JavaScript is disabled in your browser. Please enable JavaScript to view this website.
AB317574

Anti-ABCB4 antibody [EPR28774-92] - BSA and Azide free

Be the first to review this product! Submit a review

|

(0 Publication)

Rabbit Recombinant Monoclonal ABCB4 antibody. Carrier free. Suitable for WB and reacts with Transfected cell lysate - Human, Mouse, Rat, Human samples.

View Alternative Names

MDR3, PGY3, ABCB4, Phosphatidylcholine translocator ABCB4, ATP-binding cassette sub-family B member 4, Multidrug resistance protein 3, P-glycoprotein 3

5 Images
Western blot - Anti-ABCB4 antibody [EPR28774-92] - BSA and Azide free (AB317574)
  • WB

Supplier Data

Western blot - Anti-ABCB4 antibody [EPR28774-92] - BSA and Azide free (AB317574)

This data was developed using ab317573, the same antibody clone in a different buffer formulation.

The expression profile/ molecular weight observed is consistent with what has been described in the literature (PMID : 28220208).

Low expression : brain (PMID : 7734012).

The identity of the bands at 37 kDa and 60 kDa are unknown.

Samples are non-boiled as boiling may cause protein aggregation.

In Western blot, Anti-GAPDH antibody [EPR16891] - Loading Control (ab181602) staining at 1/200000 dilution.

All lanes:

Western blot - Anti-ABCB4 antibody [EPR28774-92] (<a href='/en-us/products/primary-antibodies/abcb4-antibody-epr28774-92-ab317573'>ab317573</a>) at 1/1000 dilution

Lane 1:

Human liver cancer tissue lysate at 50 µg with NFDM/TBST

Lane 2:

Human liver tissue lysate at 50 µg with NFDM/TBST

Lane 3:

Human brainstem tissue lysate at 50 µg with NFDM/TBST

Secondary

All lanes:

Goat Anti-Rabbit IgG (HRP) with minimal cross-reactivity with human IgG at 1/2000 dilution

Observed band size: 140-250 kDa,36 kDa

true

Exposure time: 70s

Western blot - Anti-ABCB4 antibody [EPR28774-92] - BSA and Azide free (AB317574)
  • WB

Supplier Data

Western blot - Anti-ABCB4 antibody [EPR28774-92] - BSA and Azide free (AB317574)

This data was developed using ab317573, the same antibody clone in a different buffer formulation.

The expression profile/ molecular weight observed is consistent with what has been described in the literature (PMID : 28220208).

The identity of the bands at 37 kDa and 60 kDa are unknown.

Samples are non-boiled as boiling may cause protein aggregation.

In Western blot, Anti-GAPDH antibody [EPR16891] - Loading Control (ab181602) staining at 1/200000 dilution.

All lanes:

Western blot - Anti-ABCB4 antibody [EPR28774-92] (<a href='/en-us/products/primary-antibodies/abcb4-antibody-epr28774-92-ab317573'>ab317573</a>) at 1/1000 dilution

All lanes:

McA-RH7777 (rat liver epithelial cell) whole cell lysate at 20 µg with NFDM/TBST

Secondary

All lanes:

Western blot - Goat Anti-Rabbit IgG H&L (HRP) (<a href='/en-us/products/secondary-antibodies/goat-rabbit-igg-h-l-hrp-ab97051'>ab97051</a>) at 1/20000 dilution

Observed band size: 140-150 kDa,36 kDa

true

Exposure time: 180s

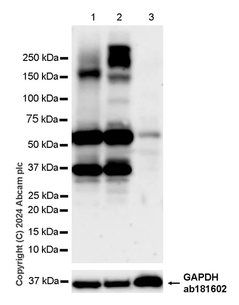
Western blot - Anti-ABCB4 antibody [EPR28774-92] - BSA and Azide free (AB317574)
  • WB

Supplier Data

Western blot - Anti-ABCB4 antibody [EPR28774-92] - BSA and Azide free (AB317574)

This data was developed using ab317573, the same antibody clone in a different buffer formulation.

ABCB4 is a glycoprotein of approximately 150 kDa and detected as a 140-kDa band after treated with Peptide : N-glycosidase F (PNGase F).

The expression profile/ molecular weight observed is consistent with what has been described in the literature (PMID : 28220208, PMID : 24806754).

The identity of the bands at 37 kDa and 60 kDa are unknown.

Samples are non-boiled as boiling may cause protein aggregation.

In Western blot, Anti-GAPDH antibody [EPR16891] - Loading Control (ab181602) staining at 1/200000 dilution.

All lanes:

Western blot - Anti-ABCB4 antibody [EPR28774-92] (<a href='/en-us/products/primary-antibodies/abcb4-antibody-epr28774-92-ab317573'>ab317573</a>) at 1/1000 dilution

Lane 1:

Untreated Mouse liver tissue lysate at 20 µg with NFDM/TBST

Lane 2:

Mouse liver tissue lysate treated with Peptide:N-glycosidase F (PNGase F) at 20 µg with NFDM/TBST

Secondary

All lanes:

Western blot - Goat Anti-Rabbit IgG H&L (HRP) (<a href='/en-us/products/secondary-antibodies/goat-rabbit-igg-h-l-hrp-ab97051'>ab97051</a>) at 1/20000 dilution

Observed band size: 140 kDa,150 kDa,36 kDa

true

Exposure time: 92s

Western blot - Anti-ABCB4 antibody [EPR28774-92] - BSA and Azide free (AB317574)
  • WB

Supplier Data

Western blot - Anti-ABCB4 antibody [EPR28774-92] - BSA and Azide free (AB317574)

This data was developed using ab317573, the same antibody clone in a different buffer formulation.

The expression profile/ molecular weight observed is consistent with what has been described in the literature (PMID : 28220208).

Low expression : spleen, skeletal muscle (PMID : 7734012).

The identity of the bands at 37 kDa and 60 kDa are unknown.

Samples are non-boiled as boiling may cause protein aggregation.

In Western blot, Anti-GAPDH antibody [EPR16891] - Loading Control (ab181602) staining at 1/200000 dilution.

In Western blot, Anti-E Cadherin antibody [EPR16845-108] (ab181296) staining at 1/1000 dilution.

All lanes:

Western blot - Anti-ABCB4 antibody [EPR28774-92] (<a href='/en-us/products/primary-antibodies/abcb4-antibody-epr28774-92-ab317573'>ab317573</a>) at 1/1000 dilution

Lane 1:

Mouse liver tissue lysate non-membrane fraction at 20 µg with NFDM/TBST

Lane 2:

Mouse liver tissue lysate membrane fraction at 20 µg with NFDM/TBST

Lane 3:

Mouse liver tissue lysate at 20 µg with NFDM/TBST

Lane 4:

Mouse spleen tissue lysate at 20 µg with NFDM/TBST

Lane 5:

Mouse skeletal muscle tissue lysate at 20 µg with NFDM/TBST

Lane 6:

Rat liver tissue lysate at 20 µg with NFDM/TBST

Lane 7:

Rat spleen tissue lysate at 20 µg with NFDM/TBST

Secondary

All lanes:

Western blot - Goat Anti-Rabbit IgG H&L (HRP) (<a href='/en-us/products/secondary-antibodies/goat-rabbit-igg-h-l-hrp-ab97051'>ab97051</a>) at 1/20000 dilution

Observed band size: 140-150 kDa,36 kDa,125 kDa

true

Exposure time: 180s

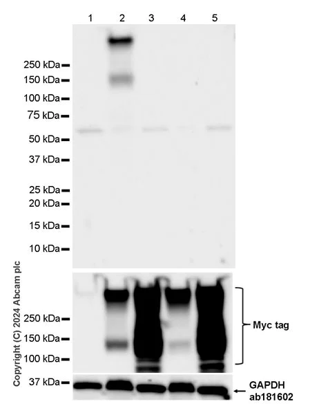
Western blot - Anti-ABCB4 antibody [EPR28774-92] - BSA and Azide free (AB317574)
  • WB

Supplier Data

Western blot - Anti-ABCB4 antibody [EPR28774-92] - BSA and Azide free (AB317574)

This data was developed using ab317573, the same antibody clone in a different buffer formulation.

This antibody does not cross-react with human ABCB5, ABCB1, ABCB11.

Samples are non-boiled as boiling may cause protein aggregation.

In Western blot, Anti-GAPDH antibody [EPR16891] - Loading Control (ab181602) staining at 1/200000 dilution.

In Western blot, Anti-Myc tag® antibody staining at 1/5000 dilution.

All lanes:

Western blot - Anti-ABCB4 antibody [EPR28774-92] (<a href='/en-us/products/primary-antibodies/abcb4-antibody-epr28774-92-ab317573'>ab317573</a>) at 1/1000 dilution

Lane 1:

293T cells transfected with an empty vector containing a His-tag, whole cell lysate at 20 µg with NFDM/TBST

Lane 2:

293T cells transfected with a Human ABCB4 expression vector containing a His-tag, whole cell lysate at 40 µg with NFDM/TBST

Lane 3:

293T cells transfected with a Human ABCB1 expression vector containing a His-tag, whole cell lysate at 10 µg with NFDM/TBST

Lane 4:

293T cells transfected with a Human ABCB5 expression vector containing a His-tag, whole cell lysate at 40 µg with NFDM/TBST

Lane 5:

293T cells transfected with a Human ABCB11 expression vector containing a His-tag, whole cell lysate at 10 µg with NFDM/TBST

Secondary

All lanes:

Western blot - Goat Anti-Rabbit IgG H&L (HRP) (<a href='/en-us/products/secondary-antibodies/goat-rabbit-igg-h-l-hrp-ab97051'>ab97051</a>) at 1/10000 dilution

Observed band size: 140-250 kDa,36 kDa

false

Exposure time: 37s

Key facts

Host species

Rabbit

Clonality

Monoclonal

Clone number

EPR28774-92

Isotype

IgG

Carrier free

Yes

Reacts with

Mouse, Rat, Human

Applications

WB

applications

Immunogen

The exact immunogen used to generate this antibody is proprietary information.

Reactivity data

{ "title": "Reactivity Data", "filters": { "stats": ["", "Species", "Dilution Info", "Notes"], "tabs": { "all-applications": {"fullname" : "All Applications", "shortname": "All Applications"}, "WB" : {"fullname" : "Western blot", "shortname":"WB"}, "IP" : {"fullname" : "Immunoprecipitation", "shortname":"IP"}, "ICCIF" : {"fullname" : "Immunocytochemistry/ Immunofluorescence", "shortname":"ICC/IF"}, "IHCP" : {"fullname" : "Immunohistochemistry (Formalin/PFA-fixed paraffin-embedded sections)", "shortname":"IHC-P"} }, "product-promise": { "all": "all", "testedAndGuaranteed": "tested", "guaranteed": "expected", "predicted": "predicted", "notRecommended": "not-recommended" } }, "values": { "Human": { "WB-species-checked": "testedAndGuaranteed", "WB-species-dilution-info": "", "WB-species-notes": "<p></p>", "IP-species-checked": "notRecommended", "IP-species-dilution-info": "", "IP-species-notes": "<p></p>", "ICCIF-species-checked": "notRecommended", "ICCIF-species-dilution-info": "", "ICCIF-species-notes": "<p></p>", "IHCP-species-checked": "notRecommended", "IHCP-species-dilution-info": "", "IHCP-species-notes": "<p></p>" }, "Mouse": { "WB-species-checked": "testedAndGuaranteed", "WB-species-dilution-info": "", "WB-species-notes": "<p></p>", "IP-species-checked": "notRecommended", "IP-species-dilution-info": "", "IP-species-notes": "<p></p>", "ICCIF-species-checked": "notRecommended", "ICCIF-species-dilution-info": "", "ICCIF-species-notes": "<p></p>", "IHCP-species-checked": "notRecommended", "IHCP-species-dilution-info": "", "IHCP-species-notes": "<p></p>" }, "Rat": { "WB-species-checked": "testedAndGuaranteed", "WB-species-dilution-info": "", "WB-species-notes": "<p></p>", "IP-species-checked": "notRecommended", "IP-species-dilution-info": "", "IP-species-notes": "", "ICCIF-species-checked": "notRecommended", "ICCIF-species-dilution-info": "", "ICCIF-species-notes": "<p></p>", "IHCP-species-checked": "notRecommended", "IHCP-species-dilution-info": "", "IHCP-species-notes": "<p></p>" }, "Transfected cell lysate - Human": { "WB-species-checked": "testedAndGuaranteed", "WB-species-dilution-info": "", "WB-species-notes": "<p></p>", "IP-species-checked": "notRecommended", "IP-species-dilution-info": "", "IP-species-notes": "", "ICCIF-species-checked": "notRecommended", "ICCIF-species-dilution-info": "", "ICCIF-species-notes": "", "IHCP-species-checked": "notRecommended", "IHCP-species-dilution-info": "", "IHCP-species-notes": "" } } }

Product details

ab317574 is the carrier-free version of ab317573.

Patented technology
Our RabMAb® technology is a patented hybridoma-based technology for making rabbit monoclonal antibodies. For details on our patents, please refer to RabMAb® patents.

What are the advantages of a recombinant monoclonal antibody?
This product is a recombinant monoclonal antibody, which offers several advantages including:

  • - High batch-to-batch consistency and reproducibility
  • - Improved sensitivity and specificity
  • - Long-term security of supply
  • - Animal-free batch production

For more information, read more on recombinant antibodies.

Conjugation ready
Our carrier-free antibodies are typically supplied in a PBS-only formulation, purified and free of BSA, sodium azide and glycerol. This conjugation-ready format is designed for use with fluorochromes, metal isotopes, oligonucleotides, and enzymes, which makes them ideal for antibody labelling, functional and cell-based assays, flow-based assays (e.g. mass cytometry) and Multiplex Imaging applications.

Use our conjugation kits for antibody conjugates that are ready-to-use in as little as 20 minutes with 1 minute hands-on-time and 100% antibody recovery: available for fluorescent dyes, HRP, biotin and gold.

Compatibility
This product is compatible with the Maxpar® Antibody Labeling Kit from Fluidigm, without the need for antibody preparation. Maxpar® is a trademark of Fluidigm Canada Inc.

Properties and storage information

Form
Liquid
Purification technique
Affinity purification Protein A
Storage buffer
pH: 7.2 - 7.4 Constituents: 100% PBS
Shipped at conditions
Blue Ice
Appropriate short-term storage conditions
+4°C
Appropriate long-term storage conditions
+4°C

Supplementary information

This supplementary information is collated from multiple sources and compiled automatically.

ABCB4 also known as MDR3 is a member of the ATP-binding cassette (ABC) transporter family with a molecular weight of approximately 140 kDa. This protein is mainly expressed in the canalicular membrane of hepatocytes in the liver. Its primary mechanical function involves the translocation of phosphatidylcholine from the inner to the outer leaflet of the hepatocyte membrane into bile.
Biological function summary

This phospholipid translocation is essential for the formation of bile that is non-toxic and aids in digestion. ABCB4 does not function alone; it operates as a part of a heterocomplex with other proteins that contribute to bile formation and secretion. The absence or dysfunction of this target results in imbalanced bile composition which can negatively impact liver function.

Pathways

The ABCB4 protein plays a significant role in the enterohepatic circulation of bile acids. It interacts closely with the bile salt export pump (BSEP) to facilitate the secretion of bile acids into bile. This protein is also linked to the phospholipid transport exact in the hepatic pathways collaborating with other ABC transporters such as ABCB11 underpinning the finely tuned processes that maintain hepatic homeostasis.

Mutations or deficiencies in ABCB4 are commonly associated with progressive familial intrahepatic cholestasis type 3 (PFIC3) and intrahepatic cholestasis of pregnancy (ICP). Defects in the function of this protein lead to toxic bile accumulation causing cholestasis. Other related proteins such as ABCB11 and ATP8B1 may also influence the occurrence of these disorders due to their overlapping roles in hepatobiliary transport processes.

Product protocols

For this product, it's our understanding that no specific protocols are required. You can visit:

Target data

Isoform 1. Energy-dependent phospholipid efflux translocator that acts as a positive regulator of biliary lipid secretion. Functions as a floppase that translocates specifically phosphatidylcholine (PC) from the inner to the outer leaflet of the canalicular membrane bilayer into the canaliculi of hepatocytes. Translocation of PC makes the biliary phospholipids available for extraction into the canaliculi lumen by bile salt mixed micelles and therefore protects the biliary tree from the detergent activity of bile salts (PubMed : 17523162, PubMed : 21820390, PubMed : 23468132, PubMed : 24594635, PubMed : 24723470, PubMed : 24806754, PubMed : 31873305, PubMed : 7957936, PubMed : 8898203, PubMed : 9366571). Plays a role in the recruitment of phosphatidylcholine (PC), phosphatidylethanolamine (PE) and sphingomyelin (SM) molecules to nonraft membranes and to further enrichment of SM and cholesterol in raft membranes in hepatocytes (PubMed : 23468132). Required for proper phospholipid bile formation (By similarity). Indirectly involved in cholesterol efflux activity from hepatocytes into the canalicular lumen in the presence of bile salts in an ATP-dependent manner (PubMed : 24045840). Promotes biliary phospholipid secretion as canaliculi-containing vesicles from the canalicular plasma membrane (PubMed : 28012258, PubMed : 9366571). In cooperation with ATP8B1, functions to protect hepatocytes from the deleterious detergent activity of bile salts (PubMed : 21820390). Does not confer multidrug resistance (By similarity).
See full target information ABCB4

Product promise

We are committed to supporting your work with high-quality reagents, and we're here for you every step of the way. In the unlikely event that one of our products does not perform as expected, you're protected by our Product Promise.
For full details, please see our Terms & Conditions

Please note: All products are 'FOR RESEARCH USE ONLY. NOT FOR USE IN DIAGNOSTIC OR THERAPEUTIC PROCEDURES'.

For licensing inquiries, please contact partnerships@abcam.com