JavaScript is disabled in your browser. Please enable JavaScript to view this website.
AB239914

Anti-ACADM/MCAD antibody [EPR3708] - BSA and Azide free

5

(1 Review)

|

(3 Publications)

Rabbit Recombinant Monoclonal ACADM/MCAD antibody. Carrier free. Suitable for IHC-P, IP, WB, ICC/IF, Flow Cyt (Intra) and reacts with Human, Mouse, Rat samples. Cited in 3 publications.

View Alternative Names

MCAD, Medium chain acyl-CoA dehydrogenase, MCADH, ACADM

11 Images
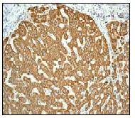
Immunohistochemistry (Formalin/PFA-fixed paraffin-embedded sections) - Anti-ACADM/MCAD antibody [EPR3708] - BSA and Azide free (AB239914)
  • IHC-P

Unknown

Immunohistochemistry (Formalin/PFA-fixed paraffin-embedded sections) - Anti-ACADM/MCAD antibody [EPR3708] - BSA and Azide free (AB239914)

ab92461 (unpurified), at 1/100 dilution, staining ACADM/MCAD in formalin-fixed, paraffin-embedded Human liver tissue by immunohistochemistry.

This data was developed using the same antibody clone in a different buffer formulation containing PBS, BSA, glycerol, and sodium azide (ab92461).

Heat mediated antigen retrieval was performed before commencing with IHC staining protocol.

Immunocytochemistry/ Immunofluorescence - Anti-ACADM/MCAD antibody [EPR3708] - BSA and Azide free (AB239914)
  • ICC/IF

Lab

Immunocytochemistry/ Immunofluorescence - Anti-ACADM/MCAD antibody [EPR3708] - BSA and Azide free (AB239914)

This data was developed using ab92461, the same antibody clone in a different buffer formulation.

Immunofluorescent analysis of 100% methanol-fixed 0.1% Triton X-100 permeabilized U-87 MG WT and U-87 MG ACADM KO cells labelling medium-chain specific acyl-CoA dehydrogenase with ab92461 at 1 μg/ml concentration, followed by ab150081 Goat Anti-Rabbit IgG H&L (Alexa Fluor® 488) preadsorbed antibody at 1/1000 dilution (Green). ab7291 Anti-alpha Tubulin antibody [DM1A] was used to counterstain tubulin at 1/1000 dilution (Magenta). The nuclear counterstain was DAPI (Blue).

Immunocytochemistry/ Immunofluorescence - Anti-ACADM/MCAD antibody [EPR3708] - BSA and Azide free (AB239914)
  • ICC/IF

Unknown

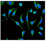
Immunocytochemistry/ Immunofluorescence - Anti-ACADM/MCAD antibody [EPR3708] - BSA and Azide free (AB239914)

Immunofluorescent staining of ACADM/MCAD in HeLa cells using ab92461 (unpurified) at 1/100 dilution.

This data was developed using the same antibody clone in a different buffer formulation containing PBS, BSA, glycerol, and sodium azide (ab92461).

Immunocytochemistry/ Immunofluorescence - Anti-ACADM/MCAD antibody [EPR3708] - BSA and Azide free (AB239914)
  • ICC/IF

Unknown

Immunocytochemistry/ Immunofluorescence - Anti-ACADM/MCAD antibody [EPR3708] - BSA and Azide free (AB239914)

Immunocytochemistry/ Immunofluorescence analysis of HeLa (Human cervix adenocarcinoma epithelial cell) cells labeling ACADM/MCAD with purified ab92461 at 1 : 50 dilution (10 µg/ml). Cells were fixed in 4% Paraformaldehyde and permeabilized with 0.1% tritonX-100. Cells were counterstained with ab195889 Anti-alpha Tubulin antibody [DM1A] - Microtubule Marker (Alexa Fluor® 594) 1 : 200 (2.5 µg/ml). Goat anti rabbit IgG (Alexa Fluor® 488, ab150077) was used as the secondary antibody at 1 : 1000 (2 µg/ml) dilution. DAPI (blue) was used as nuclear counterstain. PBS instead of the primary antibody was used as the secondary antibody only control.
This data was developed using the same antibody clone in a different buffer formulation containing PBS, BSA, glycerol, and sodium azide (anti acadm mcad antibody epr3708 immunocytochemistry hela human)

Flow Cytometry (Intracellular) - Anti-ACADM/MCAD antibody [EPR3708] - BSA and Azide free (AB239914)
  • Flow Cyt (Intra)

Unknown

Flow Cytometry (Intracellular) - Anti-ACADM/MCAD antibody [EPR3708] - BSA and Azide free (AB239914)

Intracellular Flow Cytometry analysis of HeLa (human cervix adenocarcinoma) cells labeling ACADM/MCAD with unpurified ab92461 at 1/50 dilution (10ug/ml) (red). Cells were fixed with 4% paraformaldehyde and permeabilised with 90% methanol. A Goat anti rabbit IgG (Alexa Fluor® 488) (1/2000 dilution) was used as the secondary antibody. Rabbit monoclonal IgG (Black) was used as the isotype control, cells without incubation with primary antibody and secondary antibody (Blue) was used as the unlabeled control.

This data was developed using the same antibody clone in a different buffer formulation containing PBS, BSA, glycerol, and sodium azide (ab92461).

Flow Cytometry (Intracellular) - Anti-ACADM/MCAD antibody [EPR3708] - BSA and Azide free (AB239914)
  • Flow Cyt (Intra)

Lab

Flow Cytometry (Intracellular) - Anti-ACADM/MCAD antibody [EPR3708] - BSA and Azide free (AB239914)

This data was developed using ab92461, the same antibody clone in a different buffer formulation.

Flow cytometry overlay histogram showing wild-type U87-MG (green line) and ACADM/MCAD knockout U87-MG stained with ab92461 (magenta line). The cells were fixed with 80% methanol (5 min) and then permeabilized with 0.1% PBS-Triton X-100 for 15 min. The cells were then incubated in 1x PBS containing 10% normal goat serum to block non-specific protein-protein interaction followed by the antibody (ab92461) (1x 106 in 100μl at 1 μg/ml (1/647)) for 30min at 22°C.

The secondary antibody Goat Anti-Rabbit IgG H&L (Alexa Fluor® 488) preadsorbed was incubated at 1/4000 for 30min at 22°C.

Isotype control antibody was Recombinant Rabbit IgG, monoclonal [EPR25A] - Isotype Control in U87-MG WT cells (black line) and U87-MG-ACADM/MCAD KO cells (grey line), at the same conditions as the primary antibody.

Acquisition of <5000 events were collected using a 50 mW Blue laser (488nm) and 530/30 bandpass filter.

Flow Cytometry (Intracellular) - Anti-ACADM/MCAD antibody [EPR3708] - BSA and Azide free (AB239914)
  • Flow Cyt (Intra)

Unknown

Flow Cytometry (Intracellular) - Anti-ACADM/MCAD antibody [EPR3708] - BSA and Azide free (AB239914)

Intracellular Flow Cytometry analysis of HeLa (Human cervix adenocarcinoma epithelial cell) cells labeling ACADM/MCAD with purified ab92461 at 1/60 dilution (10 μg/ml) (Red). Cells were fixed with 4% Paraformaldehyde and permeabilised with 90% Methanol. A Goat anti rabbit IgG (Alexa Fluor® 488, ab150077) secondary antibody was used at 1/2000. Isotype control - Rabbit monoclonal IgG (Black). Unlabeled control - Cell without incubation with primary antibody and secondary antibody (Blue). This data was developed using the same antibody clone in a different buffer formulation containing PBS, BSA, glycerol, and sodium azide (ab92461)

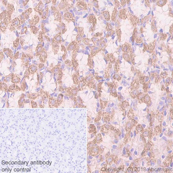
Immunohistochemistry (Formalin/PFA-fixed paraffin-embedded sections) - Anti-ACADM/MCAD antibody [EPR3708] - BSA and Azide free (AB239914)
  • IHC-P

Unknown

Immunohistochemistry (Formalin/PFA-fixed paraffin-embedded sections) - Anti-ACADM/MCAD antibody [EPR3708] - BSA and Azide free (AB239914)

Immunohistochemistry (Formalin/PFA-fixed paraffin-embedded sections) analysis of human liver tissue sections labeling ACADM/MCAD with purified ab92461 at 1/600 dilution (1.02 μg/ml). Heat mediated antigen retrieval was performed using ab93684 (Tris/EDTA buffer, pH 9.0). ImmunoHistoProbe one step HRP Polymer (ready to use) was used as the secondary antibody. Negative control : PBS instead of the primary antibody. Hematoxylin was used as a counterstain. This data was developed using the same antibody clone in a different buffer formulation containing PBS, BSA, glycerol, and sodium azide (ab92461)

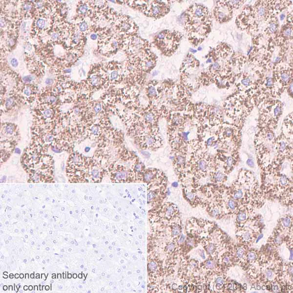
Immunohistochemistry (Formalin/PFA-fixed paraffin-embedded sections) - Anti-ACADM/MCAD antibody [EPR3708] - BSA and Azide free (AB239914)
  • IHC-P

Unknown

Immunohistochemistry (Formalin/PFA-fixed paraffin-embedded sections) - Anti-ACADM/MCAD antibody [EPR3708] - BSA and Azide free (AB239914)

Immunohistochemistry (Formalin/PFA-fixed paraffin-embedded sections) analysis of rat stomach tissue sections labeling ACADM/MCAD with purified ab92461 at 1/600 dilution (1.02 μg/ml). Heat mediated antigen retrieval was performed using ab93684 (Tris/EDTA buffer, pH 9.0). ImmunoHistoProbe one step HRP Polymer (ready to use) was used as the secondary antibody. Negative control : PBS instead of the primary antibody. Hematoxylin was used as a counterstain. This data was developed using the same antibody clone in a different buffer formulation containing PBS, BSA, glycerol, and sodium azide (ab92461)

Immunohistochemistry (Formalin/PFA-fixed paraffin-embedded sections) - Anti-ACADM/MCAD antibody [EPR3708] - BSA and Azide free (AB239914)
  • IHC-P

Unknown

Immunohistochemistry (Formalin/PFA-fixed paraffin-embedded sections) - Anti-ACADM/MCAD antibody [EPR3708] - BSA and Azide free (AB239914)

Immunohistochemistry (Formalin/PFA-fixed paraffin-embedded sections) analysis of mouse liver tissue sections labeling ACADM/MCAD with purified ab92461 at 1/600 dilution (1.02 μg/ml). Heat mediated antigen retrieval was performed using ab93684 (Tris/EDTA buffer, pH 9.0). ImmunoHistoProbe one step HRP Polymer (ready to use) was used as the secondary antibody. Negative control : PBS instead of the primary antibody. Hematoxylin was used as a counterstain. This data was developed using the same antibody clone in a different buffer formulation containing PBS, BSA, glycerol, and sodium azide (ab92461)

Immunoprecipitation - Anti-ACADM/MCAD antibody [EPR3708] - BSA and Azide free (AB239914)
  • IP

Unknown

Immunoprecipitation - Anti-ACADM/MCAD antibody [EPR3708] - BSA and Azide free (AB239914)

ab92461 (purified) at 1/30 dilution (2 µg) immunoprecipitating ACADM/MCAD in Mouse heart lysate.
Lane 1 (input) : Mouse heart lysate 10 µg
Lane 2 (+) : ab92461 & Mouse heart lysate
Lane 3 (-) : Rabbit monoclonal IgG (ab172730) instead of ab92461 in Mouse heart lysate
For western blotting, VeriBlot for IP Detection Reagent (HRP) (ab131366) was used at 1/1000 dilution.
Blocking and diluting buffer : 5% NFDM/TBST. This data was developed using the same antibody clone in a different buffer formulation containing PBS, BSA, glycerol, and sodium azide (ab92461)

All lanes:

Immunoprecipitation - Anti-ACADM/MCAD antibody [EPR3708] (<a href='/en-us/products/primary-antibodies/acadm-mcad-antibody-epr3708-ab92461'>ab92461</a>)

Predicted band size: 47 kDa

false

  • Unconjugated

    Anti-ACADM/MCAD antibody [EPR3708]

  • HRP

    HRP Anti-ACADM/MCAD antibody [EPR3708]

  • 519 Alexa Fluor® 488

    Alexa Fluor® 488 Anti-ACADM/MCAD antibody [EPR3708]

Key facts

Host species

Rabbit

Clonality

Monoclonal

Clone number

EPR3708

Isotype

IgG

Carrier free

Yes

Reacts with

Mouse, Rat, Human

Applications

WB, IHC-P, Flow Cyt (Intra), ICC/IF, IP

applications

Immunogen

The exact immunogen used to generate this antibody is proprietary information.

Reactivity data

{ "title": "Reactivity Data", "filters": { "stats": ["", "Species", "Dilution Info", "Notes"], "tabs": { "all-applications": {"fullname" : "All Applications", "shortname": "All Applications"}, "IHCP" : {"fullname" : "Immunohistochemistry (Formalin/PFA-fixed paraffin-embedded sections)", "shortname":"IHC-P"}, "IP" : {"fullname" : "Immunoprecipitation", "shortname":"IP"}, "WB" : {"fullname" : "Western blot", "shortname":"WB"}, "ICCIF" : {"fullname" : "Immunocytochemistry/ Immunofluorescence", "shortname":"ICC/IF"}, "FlowCytIntra" : {"fullname" : "Flow Cytometry (Intracellular)", "shortname":"Flow Cyt (Intra)"} }, "product-promise": { "all": "all", "testedAndGuaranteed": "tested", "guaranteed": "expected", "predicted": "predicted", "notRecommended": "not-recommended" } }, "values": { "Human": { "IHCP-species-checked": "testedAndGuaranteed", "IHCP-species-dilution-info": "", "IHCP-species-notes": "<p></p> Perform heat-mediated antigen retrieval before commencing with IHC staining protocol.", "IP-species-checked": "guaranteed", "IP-species-dilution-info": "", "IP-species-notes": "", "WB-species-checked": "guaranteed", "WB-species-dilution-info": "", "WB-species-notes": "<p></p>", "ICCIF-species-checked": "testedAndGuaranteed", "ICCIF-species-dilution-info": "", "ICCIF-species-notes": "<p></p>", "FlowCytIntra-species-checked": "testedAndGuaranteed", "FlowCytIntra-species-dilution-info": "", "FlowCytIntra-species-notes": "<p></p>" }, "Mouse": { "IHCP-species-checked": "guaranteed", "IHCP-species-dilution-info": "", "IHCP-species-notes": "", "IP-species-checked": "testedAndGuaranteed", "IP-species-dilution-info": "", "IP-species-notes": "<p></p>", "WB-species-checked": "guaranteed", "WB-species-dilution-info": "", "WB-species-notes": "<p></p>", "ICCIF-species-checked": "guaranteed", "ICCIF-species-dilution-info": "", "ICCIF-species-notes": "", "FlowCytIntra-species-checked": "guaranteed", "FlowCytIntra-species-dilution-info": "", "FlowCytIntra-species-notes": "" }, "Rat": { "IHCP-species-checked": "predicted", "IHCP-species-dilution-info": "", "IHCP-species-notes": "", "IP-species-checked": "predicted", "IP-species-dilution-info": "", "IP-species-notes": "", "WB-species-checked": "guaranteed", "WB-species-dilution-info": "", "WB-species-notes": "<p></p>", "ICCIF-species-checked": "predicted", "ICCIF-species-dilution-info": "", "ICCIF-species-notes": "", "FlowCytIntra-species-checked": "predicted", "FlowCytIntra-species-dilution-info": "", "FlowCytIntra-species-notes": "" } } }

Product details

ab239914 is the carrier-free version of ab92461.

Patented technology
Our RabMAb® technology is a patented hybridoma-based technology for making rabbit monoclonal antibodies. For details on our patents, please refer to RabMAb® patents.

What are the advantages of a recombinant monoclonal antibody?
This product is a recombinant monoclonal antibody, which offers several advantages including:

  • - High batch-to-batch consistency and reproducibility
  • - Improved sensitivity and specificity
  • - Long-term security of supply
  • - Animal-free batch production

For more information, read more on recombinant antibodies.

Conjugation ready
Our carrier-free antibodies are typically supplied in a PBS-only formulation, purified and free of BSA, sodium azide and glycerol. This conjugation-ready format is designed for use with fluorochromes, metal isotopes, oligonucleotides, and enzymes, which makes them ideal for antibody labelling, functional and cell-based assays, flow-based assays (e.g. mass cytometry) and Multiplex Imaging applications.

Use our conjugation kits for antibody conjugates that are ready-to-use in as little as 20 minutes with 1 minute hands-on-time and 100% antibody recovery: available for fluorescent dyes, HRP, biotin and gold.

Compatibility
This product is compatible with the Maxpar® Antibody Labeling Kit from Fluidigm, without the need for antibody preparation. Maxpar® is a trademark of Fluidigm Canada Inc.

Properties and storage information

Form
Liquid
Purification technique
Affinity purification Protein A
Storage buffer
pH: 7.2 - 7.4 Constituents: PBS
Shipped at conditions
Blue Ice
Appropriate short-term storage conditions
+4°C
Appropriate long-term storage conditions
+4°C
Storage information
Do Not Freeze

Supplementary information

This supplementary information is collated from multiple sources and compiled automatically.

ACADM also known as MCAD (medium-chain acyl-CoA dehydrogenase) is an enzyme that plays a significant role in fatty acid metabolism. It weighs approximately 44 kDa and expresses mainly in the liver heart and skeletal muscles. Functions of MCAD involve catalyzing the initial step in the mitochondrial fatty acid β-oxidation spiral specifically for the medium-chain fatty acids. This enzyme helps in the conversion of fatty acyl-CoA to trans-enoyl-CoA through dehydrogenation.
Biological function summary

The enzyme facilitates energy production by breaking down medium-chain fatty acids within mitochondria. MCAD operates as a homotetramer complex where each subunit significantly contributes to its overall function. Such enzymatic activity is important for providing energy particularly when glycogen stores are low. Its efficient operation during fasting states indicates its importance in metabolic homeostasis.

Pathways

Medium-chain acyl-CoA dehydrogenase (MCAD) is integral to the mitochondrial fatty acid beta-oxidation pathway. This pathway is a primary route for fatty acid catabolism ultimately leading to energy production in the form of ATP. MCAD's activity also relates to other fatty acid oxidation enzymes like VLCAD (very-long-chain acyl-CoA dehydrogenase) and SCAD (short-chain acyl-CoA dehydrogenase) which operate on different chain-length fatty acids cooperating to maintain energy balance.

MCAD deficiency is a common metabolic disorder that impairs the normal breakdown of fatty acids. This condition results in the accumulation of fatty acid intermediates leading to hypoketotic hypoglycemia during fasting periods. Individuals with MCAD deficiency may experience lethargy vomiting and seizures. The disorder connects with other enzymes such as LCHAD (long-chain 3-hydroxyacyl-CoA dehydrogenase) involved in similar pathways and deficiencies can result in related metabolic dysfunctions.

Product protocols

For this product, it's our understanding that no specific protocols are required. You can visit:

Target data

Medium-chain specific acyl-CoA dehydrogenase is one of the acyl-CoA dehydrogenases that catalyze the first step of mitochondrial fatty acid beta-oxidation, an aerobic process breaking down fatty acids into acetyl-CoA and allowing the production of energy from fats (PubMed : 1970566, PubMed : 21237683, PubMed : 2251268, PubMed : 8823175). The first step of fatty acid beta-oxidation consists in the removal of one hydrogen from C-2 and C-3 of the straight-chain fatty acyl-CoA thioester, resulting in the formation of trans-2-enoyl-CoA (PubMed : 2251268). Electron transfer flavoprotein (ETF) is the electron acceptor that transfers electrons to the main mitochondrial respiratory chain via ETF-ubiquinone oxidoreductase (ETF dehydrogenase) (PubMed : 15159392, PubMed : 25416781). Among the different mitochondrial acyl-CoA dehydrogenases, medium-chain specific acyl-CoA dehydrogenase acts specifically on acyl-CoAs with saturated 6 to 12 carbons long primary chains (PubMed : 1970566, PubMed : 21237683, PubMed : 2251268, PubMed : 8823175).
See full target information ACADM

Publications (3)

Recent publications for all applications. Explore the full list and refine your search

eLife 13: PubMed39259200

2024

Dysregulated Ca signaling, fluid secretion, and mitochondrial function in a mouse model of early Sjögren's disease.

Applications

Unspecified application

Species

Unspecified reactive species

Kai-Ting Huang,Larry E Wagner,Takahiro Takano,Xiao-Xuan Lin,Harini Bagavant,Umesh Deshmukh,David I Yule

The Journal of clinical investigation 134: PubMed38954588

2024

Inhibiting the NADase CD38 improves cytomegalovirus-specific CD8+ T cell functionality and metabolism.

Applications

Unspecified application

Species

Unspecified reactive species

Nils Mülling,Felix M Behr,Graham A Heieis,Kristina Boss,Suzanne van Duikeren,Floortje J van Haften,Iris N Pardieck,Esmé Ti van der Gracht,Ward Vleeshouwers,Tetje C van der Sluis,J Fréderique de Graaf,Dominique Mb Veerkamp,Kees Lmc Franken,Xin Lei,Lukas van de Sand,Sjoerd H van der Burg,Marij Jp Welters,Sebastiaan Heidt,Wesley Huisman,Simon P Jochems,Martin Giera,Oliver Witzke,Aiko Pj de Vries,Andreas Kribben,Bart Everts,Benjamin Wilde,Ramon Arens

Oncology reports 46: PubMed34528699

2021

Quantitative global proteome and phosphorylome analyses reveal potential biomarkers in kidney cancer.

Applications

Unspecified application

Species

Unspecified reactive species

Liwei Xu,Zeyi Lu,Shicheng Yu,Gonghui Li,Yuanlei Chen
View all publications

Product promise

We are committed to supporting your work with high-quality reagents, and we're here for you every step of the way. In the unlikely event that one of our products does not perform as expected, you're protected by our Product Promise.
For full details, please see our Terms & Conditions

Please note: All products are 'FOR RESEARCH USE ONLY. NOT FOR USE IN DIAGNOSTIC OR THERAPEUTIC PROCEDURES'.

For licensing inquiries, please contact partnerships@abcam.com