JavaScript is disabled in your browser. Please enable JavaScript to view this website.
AB47410

Anti-ABL1 antibody

4

(1 Review)

|

(1 Publication)

Rabbit Polyclonal ABL1 antibody. Suitable for ELISA, sELISA, IHC-P and reacts with Mouse, Human samples. Cited in 1 publication. Immunogen corresponding to Synthetic Peptide within Human ABL1 aa 400-500.

View Alternative Names

ABL, JTK7, ABL1, Tyrosine-protein kinase ABL1, Abelson murine leukemia viral oncogene homolog 1, Abelson tyrosine-protein kinase 1, Proto-oncogene c-Abl, p150

1 Images
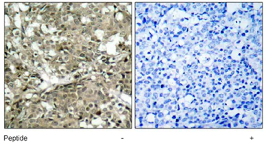
Immunohistochemistry (Formalin/PFA-fixed paraffin-embedded sections) - Anti-ABL1 antibody (AB47410)
  • IHC-P

Unknown

Immunohistochemistry (Formalin/PFA-fixed paraffin-embedded sections) - Anti-ABL1 antibody (AB47410)

Immunohistochemical analysis of paraffin-embedded human breast carcinoma tissue in the presence (right) and absence (left) of blocking peptide, using ab47410 at 1/50 dilution.

Key facts

Host species

Rabbit

Clonality

Polyclonal

Isotype

IgG

Carrier free

No

Reacts with

Human, Mouse

Applications

IHC-P, sELISA, ELISA

applications

Immunogen

Synthetic Peptide within Human ABL1 aa 400-500. The exact immunogen used to generate this antibody is proprietary information.

P00519

Specificity

This antibody detects endogenous levels of total c-Abl protein.

Reactivity data

{ "title": "Reactivity Data", "filters": { "stats": ["", "Species", "Dilution Info", "Notes"], "tabs": { "all-applications": {"fullname" : "All Applications", "shortname": "All Applications"}, "ELISA" : {"fullname" : "ELISA", "shortname":"ELISA"}, "sELISA" : {"fullname" : "Sandwich ELISA", "shortname":"sELISA"}, "IHCP" : {"fullname" : "Immunohistochemistry (Formalin/PFA-fixed paraffin-embedded sections)", "shortname":"IHC-P"} }, "product-promise": { "all": "all", "testedAndGuaranteed": "tested", "guaranteed": "expected", "predicted": "predicted", "notRecommended": "not-recommended" } }, "values": { "Human": { "ELISA-species-checked": "guaranteed", "ELISA-species-dilution-info": "", "ELISA-species-notes": "<p></p>", "sELISA-species-checked": "guaranteed", "sELISA-species-dilution-info": "", "sELISA-species-notes": "<p>Use as Detection antibody with recommended pair.</p>", "IHCP-species-checked": "testedAndGuaranteed", "IHCP-species-dilution-info": "", "IHCP-species-notes": "<p></p>" }, "Mouse": { "ELISA-species-checked": "guaranteed", "ELISA-species-dilution-info": "", "ELISA-species-notes": "<p></p>", "sELISA-species-checked": "guaranteed", "sELISA-species-dilution-info": "", "sELISA-species-notes": "<p>Use as Detection antibody with recommended pair.</p>", "IHCP-species-checked": "predicted", "IHCP-species-dilution-info": "", "IHCP-species-notes": "" } } }

Properties and storage information

Form
Liquid
Purification technique
Affinity purification Immunogen
Purification notes
This antibody was affinity-purified from rabbit antiserum by affinity-chromatography using epitope-specific immunogen.
Storage buffer
pH: 7.4 Preservative: 0.02% Sodium azide Constituents: PBS, 50% Glycerol (glycerin, glycerine), 0.87% Sodium chloride
Shipped at conditions
Blue Ice
Appropriate short-term storage conditions
+4°C
Appropriate long-term storage conditions
-20°C
Aliquoting information
Upon delivery aliquot
Storage information
Avoid freeze / thaw cycle

Supplementary information

This supplementary information is collated from multiple sources and compiled automatically.

ABL1 also referred to as ABL-1 or ABL1 protein is a non-receptor tyrosine kinase with a mass of approximately 120 kDa. It is found throughout the body in diverse tissues with significant expression in the brain testes and hematopoietic cells. This protein consists of several functional domains including SH3 SH2 and a kinase domain that facilitate its interaction with various cellular components. ABL1 kinase plays a central role in cell differentiation division and stress response reflecting its mechanical versatility in cellular signaling.
Biological function summary

ABL1 functions by regulating key processes like cell cycle progression actin dynamics and cell adhesion. ABL1 participates as part of larger protein complexes that modulate cellular movement and gene transcription. When activated it phosphorylates a range of substrates that leads to various cellular outcomes. ABL1 operates in the cytoplasm and nucleus influencing both cytoskeletal rearrangement and DNA repair which highlights its critical function in maintaining cellular integrity and response to damage.

Pathways

ABL1 interacts in both the mitogenic and apoptotic pathways including involvement in the MAPK and PI3K/AKT pathways. ABL1 interfaces with proteins like CRK and GRB2 in these pathways integrating signals that determine cell fate decisions. Through its kinase activity ABL1 mediates signaling cascades that impact cellular growth and survival responding dynamically to internal and external cues.

ABL1 is notoriously implicated in chronic myeloid leukemia (CML) and acute lymphoblastic leukemia (ALL). The fusion protein BCR-ABL1 resulting from chromosomal translocation drives oncogenic signals that promote uncontrolled cell proliferation. The aberrant activity of BCR-ABL1 disrupts normal cellular regulation and interacts with proteins such as STAT5 enhancing leukemogenesis. Targeted therapies like tyrosine kinase inhibitors specifically hinder BCR-ABL1 activity demonstrating ABL1's importance in cancer pathology and treatment.

Product protocols

For this product, it's our understanding that no specific protocols are required. You can visit:

Target data

Non-receptor tyrosine-protein kinase that plays a role in many key processes linked to cell growth and survival such as cytoskeleton remodeling in response to extracellular stimuli, cell motility and adhesion, receptor endocytosis, autophagy, DNA damage response and apoptosis. Coordinates actin remodeling through tyrosine phosphorylation of proteins controlling cytoskeleton dynamics like WASF3 (involved in branch formation); ANXA1 (involved in membrane anchoring); DBN1, DBNL, CTTN, RAPH1 and ENAH (involved in signaling); or MAPT and PXN (microtubule-binding proteins). Phosphorylation of WASF3 is critical for the stimulation of lamellipodia formation and cell migration. Involved in the regulation of cell adhesion and motility through phosphorylation of key regulators of these processes such as BCAR1, CRK, CRKL, DOK1, EFS or NEDD9 (PubMed : 22810897). Phosphorylates multiple receptor tyrosine kinases and more particularly promotes endocytosis of EGFR, facilitates the formation of neuromuscular synapses through MUSK, inhibits PDGFRB-mediated chemotaxis and modulates the endocytosis of activated B-cell receptor complexes. Other substrates which are involved in endocytosis regulation are the caveolin (CAV1) and RIN1. Moreover, ABL1 regulates the CBL family of ubiquitin ligases that drive receptor down-regulation and actin remodeling. Phosphorylation of CBL leads to increased EGFR stability. Involved in late-stage autophagy by regulating positively the trafficking and function of lysosomal components. ABL1 targets to mitochondria in response to oxidative stress and thereby mediates mitochondrial dysfunction and cell death. In response to oxidative stress, phosphorylates serine/threonine kinase PRKD2 at 'Tyr-717' (PubMed : 28428613). ABL1 is also translocated in the nucleus where it has DNA-binding activity and is involved in DNA-damage response and apoptosis. Many substrates are known mediators of DNA repair : DDB1, DDB2, ERCC3, ERCC6, RAD9A, RAD51, RAD52 or WRN. Activates the proapoptotic pathway when the DNA damage is too severe to be repaired. Phosphorylates TP73, a primary regulator for this type of damage-induced apoptosis. Phosphorylates the caspase CASP9 on 'Tyr-153' and regulates its processing in the apoptotic response to DNA damage. Phosphorylates PSMA7 that leads to an inhibition of proteasomal activity and cell cycle transition blocks. ABL1 acts also as a regulator of multiple pathological signaling cascades during infection. Several known tyrosine-phosphorylated microbial proteins have been identified as ABL1 substrates. This is the case of A36R of Vaccinia virus, Tir (translocated intimin receptor) of pathogenic E.coli and possibly Citrobacter, CagA (cytotoxin-associated gene A) of H.pylori, or AnkA (ankyrin repeat-containing protein A) of A.phagocytophilum. Pathogens can highjack ABL1 kinase signaling to reorganize the host actin cytoskeleton for multiple purposes, like facilitating intracellular movement and host cell exit. Finally, functions as its own regulator through autocatalytic activity as well as through phosphorylation of its inhibitor, ABI1. Regulates T-cell differentiation in a TBX21-dependent manner (By similarity). Positively regulates chemokine-mediated T-cell migration, polarization, and homing to lymph nodes and immune-challenged tissues, potentially via activation of NEDD9/HEF1 and RAP1 (By similarity). Phosphorylates TBX21 on tyrosine residues leading to an enhancement of its transcriptional activator activity (By similarity).
See full target information ABL1

Publications (1)

Recent publications for all applications. Explore the full list and refine your search

EMBO reports 25:2974-3007 PubMed38816514

2024

Targeting ATP2B1 impairs PI3K/Akt/FOXO signaling and reduces SARS-COV-2 infection and replication.

Applications

Unspecified application

Species

Unspecified reactive species

Pasqualino de Antonellis,Veronica Ferrucci,Marco Miceli,Francesca Bibbo,Fatemeh Asadzadeh,Francesca Gorini,Alessia Mattivi,Angelo Boccia,Roberta Russo,Immacolata Andolfo,Vito Alessandro Lasorsa,Sueva Cantalupo,Giovanna Fusco,Maurizio Viscardi,Sergio Brandi,Pellegrino Cerino,Vittoria Monaco,Dong-Rac Choi,Jae-Ho Cheong,Achille Iolascon,Stefano Amente,Maria Monti,Luca L Fava,Mario Capasso,Hong-Yeoul Kim,Massimo Zollo
View all publications

Product promise

We are committed to supporting your work with high-quality reagents, and we're here for you every step of the way. In the unlikely event that one of our products does not perform as expected, you're protected by our Product Promise.
For full details, please see our Terms & Conditions

Please note: All products are 'FOR RESEARCH USE ONLY. NOT FOR USE IN DIAGNOSTIC OR THERAPEUTIC PROCEDURES'.

For licensing inquiries, please contact partnerships@abcam.com