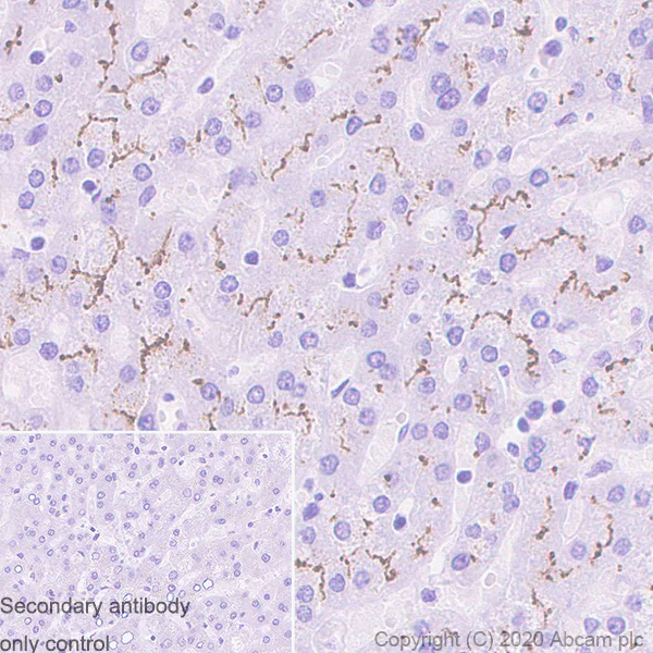
Immunohistochemistry (Formalin/PFA-fixed paraffin-embedded sections) - Anti-ABCB4 antibody [EPR23697-35] - BSA and Azide free (AB272459)
  • IHC-P

Unknown

Immunohistochemistry (Formalin/PFA-fixed paraffin-embedded sections) - Anti-ABCB4 antibody [EPR23697-35] - BSA and Azide free (AB272459)

Immunohistochemical analysis of paraffin-embedded Human liver tissue labeling ABCB4 with ab272457 at 1/4000 dilution followed by a ready to use Rabbit specific IHC polymer detection kit HRP/DAB (ab209101). Positive staining in bile canaliculi of human liver (PMID : 24594635). The section was incubated with ab272457 for 30 mins at room temperature. The immunostaining was performed on a Leica Biosystems BOND® RX instrument Counterstained with Hematoxylin.

Secondary antibody only control : Secondary antibody is a ready to use Rabbit specific IHC polymer detection kit HRP/DAB (ab209101).

Heat mediated antigen retrieval with Tris-EDTA buffer (pH 9.0, epitope retrieval solution2) for 20 mins

This data was developed using the same antibody clone in a different buffer formulation containing PBS, BSA, glycerol, and sodium azide (ab272457).

Immunohistochemistry (Formalin/PFA-fixed paraffin-embedded sections) - Anti-ABCB4 antibody [EPR23697-35] - BSA and Azide free (AB272459)
  • IHC-P

Unknown

Immunohistochemistry (Formalin/PFA-fixed paraffin-embedded sections) - Anti-ABCB4 antibody [EPR23697-35] - BSA and Azide free (AB272459)

Immunohistochemical analysis of paraffin-embedded Human skeletal muscle tissue labeling ABCB4 with ab272457 at 1/4000 dilution followed by a ready to use Rabbit specific IHC polymer detection kit HRP/DAB (ab209101). Negative control : No staining in human skeletal muscle (PMID : 7734012). The section was incubated with ab272457 for 30 mins at room temperature. The immunostaining was performed on a Leica Biosystems BOND® RX instrument Counterstained with Hematoxylin.

Secondary antibody only control : Secondary antibody is a ready to use Rabbit specific IHC polymer detection kit HRP/DAB (ab209101).

Heat mediated antigen retrieval with Tris-EDTA buffer (pH 9.0, epitope retrieval solution2) for 20 mins

This data was developed using the same antibody clone in a different buffer formulation containing PBS, BSA, glycerol, and sodium azide (ab272457).

Key facts

Host species

Rabbit

Clonality

Monoclonal

Clone number

EPR23697-35

Isotype

IgG

Carrier free

Yes

Reacts with

Human

Applications

IHC-P

applications

Immunogen

The exact immunogen used to generate this antibody is proprietary information.

Reactivity data

{ "title": "Reactivity Data", "filters": { "stats": ["", "Species", "Dilution Info", "Notes"], "tabs": { "all-applications": {"fullname" : "All Applications", "shortname": "All Applications"}, "IP" : {"fullname" : "Immunoprecipitation", "shortname":"IP"}, "FlowCyt" : {"fullname" : "Flow Cytometry", "shortname":"Flow Cyt"}, "WB" : {"fullname" : "Western blot", "shortname":"WB"}, "ICCIF" : {"fullname" : "Immunocytochemistry/ Immunofluorescence", "shortname":"ICC/IF"}, "IHCP" : {"fullname" : "Immunohistochemistry (Formalin/PFA-fixed paraffin-embedded sections)", "shortname":"IHC-P"} }, "product-promise": { "all": "all", "testedAndGuaranteed": "tested", "guaranteed": "expected", "predicted": "predicted", "notRecommended": "not-recommended" } }, "values": { "Human": { "IP-species-checked": "notRecommended", "IP-species-dilution-info": "", "IP-species-notes": "<p></p>", "FlowCyt-species-checked": "notRecommended", "FlowCyt-species-dilution-info": "", "FlowCyt-species-notes": "<p></p>", "WB-species-checked": "notRecommended", "WB-species-dilution-info": "", "WB-species-notes": "<p></p>", "ICCIF-species-checked": "notRecommended", "ICCIF-species-dilution-info": "", "ICCIF-species-notes": "<p></p>", "IHCP-species-checked": "testedAndGuaranteed", "IHCP-species-dilution-info": "", "IHCP-species-notes": "<p></p>" }, "Mouse": { "IP-species-checked": "notRecommended", "IP-species-dilution-info": "", "IP-species-notes": "<p></p>", "FlowCyt-species-checked": "notRecommended", "FlowCyt-species-dilution-info": "", "FlowCyt-species-notes": "<p></p>", "WB-species-checked": "notRecommended", "WB-species-dilution-info": "", "WB-species-notes": "<p></p>", "ICCIF-species-checked": "notRecommended", "ICCIF-species-dilution-info": "", "ICCIF-species-notes": "<p></p>", "IHCP-species-checked": "notRecommended", "IHCP-species-dilution-info": "", "IHCP-species-notes": "<p></p>" }, "Rat": { "IP-species-checked": "notRecommended", "IP-species-dilution-info": "", "IP-species-notes": "", "FlowCyt-species-checked": "notRecommended", "FlowCyt-species-dilution-info": "", "FlowCyt-species-notes": "", "WB-species-checked": "notRecommended", "WB-species-dilution-info": "", "WB-species-notes": "<p></p>", "ICCIF-species-checked": "notRecommended", "ICCIF-species-dilution-info": "", "ICCIF-species-notes": "", "IHCP-species-checked": "notRecommended", "IHCP-species-dilution-info": "", "IHCP-species-notes": "<p></p>" } } }

You may be interested in:

AB239702

Bile Acid Assay Kit (Colorimetric)

0

0 Reviews

View product

We recommend this product because it’s often used in the same experiment or related research.

We advise that you always check the datasheet to ensure it fits your experiments, or contact ourtechnical teamfor help.

Product details

ab272459 is the carrier-free version of ab272457.

Patented technology
Our RabMAb® technology is a patented hybridoma-based technology for making rabbit monoclonal antibodies. For details on our patents, please refer to RabMAb® patents.

What are the advantages of a recombinant monoclonal antibody?
This product is a recombinant monoclonal antibody, which offers several advantages including:

  • - High batch-to-batch consistency and reproducibility
  • - Improved sensitivity and specificity
  • - Long-term security of supply
  • - Animal-free batch production

For more information, read more on recombinant antibodies.

Conjugation ready
Our carrier-free antibodies are typically supplied in a PBS-only formulation, purified and free of BSA, sodium azide and glycerol. This conjugation-ready format is designed for use with fluorochromes, metal isotopes, oligonucleotides, and enzymes, which makes them ideal for antibody labelling, functional and cell-based assays, flow-based assays (e.g. mass cytometry) and Multiplex Imaging applications.

Use our conjugation kits for antibody conjugates that are ready-to-use in as little as 20 minutes with 1 minute hands-on-time and 100% antibody recovery: available for fluorescent dyes, HRP, biotin and gold.

Compatibility
This product is compatible with the Maxpar® Antibody Labeling Kit from Fluidigm, without the need for antibody preparation. Maxpar® is a trademark of Fluidigm Canada Inc.

Properties and storage information

Form
Liquid
Purification technique
Affinity purification Protein A
Storage buffer
pH: 7.2 - 7.4 Constituents: PBS
Shipped at conditions
Blue Ice
Appropriate short-term storage conditions
+4°C
Appropriate long-term storage conditions
+4°C
Storage information
Do Not Freeze

Supplementary information

This supplementary information is collated from multiple sources and compiled automatically.

ABCB4 also known as MDR3 is a member of the ATP-binding cassette (ABC) transporter family with a molecular weight of approximately 140 kDa. This protein is mainly expressed in the canalicular membrane of hepatocytes in the liver. Its primary mechanical function involves the translocation of phosphatidylcholine from the inner to the outer leaflet of the hepatocyte membrane into bile.
Biological function summary

This phospholipid translocation is essential for the formation of bile that is non-toxic and aids in digestion. ABCB4 does not function alone; it operates as a part of a heterocomplex with other proteins that contribute to bile formation and secretion. The absence or dysfunction of this target results in imbalanced bile composition which can negatively impact liver function.

Pathways

The ABCB4 protein plays a significant role in the enterohepatic circulation of bile acids. It interacts closely with the bile salt export pump (BSEP) to facilitate the secretion of bile acids into bile. This protein is also linked to the phospholipid transport exact in the hepatic pathways collaborating with other ABC transporters such as ABCB11 underpinning the finely tuned processes that maintain hepatic homeostasis.

Mutations or deficiencies in ABCB4 are commonly associated with progressive familial intrahepatic cholestasis type 3 (PFIC3) and intrahepatic cholestasis of pregnancy (ICP). Defects in the function of this protein lead to toxic bile accumulation causing cholestasis. Other related proteins such as ABCB11 and ATP8B1 may also influence the occurrence of these disorders due to their overlapping roles in hepatobiliary transport processes.

Product protocols

For this product, it's our understanding that no specific protocols are required. You can visit:

Target data

Isoform 1. Energy-dependent phospholipid efflux translocator that acts as a positive regulator of biliary lipid secretion. Functions as a floppase that translocates specifically phosphatidylcholine (PC) from the inner to the outer leaflet of the canalicular membrane bilayer into the canaliculi of hepatocytes. Translocation of PC makes the biliary phospholipids available for extraction into the canaliculi lumen by bile salt mixed micelles and therefore protects the biliary tree from the detergent activity of bile salts (PubMed : 17523162, PubMed : 21820390, PubMed : 23468132, PubMed : 24594635, PubMed : 24723470, PubMed : 24806754, PubMed : 31873305, PubMed : 7957936, PubMed : 8898203, PubMed : 9366571). Plays a role in the recruitment of phosphatidylcholine (PC), phosphatidylethanolamine (PE) and sphingomyelin (SM) molecules to nonraft membranes and to further enrichment of SM and cholesterol in raft membranes in hepatocytes (PubMed : 23468132). Required for proper phospholipid bile formation (By similarity). Indirectly involved in cholesterol efflux activity from hepatocytes into the canalicular lumen in the presence of bile salts in an ATP-dependent manner (PubMed : 24045840). Promotes biliary phospholipid secretion as canaliculi-containing vesicles from the canalicular plasma membrane (PubMed : 28012258, PubMed : 9366571). In cooperation with ATP8B1, functions to protect hepatocytes from the deleterious detergent activity of bile salts (PubMed : 21820390). Does not confer multidrug resistance (By similarity).
See full target information ABCB4

Product promise

We are committed to supporting your work with high-quality reagents, and we're here for you every step of the way. In the unlikely event that one of our products does not perform as expected, you're protected by our Product Promise.
For full details, please see our Terms & Conditions

Please note: All products are 'FOR RESEARCH USE ONLY. NOT FOR USE IN DIAGNOSTIC OR THERAPEUTIC PROCEDURES'.

For licensing inquiries, please contact partnerships@abcam.com