JavaScript is disabled in your browser. Please enable JavaScript to view this website.
AB231541

Anti-ABP1 antibody

Be the first to review this product! Submit a review

|

(1 Publication)

Rabbit Polyclonal ABP1 antibody. Suitable for WB, IHC-P and reacts with Mouse samples. Cited in 1 publication. Immunogen corresponding to Recombinant Fragment Protein within Mouse Aoc1 aa 250-500.

View Alternative Names

Abp1, Aoc1, Diamine oxidase [copper-containing], Diamine oxidase, Amine oxidase copper domain-containing protein 1, Histaminase

3 Images
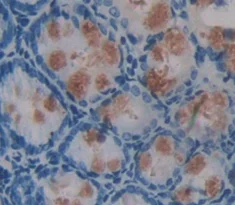
Immunohistochemistry (Formalin/PFA-fixed paraffin-embedded sections) - Anti-ABP1 antibody (AB231541)
  • IHC-P

Supplier Data

Immunohistochemistry (Formalin/PFA-fixed paraffin-embedded sections) - Anti-ABP1 antibody (AB231541)

Formalin-fixed, paraffin-embedded mouse intestine tissue stained for ABP1 using ab231541 at 20 μg/ml in immunohistochemical analysis.

Western blot - Anti-ABP1 antibody (AB231541)
  • WB

Supplier Data

Western blot - Anti-ABP1 antibody (AB231541)

All lanes:

Western blot - Anti-ABP1 antibody (ab231541) at 2 µg/mL

All lanes:

Recombinant mouse ABP1 protein

Predicted band size: 85 kDa

false

Western blot - Anti-ABP1 antibody (AB231541)
  • WB

Supplier Data

Western blot - Anti-ABP1 antibody (AB231541)

All lanes:

Western blot - Anti-ABP1 antibody (ab231541) at 2 µg/mL

All lanes:

Mouse placenta lysate

Predicted band size: 85 kDa

false

Key facts

Host species

Rabbit

Clonality

Polyclonal

Isotype

IgG

Carrier free

No

Reacts with

Mouse

Applications

WB, IHC-P

applications

Immunogen

Recombinant Fragment Protein within Mouse Aoc1 aa 250-500. The exact immunogen used to generate this antibody is proprietary information.

Q8JZQ5

Reactivity data

{ "title": "Reactivity Data", "filters": { "stats": ["", "Species", "Dilution Info", "Notes"], "tabs": { "all-applications": {"fullname" : "All Applications", "shortname": "All Applications"}, "WB" : {"fullname" : "Western blot", "shortname":"WB"}, "IHCP" : {"fullname" : "Immunohistochemistry (Formalin/PFA-fixed paraffin-embedded sections)", "shortname":"IHC-P"} }, "product-promise": { "all": "all", "testedAndGuaranteed": "tested", "guaranteed": "expected", "predicted": "predicted", "notRecommended": "not-recommended" } }, "values": { "Mouse": { "WB-species-checked": "testedAndGuaranteed", "WB-species-dilution-info": "0.2-2 µg/mL", "WB-species-notes": "<p></p>", "IHCP-species-checked": "testedAndGuaranteed", "IHCP-species-dilution-info": "5-20 µg/mL", "IHCP-species-notes": "<p></p>" }, "Rat": { "WB-species-checked": "predicted", "WB-species-dilution-info": "", "WB-species-notes": "", "IHCP-species-checked": "predicted", "IHCP-species-dilution-info": "", "IHCP-species-notes": "" } } }

Properties and storage information

Form
Liquid
Purification technique
Affinity purification Immunogen
Purification notes
ab231541 was purified by antigen-specific affinity chromatography followed by Protein A affinity chromatography.
Storage buffer
pH: 7.4 Preservative: 0.02% Sodium azide Constituents: PBS, 55.77% Glycerol (glycerin, glycerine)
Shipped at conditions
Blue Ice
Appropriate short-term storage duration
1-2 weeks
Appropriate short-term storage conditions
+4°C
Appropriate long-term storage conditions
-20°C
Aliquoting information
Upon delivery aliquot
Storage information
Avoid freeze / thaw cycle

Supplementary information

This supplementary information is collated from multiple sources and compiled automatically.

ABP1 also known as Auxin Binding Protein 1 is a protein with a molecular mass of approximately 22 kDa. This protein primarily functions as an auxin receptor in plants mediating various cellular responses to the plant hormone auxin. ABP1 locates mainly in the endoplasmic reticulum and is present across various plant tissues. The protein has a significant affinity for auxin and triggers specific intracellular signaling cascades essential for growth and development processes.
Biological function summary

ABP1 plays an important role in controlling cell elongation and division and it works in tandem with other auxin transporters. The protein functions within a broader receptor complex interacting with other proteins to modify plant cell physiology. Its action facilitates cell wall modification which directly influences the plant's response to environmental and endogenous signals. Through these interactions ABP1 significantly contributes to regulating the plant's phototropic and gravitropic responses.

Pathways

The operation of ABP1 integrates into the auxin signaling pathway and is associated with the regulation of gene expression. It links to TIR1 an important F-box protein in the SCF complex involved in the auxin signal transduction pathway. Together ABP1 and TIR1 coordinate to modulate the stability of transcription factors affecting downstream gene expression necessary for plant growth and development.

ABP1 itself mostly pertains to plant biology but its function offers insights into plant growth abnormalities. Disruptions in ABP1 function may result in disorders like auxin-insensitive phenotypes leading to defective root and shoot development. Additionally ABP1's interaction with PIN proteins responsible for auxin efflux creates potential for research into correcting growth defects in crops making it a critical focus in agricultural science.

Product protocols

For this product, it's our understanding that no specific protocols are required. You can visit:

Target data

Catalyzes the oxidative deamination of primary amines to the corresponding aldehydes with the concomitant production of hydrogen peroxide and ammonia. Its preferred substrates in vitro are the diamines histamine and 1-methylhistamine and it could therefore play a role in allergic and immune responses. Has a broad specificity for diamines and can also act on cadaverine and putrescine, two products of amino acid catabolism. It could also act on polyamines, like spermidine and spermine though less efficiently, and regulate various biological processes.
See full target information Aoc1

Publications (1)

Recent publications for all applications. Explore the full list and refine your search

Antioxidants (Basel, Switzerland) 10: PubMed34943057

2021

Mito-TIPTP Increases Mitochondrial Function by Repressing the Rubicon-p22phox Interaction in Colitis-Induced Mice.

Applications

Unspecified application

Species

Unspecified reactive species

Jae-Sung Kim,Ye-Ram Kim,Sein Jang,Sang Geon Wang,Euni Cho,Seok-Jun Mun,Hye-In Jeon,Hyo-Keun Kim,Sun-Joon Min,Chul-Su Yang
View all publications

Product promise

We are committed to supporting your work with high-quality reagents, and we're here for you every step of the way. In the unlikely event that one of our products does not perform as expected, you're protected by our Product Promise.
For full details, please see our Terms & Conditions

Please note: All products are 'FOR RESEARCH USE ONLY. NOT FOR USE IN DIAGNOSTIC OR THERAPEUTIC PROCEDURES'.

For licensing inquiries, please contact partnerships@abcam.com