JavaScript is disabled in your browser. Please enable JavaScript to view this website.
AB217023

Anti-ABCG1 antibody

Be the first to review this product! Submit a review

|

(2 Publications)

Rabbit Polyclonal ABCG1 antibody. Suitable for IHC-P and reacts with Human samples. Cited in 2 publications. Immunogen corresponding to Synthetic Peptide within Human ABCG1 aa 600 to C-terminus conjugated to Keyhole Limpet Haemocyanin.

View Alternative Names

ABC8, WHT1, ABCG1, ATP-binding cassette sub-family G member 1, ATP-binding cassette transporter 8, White protein homolog

1 Images
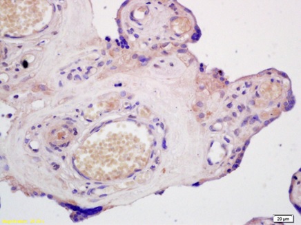
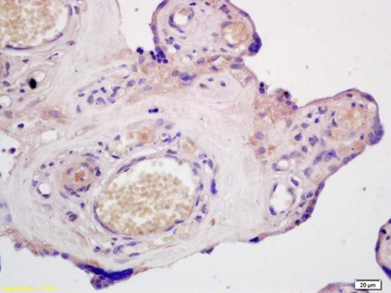
Immunohistochemistry (Formalin/PFA-fixed paraffin-embedded sections) - Anti-ABCG1 antibody (AB217023)
  • IHC-P

Supplier Data

Immunohistochemistry (Formalin/PFA-fixed paraffin-embedded sections) - Anti-ABCG1 antibody (AB217023)

Immunohistochemical analysis of formalin-fixed and paraffin embedded human placenta tissue labeling ABCG1 with ab217023 at 1/200 dilution followed by conjugation to the secondary antibody and DAB staining.

Key facts

Host species

Rabbit

Clonality

Polyclonal

Isotype

IgG

Carrier free

No

Reacts with

Human

Applications

IHC-P

applications

Immunogen

Synthetic Peptide within Human ABCG1 aa 600 to C-terminus conjugated to Keyhole Limpet Haemocyanin. The exact immunogen used to generate this antibody is proprietary information.

P45844

Reactivity data

{ "title": "Reactivity Data", "filters": { "stats": ["", "Species", "Dilution Info", "Notes"], "tabs": { "all-applications": {"fullname" : "All Applications", "shortname": "All Applications"}, "IHCP" : {"fullname" : "Immunohistochemistry (Formalin/PFA-fixed paraffin-embedded sections)", "shortname":"IHC-P"} }, "product-promise": { "all": "all", "testedAndGuaranteed": "tested", "guaranteed": "expected", "predicted": "predicted", "notRecommended": "not-recommended" } }, "values": { "Human": { "IHCP-species-checked": "testedAndGuaranteed", "IHCP-species-dilution-info": "1/100 - 1/500", "IHCP-species-notes": "<p></p>" }, "Mouse": { "IHCP-species-checked": "predicted", "IHCP-species-dilution-info": "", "IHCP-species-notes": "" }, "Rat": { "IHCP-species-checked": "predicted", "IHCP-species-dilution-info": "", "IHCP-species-notes": "" } } }

Properties and storage information

Form
Liquid
Purification technique
Affinity purification Protein A
Storage buffer
pH: 7.4 Preservative: 0.02% Proclin 300 Constituents: 50% Glycerol (glycerin, glycerine), 48.98% TBS, 1X, 1% BSA
Shipped at conditions
Blue Ice
Appropriate short-term storage duration
1-2 weeks
Appropriate short-term storage conditions
+4°C
Appropriate long-term storage conditions
-20°C
Aliquoting information
Upon delivery aliquot
Storage information
Avoid freeze / thaw cycle

Supplementary information

This supplementary information is collated from multiple sources and compiled automatically.

ABCG1 also known as ATP-binding cassette sub-family G member 1 functions as a cholesterol transporter in cells. The protein facilitates the efflux of cholesterol to high-density lipoproteins (HDL). With a molecular mass of approximately 75 kDa ABCG1 is located in many tissues but its expression levels are highest in macrophages and endothelial cells. As a member of the ABC transporter family it plays a critical role in cellular lipid homeostasis.
Biological function summary

ABCG1 works to regulate cholesterol levels by exporting excess cholesterol and phospholipids. This protein does not operate in isolation; it often interacts with other proteins forming heterodimers especially with ABCG4. These interactions contribute to its role in maintaining lipid metabolism by facilitating efficient cholesterol clearance improving cellular lipid balance and reducing intracellular lipid toxicity.

Pathways

ABCG1 plays an important role in the reverse cholesterol transport pathway and is involved in lipid metabolism. In the context of these pathways ABCG1 interacts with proteins like LXR (liver X receptor) which regulates its expression. LXRs when activated by oxysterols can influence ABCG1 activity promoting cholesterol efflux to HDL and contributing to overall cholesterol homeostasis in the body.

ABCG1 has connections to atherosclerosis and metabolic syndrome. Disruption in ABCG1 function or expression can lead to impaired cholesterol efflux contributing to lipid accumulation in macrophages and formation of foam cells an important event in atherosclerosis development. In this disease context ABCG1 interacts with proteins like ApoA-I and ApoA-II which are components of HDL and are essential for efficient cholesterol transport to the liver highlighting its critical role in cardiovascular health management.

Product protocols

For this product, it's our understanding that no specific protocols are required. You can visit:

Target data

Catalyzes the efflux of phospholipids such as sphingomyelin, cholesterol and its oxygenated derivatives like 7beta-hydroxycholesterol and this transport is coupled to hydrolysis of ATP (PubMed : 17408620, PubMed : 24576892). The lipid efflux is ALB-dependent (PubMed : 16702602). Is an active component of the macrophage lipid export complex. Could also be involved in intracellular lipid transport processes. The role in cellular lipid homeostasis may not be limited to macrophages. Prevents cell death by transporting cytotoxic 7beta-hydroxycholesterol (PubMed : 17408620).
See full target information ABCG1

Publications (2)

Recent publications for all applications. Explore the full list and refine your search

Journal of advanced research 54:29-42 PubMed36736696

2023

LncRNA NIPA1-SO confers atherosclerotic protection by suppressing the transmembrane protein NIPA1.

Applications

Unspecified application

Species

Unspecified reactive species

Min Jiang,Yu Song,Mei-Xia Ren,Run-Chao He,Xian-Hui Dong,Xue-Heng Li,Zhi-Feng Lu,Shu Li,Jia Wu,Yan-Rou Bei,Fei Liu,Yan Long,Shao-Guo Wu,Xue-Hui Liu,Li-Mei Wu,Hong-Ling Yang,David G McVey,Xiao-Yan Dai,Shu Ye,Yan-Wei Hu

Diagnostics (Basel, Switzerland) 12: PubMed36552980

2022

Expression of the Hippo Pathway Core Components in Endometrial Cancer and Its Association with Clinicopathologic Features.

Applications

Unspecified application

Species

Unspecified reactive species

Juseok Yang,Dae Hyun Song,Cho Hee Kim,Min Hye Kim,Hyen Chul Jo,Hyoeun Kim,Ji Eun Park,Jong Chul Baek
View all publications

Product promise

We are committed to supporting your work with high-quality reagents, and we're here for you every step of the way. In the unlikely event that one of our products does not perform as expected, you're protected by our Product Promise.
For full details, please see our Terms & Conditions

Please note: All products are 'FOR RESEARCH USE ONLY. NOT FOR USE IN DIAGNOSTIC OR THERAPEUTIC PROCEDURES'.

For licensing inquiries, please contact partnerships@abcam.com