JavaScript is disabled in your browser. Please enable JavaScript to view this website.
AB248216

Anti-ACAA2 antibody [EPR6733] - BSA and Azide free

Be the first to review this product! Submit a review

|

(1 Publication)

Rabbit Recombinant Monoclonal ACAA2 antibody. Carrier free. Suitable for IHC-P, ICC/IF, WB and reacts with Human samples. Cited in 1 publication.

View Alternative Names

Acetyl-CoA acetyltransferase, Acetyl-CoA acyltransferase, Beta-ketothiolase, Mitochondrial 3-oxoacyl-CoA thiolase, T1, ACAA2

4 Images
Immunocytochemistry/ Immunofluorescence - Anti-ACAA2 antibody [EPR6733] - BSA and Azide free (AB248216)
  • ICC/IF

Unknown

Immunocytochemistry/ Immunofluorescence - Anti-ACAA2 antibody [EPR6733] - BSA and Azide free (AB248216)

This data was developed using ab128911, the same antibody clone in a different buffer formulation.

ab128911 stained HepG2 cells. The cells were 4% formaldehyde fixed for 10 minutes at room temperature and then incubated in 1%BSA / 10% normal goat serum / 0.3M glycine in 0.1% PBS-Tween for 1hour at room temperature to permeabilise the cells and block non-specific protein-protein interactions. The cells were then incubated with the antibody (ab128911 at 1/100 dilution) overnight at +4°C. The secondary antibody (pseudo-colored green) was Goat Anti-Rabbit IgG H&L (Alexa Fluor® 488) preadsorbed (ab150081) used at a 1/1000 dilution for 1hour at room temperature. Alexa Fluor® 594 WGA was used to label plasma membranes (pseudo-colored red) at a 1/200 dilution for 1hour at room temperature. DAPI was used to stain the cell nuclei (pseudo-colored blue) at a concentration of 1.43μM for 1hour at room temperature.

Immunohistochemistry (Formalin/PFA-fixed paraffin-embedded sections) - Anti-ACAA2 antibody [EPR6733] - BSA and Azide free (AB248216)
  • IHC-P

Unknown

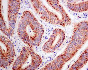
Immunohistochemistry (Formalin/PFA-fixed paraffin-embedded sections) - Anti-ACAA2 antibody [EPR6733] - BSA and Azide free (AB248216)

This data was developed using ab128911, the same antibody clone in a different buffer formulation.

ab128911 at 1/100 dilution staining ACAA2 in paraffin embedded Human colonic carcinoma tissue by immunohistochemistry.

Perform heat mediated antigen retrieval with citrate buffer pH 6 before commencing with IHC staining protocol.

Western blot - Anti-ACAA2 antibody [EPR6733] - BSA and Azide free (AB248216)
  • WB

Unknown

Western blot - Anti-ACAA2 antibody [EPR6733] - BSA and Azide free (AB248216)

This data was developed using ab128911, the same antibody clone in a different buffer formulation.

All lanes:

Western blot - Anti-ACAA2 antibody [EPR6733] (<a href='/en-us/products/primary-antibodies/acaa2-antibody-epr6733-ab128911'>ab128911</a>) at 1/1000 dilution

Lane 1:

HepG2 cell lysate at 10 µg

Lane 2:

293T cell lysate at 10 µg

Lane 3:

HeLa cell lysate at 10 µg

Secondary

All lanes:

HRP labelled goat anti-rabbit at 1/2000 dilution

Predicted band size: 41 kDa

false

OI-RD Scanning - Anti-ACAA2 antibody [EPR6733] - BSA and Azide free (AB248216)
  • OI-RD Scanning

Unknown

OI-RD Scanning - Anti-ACAA2 antibody [EPR6733] - BSA and Azide free (AB248216)

We have systematically measured KD (the equilibrium dissociation constant between the antibody and its antigen), of more than 840 recombinant antibodies to assess not only their individual KD values but also to see the average affinity of antibody. Based on the comparison with published literature values for mouse monoclonal antibodies, Recombinant antibodies appear to be on average 1-2 order of magnitude higher affinity.

Key facts

Host species

Rabbit

Clonality

Monoclonal

Clone number

EPR6733

Isotype

IgG

Carrier free

Yes

Reacts with

Human

Applications

IHC-P, WB, ICC/IF

applications

Immunogen

The exact immunogen used to generate this antibody is proprietary information.

Reactivity data

{ "title": "Reactivity Data", "filters": { "stats": ["", "Species", "Dilution Info", "Notes"], "tabs": { "all-applications": {"fullname" : "All Applications", "shortname": "All Applications"}, "IHCP" : {"fullname" : "Immunohistochemistry (Formalin/PFA-fixed paraffin-embedded sections)", "shortname":"IHC-P"}, "ICCIF" : {"fullname" : "Immunocytochemistry/ Immunofluorescence", "shortname":"ICC/IF"}, "IP" : {"fullname" : "Immunoprecipitation", "shortname":"IP"}, "FlowCyt" : {"fullname" : "Flow Cytometry", "shortname":"Flow Cyt"}, "WB" : {"fullname" : "Western blot", "shortname":"WB"} }, "product-promise": { "all": "all", "testedAndGuaranteed": "tested", "guaranteed": "expected", "predicted": "predicted", "notRecommended": "not-recommended" } }, "values": { "Human": { "IHCP-species-checked": "testedAndGuaranteed", "IHCP-species-dilution-info": "", "IHCP-species-notes": "<p></p>", "ICCIF-species-checked": "testedAndGuaranteed", "ICCIF-species-dilution-info": "", "ICCIF-species-notes": "<p></p>", "IP-species-checked": "notRecommended", "IP-species-dilution-info": "", "IP-species-notes": "<p></p>", "FlowCyt-species-checked": "notRecommended", "FlowCyt-species-dilution-info": "", "FlowCyt-species-notes": "<p></p>", "WB-species-checked": "testedAndGuaranteed", "WB-species-dilution-info": "", "WB-species-notes": "<p></p>" }, "Mouse": { "IHCP-species-checked": "predicted", "IHCP-species-dilution-info": "", "IHCP-species-notes": "", "ICCIF-species-checked": "predicted", "ICCIF-species-dilution-info": "", "ICCIF-species-notes": "", "IP-species-checked": "notRecommended", "IP-species-dilution-info": "", "IP-species-notes": "", "FlowCyt-species-checked": "notRecommended", "FlowCyt-species-dilution-info": "", "FlowCyt-species-notes": "", "WB-species-checked": "predicted", "WB-species-dilution-info": "", "WB-species-notes": "" }, "Rat": { "IHCP-species-checked": "predicted", "IHCP-species-dilution-info": "", "IHCP-species-notes": "", "ICCIF-species-checked": "predicted", "ICCIF-species-dilution-info": "", "ICCIF-species-notes": "", "IP-species-checked": "notRecommended", "IP-species-dilution-info": "", "IP-species-notes": "", "FlowCyt-species-checked": "notRecommended", "FlowCyt-species-dilution-info": "", "FlowCyt-species-notes": "", "WB-species-checked": "predicted", "WB-species-dilution-info": "", "WB-species-notes": "" } } }

Product details

ab248216 is the carrier-free version of ab128911.

Patented technology
Our RabMAb® technology is a patented hybridoma-based technology for making rabbit monoclonal antibodies. For details on our patents, please refer to RabMAb® patents.

What are the advantages of a recombinant monoclonal antibody?
This product is a recombinant monoclonal antibody, which offers several advantages including:

  • - High batch-to-batch consistency and reproducibility
  • - Improved sensitivity and specificity
  • - Long-term security of supply
  • - Animal-free batch production

For more information, read more on recombinant antibodies.

Conjugation ready
Our carrier-free antibodies are typically supplied in a PBS-only formulation, purified and free of BSA, sodium azide and glycerol. This conjugation-ready format is designed for use with fluorochromes, metal isotopes, oligonucleotides, and enzymes, which makes them ideal for antibody labelling, functional and cell-based assays, flow-based assays (e.g. mass cytometry) and Multiplex Imaging applications.

Use our conjugation kits for antibody conjugates that are ready-to-use in as little as 20 minutes with 1 minute hands-on-time and 100% antibody recovery: available for fluorescent dyes, HRP, biotin and gold.

Compatibility
This product is compatible with the Maxpar® Antibody Labeling Kit from Fluidigm, without the need for antibody preparation. Maxpar® is a trademark of Fluidigm Canada Inc.

Properties and storage information

Form
Liquid
Purification technique
Affinity purification Protein A
Storage buffer
pH: 7.2 - 7.4 Constituents: PBS
Shipped at conditions
Blue Ice
Appropriate short-term storage conditions
+4°C
Appropriate long-term storage conditions
+4°C
Storage information
Do Not Freeze

Supplementary information

This supplementary information is collated from multiple sources and compiled automatically.

ACAA2 also known as acetyl-CoA acyltransferase 2 or 3-ketoacyl-CoA thiolase plays an important role in the mechanical process of fatty acid oxidation. It functions in the mitochondria where it catalyzes the final step of the beta-oxidation pathway facilitating the conversion of acetoacetyl-CoA to two molecules of acetyl-CoA. This protein has a known mass of approximately 43 kDa. ACAA2 is expressed in tissues with high energy demands such as the liver heart and muscle highlighting its significance in energy metabolism.
Biological function summary

The enzyme catalyzes reactions in energy metabolism by breaking down fatty acids to generate energy. ACAA2 functions as part of the complex mitochondrial fatty acid beta-oxidation machinery. This process supports energy production particularly under conditions of carbohydrate depletion. The production of acetyl-CoA by ACAA2 is important for the TCA cycle through which cells generate ATP the primary energy carrier.

Pathways

Acetyl-CoA acyltransferase 2 plays significant roles in both the fatty acid beta-oxidation and ketogenesis pathways. In the beta-oxidation pathway it works together with other enzymes like CPT1A and HADHB to efficiently break down fatty acids. In ketogenesis acetyl-CoA units produced by ACAA2 are directed towards the formation of ketone bodies which serve as an alternative energy source for the brain and muscles during fasting or prolonged exercise.

ACAA2 has connections to metabolic disorders particularly fatty acid oxidation disorders and diabetes. Deficiency in ACAA2 activity can result in accumulation and impaired degradation of fatty acids leading to metabolic imbalances. This enzyme also interacts with related proteins such as ACADM in the context of these metabolic diseases. Disruptions in ACAA2 function can face links to mitochondrial dysfunctions that contribute to diabetes due to its role in energy production and regulation.

Product protocols

For this product, it's our understanding that no specific protocols are required. You can visit:

Target data

In the production of energy from fats, this is one of the enzymes that catalyzes the last step of the mitochondrial beta-oxidation pathway, an aerobic process breaking down fatty acids into acetyl-CoA (Probable). Using free coenzyme A/CoA, catalyzes the thiolytic cleavage of medium- to long-chain unbranched 3-oxoacyl-CoAs into acetyl-CoA and a fatty acyl-CoA shortened by two carbon atoms (Probable). Also catalyzes the condensation of two acetyl-CoA molecules into acetoacetyl-CoA and could be involved in the production of ketone bodies (Probable). Also displays hydrolase activity on various fatty acyl-CoAs (PubMed : 25478839). Thereby, could be responsible for the production of acetate in a side reaction to beta-oxidation (Probable). Abolishes BNIP3-mediated apoptosis and mitochondrial damage (PubMed : 18371312).
See full target information 3-ketoacyl-CoA thiolase, mitochondrial

Publications (1)

Recent publications for all applications. Explore the full list and refine your search

Communications biology 7:1025 PubMed39164573

2024

CD58 defines regulatory macrophages within the tumor microenvironment.

Applications

Unspecified application

Species

Unspecified reactive species

Bo Wu,Xiaoni Zhan,Meixi Jiang
View all publications

Product promise

We are committed to supporting your work with high-quality reagents, and we're here for you every step of the way. In the unlikely event that one of our products does not perform as expected, you're protected by our Product Promise.
For full details, please see our Terms & Conditions

Please note: All products are 'FOR RESEARCH USE ONLY. NOT FOR USE IN DIAGNOSTIC OR THERAPEUTIC PROCEDURES'.

For licensing inquiries, please contact partnerships@abcam.com