JavaScript is disabled in your browser. Please enable JavaScript to view this website.
AB231558

Anti-ABP1 antibody

Be the first to review this product! Submit a review

|

(3 Publications)

Rabbit Polyclonal ABP1 antibody. Suitable for WB, IHC-P and reacts with Pig, Human, Mouse samples. Cited in 3 publications. Immunogen corresponding to Recombinant Fragment Protein within Human AOC1 aa 300-500.

View Alternative Names

ABP, ABP1, DAO, DAO1, AOC1, Diamine oxidase [copper-containing], Diamine oxidase, Amiloride-binding protein, Amiloride-binding protein 1, Amine oxidase copper domain-containing protein 1, Histaminase, Kidney amine oxidase, KAO, KDAO

4 Images
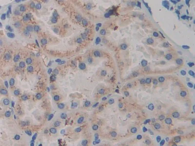
Immunohistochemistry (Formalin/PFA-fixed paraffin-embedded sections) - Anti-ABP1 antibody (AB231558)
  • IHC-P

Supplier Data

Immunohistochemistry (Formalin/PFA-fixed paraffin-embedded sections) - Anti-ABP1 antibody (AB231558)

Paraffin-embedded mouse kidney tissue stained for ABP1 using ab231558 at 20 μg/ml in immunohistochemical analysis. DAB staining.

Immunohistochemistry (Formalin/PFA-fixed paraffin-embedded sections) - Anti-ABP1 antibody (AB231558)
  • IHC-P

Supplier Data

Immunohistochemistry (Formalin/PFA-fixed paraffin-embedded sections) - Anti-ABP1 antibody (AB231558)

Paraffin-embedded mouse kidney tissue stained for ABP1 using ab231558 at 20 μg/ml in immunohistochemical analysis. DAB staining.

Western blot - Anti-ABP1 antibody (AB231558)
  • WB

Supplier Data

Western blot - Anti-ABP1 antibody (AB231558)

All lanes:

Western blot - Anti-ABP1 antibody (ab231558) at 3 µg/mL

All lanes:

Recombinant human ABP1 protein

Secondary

All lanes:

HRP-Linked Guinea pig Anti-Rabbit at 1/2000 dilution

Predicted band size: 85 kDa

false

Western blot - Anti-ABP1 antibody (AB231558)
  • WB

Supplier Data

Western blot - Anti-ABP1 antibody (AB231558)

All lanes:

Western blot - Anti-ABP1 antibody (ab231558) at 3 µg/mL

All lanes:

Pig kidney lysate

Secondary

All lanes:

HRP-Linked Guinea pig Anti-Rabbit at 1/2000 dilution

Predicted band size: 112 kDa,85 kDa

Observed band size: 120 kDa

false

Key facts

Host species

Rabbit

Clonality

Polyclonal

Isotype

IgG

Carrier free

No

Reacts with

Mouse, Human, Pig

Applications

IHC-P, WB

applications

Immunogen

Recombinant Fragment Protein within Human AOC1 aa 300-500. The exact immunogen used to generate this antibody is proprietary information.

P19801

Reactivity data

{ "title": "Reactivity Data", "filters": { "stats": ["", "Species", "Dilution Info", "Notes"], "tabs": { "all-applications": {"fullname" : "All Applications", "shortname": "All Applications"}, "WB" : {"fullname" : "Western blot", "shortname":"WB"}, "IHCP" : {"fullname" : "Immunohistochemistry (Formalin/PFA-fixed paraffin-embedded sections)", "shortname":"IHC-P"} }, "product-promise": { "all": "all", "testedAndGuaranteed": "tested", "guaranteed": "expected", "predicted": "predicted", "notRecommended": "not-recommended" } }, "values": { "Human": { "WB-species-checked": "testedAndGuaranteed", "WB-species-dilution-info": "0.5-2 µg/mL", "WB-species-notes": "<p></p>", "IHCP-species-checked": "guaranteed", "IHCP-species-dilution-info": "", "IHCP-species-notes": "" }, "Mouse": { "WB-species-checked": "guaranteed", "WB-species-dilution-info": "", "WB-species-notes": "", "IHCP-species-checked": "testedAndGuaranteed", "IHCP-species-dilution-info": "5-20 µg/mL", "IHCP-species-notes": "<p></p>" }, "Rat": { "WB-species-checked": "predicted", "WB-species-dilution-info": "", "WB-species-notes": "", "IHCP-species-checked": "predicted", "IHCP-species-dilution-info": "", "IHCP-species-notes": "" }, "Pig": { "WB-species-checked": "testedAndGuaranteed", "WB-species-dilution-info": "0.5-2 µg/mL", "WB-species-notes": "<p></p>", "IHCP-species-checked": "guaranteed", "IHCP-species-dilution-info": "", "IHCP-species-notes": "" } } }

Properties and storage information

Form
Liquid
Purification technique
Affinity purification Immunogen
Purification notes
ab231558 was purified by antigen-specific affinity chromatography followed by Protein A affinity chromatography.
Storage buffer
pH: 7.4 Preservative: 0.02% Sodium azide Constituents: PBS, 55.77% Glycerol (glycerin, glycerine)
Shipped at conditions
Blue Ice
Appropriate short-term storage duration
1-2 weeks
Appropriate short-term storage conditions
+4°C
Appropriate long-term storage conditions
-20°C
Aliquoting information
Upon delivery aliquot
Storage information
Avoid freeze / thaw cycle

Supplementary information

This supplementary information is collated from multiple sources and compiled automatically.

ABP1 also known as Auxin Binding Protein 1 is a protein with a molecular mass of approximately 22 kDa. This protein primarily functions as an auxin receptor in plants mediating various cellular responses to the plant hormone auxin. ABP1 locates mainly in the endoplasmic reticulum and is present across various plant tissues. The protein has a significant affinity for auxin and triggers specific intracellular signaling cascades essential for growth and development processes.
Biological function summary

ABP1 plays an important role in controlling cell elongation and division and it works in tandem with other auxin transporters. The protein functions within a broader receptor complex interacting with other proteins to modify plant cell physiology. Its action facilitates cell wall modification which directly influences the plant's response to environmental and endogenous signals. Through these interactions ABP1 significantly contributes to regulating the plant's phototropic and gravitropic responses.

Pathways

The operation of ABP1 integrates into the auxin signaling pathway and is associated with the regulation of gene expression. It links to TIR1 an important F-box protein in the SCF complex involved in the auxin signal transduction pathway. Together ABP1 and TIR1 coordinate to modulate the stability of transcription factors affecting downstream gene expression necessary for plant growth and development.

ABP1 itself mostly pertains to plant biology but its function offers insights into plant growth abnormalities. Disruptions in ABP1 function may result in disorders like auxin-insensitive phenotypes leading to defective root and shoot development. Additionally ABP1's interaction with PIN proteins responsible for auxin efflux creates potential for research into correcting growth defects in crops making it a critical focus in agricultural science.

Product protocols

For this product, it's our understanding that no specific protocols are required. You can visit:

Target data

Catalyzes the oxidative deamination of primary amines to the corresponding aldehydes with the concomitant production of hydrogen peroxide and ammonia (PubMed : 12072962, PubMed : 19764817, PubMed : 239684, PubMed : 8144586). Its preferred substrates are the diamines histamine and 1-methylhistamine and it could therefore play a role in allergic and immune responses (PubMed : 12072962). Has a broad specificity for diamines and can also act on cadaverine and putrescine, two products of amino acid catabolism (PubMed : 12072962). It could also act on polyamines, like spermidine and spermine though less efficiently, and regulate various biological processes (PubMed : 12072962, PubMed : 239684).
See full target information AOC1

Publications (3)

Recent publications for all applications. Explore the full list and refine your search

Nature communications 14:1161 PubMed36859428

2023

Inhibition of ALKBH5 attenuates I/R-induced renal injury in male mice by promoting Ccl28 m6A modification and increasing Treg recruitment.

Applications

Unspecified application

Species

Unspecified reactive species

Juntao Chen,Cuidi Xu,Kun Yang,Rifeng Gao,Yirui Cao,Lifei Liang,Siyue Chen,Shihao Xu,Ruiming Rong,Jina Wang,Tongyu Zhu

Cell death & disease 13:673 PubMed35922412

2022

SOX15 transcriptionally increases the function of AOC1 to modulate ferroptosis and progression in prostate cancer.

Applications

Unspecified application

Species

Unspecified reactive species

Yinghui Ding,Yuankang Feng,Zhenlin Huang,Yu Zhang,Xiang Li,Ruoyang Liu,Hao Li,Tao Wang,Yafei Ding,Zhankui Jia,Jinjian Yang

Oncology letters 22:857 PubMed34777591

2021

Downregulation of amine oxidase copper containing 1 inhibits tumor progression by suppressing IL-6/JAK/STAT3 pathway activation in hepatocellular carcinoma.

Applications

Unspecified application

Species

Unspecified reactive species

Qian Ding,Dongdong Lin,Yajing Zhou,Feng Li,Jianming Lai,Jianping Duan,Jing Chen,Caihua Jiang
View all publications

Product promise

We are committed to supporting your work with high-quality reagents, and we're here for you every step of the way. In the unlikely event that one of our products does not perform as expected, you're protected by our Product Promise.
For full details, please see our Terms & Conditions

Please note: All products are 'FOR RESEARCH USE ONLY. NOT FOR USE IN DIAGNOSTIC OR THERAPEUTIC PROCEDURES'.

For licensing inquiries, please contact partnerships@abcam.com