JavaScript is disabled in your browser. Please enable JavaScript to view this website.
AB233412

Anti-Abi-1 antibody

Be the first to review this product! Submit a review

|

(1 Publication)

Rabbit Polyclonal Abi-1 antibody. Suitable for WB, IHC-P and reacts with Human, Recombinant full length protein - Human, Pig samples. Cited in 1 publication. Immunogen corresponding to Recombinant Fragment Protein within Human ABI1 aa 1-200.

View Alternative Names

SSH3BP1, ABI1, Abl interactor 1, Abelson interactor 1, Abl-binding protein 4, Eps8 SH3 domain-binding protein, Nap1-binding protein, Spectrin SH3 domain-binding protein 1, e3B1, Abi-1, AblBP4, Eps8-binding protein, Nap1BP

8 Images
Immunohistochemistry (Formalin/PFA-fixed paraffin-embedded sections) - Anti-Abi-1 antibody (AB233412)
  • IHC-P

Supplier Data

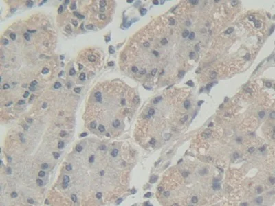
Immunohistochemistry (Formalin/PFA-fixed paraffin-embedded sections) - Anti-Abi-1 antibody (AB233412)

Paraffin-embedded human kidney tissue stained for Abi-1 using ab233412 at 20 μg/ml in immunohistochemical analysis. DAB staining.

Immunohistochemistry (Formalin/PFA-fixed paraffin-embedded sections) - Anti-Abi-1 antibody (AB233412)
  • IHC-P

Supplier Data

Immunohistochemistry (Formalin/PFA-fixed paraffin-embedded sections) - Anti-Abi-1 antibody (AB233412)

Paraffin-embedded human stomach cancer tissue stained for Abi-1 using ab233412 at 20 μg/ml in immunohistochemical analysis. DAB staining.

Western blot - Anti-Abi-1 antibody (AB233412)
  • WB

Supplier Data

Western blot - Anti-Abi-1 antibody (AB233412)

All lanes:

Western blot - Anti-Abi-1 antibody (ab233412) at 1 µg/mL

Lane 1:

Human lung tissue lysate

Lane 2:

Pig cerebrum tissue lysate

Lane 3:

Pig liver tissue lysate

Lane 4:

Pig small intestine tissue lysate

Secondary

All lanes:

HRP-Linked Guinea pig Anti-Rabbit at 1/2000 dilution

Predicted band size: 55 kDa

false

Immunohistochemistry (Formalin/PFA-fixed paraffin-embedded sections) - Anti-Abi-1 antibody (AB233412)
  • IHC-P

Supplier Data

Immunohistochemistry (Formalin/PFA-fixed paraffin-embedded sections) - Anti-Abi-1 antibody (AB233412)

Paraffin-embedded human prostate cancer tissue stained for Abi-1 using ab233412 at 20 μg/ml in immunohistochemical analysis. DAB staining.

Immunohistochemistry (Formalin/PFA-fixed paraffin-embedded sections) - Anti-Abi-1 antibody (AB233412)
  • IHC-P

Supplier Data

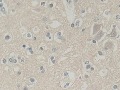
Immunohistochemistry (Formalin/PFA-fixed paraffin-embedded sections) - Anti-Abi-1 antibody (AB233412)

Paraffin-embedded human glioma tissue stained for Abi-1 using ab233412 at 20 μg/ml in immunohistochemical analysis. DAB staining.

Immunohistochemistry (Formalin/PFA-fixed paraffin-embedded sections) - Anti-Abi-1 antibody (AB233412)
  • IHC-P

Supplier Data

Immunohistochemistry (Formalin/PFA-fixed paraffin-embedded sections) - Anti-Abi-1 antibody (AB233412)

Paraffin-embedded human cerebrum tissue stained for Abi-1 using ab233412 at 20 μg/ml in immunohistochemical analysis. DAB staining.

Immunohistochemistry (Formalin/PFA-fixed paraffin-embedded sections) - Anti-Abi-1 antibody (AB233412)
  • IHC-P

Supplier Data

Immunohistochemistry (Formalin/PFA-fixed paraffin-embedded sections) - Anti-Abi-1 antibody (AB233412)

Paraffin-embedded human stomach tissue stained for Abi-1 using ab233412 at 30 μg/ml in immunohistochemical analysis. DAB staining.

Western blot - Anti-Abi-1 antibody (AB233412)
  • WB

Supplier Data

Western blot - Anti-Abi-1 antibody (AB233412)

All lanes:

Western blot - Anti-Abi-1 antibody (ab233412) at 2 µg/mL

All lanes:

Recombinant human Abi-1 protein

Predicted band size: 55 kDa

false

Key facts

Host species

Rabbit

Clonality

Polyclonal

Isotype

IgG

Carrier free

No

Reacts with

Human, Pig

Applications

IHC-P, WB

applications

Immunogen

Recombinant Fragment Protein within Human ABI1 aa 1-200. The exact immunogen used to generate this antibody is proprietary information.

Q8IZP0

Reactivity data

{ "title": "Reactivity Data", "filters": { "stats": ["", "Species", "Dilution Info", "Notes"], "tabs": { "all-applications": {"fullname" : "All Applications", "shortname": "All Applications"}, "WB" : {"fullname" : "Western blot", "shortname":"WB"}, "IHCP" : {"fullname" : "Immunohistochemistry (Formalin/PFA-fixed paraffin-embedded sections)", "shortname":"IHC-P"} }, "product-promise": { "all": "all", "testedAndGuaranteed": "tested", "guaranteed": "expected", "predicted": "predicted", "notRecommended": "not-recommended" } }, "values": { "Human": { "WB-species-checked": "testedAndGuaranteed", "WB-species-dilution-info": "0.2-2 µg/mL", "WB-species-notes": "<p></p>", "IHCP-species-checked": "testedAndGuaranteed", "IHCP-species-dilution-info": "5-20 µg/mL", "IHCP-species-notes": "<p></p>" }, "Mouse": { "WB-species-checked": "predicted", "WB-species-dilution-info": "", "WB-species-notes": "", "IHCP-species-checked": "predicted", "IHCP-species-dilution-info": "", "IHCP-species-notes": "" }, "Rat": { "WB-species-checked": "predicted", "WB-species-dilution-info": "", "WB-species-notes": "", "IHCP-species-checked": "predicted", "IHCP-species-dilution-info": "", "IHCP-species-notes": "" }, "Pig": { "WB-species-checked": "testedAndGuaranteed", "WB-species-dilution-info": "0.2-2 µg/mL", "WB-species-notes": "<p></p>", "IHCP-species-checked": "guaranteed", "IHCP-species-dilution-info": "", "IHCP-species-notes": "" }, "Recombinant full length protein - Human": { "WB-species-checked": "testedAndGuaranteed", "WB-species-dilution-info": "0.2-2 µg/mL", "WB-species-notes": "<p></p>", "IHCP-species-checked": "notRecommended", "IHCP-species-dilution-info": "", "IHCP-species-notes": "" } } }

Properties and storage information

Form
Liquid
Purification technique
Affinity purification Immunogen
Purification notes
ab233412 was purified by antigen-specific affinity chromatography followed by Protein A affinity chromatography.
Storage buffer
pH: 7.4 Preservative: 0.011% Proclin 300 Constituents: 55.77% Glycerol (glycerin, glycerine), 44.219% PBS
Shipped at conditions
Blue Ice
Appropriate short-term storage duration
1-2 weeks
Appropriate short-term storage conditions
+4°C
Appropriate long-term storage conditions
-20°C
Aliquoting information
Upon delivery aliquot
Storage information
Avoid freeze / thaw cycle

Supplementary information

This supplementary information is collated from multiple sources and compiled automatically.

The Abi-1 protein also known as ABI family member 1 is a small adapter protein with a molecular mass of about 55 kDa. It is mainly expressed in brain and hematopoietic tissues. Abi-1 contains several domains allowing it to interact with a variety of signaling and cytoskeletal proteins. Its role as a linker connects various cellular components and facilitates communication between them important for the dynamic regulation of the actin cytoskeleton.
Biological function summary

Abi-1 influences actin polymerization and cell motility by associating with the WAVE complex. This complex plays an important function in mediating signal transduction from small GTPases to the actin cytoskeleton. Abi-1 helps to organize the cytoskeleton to enable cell movements and morphological changes. Moreover Abi-1 is involved in the regulation of signaling pathways linked with cell growth and differentiation. These functions position Abi-1 as an important factor in maintaining normal cellular function.

Pathways

Abi-1 operates inside the WAVE regulatory complex which affects the Rac1 signaling pathway. This pathway is essential for actin polymerization and cellular migration and involves proteins like N-WASP and Arp2/3 complex. Through its interaction with Rac1 and associated proteins Abi-1 greatly affects cytoskeletal reorganization demonstrating its importance in normal cellular movement and immune cell function.

Alterations in Abi-1 have associations with cancer particularly in leukemia. Abi-1 plays a role in oncogenic processes by interacting with proteins like BCR-ABL which is implicated in the pathogenesis of chronic myeloid leukemia. Additionally Abi-1 can contribute to neurological disorders due to its expression in brain tissues but the mechanisms remain less clearly understood. The disorder-associated signaling dynamics make Abi-1 a promising research focus for therapeutic interventions.

Product protocols

For this product, it's our understanding that no specific protocols are required. You can visit:

Target data

May act in negative regulation of cell growth and transformation by interacting with nonreceptor tyrosine kinases ABL1 and/or ABL2. May play a role in regulation of EGF-induced Erk pathway activation. Involved in cytoskeletal reorganization and EGFR signaling. Together with EPS8 participates in transduction of signals from Ras to Rac. In vitro, a trimeric complex of ABI1, EPS8 and SOS1 exhibits Rac specific guanine nucleotide exchange factor (GEF) activity and ABI1 seems to act as an adapter in the complex. Regulates ABL1/c-Abl-mediated phosphorylation of ENAH. Recruits WASF1 to lamellipodia and there seems to regulate WASF1 protein level. In brain, seems to regulate the dendritic outgrowth and branching as well as to determine the shape and number of synaptic contacts of developing neurons.
See full target information ABI1

Publications (1)

Recent publications for all applications. Explore the full list and refine your search

iScience 26:107891 PubMed37766980

2023

Highly multiplexed spatial analysis identifies tissue-resident memory T cells as drivers of ulcerative and immune checkpoint inhibitor colitis.

Applications

Unspecified application

Species

Unspecified reactive species

Mick J M van Eijs,José J M Ter Linde,Matthijs J D Baars,Mojtaba Amini,Miangela M Laclé,Eelco C Brand,Eveline M Delemarre,Julia Drylewicz,Stefan Nierkens,Rik J Verheijden,Bas Oldenburg,Yvonne Vercoulen,Karijn P M Suijkerbuijk,Femke van Wijk
View all publications

Product promise

We are committed to supporting your work with high-quality reagents, and we're here for you every step of the way. In the unlikely event that one of our products does not perform as expected, you're protected by our Product Promise.
For full details, please see our Terms & Conditions

Please note: All products are 'FOR RESEARCH USE ONLY. NOT FOR USE IN DIAGNOSTIC OR THERAPEUTIC PROCEDURES'.

For licensing inquiries, please contact partnerships@abcam.com