JavaScript is disabled in your browser. Please enable JavaScript to view this website.
AB272609

Anti-ABCC11 antibody

Be the first to review this product! Submit a review

|

(0 Publication)

Rabbit Polyclonal MRP8 antibody. Suitable for IHC-P and reacts with Human samples. Immunogen corresponding to Recombinant Fragment Protein within Human ABCC11 aa 450-550.

View Alternative Names

MRP8, ABCC11, ATP-binding cassette sub-family C member 11, Multidrug resistance-associated protein 8

2 Images
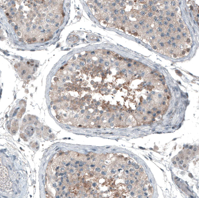
Immunohistochemistry (Formalin/PFA-fixed paraffin-embedded sections) - Anti-ABCC11 antibody (AB272609)
  • IHC-P

Unknown

Immunohistochemistry (Formalin/PFA-fixed paraffin-embedded sections) - Anti-ABCC11 antibody (AB272609)

Paraffin-embedded formalin-fixed Human testis tissue stained for ABCC11 using ab272609 at 1/500 in immunohistochemical analysis.

Immunohistochemistry (Formalin/PFA-fixed paraffin-embedded sections) - Anti-ABCC11 antibody (AB272609)
  • IHC-P

Unknown

Immunohistochemistry (Formalin/PFA-fixed paraffin-embedded sections) - Anti-ABCC11 antibody (AB272609)

Paraffin-embedded formalin-fixed Human cerebellum tissue stained for ABCC11 using ab272609 at 1/500 in immunohistochemical analysis.

Key facts

Host species

Rabbit

Clonality

Polyclonal

Isotype

IgG

Carrier free

No

Reacts with

Human

Applications

IHC-P

applications

Immunogen

Recombinant Fragment Protein within Human ABCC11 aa 450-550. The exact immunogen used to generate this antibody is proprietary information.

Q96J66

Reactivity data

{ "title": "Reactivity Data", "filters": { "stats": ["", "Species", "Dilution Info", "Notes"], "tabs": { "all-applications": {"fullname" : "All Applications", "shortname": "All Applications"}, "IHCP" : {"fullname" : "Immunohistochemistry (Formalin/PFA-fixed paraffin-embedded sections)", "shortname":"IHC-P"} }, "product-promise": { "all": "all", "testedAndGuaranteed": "tested", "guaranteed": "expected", "predicted": "predicted", "notRecommended": "not-recommended" } }, "values": { "Human": { "IHCP-species-checked": "testedAndGuaranteed", "IHCP-species-dilution-info": "1/200 - 1/500", "IHCP-species-notes": "<p></p> Perform heat-mediated antigen retrieval with citrate buffer pH 6 before commencing with IHC staining protocol." } } }

Properties and storage information

Form
Liquid
Purification technique
Affinity purification Immunogen
Storage buffer
pH: 7.2 Preservative: 0.02% Sodium azide Constituents: PBS, 40% Glycerol (glycerin, glycerine)
Shipped at conditions
Blue Ice
Appropriate short-term storage duration
1-2 weeks
Appropriate short-term storage conditions
+4°C
Appropriate long-term storage conditions
-20°C
Aliquoting information
Upon delivery aliquot
Storage information
Avoid freeze / thaw cycle

Product protocols

For this product, it's our understanding that no specific protocols are required. You can visit:

Target data

ATP-dependent transporter of the ATP-binding cassette (ABC) family that actively extrudes physiological compounds and xenobiotics from cells. Plays a role in physiological processes involving bile acids, conjugated steroids and cyclic nucleotides, including cAMP and cGMP (PubMed : 12764137, PubMed : 15537867). Mediates the ATP-dependent efflux of a range of physiological lipophilic anions, including the glutathione S-conjugates leukotriene C4 and dinitrophenyl S-glutathione, steroid sulfates, such as dehydroepiandrosterone 3-sulfate (DHEAS) and estrone 3-sulfate, glucuronides such as estradiol 17-beta-D-glucuronide (E(2)17betaG), the monoanionic bile acids glycocholate and taurocholate, and methotrexate (PubMed : 15537867, PubMed : 16359813, PubMed : 25896536). Plays a role in the transport of earwax components (PubMed : 16444273, PubMed : 19383836). Participates in the secretion of odorants and their precursors from the apocrine sweat glands, including the secretion of glutamine conjugates, as well as the Cys-Gly-(S) conjugates of 3-methyl-3-sulfanyl-hexanol (PubMed : 19710689). Involved in the cellular extrusion of nucleotide analogs, hence confering resistance to various drugs, including clinically relevant drugs such as 5-fluorouracil (5-FU) and methotrexate (PubMed : 12764137, PubMed : 15537867, PubMed : 25896536).
See full target information ABCC11

Product promise

We are committed to supporting your work with high-quality reagents, and we're here for you every step of the way. In the unlikely event that one of our products does not perform as expected, you're protected by our Product Promise.
For full details, please see our Terms & Conditions

Please note: All products are 'FOR RESEARCH USE ONLY. NOT FOR USE IN DIAGNOSTIC OR THERAPEUTIC PROCEDURES'.

For licensing inquiries, please contact partnerships@abcam.com