JavaScript is disabled in your browser. Please enable JavaScript to view this website.
AB214318

Anti-ABI3 antibody

3

(1 Review)

|

(1 Publication)

Rabbit Polyclonal ABI3 antibody. Suitable for IHC-P and reacts with Rat samples. Cited in 1 publication. Immunogen corresponding to Synthetic Peptide within Human ABI3 aa 100-200 conjugated to Keyhole Limpet Haemocyanin.

View Alternative Names

NESH, ABI3, ABI gene family member 3, New molecule including SH3, Nesh

1 Images
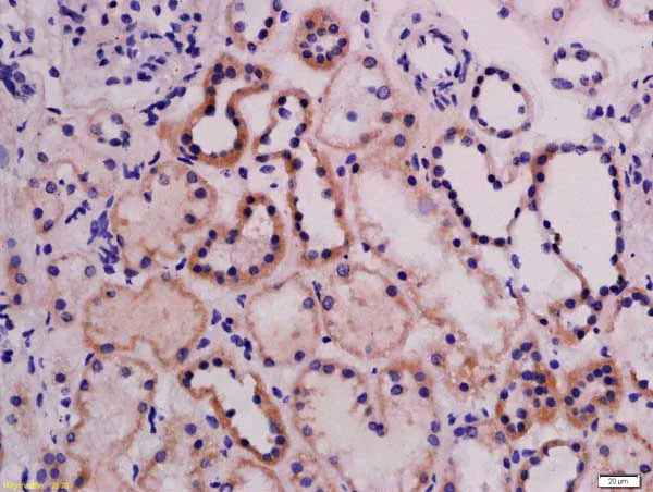
Immunohistochemistry (Formalin/PFA-fixed paraffin-embedded sections) - Anti-ABI3 antibody (AB214318)
  • IHC-P

Supplier Data

Immunohistochemistry (Formalin/PFA-fixed paraffin-embedded sections) - Anti-ABI3 antibody (AB214318)

Immunohistochemical analysis of formalin-fixed, paraffin-embedded rat kidney tissue labeling with ABI3 with ab214318 at 1/200 dilution, followed by conjugation to the secondary antibody and DAB staining.

Key facts

Host species

Rabbit

Clonality

Polyclonal

Isotype

IgG

Carrier free

No

Reacts with

Rat

Applications

IHC-P

applications

Immunogen

Synthetic Peptide within Human ABI3 aa 100-200 conjugated to Keyhole Limpet Haemocyanin. The exact immunogen used to generate this antibody is proprietary information.

Q9P2A4

Reactivity data

{ "title": "Reactivity Data", "filters": { "stats": ["", "Species", "Dilution Info", "Notes"], "tabs": { "all-applications": {"fullname" : "All Applications", "shortname": "All Applications"}, "IHCP" : {"fullname" : "Immunohistochemistry (Formalin/PFA-fixed paraffin-embedded sections)", "shortname":"IHC-P"} }, "product-promise": { "all": "all", "testedAndGuaranteed": "tested", "guaranteed": "expected", "predicted": "predicted", "notRecommended": "not-recommended" } }, "values": { "Human": { "IHCP-species-checked": "predicted", "IHCP-species-dilution-info": "", "IHCP-species-notes": "" }, "Mouse": { "IHCP-species-checked": "predicted", "IHCP-species-dilution-info": "", "IHCP-species-notes": "" }, "Rat": { "IHCP-species-checked": "testedAndGuaranteed", "IHCP-species-dilution-info": "1/100 - 1/500", "IHCP-species-notes": "<p></p> Perform heat-mediated antigen retrieval with citrate buffer pH 6 before commencing with IHC staining protocol." } } }

Properties and storage information

Form
Liquid
Purification technique
Affinity purification Protein A
Storage buffer
pH: 7.4 Preservative: 0.02% Proclin 300 Constituents: 50% Glycerol (glycerin, glycerine), 48.98% TBS, 1X, 1% BSA
Shipped at conditions
Blue Ice
Appropriate short-term storage duration
1-2 weeks
Appropriate short-term storage conditions
+4°C
Appropriate long-term storage conditions
-20°C
Aliquoting information
Upon delivery aliquot
Storage information
Avoid freeze / thaw cycle

Supplementary information

This supplementary information is collated from multiple sources and compiled automatically.

ABI3 also known as the ATP-binding cassette sub-family I member 3 is a protein involved in lipid transport and metabolism. It weighs approximately 34 kDa. This protein is expressed in various tissues most notably in the brain and immune cells. The presence of ABI3 has been noted in microglia which are the brain’s resident macrophages highlighting its significance in central nervous system functioning.
Biological function summary

The protein ABI3 plays an essential role in phagocytic activity which helps in clearing cellular debris and toxins supporting immune response and maintenance of tissue homeostasis. ABI3 integrates into a larger macromolecular complex where it interacts with other proteins to influence phagocytosis efficiency. Such interactions empower ABI3 to modulate inflammatory responses thereby contributing to cellular defense mechanisms.

Pathways

Different cellular processes involve ABI3 especially the PI3K-Akt pathway and the immune response pathways. The PI3K-Akt pathway is critical for cell survival and growth where ABI3 modulates these activities. ABI3 interacts with other proteins in this pathway like AKT1 to impact cellular metabolism and survival decisions. Furthermore its involvement in immune response pathways highlights its role in maintaining cellular health through modulating both inflammation and phagocytosis.

ABI3 has associations with neurodegenerative diseases such as Alzheimer's disease and frontotemporal dementia. Its role in affected microglial function directly links to inflammatory processes observed in these conditions. Additionally ABI3 interacts with proteins like TREM2 in microglial cells which research connects to Alzheimer’s disease offering insights into potential therapeutic targets.

Product protocols

For this product, it's our understanding that no specific protocols are required. You can visit:

Target data

May inhibit tumor metastasis (By similarity). In vitro, reduces cell motility.
See full target information ABI3

Publications (1)

Recent publications for all applications. Explore the full list and refine your search

The Journal of biological chemistry 296:100680 PubMed33872598

2021

Nonredundant roles of DIAPHs in primary ciliogenesis.

Applications

Unspecified application

Species

Unspecified reactive species

Oliva Palander,Adam Lam,Richard F Collins,Theo J Moraes,William S Trimble
View all publications

Product promise

We are committed to supporting your work with high-quality reagents, and we're here for you every step of the way. In the unlikely event that one of our products does not perform as expected, you're protected by our Product Promise.
For full details, please see our Terms & Conditions

Please note: All products are 'FOR RESEARCH USE ONLY. NOT FOR USE IN DIAGNOSTIC OR THERAPEUTIC PROCEDURES'.

For licensing inquiries, please contact partnerships@abcam.com