JavaScript is disabled in your browser. Please enable JavaScript to view this website.
AB152160

Anti-ACADL/LCAD antibody

Be the first to review this product! Submit a review

|

(4 Publications)

Rabbit Polyclonal ACADL/LCAD antibody. Suitable for WB, IHC-P and reacts with Human samples. Cited in 4 publications. Immunogen corresponding to Recombinant Fragment Protein within Human ACADL aa 1-150.

View Alternative Names

LCAD, ACADL

2 Images
Immunohistochemistry (Formalin/PFA-fixed paraffin-embedded sections) - Anti-ACADL/LCAD antibody (AB152160)
  • IHC-P

Unknown

Immunohistochemistry (Formalin/PFA-fixed paraffin-embedded sections) - Anti-ACADL/LCAD antibody (AB152160)

Immunohistochemical analysis of paraffin-embedded Human hepatoma tissue, staining ACADL/LCAD using ab152160 at a 1/500 dilution.

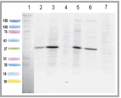
Western blot - Anti-ACADL/LCAD antibody (AB152160)
  • WB

Unknown

Western blot - Anti-ACADL/LCAD antibody (AB152160)

10% SDS PAGE

All lanes:

Western blot - Anti-ACADL/LCAD antibody (ab152160) at 1/1000 dilution

Lane 1:

H1299 whole cell lysate at 30 µg

Lane 2:

HCT116 whole cell lysate at 30 µg

Predicted band size: 47 kDa

false

Key facts

Host species

Rabbit

Clonality

Polyclonal

Isotype

IgG

Carrier free

No

Reacts with

Human

Applications

IHC-P, WB

applications

Immunogen

Recombinant Fragment Protein within Human ACADL aa 1-150. The exact immunogen used to generate this antibody is proprietary information.

P28330

Reactivity data

{ "title": "Reactivity Data", "filters": { "stats": ["", "Species", "Dilution Info", "Notes"], "tabs": { "all-applications": {"fullname" : "All Applications", "shortname": "All Applications"}, "WB" : {"fullname" : "Western blot", "shortname":"WB"}, "IHCP" : {"fullname" : "Immunohistochemistry (Formalin/PFA-fixed paraffin-embedded sections)", "shortname":"IHC-P"} }, "product-promise": { "all": "all", "testedAndGuaranteed": "tested", "guaranteed": "expected", "predicted": "predicted", "notRecommended": "not-recommended" } }, "values": { "Human": { "WB-species-checked": "testedAndGuaranteed", "WB-species-dilution-info": "1/500 - 1/3000", "WB-species-notes": "<p></p>", "IHCP-species-checked": "testedAndGuaranteed", "IHCP-species-dilution-info": "1/100 - 1/1000", "IHCP-species-notes": "<p></p>" } } }

Properties and storage information

Form
Liquid
Purification technique
Affinity purification Immunogen
Storage buffer
pH: 7 Preservative: 0.01% Thimerosal (merthiolate) Constituents: PBS, 20% Glycerol (glycerin, glycerine), 1% BSA
Shipped at conditions
Blue Ice
Appropriate short-term storage conditions
+4°C
Appropriate long-term storage conditions
-20°C
Aliquoting information
Upon delivery aliquot
Storage information
Avoid freeze / thaw cycle

Supplementary information

This supplementary information is collated from multiple sources and compiled automatically.

ACADL also known as LCAD (Long-Chain Acyl-CoA Dehydrogenase) is an enzyme important for fatty acid metabolism. It has a molecular mass of approximately 43 kDa. This protein is mainly found in mitochondria and you can find high expression levels in tissues with significant energy demands like liver muscle and heart. The mechanical function involves catalyzing the initial step in the beta-oxidation cycle which is the oxidation of long-chain acyl-CoA substrates to form a trans-double bond between the beta and alpha carbons.
Biological function summary

ACADL plays an essential role in mitochondrial energy production. It is part of the electron transport chain more specifically involved in the oxidation of fatty acids. This process is central to sustaining energy and heat production especially during fasting. ACADL works as part of a multi-enzyme complex known as the mitochondrial trifunctional protein complex responsible for multiple steps in fatty acid oxidation.

Pathways

ACADL's function in beta-oxidation links it to key metabolic pathways like energy metabolism and fatty acid catabolism. It directly interacts and works with other proteins such as enoyl-CoA hydratase and 3-hydroxyacyl-CoA dehydrogenase which facilitate subsequent steps after ACADL's initial action in the same beta-oxidation pathway. This integration ensures the proper breakdown of fatty acids to acetyl-CoA feeding into the citric acid cycle for ATP production.

Defects in ACADL activity are implicate in metabolic conditions such as long-chain acyl-CoA dehydrogenase deficiency (LCADD) and related cardiomyopathies. LCADD can lead to severe symptoms involving muscle weakness cardiomyopathy and hypoglycemia. ACADL's role in these disorders often intersects with other proteins like VLCAD (Very Long-Chain Acyl-CoA Dehydrogenase) since deficiencies or dysfunctions can manifest in overlapping symptoms due to their shared role in fatty acid oxidation.

Product protocols

For this product, it's our understanding that no specific protocols are required. You can visit:

Target data

Long-chain specific acyl-CoA dehydrogenase is one of the acyl-CoA dehydrogenases that catalyze the first step of mitochondrial fatty acid beta-oxidation, an aerobic process breaking down fatty acids into acetyl-CoA and allowing the production of energy from fats (By similarity). The first step of fatty acid beta-oxidation consists in the removal of one hydrogen from C-2 and C-3 of the straight-chain fatty acyl-CoA thioester, resulting in the formation of trans-2-enoyl-CoA (By similarity). Among the different mitochondrial acyl-CoA dehydrogenases, long-chain specific acyl-CoA dehydrogenase can act on saturated and unsaturated acyl-CoAs with 6 to 24 carbons with a preference for 8 to 18 carbons long primary chains (PubMed : 21237683, PubMed : 8823175).
See full target information ACADL

Publications (4)

Recent publications for all applications. Explore the full list and refine your search

Frontiers in endocrinology 16:1610882 PubMed40958910

2025

Bioinformatics-based analysis and experimental validation of PANoptosis-related biomarkers and immune infiltration in diabetic nephropathy.

Applications

Unspecified application

Species

Unspecified reactive species

Su Zhang,Yun Zhang,Weitao Hu,Chunyan Huang,Yifang Zhang,Xiaoqing Chen

Nature communications 15:7241 PubMed39174557

2024

Alveolar epithelial cells mitigate neutrophilic inflammation in lung injury through regulating mitochondrial fatty acid oxidation.

Applications

Unspecified application

Species

Unspecified reactive species

Kuei-Pin Chung,Chih-Ning Cheng,Yi-Jung Chen,Chia-Lang Hsu,Yen-Lin Huang,Min-Shu Hsieh,Han-Chun Kuo,Ya-Ting Lin,Yi-Hsiu Juan,Kiichi Nakahira,Yen-Fu Chen,Wei-Lun Liu,Sheng-Yuan Ruan,Jung-Yien Chien,Maria Plataki,Suzanne M Cloonan,Peter Carmeliet,Augustine M K Choi,Ching-Hua Kuo,Chong-Jen Yu

Cancers 15: PubMed37297007

2023

Long-Chain Acyl Coenzyme A Dehydrogenase, a Key Player in Metabolic Rewiring/Invasiveness in Experimental Tumors and Human Mesothelioma Cell Lines.

Applications

Unspecified application

Species

Unspecified reactive species

Daniel L Pouliquen,Giacomo Ortone,Letizia Rumiano,Alice Boissard,Cécile Henry,Stéphanie Blandin,Catherine Guette,Chiara Riganti,Joanna Kopecka

Journal of cancer prevention 26:32-40 PubMed33842404

2021

Dysregulated Free Fatty Acid Receptor 2 Exacerbates Colonic Adenoma Formation in Mice: Relation to Metabolism and Gut Microbiota Composition.

Applications

Unspecified application

Species

Unspecified reactive species

Yi-Wen Huang,Chien-Wei Lin,Pan Pan,Carla Elena Echeveste,Athena Dong,Kiyoko Oshima,Martha Yearsley,Jianhua Yu,Li-Shu Wang
View all publications

Product promise

We are committed to supporting your work with high-quality reagents, and we're here for you every step of the way. In the unlikely event that one of our products does not perform as expected, you're protected by our Product Promise.
For full details, please see our Terms & Conditions

Please note: All products are 'FOR RESEARCH USE ONLY. NOT FOR USE IN DIAGNOSTIC OR THERAPEUTIC PROCEDURES'.

For licensing inquiries, please contact partnerships@abcam.com