JavaScript is disabled in your browser. Please enable JavaScript to view this website.
AB128929

Anti-ACAA2 antibody [EPR6732(2)]

Be the first to review this product! Submit a review

|

(5 Publications)

Rabbit Recombinant Monoclonal ACAA2 antibody. Suitable for IHC-P, WB, ICC/IF, Flow Cyt (Intra) and reacts with Human samples. Cited in 5 publications.

View Alternative Names

Acetyl-CoA acetyltransferase, Acetyl-CoA acyltransferase, Beta-ketothiolase, Mitochondrial 3-oxoacyl-CoA thiolase, T1, ACAA2

6 Images
Immunohistochemistry (Formalin/PFA-fixed paraffin-embedded sections) - Anti-ACAA2 antibody [EPR6732(2)] (AB128929)
  • IHC-P

Unknown

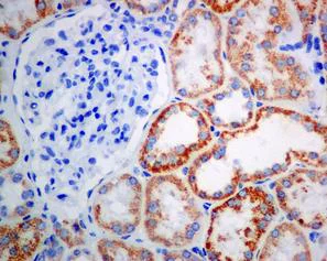
Immunohistochemistry (Formalin/PFA-fixed paraffin-embedded sections) - Anti-ACAA2 antibody [EPR6732(2)] (AB128929)

ab128929, at a 1/50 dilution, staining Human ACAA2 in kidney, using Immunohistochemistry, Formalin/PFA-fixed paraffin-emebedded tissue.

Perform heat mediated antigen retrieval via the pressure cooker method before commencing with IHC staining protocol.

Immunocytochemistry/ Immunofluorescence - Anti-ACAA2 antibody [EPR6732(2)] (AB128929)
  • ICC/IF

Unknown

Immunocytochemistry/ Immunofluorescence - Anti-ACAA2 antibody [EPR6732(2)] (AB128929)

ab128929, at a 1/250 dilution, staining Human ACAA2 in HepG2 cells, using Immunofluorescence.

Flow Cytometry (Intracellular) - Anti-ACAA2 antibody [EPR6732(2)] (AB128929)
  • Flow Cyt (Intra)

Lab

Flow Cytometry (Intracellular) - Anti-ACAA2 antibody [EPR6732(2)] (AB128929)

Flow Cytometry analysis of RPMI-8226 (Human plasmacytoma, myeloma B Lymphocyte) cells labeling ACAA2 with purified ab128929 at 1/100 dilution (10 μg/mL) (Red). Cells were fixed with 4% Paraformaldehyde and permeabilised with 90% Methanol. A Goat anti rabbit IgG (Alexa Fluor® 488, ab150077) secondary antibody was used at 1/2000. Isotype control - Rabbit monoclonal IgG (Black). Unlabeled control - Cell without incubation with primary antibody and secondary antibody (Blue).

Western blot - Anti-ACAA2 antibody [EPR6732(2)] (AB128929)
  • WB

Unknown

Western blot - Anti-ACAA2 antibody [EPR6732(2)] (AB128929)

All lanes:

Western blot - Anti-ACAA2 antibody [EPR6732(2)] (ab128929) at 1/1000 dilution

Lane 1:

HeLa cell lysate at 10 µg

Lane 2:

Caco-2 cell lysate at 10 µg

Lane 3:

HepG2 cell lysate at 10 µg

Secondary

All lanes:

HRP labelled goat anti-rabbit at 1/2000 dilution

Predicted band size: 41 kDa

false

OI-RD Scanning - Anti-ACAA2 antibody [EPR6732(2)] (AB128929)
  • OI-RD Scanning

Unknown

OI-RD Scanning - Anti-ACAA2 antibody [EPR6732(2)] (AB128929)

We have systematically measured KD (the equilibrium dissociation constant between the antibody and its antigen), of more than 840 recombinant antibodies to assess not only their individual KD values but also to see the average affinity of antibody. Based on the comparison with published literature values for mouse monoclonal antibodies, Recombinant antibodies appear to be on average 1-2 order of magnitude higher affinity.

Western blot - Anti-ACAA2 antibody [EPR6732(2)] (AB128929)
  • WB

CiteAb

Western blot - Anti-ACAA2 antibody [EPR6732(2)] (AB128929)

ACAA2 western blot using anti-ACAA2 antibody [EPR6732(2)] ab128929. Publication image and figure legend from Zhang, Y. K., Qu, Y. Y., et al., 2017, Nat Commun, PubMed 28878358.

ab128929 was used in this publication in western blot. This may not be the same as the application(s) guaranteed by Abcam. For a full list of applications guaranteed by Abcam for ab128929 please see the product overview.

ECHS1 protein levels are decreased by nutrients. a Schematic diagram of catabolic pathways of FA (black-colored) and BCAA (red-colored) oxidation that involve ECHS1. Long chain FAs are oxidized to short-chained intermediates prior to being completely oxidized through ECHS1. BCAAs are oxidized through ECHS1. ACADL acyl-CoA dehydrogenase, long chain, ACADM medium-chain specific acyl-CoA dehydrogenase, mitochondrial, ACADS short-chain specific acyl-CoA dehydrogenase, ACSL acyl-CoA synthetase long-chain, BCAT branched-chain amino-acid transaminase, BCKDH branched-chain keto acid dehydrogenase, carnitine palmitoyltransferase, ECHS1 enoyl CoA hydratase, short chain 1, mitochondrial, EHHADH Enoyl-CoA, Hydratase/3-Hydroxyacyl CoA Dehydrogenase. b–d Endogenous ECHS1 levels were detected in HEK293T cells treated with different concentrations of glucose (b), FAs (linoleic acid + palmitic acid) (c), and amino acids (glutamate + aspartate) (d). Representative western blot results and quantitation (herein after) of triplicated western blot are shown. e HepG2 cells were exposed to indicated concentrations of glucose. Levels of endogenous β-oxidation enzymes were detected 4 h after glucose exposure. CPT1A Carnitine O-palmitoyltransferase 1, liver isoform, Carnitine O-palmitoyltransferase 2, mitochondrial, HADHA Trifunctional enzyme subunit alpha, mitochondrial, ACAA2 3-ketoacyl-CoA thiolase, mitochondrial. f Plasma ECHS1 levels of normal people (blue, n = 14) and untreated patients with diabetes (red, n = 12) were determined by western blots. Relative ECHS1 levels (normalized to the average ECHS1 level) were plotted against serum glucose levels. g Mitochondria of HEK293T cells cultured in DMEM base, DMEM base supplemented with glucose (25 mM), fatty acids (250 nM) and amino acids (8 mM), respectively, were isolated and the relative (to SOD2 and TOM40) mitochondrial ECHS1 levels were compared. For b–d, mean values of quantitation with SD are reported. *p < 0.05; **p < 0.01; ***p < 0.001

false

  • Carrier free

    Anti-ACAA2 antibody [EPR6732(2)] - BSA and Azide free

Key facts

Host species

Rabbit

Clonality

Monoclonal

Clone number

EPR6732(2)

Isotype

IgG

Carrier free

No

Reacts with

Human

Applications

IHC-P, WB, ICC/IF, Flow Cyt (Intra)

applications

Immunogen

The exact immunogen used to generate this antibody is proprietary information.

Reactivity data

{ "title": "Reactivity Data", "filters": { "stats": ["", "Species", "Dilution Info", "Notes"], "tabs": { "all-applications": {"fullname" : "All Applications", "shortname": "All Applications"}, "IHCP" : {"fullname" : "Immunohistochemistry (Formalin/PFA-fixed paraffin-embedded sections)", "shortname":"IHC-P"}, "IP" : {"fullname" : "Immunoprecipitation", "shortname":"IP"}, "WB" : {"fullname" : "Western blot", "shortname":"WB"}, "ICCIF" : {"fullname" : "Immunocytochemistry/ Immunofluorescence", "shortname":"ICC/IF"}, "FlowCytIntra" : {"fullname" : "Flow Cytometry (Intracellular)", "shortname":"Flow Cyt (Intra)"} }, "product-promise": { "all": "all", "testedAndGuaranteed": "tested", "guaranteed": "expected", "predicted": "predicted", "notRecommended": "not-recommended" } }, "values": { "Human": { "IHCP-species-checked": "testedAndGuaranteed", "IHCP-species-dilution-info": "1/50 - 1/100", "IHCP-species-notes": "<p>Use of an HRP/AP polymerized secondary antibody recommended.</p>", "IP-species-checked": "notRecommended", "IP-species-dilution-info": "", "IP-species-notes": "<p></p>", "WB-species-checked": "testedAndGuaranteed", "WB-species-dilution-info": "1/1000 - 1/10000", "WB-species-notes": "<p></p>", "ICCIF-species-checked": "testedAndGuaranteed", "ICCIF-species-dilution-info": "1/250 - 1/500", "ICCIF-species-notes": "<p></p>", "FlowCytIntra-species-checked": "testedAndGuaranteed", "FlowCytIntra-species-dilution-info": "1/100", "FlowCytIntra-species-notes": "<p><a href='/en-us/products/primary-antibodies/rabbit-igg-monoclonal-epr25a-isotype-control-ab172730'>ab172730</a> - Rabbit monoclonal IgG, is suitable for use as an isotype control with this antibody.</p>" } } }

Product details

Species reactivity
Mouse, Rat: We have preliminary internal testing data to indicate this antibody may not react with these species.
Please contact us for more information.

Patented technology
Our RabMAb® technology is a patented hybridoma-based technology for making rabbit monoclonal antibodies. For details on our patents, please refer to RabMAb® patents.

What are the advantages of a recombinant monoclonal antibody?
This product is a recombinant monoclonal antibody, which offers several advantages including:

  • - High batch-to-batch consistency and reproducibility
  • - Improved sensitivity and specificity
  • - Long-term security of supply
  • - Animal-free batch production

For more information, read more on recombinant antibodies.

Properties and storage information

Form
Liquid
Purification technique
Affinity purification Protein A
Storage buffer
pH: 7.2 - 7.4 Preservative: 0.01% Sodium azide Constituents: PBS, 50% Tissue culture supernatant, 40% Glycerol (glycerin, glycerine), 0.05% BSA
Shipped at conditions
Blue Ice
Appropriate short-term storage conditions
+4°C
Appropriate long-term storage conditions
-20°C
Aliquoting information
Upon delivery aliquot
Storage information
Avoid freeze / thaw cycle

Supplementary information

This supplementary information is collated from multiple sources and compiled automatically.

ACAA2 also known as acetyl-CoA acyltransferase 2 or 3-ketoacyl-CoA thiolase plays an important role in the mechanical process of fatty acid oxidation. It functions in the mitochondria where it catalyzes the final step of the beta-oxidation pathway facilitating the conversion of acetoacetyl-CoA to two molecules of acetyl-CoA. This protein has a known mass of approximately 43 kDa. ACAA2 is expressed in tissues with high energy demands such as the liver heart and muscle highlighting its significance in energy metabolism.
Biological function summary

The enzyme catalyzes reactions in energy metabolism by breaking down fatty acids to generate energy. ACAA2 functions as part of the complex mitochondrial fatty acid beta-oxidation machinery. This process supports energy production particularly under conditions of carbohydrate depletion. The production of acetyl-CoA by ACAA2 is important for the TCA cycle through which cells generate ATP the primary energy carrier.

Pathways

Acetyl-CoA acyltransferase 2 plays significant roles in both the fatty acid beta-oxidation and ketogenesis pathways. In the beta-oxidation pathway it works together with other enzymes like CPT1A and HADHB to efficiently break down fatty acids. In ketogenesis acetyl-CoA units produced by ACAA2 are directed towards the formation of ketone bodies which serve as an alternative energy source for the brain and muscles during fasting or prolonged exercise.

ACAA2 has connections to metabolic disorders particularly fatty acid oxidation disorders and diabetes. Deficiency in ACAA2 activity can result in accumulation and impaired degradation of fatty acids leading to metabolic imbalances. This enzyme also interacts with related proteins such as ACADM in the context of these metabolic diseases. Disruptions in ACAA2 function can face links to mitochondrial dysfunctions that contribute to diabetes due to its role in energy production and regulation.

Product protocols

For this product, it's our understanding that no specific protocols are required. You can visit:

Target data

In the production of energy from fats, this is one of the enzymes that catalyzes the last step of the mitochondrial beta-oxidation pathway, an aerobic process breaking down fatty acids into acetyl-CoA (Probable). Using free coenzyme A/CoA, catalyzes the thiolytic cleavage of medium- to long-chain unbranched 3-oxoacyl-CoAs into acetyl-CoA and a fatty acyl-CoA shortened by two carbon atoms (Probable). Also catalyzes the condensation of two acetyl-CoA molecules into acetoacetyl-CoA and could be involved in the production of ketone bodies (Probable). Also displays hydrolase activity on various fatty acyl-CoAs (PubMed : 25478839). Thereby, could be responsible for the production of acetate in a side reaction to beta-oxidation (Probable). Abolishes BNIP3-mediated apoptosis and mitochondrial damage (PubMed : 18371312).
See full target information 3-ketoacyl-CoA thiolase, mitochondrial

Publications (5)

Recent publications for all applications. Explore the full list and refine your search

Scientific reports 15:20507 PubMed40592997

2025

Sphingosine 1-phosphate derived from tumor-educated hepatic stellate cells combining with S1PR4 promotes tumor associated macrophages differentiation through FAO modulation.

Applications

Unspecified application

Species

Unspecified reactive species

Rui Feng,Zilin Cui,Long Yang,Zirong Liu

British journal of cancer 129:1818-1828 PubMed37798372

2023

ACAA2 is a novel molecular indicator for cancers with neuroendocrine phenotype.

Applications

Unspecified application

Species

Unspecified reactive species

Michelle Shen,Shiqin Liu,Angus Toland,En-Chi Hsu,Alifiani B Hartono,Busola R Alabi,Merve Aslan,Holly M Nguyen,Conner J Sessions,Rosalie Nolley,Chanjuan Shi,Jiaoti Huang,James D Brooks,Eva Corey,Tanya Stoyanova

Journal of hepatocellular carcinoma 10:1327-1339 PubMed37581093

2023

Downregulated Acetyl-CoA Acyltransferase 2 Promoted the Progression of Hepatocellular Carcinoma and Participated in the Formation of Immunosuppressive Microenvironment.

Applications

Unspecified application

Species

Unspecified reactive species

Dehai Wu,Guanqun Liao,Yuanfei Yao,Lining Huang,Bowen Dong,Yong Ma,Guangchao Yang

Acta biochimica et biophysica Sinica 55:1467-1478 PubMed37310146

2023

Negative correlation between acetyl-CoA acyltransferase 2 and cetuximab resistance in colorectal cancer.

Applications

Unspecified application

Species

Unspecified reactive species

Yitao Yuan,Xun Sun,Mengling Liu,Suyao Li,Yu Dong,Keshu Hu,Jiayu Zhang,Bei Xu,Sining Ma,Hesheng Jiang,Pengcong Hou,Yufu Lin,Lu Gan,Tianshu Liu

Nature communications 8:464 PubMed28878358

2017

Enoyl-CoA hydratase-1 regulates mTOR signaling and apoptosis by sensing nutrients.

Applications

Unspecified application

Species

Unspecified reactive species

Ya-Kun Zhang,Yuan-Yuan Qu,Yan Lin,Xiao-Hui Wu,Hou-Zao Chen,Xu Wang,Kai-Qiang Zhou,Yun Wei,Fushen Guo,Cui-Fang Yao,Xia-Di He,Li-Xia Liu,Chen Yang,Zong-Yuan Guan,Shi-Dong Wang,Jianyuan Zhao,De-Pei Liu,Shi-Min Zhao,Wei Xu
View all publications

Product promise

We are committed to supporting your work with high-quality reagents, and we're here for you every step of the way. In the unlikely event that one of our products does not perform as expected, you're protected by our Product Promise.
For full details, please see our Terms & Conditions

Please note: All products are 'FOR RESEARCH USE ONLY. NOT FOR USE IN DIAGNOSTIC OR THERAPEUTIC PROCEDURES'.

For licensing inquiries, please contact partnerships@abcam.com