JavaScript is disabled in your browser. Please enable JavaScript to view this website.
AB65828

Anti-Abi-1 antibody

Be the first to review this product! Submit a review

|

(2 Publications)

Rabbit Polyclonal Abi-1 antibody. Suitable for WB, IHC-P, ICC, Flow Cyt and reacts with Human, Mouse, Rat samples. Cited in 2 publications. Immunogen corresponding to Synthetic Peptide within Human ABI1 aa 450-500.

View Alternative Names

SSH3BP1, ABI1, Abl interactor 1, Abelson interactor 1, Abl-binding protein 4, Eps8 SH3 domain-binding protein, Nap1-binding protein, Spectrin SH3 domain-binding protein 1, e3B1, Abi-1, AblBP4, Eps8-binding protein, Nap1BP

7 Images
Immunocytochemistry - Anti-Abi-1 antibody (AB65828)
  • ICC

Supplier Data

Immunocytochemistry - Anti-Abi-1 antibody (AB65828)

Immunofluorescence analysis of paraffin-embedded section of human intestine cancer tissue staining ABI1 with ab65828 at 5 µg/mL concentration. Heat mediated antigen retrieval was performed in EDTA buffer (pH 8.0, epitope retrieval solution). Blocking was done with 10% goat serum and the tissue section was then incubated with the primary antibody overnight at 4°C. Cy3 Conjugated Goat Anti-Rabbit IgG was used as secondary antibody at 1 : 500 dilution and incubated for 30 minutes at 37°C. The section was counterstained with DAPI.

Immunohistochemistry - Anti-Abi-1 antibody (AB65828)
  • IHC

Supplier Data

Immunohistochemistry - Anti-Abi-1 antibody (AB65828)

Immunohistochemistry (Formalin/PFA-fixed paraffin-embedded sections) analysis of paraffin-embedded sections of human lung cancer tissue staining ABI1 with ab65828 at 2 µg/ml concentration. Heat mediated antigen retrieval was performed in EDTA buffer (pH 8.0, epitope retrieval solution). Blocking was done with 10% goat serum and the tissue section was then incubated with the primary antibody overnight at 4°C. The secondary antibody used was Peroxidase Conjugated Goat Anti-rabbit IgG incubated for 30 minutes at 37°C. The tissue section was developed using HRP Conjugated Rabbit IgG Super Vision Assay Kit with DAB as the chromogen.

Flow Cytometry - Anti-Abi-1 antibody (AB65828)
  • Flow Cyt

Supplier Data

Flow Cytometry - Anti-Abi-1 antibody (AB65828)

Flow cytometry analysis staining 4% paraformaldehyde-fixed permeabilized MCF-7 cells with ab65828 (Blue) at 1 µg/1x106 cells concentration. Blocking was done using 10% normal goat serum, and the cells were incubated with the primary antibody for 30 minutes at 20°C. The secondary used was DyLight®488 conjugated goat anti-rabbit IgG at 5-10 µg/1x106 cells, and the isotype control was rabbit IgG (Green) at 1 µg/1x10^6 for 30 minutes at 20°C. Control used was unlabelled sample (Red).

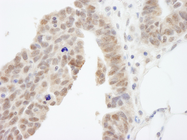
Immunohistochemistry (Formalin/PFA-fixed paraffin-embedded sections) - Anti-Abi-1 antibody (AB65828)
  • IHC-P

Supplier Data

Immunohistochemistry (Formalin/PFA-fixed paraffin-embedded sections) - Anti-Abi-1 antibody (AB65828)

Immunofluorescence analysis of paraffin-embedded section of human breast cancer tissue staining ABI1 with ab65828 at 5 µg/mL concentration. Heat mediated antigen retrieval was performed in EDTA buffer (pH 8.0, epitope retrieval solution). Blocking was done with 10% goat serum and the tissue section was then incubated with the primary antibody overnight at 4°C. Cy3 Conjugated Goat Anti-Rabbit IgG was used as secondary antibody at 1 : 500 dilution and incubated for 30 minutes at 37°C. The section was counterstained with DAPI.

Immunocytochemistry - Anti-Abi-1 antibody (AB65828)
  • ICC

Supplier Data

Immunocytochemistry - Anti-Abi-1 antibody (AB65828)

Immunofluorescence analysis of section of U2OS cells staining ABI1 with ab65828 at 5 µg/mL concentration. Enzyme antigen retrieval was performed using IHC enzyme antigen retrieval reagent for 15 mins. Blocking was done with 10% goat serum and incubated with the primary antibody overnight at 4°C. Secondary antibody Cy3 Conjugated Goat Anti-Rabbit IgG was used at 1/500 dilution and incubated for 30 minutes at 37°C. The section was counterstained with DAPI.

Immunohistochemistry - Anti-Abi-1 antibody (AB65828)
  • IHC

Supplier Data

Immunohistochemistry - Anti-Abi-1 antibody (AB65828)

Immunohistochemistry (Formalin/PFA-fixed paraffin-embedded sections) analysis of paraffin-embedded section of human colorectal adenocarcinoma tissue staining ABI1 with ab65828 at 2 µg/ml concentration. Heat mediated antigen retrieval was performed in EDTA buffer (pH 8.0, epitope retrieval solution). Blocking was done with 10% goat serum and the tissue section was incubated with the pimary antibody overnight at 4°C. The secondary antibody was Peroxidase Conjugated Goat Anti-rabbit IgG incubated for 30 minutes at 37°C. The tissue section was developed using HRP Conjugated Rabbit IgG Super Vision Assay Kit with DAB as the chromogen.

Western blot - Anti-Abi-1 antibody (AB65828)
  • WB

Supplier Data

Western blot - Anti-Abi-1 antibody (AB65828)

Western blot analysis of ABI1 using ab65828 Electrophoresis was performed on a 5-20% SDS-PAGE gel at 70V (Stacking gel) / 90V (Resolving gel) for 2-3 hours. The sample well of each lane was loaded with 30 µg of sample under reducing conditions. After electrophoresis, proteins were transferred to a nitrocellulose membrane at 150 mA for 50-90 minutes. Blocked the membrane with 5% non-fat milk/TBS for 1.5 hour at RT. The membrane was incubated with ab65828 at 0.5 µg/mL overnight at 4°C, then washed with TBS-0.1%Tween 3 times with 5 minutes each and probed with a goat anti-rabbit IgG-HRP secondary antibody at a dilution of 1/5000 for 1.5 hour at RT. The signal is developed using an Enhanced Chemiluminescent detection (ECL) kit with Tanon 5200 system. A specific band was detected for ABI1 at approximately 60-65 kDa. The expected band size for ABI1 is at 55 kDa.

All lanes:

Western blot - Anti-Abi-1 antibody (ab65828)

Lane 1:

Human 293T whole cell lysates at 30 µg

Lane 2:

Human MCF-7 whole cell lysates at 30 µg

Lane 3:

Human U87 whole cell lysates at 30 µg

Lane 4:

Rat brain tissue lysates at 30 µg

Lane 5:

Rat C6 whole cell lysates at 30 µg

Lane 6:

Mouse brain tissue lysates at 30 µg

Lane 7:

Mouse Neuro-2a whole cell lysates at 30 µg

Lane 8:

Mouse C2C12 whole cell lysates at 30 µg

Secondary

All lanes:

Goat anti-rabbit IgG-HRP secondary antibody at 1/5000 dilution

false

Key facts

Host species

Rabbit

Clonality

Polyclonal

Isotype

IgG

Carrier free

No

Reacts with

Mouse, Rat, Human

Applications

WB, IHC-P, Flow Cyt, ICC

applications

Immunogen

Synthetic Peptide within Human ABI1 aa 450-500. The exact immunogen used to generate this antibody is proprietary information.

Q8IZP0

Reactivity data

{ "title": "Reactivity Data", "filters": { "stats": ["", "Species", "Dilution Info", "Notes"], "tabs": { "all-applications": {"fullname" : "All Applications", "shortname": "All Applications"}, "WB" : {"fullname" : "Western blot", "shortname":"WB"}, "IHCP" : {"fullname" : "Immunohistochemistry (Formalin/PFA-fixed paraffin-embedded sections)", "shortname":"IHC-P"}, "ICC" : {"fullname" : "Immunocytochemistry", "shortname":"ICC"}, "FlowCyt" : {"fullname" : "Flow Cytometry", "shortname":"Flow Cyt"} }, "product-promise": { "all": "all", "testedAndGuaranteed": "tested", "guaranteed": "expected", "predicted": "predicted", "notRecommended": "not-recommended" } }, "values": { "Human": { "WB-species-checked": "testedAndGuaranteed", "WB-species-dilution-info": "0.1-0.5 µg/mL", "WB-species-notes": "<p></p>", "IHCP-species-checked": "testedAndGuaranteed", "IHCP-species-dilution-info": "2-5 µg/mL", "IHCP-species-notes": "<p>Heat Mediated Antigen Retrieval: Boiling the paraffin sections in 10 mM citrate buffer, pH 6.0, for 20 minutes is required for the staining of formalin/paraffin sections.</p>", "ICC-species-checked": "testedAndGuaranteed", "ICC-species-dilution-info": "", "ICC-species-notes": "<p></p>", "FlowCyt-species-checked": "testedAndGuaranteed", "FlowCyt-species-dilution-info": "", "FlowCyt-species-notes": "<p></p>" }, "Mouse": { "WB-species-checked": "testedAndGuaranteed", "WB-species-dilution-info": "0.1-0.5 µg/mL", "WB-species-notes": "<p></p>", "IHCP-species-checked": "guaranteed", "IHCP-species-dilution-info": "", "IHCP-species-notes": "", "ICC-species-checked": "guaranteed", "ICC-species-dilution-info": "", "ICC-species-notes": "", "FlowCyt-species-checked": "guaranteed", "FlowCyt-species-dilution-info": "", "FlowCyt-species-notes": "" }, "Rat": { "WB-species-checked": "testedAndGuaranteed", "WB-species-dilution-info": "0.1-0.5 µg/mL", "WB-species-notes": "<p></p>", "IHCP-species-checked": "guaranteed", "IHCP-species-dilution-info": "", "IHCP-species-notes": "", "ICC-species-checked": "guaranteed", "ICC-species-dilution-info": "", "ICC-species-notes": "", "FlowCyt-species-checked": "guaranteed", "FlowCyt-species-dilution-info": "", "FlowCyt-species-notes": "" } } }

Properties and storage information

Form
Liquid
Purification technique
Affinity purification Immunogen
Storage buffer
Preservative: 0.31% Thimerosal (merthiolate), 0.06% Sodium azide Constituents: 30.75% BSA, 5.54% Sodium chloride, 1.23% Disodium hydrogenorthophosphate
Shipped at conditions
Blue Ice
Appropriate short-term storage conditions
+4°C
Appropriate long-term storage conditions
-20°C
Aliquoting information
Upon delivery aliquot
Storage information
Avoid freeze / thaw cycle

Supplementary information

This supplementary information is collated from multiple sources and compiled automatically.

The Abi-1 protein also known as ABI family member 1 is a small adapter protein with a molecular mass of about 55 kDa. It is mainly expressed in brain and hematopoietic tissues. Abi-1 contains several domains allowing it to interact with a variety of signaling and cytoskeletal proteins. Its role as a linker connects various cellular components and facilitates communication between them important for the dynamic regulation of the actin cytoskeleton.
Biological function summary

Abi-1 influences actin polymerization and cell motility by associating with the WAVE complex. This complex plays an important function in mediating signal transduction from small GTPases to the actin cytoskeleton. Abi-1 helps to organize the cytoskeleton to enable cell movements and morphological changes. Moreover Abi-1 is involved in the regulation of signaling pathways linked with cell growth and differentiation. These functions position Abi-1 as an important factor in maintaining normal cellular function.

Pathways

Abi-1 operates inside the WAVE regulatory complex which affects the Rac1 signaling pathway. This pathway is essential for actin polymerization and cellular migration and involves proteins like N-WASP and Arp2/3 complex. Through its interaction with Rac1 and associated proteins Abi-1 greatly affects cytoskeletal reorganization demonstrating its importance in normal cellular movement and immune cell function.

Alterations in Abi-1 have associations with cancer particularly in leukemia. Abi-1 plays a role in oncogenic processes by interacting with proteins like BCR-ABL which is implicated in the pathogenesis of chronic myeloid leukemia. Additionally Abi-1 can contribute to neurological disorders due to its expression in brain tissues but the mechanisms remain less clearly understood. The disorder-associated signaling dynamics make Abi-1 a promising research focus for therapeutic interventions.

Product protocols

For this product, it's our understanding that no specific protocols are required. You can visit:

Target data

May act in negative regulation of cell growth and transformation by interacting with nonreceptor tyrosine kinases ABL1 and/or ABL2. May play a role in regulation of EGF-induced Erk pathway activation. Involved in cytoskeletal reorganization and EGFR signaling. Together with EPS8 participates in transduction of signals from Ras to Rac. In vitro, a trimeric complex of ABI1, EPS8 and SOS1 exhibits Rac specific guanine nucleotide exchange factor (GEF) activity and ABI1 seems to act as an adapter in the complex. Regulates ABL1/c-Abl-mediated phosphorylation of ENAH. Recruits WASF1 to lamellipodia and there seems to regulate WASF1 protein level. In brain, seems to regulate the dendritic outgrowth and branching as well as to determine the shape and number of synaptic contacts of developing neurons.
See full target information ABI1

Publications (2)

Recent publications for all applications. Explore the full list and refine your search

Journal of neuroinflammation 17:337 PubMed33176803

2020

Pinocembrin ameliorates intermittent hypoxia-induced neuroinflammation through BNIP3-dependent mitophagy in a murine model of sleep apnea.

Applications

Unspecified application

Species

Unspecified reactive species

Lin-Jing Gong,Xin-Yuan Wang,Wen-Yu Gu,Xu Wu

Biochimica et biophysica acta 1830:4634-41 PubMed23747303

2013

Unphosphorylated calponin enhances the binding force of unphosphorylated myosin to actin.

Applications

Unspecified application

Species

Unspecified reactive species

Horia Nicolae Roman,Nedjma B Zitouni,Linda Kachmar,Gijs Ijpma,Lennart Hilbert,Oleg Matusovsky,Andrea Benedetti,Apolinary Sobieszek,Anne-Marie Lauzon
View all publications

Product promise

We are committed to supporting your work with high-quality reagents, and we're here for you every step of the way. In the unlikely event that one of our products does not perform as expected, you're protected by our Product Promise.
For full details, please see our Terms & Conditions

Please note: All products are 'FOR RESEARCH USE ONLY. NOT FOR USE IN DIAGNOSTIC OR THERAPEUTIC PROCEDURES'.

For licensing inquiries, please contact partnerships@abcam.com