JavaScript is disabled in your browser. Please enable JavaScript to view this website.
AB251040

Anti-ABCF1 antibody [EPR16068] - BSA and Azide free

Be the first to review this product! Submit a review

|

(1 Publication)

Rabbit Recombinant Monoclonal ABCF1 antibody. Carrier free. Suitable for ICC/IF, WB, IHC-P and reacts with Human, Rat samples. Cited in 1 publication.

View Alternative Names

ABC50, ABCF1, ATP-binding cassette sub-family F member 1, ATP-binding cassette 50, TNF-alpha-stimulated ABC protein

6 Images
Immunohistochemistry (Formalin/PFA-fixed paraffin-embedded sections) - Anti-ABCF1 antibody [EPR16068] - BSA and Azide free (AB251040)
  • IHC-P

Supplier Data

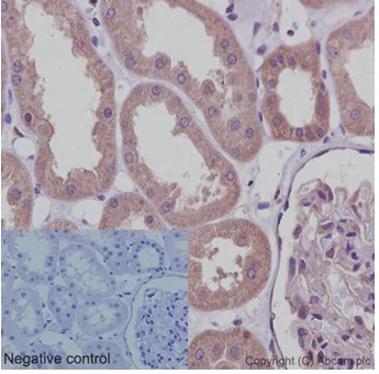
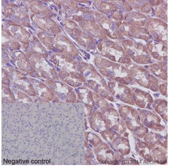
Immunohistochemistry (Formalin/PFA-fixed paraffin-embedded sections) - Anti-ABCF1 antibody [EPR16068] - BSA and Azide free (AB251040)

This data was developed using ab190798, the same antibody clone in a different buffer formulation.

Immunohistochemical analysis of paraffin-embedded Human kidney tissue labeling ABCF1 with ab190798 at 1/100 dilution. Secondary antibody Goat anti rabbit IgG (HRP) prediluted. Counter stain Hematoxylin. Negative control also shown.

Perform heat mediated antigen retrieval with Tris/EDTA buffer pH 9.0 before commencing with IHC staining protocol.

Immunocytochemistry/ Immunofluorescence - Anti-ABCF1 antibody [EPR16068] - BSA and Azide free (AB251040)
  • ICC/IF

Supplier Data

Immunocytochemistry/ Immunofluorescence - Anti-ABCF1 antibody [EPR16068] - BSA and Azide free (AB251040)

This data was developed using ab190798, the same antibody clone in a different buffer formulation.

Immunofluorescent analysis of 4% paraformaldehyde-fixed HepG2 cells labeling ABCF1 with ab190798 at 1/100 dilution. Secondary antibody Goat anti rabbit IgG (Alexa Fluor®555) at a 1/200 dilution. Counterstained with Dapi blue. Negative controls also shown.

Immunohistochemistry (Formalin/PFA-fixed paraffin-embedded sections) - Anti-ABCF1 antibody [EPR16068] - BSA and Azide free (AB251040)
  • IHC-P

Supplier Data

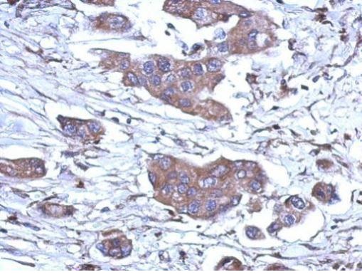
Immunohistochemistry (Formalin/PFA-fixed paraffin-embedded sections) - Anti-ABCF1 antibody [EPR16068] - BSA and Azide free (AB251040)

This data was developed using ab190798, the same antibody clone in a different buffer formulation.

Immunohistochemical analysis of paraffin-embedded Rat stomach tissue labeling ABCF1 with ab190798 at 1/100 dilution. Secondary antibody Goat anti rabbit IgG (HRP) prediluted. Counter stain Hematoxylin. Negative control also shown.

Perform heat mediated antigen retrieval with Tris/EDTA buffer pH 9.0 before commencing with IHC staining protocol.

Western blot - Anti-ABCF1 antibody [EPR16068] - BSA and Azide free (AB251040)
  • WB

Supplier Data

Western blot - Anti-ABCF1 antibody [EPR16068] - BSA and Azide free (AB251040)

This data was developed using ab190798, the same antibody clone in a different buffer formulation.

All lanes:

Western blot - Anti-ABCF1 antibody [EPR16068] - C-terminal (<a href='/en-us/products/primary-antibodies/abcf1-antibody-epr16068-c-terminal-ab190798'>ab190798</a>) at 1/50000 dilution

All lanes:

293T (Human embryonic kidney epithelial cell) cell lysate at 20 µg

Secondary

All lanes:

Goat Anti-Rabbit IgG, (H+L), Peroxidase conjugated at 1/1000 dilution

Predicted band size: 95 kDa

false

Western blot - Anti-ABCF1 antibody [EPR16068] - BSA and Azide free (AB251040)
  • WB

Supplier Data

Western blot - Anti-ABCF1 antibody [EPR16068] - BSA and Azide free (AB251040)

This data was developed using ab190798, the same antibody clone in a different buffer formulation.

All lanes:

Western blot - Anti-ABCF1 antibody [EPR16068] - C-terminal (<a href='/en-us/products/primary-antibodies/abcf1-antibody-epr16068-c-terminal-ab190798'>ab190798</a>) at 1/10000 dilution

Lane 1:

HeLa cell lysate at 20 µg

Lane 2:

K562 cell lysate at 20 µg

Secondary

All lanes:

Goat Anti-Rabbit IgG, (H+L), Peroxidase conjugated at 1/1000 dilution

Predicted band size: 95 kDa

false

Immunocytochemistry/ Immunofluorescence - Anti-ABCF1 antibody [EPR16068] - BSA and Azide free (AB251040)
  • ICC/IF

Supplier Data

Immunocytochemistry/ Immunofluorescence - Anti-ABCF1 antibody [EPR16068] - BSA and Azide free (AB251040)

This data was developed using ab190798, the same antibody clone in a different buffer formulation.

Immunofluorescent analysis of 4% paraformaldehyde fixed HeLa cells labeling ABCF1 with ab190798 at 1/100 dilution. Secondary antibody Goat anti rabbit IgG (Alexa Fluor®555) at a 1/200 dilution. Counterstained with Dapi blue. Negative controls also shown.

Key facts

Host species

Rabbit

Clonality

Monoclonal

Clone number

EPR16068

Isotype

IgG

Carrier free

Yes

Reacts with

Rat, Human

Applications

ICC/IF, WB, IHC-P

applications

Immunogen

The exact immunogen used to generate this antibody is proprietary information.

Reactivity data

{ "title": "Reactivity Data", "filters": { "stats": ["", "Species", "Dilution Info", "Notes"], "tabs": { "all-applications": {"fullname" : "All Applications", "shortname": "All Applications"}, "ICCIF" : {"fullname" : "Immunocytochemistry/ Immunofluorescence", "shortname":"ICC/IF"}, "WB" : {"fullname" : "Western blot", "shortname":"WB"}, "IHCP" : {"fullname" : "Immunohistochemistry (Formalin/PFA-fixed paraffin-embedded sections)", "shortname":"IHC-P"} }, "product-promise": { "all": "all", "testedAndGuaranteed": "tested", "guaranteed": "expected", "predicted": "predicted", "notRecommended": "not-recommended" } }, "values": { "Human": { "ICCIF-species-checked": "testedAndGuaranteed", "ICCIF-species-dilution-info": "", "ICCIF-species-notes": "<p></p>", "WB-species-checked": "testedAndGuaranteed", "WB-species-dilution-info": "", "WB-species-notes": "<p></p>", "IHCP-species-checked": "testedAndGuaranteed", "IHCP-species-dilution-info": "", "IHCP-species-notes": "<p></p>" }, "Rat": { "ICCIF-species-checked": "guaranteed", "ICCIF-species-dilution-info": "", "ICCIF-species-notes": "", "WB-species-checked": "guaranteed", "WB-species-dilution-info": "", "WB-species-notes": "", "IHCP-species-checked": "testedAndGuaranteed", "IHCP-species-dilution-info": "", "IHCP-species-notes": "<p></p>" } } }

Product details

ab251040 is the carrier-free version of ab190798.

Patented technology
Our RabMAb® technology is a patented hybridoma-based technology for making rabbit monoclonal antibodies. For details on our patents, please refer to RabMAb® patents.

What are the advantages of a recombinant monoclonal antibody?
This product is a recombinant monoclonal antibody, which offers several advantages including:

  • - High batch-to-batch consistency and reproducibility
  • - Improved sensitivity and specificity
  • - Long-term security of supply
  • - Animal-free batch production

For more information, read more on recombinant antibodies.

Conjugation ready
Our carrier-free antibodies are typically supplied in a PBS-only formulation, purified and free of BSA, sodium azide and glycerol. This conjugation-ready format is designed for use with fluorochromes, metal isotopes, oligonucleotides, and enzymes, which makes them ideal for antibody labelling, functional and cell-based assays, flow-based assays (e.g. mass cytometry) and Multiplex Imaging applications.

Use our conjugation kits for antibody conjugates that are ready-to-use in as little as 20 minutes with 1 minute hands-on-time and 100% antibody recovery: available for fluorescent dyes, HRP, biotin and gold.

Compatibility
This product is compatible with the Maxpar® Antibody Labeling Kit from Fluidigm, without the need for antibody preparation. Maxpar® is a trademark of Fluidigm Canada Inc.

Properties and storage information

Form
Liquid
Storage buffer
pH: 7.2 - 7.4 Constituents: PBS
Shipped at conditions
Blue Ice
Appropriate short-term storage conditions
+4°C
Appropriate long-term storage conditions
+4°C
Storage information
Do Not Freeze

Supplementary information

This supplementary information is collated from multiple sources and compiled automatically.

ABCF1 also known as ATP-binding cassette sub-family F member 1 helps in cellular processes by facilitating the transport of various molecules across membranes. It weighs approximately 95 kDa. ABCF1 expression occurs in various tissues notably present in immune cells such as macrophages and monocytes. This protein does not function in drug transport and is an exception among ABC transporters because it lacks a transmembrane domain.
Biological function summary

ABCF1 plays a role in regulatory processes associated with immunity and inflammation. It acts as a critical component of the protein synthesis machinery influencing translation initiation. Although it does not form stable complexes it interacts transiently with ribosomal machinery. Its involvement in inflammation suggests it contributes to macrophage activation and innate immune responses.

Pathways

ABCF1 participates in inflammatory pathways and protein synthesis regulation. In the inflammatory pathway it engages in processes that modulate cytokine production. Also ABCF1 interfaces with proteins involved in translation like eukaryotic initiation factors regulating their activity during stress or immune response. These interactions make it a significant contributor to cellular protein homeostasis during inflammation.

ABCF1 connects to autoimmune conditions like rheumatoid arthritis. Increased expression in certain conditions implies its role in chronic inflammation. ABCF1 also interacts with TNF-alpha a cytokine heavily involved in inflammatory diseases suggesting its involvement in exacerbating inflammatory processes. Understanding ABCF1's regulatory mechanisms may aid in developing therapeutic interventions targeting inflammatory diseases.

Product protocols

For this product, it's our understanding that no specific protocols are required. You can visit:

Target data

Isoform 2 is required for efficient Cap- and IRES-mediated mRNA translation initiation. Isoform 2 is not involved in the ribosome biogenesis.
See full target information ABCF1

Publications (1)

Recent publications for all applications. Explore the full list and refine your search

Molecular medicine reports 21:454-462 PubMed31746378

2019

Blueberry anthocyanin‑enriched extract ameliorates transverse aortic constriction‑induced myocardial dysfunction via the DDAH1/ADMA/NO signaling pathway in mice.

Applications

Unspecified application

Species

Unspecified reactive species

Weiqing Hu,Wenyue Wang,Qing Ma,Tao Liu,Jiefeng Zhang,Jicun Zhang
View all publications

Product promise

We are committed to supporting your work with high-quality reagents, and we're here for you every step of the way. In the unlikely event that one of our products does not perform as expected, you're protected by our Product Promise.
For full details, please see our Terms & Conditions

Please note: All products are 'FOR RESEARCH USE ONLY. NOT FOR USE IN DIAGNOSTIC OR THERAPEUTIC PROCEDURES'.

For licensing inquiries, please contact partnerships@abcam.com