JavaScript is disabled in your browser. Please enable JavaScript to view this website.
AB238502

Anti-ABCD2 antibody

Be the first to review this product! Submit a review

|

(0 Publication)

Rabbit Polyclonal ABCD2 antibody. Suitable for IHC-P and reacts with Human samples. Immunogen corresponding to Recombinant Fragment Protein within Human ABCD2 aa 550 to C-terminus.

View Alternative Names

ALD1, ALDL1, ALDR, ALDRP, ABCD2, ATP-binding cassette sub-family D member 2, Adrenoleukodystrophy-like 1, Adrenoleukodystrophy-related protein, hALDR

1 Images
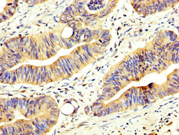
Immunohistochemistry (Formalin/PFA-fixed paraffin-embedded sections) - Anti-ABCD2 antibody (AB238502)
  • IHC-P

Supplier Data

Immunohistochemistry (Formalin/PFA-fixed paraffin-embedded sections) - Anti-ABCD2 antibody (AB238502)

Paraffin-embedded human colon cancer tissue stained for ABCD2 using ab238502 at 1/200 dilution in immunohistochemical analysis.

After dewaxing and hydration, antigen retrieval was mediated by high pressure in a citrate buffer (pH 6.0). Section was blocked with 10% normal goat serum 30 minutes at RT. Then primary antibody (1% BSA) was incubated at 4°C overnight. The primary is detected by a biotinylated secondary antibody and visualized using an HRP conjugated SP system.

Key facts

Host species

Rabbit

Clonality

Polyclonal

Isotype

IgG

Carrier free

No

Reacts with

Human

Applications

IHC-P

applications

Immunogen

Recombinant Fragment Protein within Human ABCD2 aa 550 to C-terminus. The exact immunogen used to generate this antibody is proprietary information.

Q9UBJ2

Reactivity data

{ "title": "Reactivity Data", "filters": { "stats": ["", "Species", "Dilution Info", "Notes"], "tabs": { "all-applications": {"fullname" : "All Applications", "shortname": "All Applications"}, "IHCP" : {"fullname" : "Immunohistochemistry (Formalin/PFA-fixed paraffin-embedded sections)", "shortname":"IHC-P"} }, "product-promise": { "all": "all", "testedAndGuaranteed": "tested", "guaranteed": "expected", "predicted": "predicted", "notRecommended": "not-recommended" } }, "values": { "Human": { "IHCP-species-checked": "testedAndGuaranteed", "IHCP-species-dilution-info": "1/200 - 1/500", "IHCP-species-notes": "<p></p>" }, "Mouse": { "IHCP-species-checked": "predicted", "IHCP-species-dilution-info": "", "IHCP-species-notes": "" }, "Rat": { "IHCP-species-checked": "predicted", "IHCP-species-dilution-info": "", "IHCP-species-notes": "" } } }

Properties and storage information

Form
Liquid
Purification technique
Affinity purification Protein G
Purification notes
Purity >95%
Storage buffer
pH: 7.4 Preservative: 0.03% Proclin 300 Constituents: PBS, 50% Glycerol (glycerin, glycerine)
Shipped at conditions
Blue Ice
Appropriate short-term storage duration
1-2 weeks
Appropriate short-term storage conditions
+4°C
Appropriate long-term storage conditions
-20°C
Aliquoting information
Upon delivery aliquot
Storage information
Avoid freeze / thaw cycle

Supplementary information

This supplementary information is collated from multiple sources and compiled automatically.

The ABCD2 protein also known as ALDR (adrenoleukodystrophy-related protein) is a member of the ATP-binding cassette (ABC) transporter family located on the peroxisomal membrane. It plays a role in the transport of very-long-chain fatty acids (VLCFAs) into peroxisomes. The molecular mass of ABCD2 is approximately 80 kDa. Expression of ABCD2 occurs widely in tissues with high levels found in adrenal glands brain and liver.
Biological function summary

ABCD2 influences the metabolism of lipids within cells by facilitating the import of VLCFAs which are subsequently broken down through beta-oxidation inside peroxisomes. It operates as part of a peroxisomal beta-oxidation complex. This protein also shares functional similarities with other ABC family transporters such as ABCD1 though with slightly different substrate specificities. Expression of ABCD2 increases in response to certain dietary and hormonal factors indicating a role in metabolic adaptation.

Pathways

ABCD2 integrates into peroxisomal fatty acid beta-oxidation and lipid metabolism pathways. It associates closely with ABCD1 within these pathways contributing to the regulation of fatty acid levels in cells. A deficiency in ABCD2 affects these metabolic pathways by altering VLCFA transport and utilization leading to an imbalance with downstream metabolic effects. The protein also interacts with PPAR (peroxisome proliferator-activated receptors) signaling influencing lipid homeostasis.

Issues with ABCD2 are linked to adrenoleukodystrophy (ALD) an inherited disorder that affects the nervous system and adrenal glands due to the accumulation of VLCFAs. The disease connects ABCD2 and ABCD1 proteins since mutations in the ABCD1 gene are known to cause ALD. Researchers are interested in ABCD2's potential compensatory role in similar metabolic pathways possibly offering therapeutic implications. Recent studies also explore connections between ABCD2 dysregulation and liver disorders involving VLCFA metabolism but further research is necessary to establish these links conclusively.

Product protocols

For this product, it's our understanding that no specific protocols are required. You can visit:

Target data

ATP-dependent transporter of the ATP-binding cassette (ABC) family involved in the transport of very long chain fatty acid (VLCFA)-CoA from the cytosol to the peroxisome lumen (PubMed : 21145416, PubMed : 29397936). Like ABCD1 seems to have fatty acyl-CoA thioesterase (ACOT) and ATPase activities, according to this model, VLCFA-CoA as free VLCFA is transpoted in an ATP-dependent manner into peroxisomes after the hydrolysis of VLCFA-CoA mediated by the ACOT activity of ABCD2 (Probable) (PubMed : 29397936). Shows overlapping substrate specificities with ABCD1 toward saturated fatty acids (FA) and monounsaturated FA (MUFA) but has a distinct substrate preference for shorter VLCFA (C22 : 0) and polyunsaturated fatty acid (PUFA) such as C22 : 6-CoA and C24 : 6-CoA (in vitro) (PubMed : 21145416). Thus, may play a role in regulation of VLCFAs and energy metabolism namely, in the degradation and biosynthesis of fatty acids by beta-oxidation (PubMed : 21145416).
See full target information ABCD2

Product promise

We are committed to supporting your work with high-quality reagents, and we're here for you every step of the way. In the unlikely event that one of our products does not perform as expected, you're protected by our Product Promise.
For full details, please see our Terms & Conditions

Associated Products

Select an associated product type
Alternative Product
Primary Antibodies

AB97383

Anti-ABCD2 antibody

primary-antibodies

abcd2-antibody-ab97383

0

(0 reviews)

Please note: All products are 'FOR RESEARCH USE ONLY. NOT FOR USE IN DIAGNOSTIC OR THERAPEUTIC PROCEDURES'.

For licensing inquiries, please contact partnerships@abcam.com