JavaScript is disabled in your browser. Please enable JavaScript to view this website.
AB325139

Anti-ABHD2 antibody [EPR29769-536]

Be the first to review this product! Submit a review

|

(0 Publication)

Rabbit Recombinant Monoclonal antibody. Suitable for WB and reacts with Human, Mouse samples.
4 Images
Western blot - Anti-ABHD2 antibody [EPR29769-536] (AB325139)
  • WB

Lab

Western blot - Anti-ABHD2 antibody [EPR29769-536] (AB325139)

Blocking and diluting buffer and concentration : 5% NFDM/TBST.

Samples are non-boiled as boiling may cause protein aggregation.

This blot was developed using a high-sensitivity ECL substrate, allowing for the detection of proteins in the mid-femtogram range.

In Western blot, Anti-GAPDH antibody [EPR16891] - Loading Control (ab181602) (1 : 200000) (36KDa).

All lanes:

Western blot - Anti-ABHD2 antibody [EPR29769-536] (ab325139) at 1/1000 dilution

Lane 1:

HT-29 (human colorectal adenocarcinoma epithelial cell) transfected with scrambled siRNA control whole cell lysate at 20 µg

Lane 2:

HT-29 transfected with siRNA specifically targeting ABHD2 whole cell lysate at 20 µg

Secondary

All lanes:

Western blot - Goat Anti-Rabbit IgG H&L (HRP) (<a href='/en-us/products/secondary-antibodies/goat-rabbit-igg-h-l-hrp-ab97051'>ab97051</a>) at 1/20000 dilution

Observed band size: 50 kDa,36 kDa

true

Exposure time: 180s

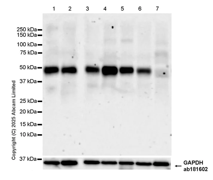
Western blot - Anti-ABHD2 antibody [EPR29769-536] (AB325139)
  • WB

Lab

Western blot - Anti-ABHD2 antibody [EPR29769-536] (AB325139)

Blocking and diluting buffer and concentration : 5% NFDM/TBST.

Low expression : Ramos.

Samples are non-boiled as boiling may cause protein aggregation.

This blot was developed using a high-sensitivity ECL substrate, allowing for the detection of proteins in the mid-femtogram range.

In Western blot, Anti-GAPDH antibody [EPR16891] - Loading Control (ab181602) (1 : 200000) (36KDa).

All lanes:

Western blot - Anti-ABHD2 antibody [EPR29769-536] (ab325139) at 1/1000 dilution

Lane 1:

MCF7 (human breast adenocarcinoma epithelial cell) whole cell lysate at 50 µg

Lane 2:

HepG2 (human hepatocellular carcinoma epithelial cell) whole cell lysate at 50 µg

Lane 3:

HT-29 (human colorectal adenocarcinoma epithelial cell) whole cell lysate at 50 µg

Lane 4:

KATO III (human stomach spherical) whole cell lysate at 50 µg

Lane 5:

Huh7 (human hepatocellular carcinoma epithelial cell) whole cell lysate at 50 µg

Lane 6:

JAR (human placenta choriocarcinoma epithelial cell) whole cell lysate at 50 µg

Lane 7:

Ramos (human Burkitt's lymphoma B lymphocyte) whole cell lysate at 50 µg

Secondary

All lanes:

Western blot - Goat Anti-Rabbit IgG H&L (HRP) (<a href='/en-us/products/secondary-antibodies/goat-rabbit-igg-h-l-hrp-ab97051'>ab97051</a>) at 1/20000 dilution

Observed band size: 50 kDa,36 kDa

true

Exposure time: 180s

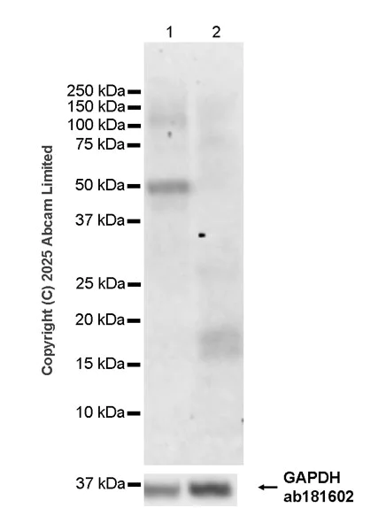
Western blot - Anti-ABHD2 antibody [EPR29769-536] (AB325139)
  • WB

Lab

Western blot - Anti-ABHD2 antibody [EPR29769-536] (AB325139)

Blocking and diluting buffer and concentration : 5% NFDM/TBST.

Low expression : fat.

Samples are non-boiled as boiling may cause protein aggregation.

This blot was developed using a high-sensitivity ECL substrate, allowing for the detection of proteins in the mid-femtogram range.

The identity of the higher MW band at approximately 70 kDa (in lane 2) is unknown.

In Western blot, Anti-GAPDH antibody [EPR16891] - Loading Control (ab181602) (1 : 200000) (36KDa).

All lanes:

Western blot - Anti-ABHD2 antibody [EPR29769-536] (ab325139) at 1/1000 dilution

Lane 1:

Human testis tissue lysate at 20 µg

Lane 2:

Human fat lysate at 20 µg

Secondary

All lanes:

Goat Anti-Rabbit IgG (HRP) with minimal cross-reactivity with human IgG at 1/2000 dilution

Observed band size: 50 kDa,36 kDa

true

Exposure time: 81s

Western blot - Anti-ABHD2 antibody [EPR29769-536] (AB325139)
  • WB

Lab

Western blot - Anti-ABHD2 antibody [EPR29769-536] (AB325139)

Blocking and diluting buffer and concentration : 5% NFDM/TBST.

Low expression : spleen.

Samples are non-boiled as boiling may cause protein aggregation.

This blot was developed using a high-sensitivity ECL substrate, allowing for the detection of proteins in the mid-femtogram range.

In Western blot, Anti-GAPDH antibody [EPR16891] - Loading Control (ab181602) (1 : 200000) (36KDa).

All lanes:

Western blot - Anti-ABHD2 antibody [EPR29769-536] (ab325139) at 1/1000 dilution

Lane 1:

Human liver tissue lysate at 50 µg

Lane 2:

Human spleen tissue lysate at 50 µg

Secondary

All lanes:

Goat Anti-Rabbit IgG (HRP) with minimal cross-reactivity with human IgG at 1/2000 dilution

Observed band size: 50 kDa,36 kDa

true

Exposure time: 180s

Key facts

Host species

Rabbit

Clonality

Monoclonal

Clone number

EPR29769-536

Isotype

IgG

Carrier free

No

Reacts with

Human, Mouse

Applications

WB

applications

Immunogen

The exact immunogen used to generate this antibody is proprietary information.

Reactivity data

{ "title": "Reactivity Data", "filters": { "stats": ["", "Species", "Dilution Info", "Notes"], "tabs": { "all-applications": {"fullname" : "All Applications", "shortname": "All Applications"}, "WB" : {"fullname" : "Western blot", "shortname":"WB"}, "IHCFr" : {"fullname" : "Immunohistochemistry (Frozen sections)", "shortname":"IHC-Fr"}, "IP" : {"fullname" : "Immunoprecipitation", "shortname":"IP"}, "ICCIF" : {"fullname" : "Immunocytochemistry/ Immunofluorescence", "shortname":"ICC/IF"}, "IHCP" : {"fullname" : "Immunohistochemistry (Formalin/PFA-fixed paraffin-embedded sections)", "shortname":"IHC-P"} }, "product-promise": { "all": "all", "testedAndGuaranteed": "tested", "guaranteed": "expected", "predicted": "predicted", "notRecommended": "not-recommended" } }, "values": { "Human": { "WB-species-checked": "testedAndGuaranteed", "WB-species-dilution-info": "1/1000", "WB-species-notes": "<p></p>", "IHCFr-species-checked": "notRecommended", "IHCFr-species-dilution-info": "", "IHCFr-species-notes": "", "IP-species-checked": "notRecommended", "IP-species-dilution-info": "", "IP-species-notes": "<p></p>", "ICCIF-species-checked": "notRecommended", "ICCIF-species-dilution-info": "", "ICCIF-species-notes": "<p></p>", "IHCP-species-checked": "notRecommended", "IHCP-species-dilution-info": "", "IHCP-species-notes": "<p></p>" }, "Mouse": { "WB-species-checked": "testedAndGuaranteed", "WB-species-dilution-info": "1/1000", "WB-species-notes": "<p></p>", "IHCFr-species-checked": "notRecommended", "IHCFr-species-dilution-info": "", "IHCFr-species-notes": "<p></p>", "IP-species-checked": "notRecommended", "IP-species-dilution-info": "", "IP-species-notes": "<p></p>", "ICCIF-species-checked": "notRecommended", "ICCIF-species-dilution-info": "", "ICCIF-species-notes": "<p></p>", "IHCP-species-checked": "notRecommended", "IHCP-species-dilution-info": "", "IHCP-species-notes": "<p></p>" } } }

Product details

Patented technology
Our RabMAb® technology is a patented hybridoma-based technology for making rabbit monoclonal antibodies. For details on our patents, please refer to RabMAb® patents.

What are the advantages of a recombinant monoclonal antibody?
This product is a recombinant monoclonal antibody, which offers several advantages including:

  • - High batch-to-batch consistency and reproducibility
  • - Improved sensitivity and specificity
  • - Long-term security of supply
  • - Animal-free batch production

For more information, read more on recombinant antibodies.

Properties and storage information

Form
Liquid
Purification technique
Affinity purification Protein A
Storage buffer
pH: 7.2 - 7.4 Preservative: 0.01% Sodium azide Constituents: PBS, 40% Glycerol (glycerin, glycerine), 0.05% BSA
Shipped at conditions
Blue Ice
Appropriate short-term storage duration
1-2 weeks
Appropriate short-term storage conditions
+4°C
Appropriate long-term storage conditions
-20°C
Aliquoting information
Upon delivery aliquot
Storage information
Avoid freeze / thaw cycle

Product protocols

For this product, it's our understanding that no specific protocols are required. You can visit:

Target data

Progesterone-dependent acylglycerol lipase that catalyzes hydrolysis of endocannabinoid arachidonoylglycerol (AG) from cell membrane (PubMed:26989199). Acts as a progesterone receptor: progesterone-binding activates the acylglycerol lipase activity, mediating degradation of 1-arachidonoylglycerol (1AG) and 2-arachidonoylglycerol (2AG) to glycerol and arachidonic acid (AA) (PubMed:26989199). Also displays an ester hydrolase activity against acetyl ester, butanoate ester and hexadecanoate ester (PubMed:27247428). Plays a key role in sperm capacitation in response to progesterone by mediating degradation of 2AG, an inhibitor of the sperm calcium channel CatSper, leading to calcium influx via CatSper and sperm activation (PubMed:26989199). May also play a role in smooth muscle cells migration (By similarity).

Product promise

We are committed to supporting your work with high-quality reagents, and we're here for you every step of the way. In the unlikely event that one of our products does not perform as expected, you're protected by our Product Promise.
For full details, please see our Terms & Conditions

Please note: All products are 'FOR RESEARCH USE ONLY. NOT FOR USE IN DIAGNOSTIC OR THERAPEUTIC PROCEDURES'.

For licensing inquiries, please contact partnerships@abcam.com