JavaScript is disabled in your browser. Please enable JavaScript to view this website.
AB250835

Anti-ABCE1 antibody [EPR15373(B)] - BSA and Azide free

Be the first to review this product! Submit a review

|

(1 Publication)

Rabbit Recombinant Monoclonal ABCE1 antibody. Carrier free. Suitable for ICC/IF, IP, WB, Flow Cyt (Intra), IHC-P and reacts with Human, Mouse, Rat samples. Cited in 1 publication.

View Alternative Names

RLI, RNASEL1, RNASELI, RNS4I, OK/SW-cl.40, ABCE1, ATP-binding cassette sub-family E member 1, 2'-5'-oligoadenylate-binding protein, HuHP68, RNase L inhibitor, Ribonuclease 4 inhibitor

8 Images
Immunohistochemistry (Formalin/PFA-fixed paraffin-embedded sections) - Anti-ABCE1 antibody [EPR15373(B)] - BSA and Azide free (AB250835)
  • IHC-P

Lab

Immunohistochemistry (Formalin/PFA-fixed paraffin-embedded sections) - Anti-ABCE1 antibody [EPR15373(B)] - BSA and Azide free (AB250835)

This data was developed using ab185548, the same antibody clone in a different buffer formulation.
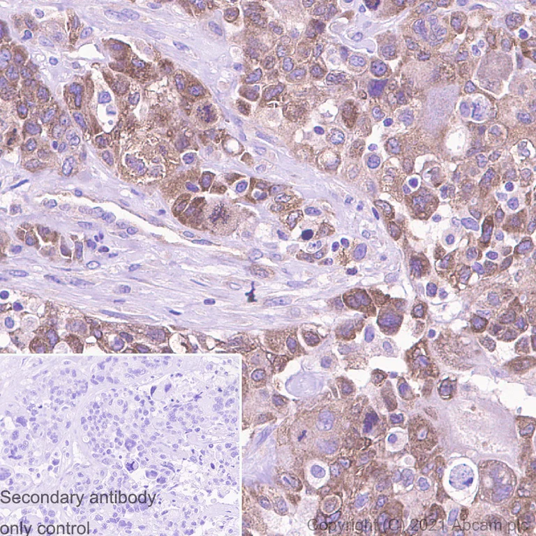
Immunohistochemistry (Formalin/PFA-fixed paraffin-embedded sections) analysis of human breast carcinoma tissue sections labeling ABCE1 with Purified ab185548 at 1 : 100 (11 μg/ml). Heat mediated antigen retrieval was performed using Heat mediated antigen retrieval using Bond™ Epitope Retrieval Solution 2 (pH 9.0) . Tissue was counterstained with Hematoxylin. Rabbit specific IHC polymer detection kit HRP/DAB (ab209101) secondary antibody was used. PBS instead of the primary antibody was used as the negative control.

Immunohistochemistry (Formalin/PFA-fixed paraffin-embedded sections) - Anti-ABCE1 antibody [EPR15373(B)] - BSA and Azide free (AB250835)
  • IHC-P

Lab

Immunohistochemistry (Formalin/PFA-fixed paraffin-embedded sections) - Anti-ABCE1 antibody [EPR15373(B)] - BSA and Azide free (AB250835)

This data was developed using ab185548, the same antibody clone in a different buffer formulation.
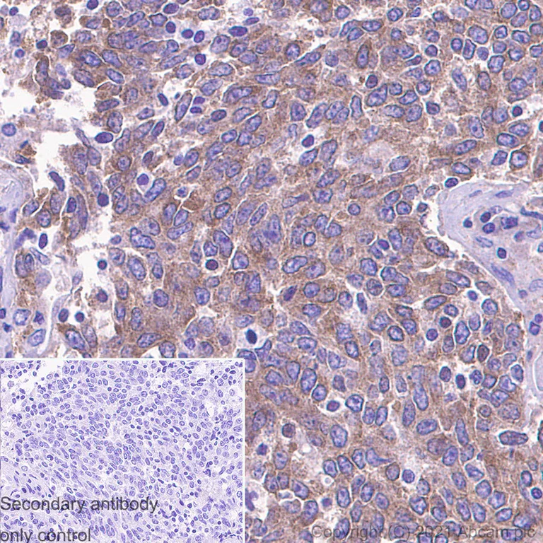
Immunohistochemistry (Formalin/PFA-fixed paraffin-embedded sections) analysis of human lung carcinoma tissue sections labeling ABCE1 with Purified ab185548 at 1 : 100 (11 μg/ml). Heat mediated antigen retrieval was performed using Heat mediated antigen retrieval using Bond™ Epitope Retrieval Solution 2 (pH 9.0) . Tissue was counterstained with Hematoxylin. Rabbit specific IHC polymer detection kit HRP/DAB (ab209101) secondary antibody was used. PBS instead of the primary antibody was used as the negative control.

Flow Cytometry (Intracellular) - Anti-ABCE1 antibody [EPR15373(B)] - BSA and Azide free (AB250835)
  • Flow Cyt (Intra)

Lab

Flow Cytometry (Intracellular) - Anti-ABCE1 antibody [EPR15373(B)] - BSA and Azide free (AB250835)

This data was developed using ab250835, the same antibody clone in a different buffer formulation.
Flow Cytometry analysis of K-562 (Human chronic myelogenous leukemia lymphoblast) cells labelling ABCE1 with Purified ab250835 at 1 : 100 dilution (10 μg/ml) (Red). Cells were fixed with 4% Paraformaldehyde and permeabilised with 90% Methanol. A Goat anti rabbit IgG (Alexa Fluor® 488, ab150081) secondary antibody was used at 1 : 2000. Isotype control - Rabbit monoclonal IgG (Black). Unlabelled control - Cell without incubation with primary antibody and secondary antibody (Blue).

Immunocytochemistry/ Immunofluorescence - Anti-ABCE1 antibody [EPR15373(B)] - BSA and Azide free (AB250835)
  • ICC/IF

Lab

Immunocytochemistry/ Immunofluorescence - Anti-ABCE1 antibody [EPR15373(B)] - BSA and Azide free (AB250835)

This data was developed using ab250835, the same antibody clone in a different buffer formulation.
Immunocytochemistry analysis of K-562 (Human chronic myelogenous leukemia lymphoblast) cells labeling ABCE1 with Purified ab250835 at 1 : 100 dilution (10 μg/ml). Cells were fixed in 4% Paraformaldehyde and permeabilized with 0.1% tritonX-100. Cells were counterstained with ab195889 Anti-alpha Tubulin antibody [DM1A]+H21 : L21 - Microtubule Marker (Alexa Fluor® 594) 1 : 200 (2.5 μg/ml). Goat anti rabbit IgG (Alexa Fluor® 488, ab150077) was used as the secondary antibody at 1 : 1000 (2 μg/ml) dilution. DAPI (blue) was used as nuclear counterstain. PBS instead of the primary antibody was used as the secondary antibody only control.

Immunoprecipitation - Anti-ABCE1 antibody [EPR15373(B)] - BSA and Azide free (AB250835)
  • IP

Lab

Immunoprecipitation - Anti-ABCE1 antibody [EPR15373(B)] - BSA and Azide free (AB250835)

Purified ab250835 at 1 : 60 dilution (2µg) immunoprecipitating ABCE1 in HEK-293 whole cell lysate.
Blocking and diluting buffer and concentration : 5% NFDM/TBST.

All lanes:

Immunoprecipitation - Anti-ABCE1 antibody [EPR15373(B)] - BSA and Azide free (ab250835) at 1/60 dilution

Lane 1:

HEK-293 (Human embryonic kidney epithelial cell) whole cell lysate at 10 µg

Lane 2:

ab250835 + HEK-293 whole cell lysate

Lane 3:

Rabbit monoclonal IgG (<a href='/en-us/products/primary-antibodies/rabbit-igg-monoclonal-epr25a-isotype-control-ab172730'>ab172730</a>) instead of <a href='/en-us/products/primary-antibodies/abce1-antibody-epr15373b-c-terminal-ab185548'>ab185548</a> in HEK-293 whole cell lysate

Secondary

All lanes:

Immunoprecipitation - VeriBlot for IP Detection Reagent (HRP) (<a href='/en-us/products/reagents/veriblot-for-ip-detection-reagent-hrp-ab131366'>ab131366</a>) at 1/1000 dilution

Predicted band size: 67 kDa

false

Immunohistochemistry (Formalin/PFA-fixed paraffin-embedded sections) - Anti-ABCE1 antibody [EPR15373(B)] - BSA and Azide free (AB250835)
  • IHC-P

Lab

Immunohistochemistry (Formalin/PFA-fixed paraffin-embedded sections) - Anti-ABCE1 antibody [EPR15373(B)] - BSA and Azide free (AB250835)

This data was developed using ab185548, the same antibody clone in a different buffer formulation.
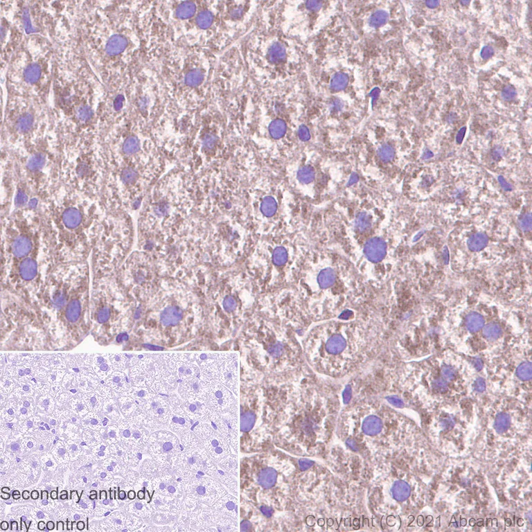
Immunohistochemistry (Formalin/PFA-fixed paraffin-embedded sections) analysis of mouse liver tissue sections labeling ABCE1 with Purified ab185548 at 1 : 300 (3.67 μg/ml). Heat mediated antigen retrieval was performed using Heat mediated antigen retrieval using Bond™ Epitope Retrieval Solution 2 (pH 9.0) . Tissue was counterstained with Hematoxylin. Rabbit specific IHC polymer detection kit HRP/DAB (ab209101) secondary antibody was used. PBS instead of the primary antibody was used as the negative control.

Immunohistochemistry (Formalin/PFA-fixed paraffin-embedded sections) - Anti-ABCE1 antibody [EPR15373(B)] - BSA and Azide free (AB250835)
  • IHC-P

Lab

Immunohistochemistry (Formalin/PFA-fixed paraffin-embedded sections) - Anti-ABCE1 antibody [EPR15373(B)] - BSA and Azide free (AB250835)

This data was developed using ab185548, the same antibody clone in a different buffer formulation.
Immunohistochemistry (Formalin/PFA-fixed paraffin-embedded sections) analysis of mouse testis tissue sections labeling ABCE1 with Purified ab185548 at 1 : 300 (3.67 μg/ml). Heat mediated antigen retrieval was performed using Heat mediated antigen retrieval using Bond™ Epitope Retrieval Solution 2 (pH 9.0) . Tissue was counterstained with Hematoxylin. Rabbit specific IHC polymer detection kit HRP/DAB (ab209101) secondary antibody was used. PBS instead of the primary antibody was used as the negative control.

Western blot - Anti-ABCE1 antibody [EPR15373(B)] - BSA and Azide free (AB250835)
  • WB

Unknown

Western blot - Anti-ABCE1 antibody [EPR15373(B)] - BSA and Azide free (AB250835)

All lanes:

Western blot - Anti-ABCE1 antibody [EPR15373(B)] - C-terminal (<a href='/en-us/products/primary-antibodies/abce1-antibody-epr15373b-c-terminal-ab185548'>ab185548</a>) at 1/5000 dilution

Lane 1:

HeLa (Human cervix adenocarcinoma epithelial cell) whole cell lysate

Lane 2:

K-562 (Human chronic myelogenous leukemia lymphoblast) whole cell lysate

Lane 3:

Jurkat (Human T cell leukemia T lymphocyte) whole cell lysate

Lane 4:

NIH/3T3 (Mouse embryonic fibroblast) whole cell lysate

Lane 5:

PC-12 (Rat adrenal gland pheochromocytoma ) whole cell lysate

Secondary

All lanes:

Western blot - Goat Anti-Rabbit IgG H&L (HRP) (<a href='/en-us/products/secondary-antibodies/goat-rabbit-igg-h-l-hrp-ab97051'>ab97051</a>) at 1/20000 dilution

Predicted band size: 67 kDa

false

  • Unconjugated

    Anti-ABCE1 antibody [EPR15373(B)] - C-terminal

  • HRP

    HRP Anti-ABCE1 antibody [EPR15373(B)] - C-terminal

  • 578 PE

    PE Anti-ABCE1 antibody [EPR15373(B)] - C-terminal

Key facts

Host species

Rabbit

Clonality

Monoclonal

Clone number

EPR15373(B)

Isotype

IgG

Carrier free

Yes

Reacts with

Mouse, Human, Rat

Applications

IHC-P, ICC/IF, WB, Flow Cyt (Intra), IP

applications

Immunogen

The exact immunogen used to generate this antibody is proprietary information.

Specificity

The rat recommendation is based on the WB results. We do not guarantee IHC-P for rat.

Reactivity data

{ "title": "Reactivity Data", "filters": { "stats": ["", "Species", "Dilution Info", "Notes"], "tabs": { "all-applications": {"fullname" : "All Applications", "shortname": "All Applications"}, "ICCIF" : {"fullname" : "Immunocytochemistry/ Immunofluorescence", "shortname":"ICC/IF"}, "IP" : {"fullname" : "Immunoprecipitation", "shortname":"IP"}, "WB" : {"fullname" : "Western blot", "shortname":"WB"}, "FlowCytIntra" : {"fullname" : "Flow Cytometry (Intracellular)", "shortname":"Flow Cyt (Intra)"}, "IHCP" : {"fullname" : "Immunohistochemistry (Formalin/PFA-fixed paraffin-embedded sections)", "shortname":"IHC-P"} }, "product-promise": { "all": "all", "testedAndGuaranteed": "tested", "guaranteed": "expected", "predicted": "predicted", "notRecommended": "not-recommended" } }, "values": { "Human": { "ICCIF-species-checked": "testedAndGuaranteed", "ICCIF-species-dilution-info": "", "ICCIF-species-notes": "<p></p>", "IP-species-checked": "testedAndGuaranteed", "IP-species-dilution-info": "", "IP-species-notes": "<p></p>", "WB-species-checked": "testedAndGuaranteed", "WB-species-dilution-info": "", "WB-species-notes": "<p></p>", "FlowCytIntra-species-checked": "testedAndGuaranteed", "FlowCytIntra-species-dilution-info": "", "FlowCytIntra-species-notes": "<p></p>", "IHCP-species-checked": "testedAndGuaranteed", "IHCP-species-dilution-info": "", "IHCP-species-notes": "<p></p>" }, "Mouse": { "ICCIF-species-checked": "guaranteed", "ICCIF-species-dilution-info": "", "ICCIF-species-notes": "", "IP-species-checked": "guaranteed", "IP-species-dilution-info": "", "IP-species-notes": "", "WB-species-checked": "testedAndGuaranteed", "WB-species-dilution-info": "", "WB-species-notes": "<p></p>", "FlowCytIntra-species-checked": "guaranteed", "FlowCytIntra-species-dilution-info": "", "FlowCytIntra-species-notes": "", "IHCP-species-checked": "testedAndGuaranteed", "IHCP-species-dilution-info": "", "IHCP-species-notes": "<p></p>" }, "Rat": { "ICCIF-species-checked": "guaranteed", "ICCIF-species-dilution-info": "", "ICCIF-species-notes": "", "IP-species-checked": "guaranteed", "IP-species-dilution-info": "", "IP-species-notes": "", "WB-species-checked": "testedAndGuaranteed", "WB-species-dilution-info": "", "WB-species-notes": "<p></p>", "FlowCytIntra-species-checked": "guaranteed", "FlowCytIntra-species-dilution-info": "", "FlowCytIntra-species-notes": "", "IHCP-species-checked": "guaranteed", "IHCP-species-dilution-info": "", "IHCP-species-notes": "" } } }

Product details

ab250835 is the carrier-free version of ab185548.

Patented technology
Our RabMAb® technology is a patented hybridoma-based technology for making rabbit monoclonal antibodies. For details on our patents, please refer to RabMAb® patents.

What are the advantages of a recombinant monoclonal antibody?
This product is a recombinant monoclonal antibody, which offers several advantages including:

  • - High batch-to-batch consistency and reproducibility
  • - Improved sensitivity and specificity
  • - Long-term security of supply
  • - Animal-free batch production

For more information, read more on recombinant antibodies.

Conjugation ready
Our carrier-free antibodies are typically supplied in a PBS-only formulation, purified and free of BSA, sodium azide and glycerol. This conjugation-ready format is designed for use with fluorochromes, metal isotopes, oligonucleotides, and enzymes, which makes them ideal for antibody labelling, functional and cell-based assays, flow-based assays (e.g. mass cytometry) and Multiplex Imaging applications.

Use our conjugation kits for antibody conjugates that are ready-to-use in as little as 20 minutes with 1 minute hands-on-time and 100% antibody recovery: available for fluorescent dyes, HRP, biotin and gold.

Compatibility
This product is compatible with the Maxpar® Antibody Labeling Kit from Fluidigm, without the need for antibody preparation. Maxpar® is a trademark of Fluidigm Canada Inc.

Properties and storage information

Form
Liquid
Purification technique
Affinity purification Protein A
Storage buffer
pH: 7.2 - 7.4 Constituents: PBS
Shipped at conditions
Blue Ice
Appropriate short-term storage conditions
+4°C
Appropriate long-term storage conditions
+4°C
Storage information
Do Not Freeze

Supplementary information

This supplementary information is collated from multiple sources and compiled automatically.

ABCE1 also known as ATP-binding cassette sub-family E member 1 is an ATPase involved in various cellular processes. It belongs to the ATP-binding cassette (ABC) transporter family. The protein mass is approximately 68 kDa and its expression occurs widely in various tissues including the cytoplasm and mitochondria. ABCE1 has a unique structure with two nucleotide-binding domains making it distinct from other ABC family members that typically transport molecules across membranes.
Biological function summary

ABCE1 plays a role in inhibiting ribonuclease activity and is essential in ribosome recycling. This protein interacts with translation initiation factors and actively participates in the dissociation of ribosomes after translation termination. It is a part of the ribosome recycling complex an important multi-proteins setup necessary to prepare ribosomes for another round of translation. The biochemical interactions and presence in different cellular compartments highlight its multiple roles in cellular homeostasis.

Pathways

ABCE1 engages significantly in translation and its regulation. It plays an important role in the translation termination pathway where it interacts with eukaryotic release factors. Additionally it influences the degradation pathway of defective ribosomal products. Within these pathways the function of ABCE1 is closely linked to proteins like eRF1 and eRF3 which are essential in the translation termination process. The interaction of these proteins ensures efficient termination and recycling of translation machinery components.

Alterations in ABCE1 expression or function link to certain cancers and viral infections. The aberrant activity of ABCE1 influences cancer progression as it affects protein synthesis and cellular growth levels. Also ABCE1 has been implicated in promoting the replication of certain viruses providing them a competitive advantage. Proteins like eIF3 and eIF4 involved in translation initiation can show altered associations in disorders where ABCE1 is dysregulated influencing disease outcomes and progression.

Product protocols

For this product, it's our understanding that no specific protocols are required. You can visit:

Target data

Nucleoside-triphosphatase (NTPase) involved in ribosome recycling by mediating ribosome disassembly (PubMed : 20122402, PubMed : 21448132). Able to hydrolyze ATP, GTP, UTP and CTP (PubMed : 20122402). Splits ribosomes into free 60S subunits and tRNA- and mRNA-bound 40S subunits (PubMed : 20122402, PubMed : 21448132). Acts either after canonical termination facilitated by release factors (ETF1/eRF1) or after recognition of stalled and vacant ribosomes by mRNA surveillance factors (PELO/Pelota) (PubMed : 20122402, PubMed : 21448132). Involved in the No-Go Decay (NGD) pathway : recruited to stalled ribosomes by the Pelota-HBS1L complex, and drives the disassembly of stalled ribosomes, followed by degradation of damaged mRNAs as part of the NGD pathway (PubMed : 21448132). Also plays a role in quality control of translation of mitochondrial outer membrane-localized mRNA (PubMed : 29861391). As part of the PINK1-regulated signaling, ubiquitinated by CNOT4 upon mitochondria damage; this modification generates polyubiquitin signals that recruit autophagy receptors to the mitochondrial outer membrane and initiate mitophagy (PubMed : 29861391). RNASEL-specific protein inhibitor which antagonizes the binding of 2-5A (5'-phosphorylated 2',5'-linked oligoadenylates) to RNASEL (PubMed : 9660177). Negative regulator of the anti-viral effect of the interferon-regulated 2-5A/RNASEL pathway (PubMed : 11585831, PubMed : 9660177, PubMed : 9847332).. (Microbial infection) May act as a chaperone for post-translational events during HIV-1 capsid assembly.. (Microbial infection) Plays a role in the down-regulation of the 2-5A/RNASEL pathway during encephalomyocarditis virus (EMCV) and HIV-1 infections.
See full target information ABCE1

Publications (1)

Recent publications for all applications. Explore the full list and refine your search

Journal of radiation research 64:833-841 PubMed37439405

2023

Expression of TMEM59L associated with radiosensitive in glioblastoma.

Applications

Unspecified application

Species

Unspecified reactive species

Dezhi Gao,Peng Wang,Lin Zhi,Shibin Sun,Xiaoguang Qiu,Yanwei Liu
View all publications

Product promise

We are committed to supporting your work with high-quality reagents, and we're here for you every step of the way. In the unlikely event that one of our products does not perform as expected, you're protected by our Product Promise.
For full details, please see our Terms & Conditions

Please note: All products are 'FOR RESEARCH USE ONLY. NOT FOR USE IN DIAGNOSTIC OR THERAPEUTIC PROCEDURES'.

For licensing inquiries, please contact partnerships@abcam.com