JavaScript is disabled in your browser. Please enable JavaScript to view this website.
AB72318

Anti-Abi-1 antibody

Be the first to review this product! Submit a review

|

(0 Publication)

Rabbit Polyclonal Abi-1 antibody. Suitable for IHC-P, IP, WB and reacts with Human samples. Immunogen corresponding to Synthetic Peptide within Human ABI1 aa 300-400.

View Alternative Names

SSH3BP1, ABI1, Abl interactor 1, Abelson interactor 1, Abl-binding protein 4, Eps8 SH3 domain-binding protein, Nap1-binding protein, Spectrin SH3 domain-binding protein 1, e3B1, Abi-1, AblBP4, Eps8-binding protein, Nap1BP

4 Images
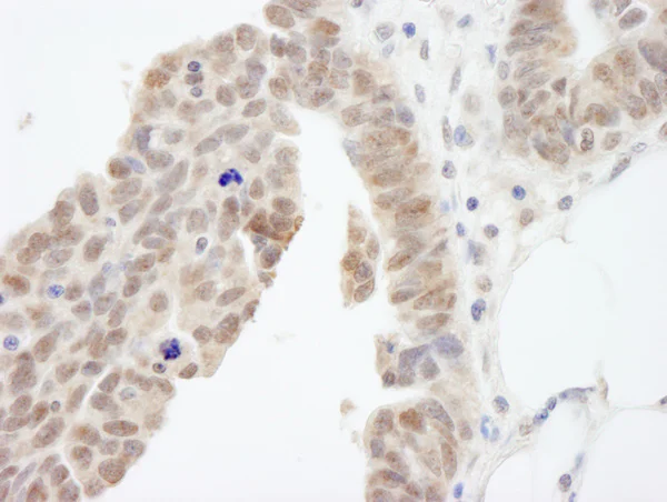
Immunohistochemistry (Formalin/PFA-fixed paraffin-embedded sections) - Anti-Abi-1 antibody (AB72318)
  • IHC-P

Unknown

Immunohistochemistry (Formalin/PFA-fixed paraffin-embedded sections) - Anti-Abi-1 antibody (AB72318)

Immunohistochemistry (Formalin/PFA-fixed paraffin-embedded sections) analysis of human prostate carcinoma tissue labelling SSH3BP1 with ab72318 at 1/200 (1µg/ml). Detection : DAB.

Western blot - Anti-Abi-1 antibody (AB72318)
  • WB

Unknown

Western blot - Anti-Abi-1 antibody (AB72318)

All lanes:

Western blot - Anti-Abi-1 antibody (ab72318) at 0.04 µg/mL

Lane 1:

Whole cell lysate from HeLa cells at 50 µg

Lane 2:

Whole cell lysate from HeLa cells at 15 µg

Lane 3:

Whole cell lysate from HeLa cells at 5 µg

Lane 4:

Whole cell lysate from 293T cells at 50 µg

Predicted band size: 55 kDa

Observed band size: 28 kDa,55 kDa,60 kDa,90 kDa

false

Immunoprecipitation - Anti-Abi-1 antibody (AB72318)
  • IP

Unknown

Immunoprecipitation - Anti-Abi-1 antibody (AB72318)

Detection of Abi-1 by Immunoprecipitation from Whole cell lysate from HeLa cells (1 mg for IP, 20% of IP loaded) using ab72318 at 3 μg/mg lysate for IP (Lane 1) and at 1 μg/ml for subsequent WB detection. Lane 2 represents control IgG IP.

All lanes:

Immunoprecipitation - Anti-Abi-1 antibody (ab72318)

Predicted band size: 55 kDa

false

Immunoprecipitation - Anti-Abi-1 antibody (AB72318)
  • IP

Unknown

Immunoprecipitation - Anti-Abi-1 antibody (AB72318)

Detection of Human Abi-1 by Western Blot of Immunoprecipitates. Samples : Whole cell lysate (1 mg for IP, 20% of IP loaded) from HeLa cells. Lane 1 : ab72317 used for IP at 3 μg/mg lysate. Lane 2 : Abi-1 immunoprecipitated with an other antibody. Lane 3 : ab72318 at 3 μg/mg lysate used for IP of Abi-1, which recognize downstream epitopes. Lane 4 : control Ig IP For blotting immunoprecipitated Abi-1, ab72318 was used at 1 μg/ml.

All lanes:

Immunoprecipitation - Anti-Abi-1 antibody (ab72318)

Predicted band size: 55 kDa

false

Key facts

Host species

Rabbit

Clonality

Polyclonal

Isotype

IgG

Carrier free

No

Reacts with

Human

Applications

IHC-P, WB, IP

applications

Immunogen

Synthetic Peptide within Human ABI1 aa 300-400. The exact immunogen used to generate this antibody is proprietary information.

Q8IZP0

Reactivity data

{ "title": "Reactivity Data", "filters": { "stats": ["", "Species", "Dilution Info", "Notes"], "tabs": { "all-applications": {"fullname" : "All Applications", "shortname": "All Applications"}, "IHCP" : {"fullname" : "Immunohistochemistry (Formalin/PFA-fixed paraffin-embedded sections)", "shortname":"IHC-P"}, "IP" : {"fullname" : "Immunoprecipitation", "shortname":"IP"}, "WB" : {"fullname" : "Western blot", "shortname":"WB"} }, "product-promise": { "all": "all", "testedAndGuaranteed": "tested", "guaranteed": "expected", "predicted": "predicted", "notRecommended": "not-recommended" } }, "values": { "Human": { "IHCP-species-checked": "testedAndGuaranteed", "IHCP-species-dilution-info": "1/100 - 1/500", "IHCP-species-notes": "<p></p> Perform heat-mediated antigen retrieval with citrate buffer pH 6 before commencing with IHC staining protocol.", "IP-species-checked": "testedAndGuaranteed", "IP-species-dilution-info": "2-5 µg/mg of lysate", "IP-species-notes": "<p></p>", "WB-species-checked": "testedAndGuaranteed", "WB-species-dilution-info": "1/2000 - 1/10000", "WB-species-notes": "<p></p>" }, "Mouse": { "IHCP-species-checked": "predicted", "IHCP-species-dilution-info": "", "IHCP-species-notes": "", "IP-species-checked": "predicted", "IP-species-dilution-info": "", "IP-species-notes": "", "WB-species-checked": "predicted", "WB-species-dilution-info": "", "WB-species-notes": "" }, "Rat": { "IHCP-species-checked": "predicted", "IHCP-species-dilution-info": "", "IHCP-species-notes": "", "IP-species-checked": "predicted", "IP-species-dilution-info": "", "IP-species-notes": "", "WB-species-checked": "predicted", "WB-species-dilution-info": "", "WB-species-notes": "" }, "Chicken": { "IHCP-species-checked": "predicted", "IHCP-species-dilution-info": "", "IHCP-species-notes": "", "IP-species-checked": "predicted", "IP-species-dilution-info": "", "IP-species-notes": "", "WB-species-checked": "predicted", "WB-species-dilution-info": "", "WB-species-notes": "" }, "Chimpanzee": { "IHCP-species-checked": "predicted", "IHCP-species-dilution-info": "", "IHCP-species-notes": "", "IP-species-checked": "predicted", "IP-species-dilution-info": "", "IP-species-notes": "", "WB-species-checked": "predicted", "WB-species-dilution-info": "", "WB-species-notes": "" }, "Gorilla": { "IHCP-species-checked": "predicted", "IHCP-species-dilution-info": "", "IHCP-species-notes": "", "IP-species-checked": "predicted", "IP-species-dilution-info": "", "IP-species-notes": "", "WB-species-checked": "predicted", "WB-species-dilution-info": "", "WB-species-notes": "" }, "Guinea pig": { "IHCP-species-checked": "predicted", "IHCP-species-dilution-info": "", "IHCP-species-notes": "", "IP-species-checked": "predicted", "IP-species-dilution-info": "", "IP-species-notes": "", "WB-species-checked": "predicted", "WB-species-dilution-info": "", "WB-species-notes": "" }, "Horse": { "IHCP-species-checked": "predicted", "IHCP-species-dilution-info": "", "IHCP-species-notes": "", "IP-species-checked": "predicted", "IP-species-dilution-info": "", "IP-species-notes": "", "WB-species-checked": "predicted", "WB-species-dilution-info": "", "WB-species-notes": "" }, "Orangutan": { "IHCP-species-checked": "predicted", "IHCP-species-dilution-info": "", "IHCP-species-notes": "", "IP-species-checked": "predicted", "IP-species-dilution-info": "", "IP-species-notes": "", "WB-species-checked": "predicted", "WB-species-dilution-info": "", "WB-species-notes": "" }, "Pig": { "IHCP-species-checked": "predicted", "IHCP-species-dilution-info": "", "IHCP-species-notes": "", "IP-species-checked": "predicted", "IP-species-dilution-info": "", "IP-species-notes": "", "WB-species-checked": "predicted", "WB-species-dilution-info": "", "WB-species-notes": "" }, "Platypus": { "IHCP-species-checked": "predicted", "IHCP-species-dilution-info": "", "IHCP-species-notes": "", "IP-species-checked": "predicted", "IP-species-dilution-info": "", "IP-species-notes": "", "WB-species-checked": "predicted", "WB-species-dilution-info": "", "WB-species-notes": "" }, "Rabbit": { "IHCP-species-checked": "predicted", "IHCP-species-dilution-info": "", "IHCP-species-notes": "", "IP-species-checked": "predicted", "IP-species-dilution-info": "", "IP-species-notes": "", "WB-species-checked": "predicted", "WB-species-dilution-info": "", "WB-species-notes": "" }, "Rhesus monkey": { "IHCP-species-checked": "predicted", "IHCP-species-dilution-info": "", "IHCP-species-notes": "", "IP-species-checked": "predicted", "IP-species-dilution-info": "", "IP-species-notes": "", "WB-species-checked": "predicted", "WB-species-dilution-info": "", "WB-species-notes": "" }, "Turkey": { "IHCP-species-checked": "predicted", "IHCP-species-dilution-info": "", "IHCP-species-notes": "", "IP-species-checked": "predicted", "IP-species-dilution-info": "", "IP-species-notes": "", "WB-species-checked": "predicted", "WB-species-dilution-info": "", "WB-species-notes": "" } } }

Properties and storage information

Form
Liquid
Purification technique
Affinity purification Immunogen
Storage buffer
pH: 6.8 - 7.4 Preservative: 0.09% Sodium azide Constituents: Tris buffered saline, 0.1% BSA
Shipped at conditions
Blue Ice
Appropriate short-term storage conditions
+4°C
Appropriate long-term storage conditions
-20°C
Aliquoting information
Upon delivery aliquot
Storage information
Avoid freeze / thaw cycle

Supplementary information

This supplementary information is collated from multiple sources and compiled automatically.

The Abi-1 protein also known as ABI family member 1 is a small adapter protein with a molecular mass of about 55 kDa. It is mainly expressed in brain and hematopoietic tissues. Abi-1 contains several domains allowing it to interact with a variety of signaling and cytoskeletal proteins. Its role as a linker connects various cellular components and facilitates communication between them important for the dynamic regulation of the actin cytoskeleton.
Biological function summary

Abi-1 influences actin polymerization and cell motility by associating with the WAVE complex. This complex plays an important function in mediating signal transduction from small GTPases to the actin cytoskeleton. Abi-1 helps to organize the cytoskeleton to enable cell movements and morphological changes. Moreover Abi-1 is involved in the regulation of signaling pathways linked with cell growth and differentiation. These functions position Abi-1 as an important factor in maintaining normal cellular function.

Pathways

Abi-1 operates inside the WAVE regulatory complex which affects the Rac1 signaling pathway. This pathway is essential for actin polymerization and cellular migration and involves proteins like N-WASP and Arp2/3 complex. Through its interaction with Rac1 and associated proteins Abi-1 greatly affects cytoskeletal reorganization demonstrating its importance in normal cellular movement and immune cell function.

Alterations in Abi-1 have associations with cancer particularly in leukemia. Abi-1 plays a role in oncogenic processes by interacting with proteins like BCR-ABL which is implicated in the pathogenesis of chronic myeloid leukemia. Additionally Abi-1 can contribute to neurological disorders due to its expression in brain tissues but the mechanisms remain less clearly understood. The disorder-associated signaling dynamics make Abi-1 a promising research focus for therapeutic interventions.

Product protocols

For this product, it's our understanding that no specific protocols are required. You can visit:

Target data

May act in negative regulation of cell growth and transformation by interacting with nonreceptor tyrosine kinases ABL1 and/or ABL2. May play a role in regulation of EGF-induced Erk pathway activation. Involved in cytoskeletal reorganization and EGFR signaling. Together with EPS8 participates in transduction of signals from Ras to Rac. In vitro, a trimeric complex of ABI1, EPS8 and SOS1 exhibits Rac specific guanine nucleotide exchange factor (GEF) activity and ABI1 seems to act as an adapter in the complex. Regulates ABL1/c-Abl-mediated phosphorylation of ENAH. Recruits WASF1 to lamellipodia and there seems to regulate WASF1 protein level. In brain, seems to regulate the dendritic outgrowth and branching as well as to determine the shape and number of synaptic contacts of developing neurons.
See full target information ABI1

Product promise

We are committed to supporting your work with high-quality reagents, and we're here for you every step of the way. In the unlikely event that one of our products does not perform as expected, you're protected by our Product Promise.
For full details, please see our Terms & Conditions

Please note: All products are 'FOR RESEARCH USE ONLY. NOT FOR USE IN DIAGNOSTIC OR THERAPEUTIC PROCEDURES'.

For licensing inquiries, please contact partnerships@abcam.com