JavaScript is disabled in your browser. Please enable JavaScript to view this website.
AB203120

Anti-ABCB5 antibody

4

(1 Review)

|

(2 Publications)

Rabbit Polyclonal ABCB5 antibody. Suitable for IHC-P and reacts with Mouse samples. Cited in 2 publications. Immunogen corresponding to Synthetic Peptide within Human ATP-binding cassette sub-family B member 5 aa 1200-1250 conjugated to Keyhole Limpet Haemocyanin.

View Alternative Names

ATP-binding cassette sub-family B member 5, ABCB5 P-gp, P-glycoprotein ABCB5, ABCB5

1 Images
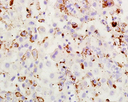
Immunohistochemistry (Formalin/PFA-fixed paraffin-embedded sections) - Anti-ABCB5 antibody (AB203120)
  • IHC-P

Supplier Data

Immunohistochemistry (Formalin/PFA-fixed paraffin-embedded sections) - Anti-ABCB5 antibody (AB203120)

Immunohistochemical analysis of formalin/PFA-fixed paraffin-embedded mouse melanoma tissue sections labeling ABCB5 with ab203120 at a 1/200 dilution, followed by conjugation to the secondary antibody and DAB staining.

Key facts

Host species

Rabbit

Clonality

Polyclonal

Isotype

IgG

Carrier free

No

Reacts with

Mouse

Applications

IHC-P

applications

Immunogen

Synthetic Peptide within Human ATP-binding cassette sub-family B member 5 aa 1200-1250 conjugated to Keyhole Limpet Haemocyanin. The exact immunogen used to generate this antibody is proprietary information.

Q2M3G0

Reactivity data

{ "title": "Reactivity Data", "filters": { "stats": ["", "Species", "Dilution Info", "Notes"], "tabs": { "all-applications": {"fullname" : "All Applications", "shortname": "All Applications"}, "IHCP" : {"fullname" : "Immunohistochemistry (Formalin/PFA-fixed paraffin-embedded sections)", "shortname":"IHC-P"} }, "product-promise": { "all": "all", "testedAndGuaranteed": "tested", "guaranteed": "expected", "predicted": "predicted", "notRecommended": "not-recommended" } }, "values": { "Mouse": { "IHCP-species-checked": "testedAndGuaranteed", "IHCP-species-dilution-info": "1/100 - 1/500", "IHCP-species-notes": "<p></p> Perform heat-mediated antigen retrieval with citrate buffer pH 6 before commencing with IHC staining protocol." } } }

Properties and storage information

Form
Liquid
Purification technique
Affinity purification Protein A
Storage buffer
pH: 7.4 Preservative: 0.02% Proclin 300 Constituents: 50% Glycerol (glycerin, glycerine), 48.98% TBS, 1X, 1% BSA
Shipped at conditions
Blue Ice
Appropriate short-term storage duration
1-2 weeks
Appropriate short-term storage conditions
+4°C
Appropriate long-term storage conditions
-20°C
Aliquoting information
Upon delivery aliquot
Storage information
Avoid freeze / thaw cycle

Supplementary information

This supplementary information is collated from multiple sources and compiled automatically.

ABCB5 also known as ATP-binding cassette sub-family B member 5 belongs to the ABC transporter family. This protein functions mechanically as a transmembrane transporter that moves various molecules across cellular membranes using ATP hydrolysis. ABCB5 has a molecular mass of approximately 81 kDa. It is primarily expressed in stem cells melanocytes and certain cancer cells notably in the skin and eye tissues.
Biological function summary

ABCB5 plays an essential role in the regulation of cellular processes including development proliferation and differentiation. It is part of the ATP-binding cassette transporters which help in maintaining cellular homeostasis by exporting toxic substances out of cells. In stem cells ABCB5 maintains the undifferentiated state and protects cells from apoptosis by mediating efflux of drugs contributing to multidrug resistance.

Pathways

ABCB5 interacts with several cellular pathways involved in cell survival and drug resistance. It is closely connected with the Wnt/beta-catenin signaling pathway which regulates cell proliferation and differentiation. ABCB5 also interacts with proteins like P-glycoprotein (ABCB1) as they both participate in similar drug resistance mechanisms affecting therapeutic outcomes in cancer treatment.

Research links ABCB5 to cancer progression and treatment resistance especially in melanoma and colorectal cancer. Its overexpression associates with chemotherapy resistance indicating a need for targeted therapy approaches. In melanoma proteins such as CD133 and ABCB5 together contribute to maintaining cancer stem cell populations which can lead to metastasis and recurrence.

Product protocols

For this product, it's our understanding that no specific protocols are required. You can visit:

Target data

Energy-dependent efflux transporter responsible for decreased drug accumulation in multidrug-resistant cells (PubMed : 12960149, PubMed : 15205344, PubMed : 15899824, PubMed : 22306008). Specifically present in limbal stem cells, where it plays a key role in corneal development and repair (By similarity).
See full target information ATP-binding cassette sub-family B member 5

Publications (2)

Recent publications for all applications. Explore the full list and refine your search

Neural regeneration research 21:333-345 PubMed40489346

2025

Neuroserpin alleviates cerebral ischemia-reperfusion injury by suppressing ischemia-induced endoplasmic reticulum stress.

Applications

Unspecified application

Species

Unspecified reactive species

Yumei Liao,Qinghua Zhang,Qiaoyun Shi,Peng Liu,Peiyun Zhong,Lingling Guo,Zijian Huang,Yinghui Peng,Wei Liu,Shiqing Zhang,István Adorján,Yumi Fukuzaki,Eri Kawashita,Xiao-Qi Zhang,Nan Ma,Xiaoshen Zhang,Zoltán Molnár,Lei Shi

International journal of cancer 146:192-207 PubMed31107974

2019

Wnt/IL-1β/IL-8 autocrine circuitries control chemoresistance in mesothelioma initiating cells by inducing ABCB5.

Applications

Unspecified application

Species

Unspecified reactive species

Vladan Milosevic,Joanna Kopecka,Iris C Salaroglio,Roberta Libener,Francesca Napoli,Stefania Izzo,Sara Orecchia,Preeta Ananthanarayanan,Paolo Bironzo,Federica Grosso,Fabrizio Tabbò,Valentina Comunanza,Teodora Alexa-Stratulat,Federico Bussolino,Luisella Righi,Silvia Novello,Giorgio V Scagliotti,Chiara Riganti
View all publications

Product promise

We are committed to supporting your work with high-quality reagents, and we're here for you every step of the way. In the unlikely event that one of our products does not perform as expected, you're protected by our Product Promise.
For full details, please see our Terms & Conditions

Please note: All products are 'FOR RESEARCH USE ONLY. NOT FOR USE IN DIAGNOSTIC OR THERAPEUTIC PROCEDURES'.

For licensing inquiries, please contact partnerships@abcam.com