JavaScript is disabled in your browser. Please enable JavaScript to view this website.
AB231330

Anti-ACD antibody

Be the first to review this product! Submit a review

|

(1 Publication)

Rabbit Polyclonal ACD antibody. Suitable for WB, IHC-P and reacts with Mouse, Human samples. Cited in 1 publication. Immunogen corresponding to Recombinant Fragment Protein within Mouse Adrenocortical dysplasia protein aa 1-200.

View Alternative Names

PIP1, PTOP, TINT1, TPP1, ACD, Adrenocortical dysplasia protein homolog, POT1 and TIN2-interacting protein

6 Images
Immunohistochemistry (Formalin/PFA-fixed paraffin-embedded sections) - Anti-ACD antibody (AB231330)
  • IHC-P

Supplier Data

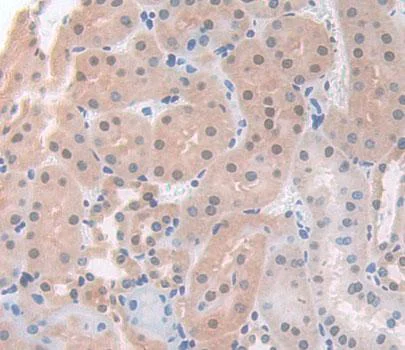
Immunohistochemistry (Formalin/PFA-fixed paraffin-embedded sections) - Anti-ACD antibody (AB231330)

Formalin-fixed, paraffin-embedded mouse kidney tissue stained for ACD using ab231330 at 20 μg/ml in immunohistochemical analysis. DAB staining.

Immunohistochemistry (Formalin/PFA-fixed paraffin-embedded sections) - Anti-ACD antibody (AB231330)
  • IHC-P

Supplier Data

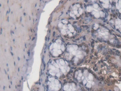
Immunohistochemistry (Formalin/PFA-fixed paraffin-embedded sections) - Anti-ACD antibody (AB231330)

Paraffin-embedded mouse colon tissue stained for ACD using ab231330 at 20 μg/ml in immunohistochemical analysis. DAB staining.

Western blot - Anti-ACD antibody (AB231330)
  • WB

Supplier Data

Western blot - Anti-ACD antibody (AB231330)

All lanes:

Western blot - Anti-ACD antibody (ab231330) at 2 µg/mL

All lanes:

HeLa (human epithelial cell line from cervix adenocarcinoma) cell lysate

Predicted band size: 58 kDa

false

Western blot - Anti-ACD antibody (AB231330)
  • WB

Supplier Data

Western blot - Anti-ACD antibody (AB231330)

All lanes:

Western blot - Anti-ACD antibody (ab231330) at 2 µg/mL

All lanes:

Jurkat (human T cell leukemia cell line from peripheral blood) cell lysate

Predicted band size: 42 kDa,58 kDa

false

Western blot - Anti-ACD antibody (AB231330)
  • WB

Supplier Data

Western blot - Anti-ACD antibody (AB231330)

All lanes:

Western blot - Anti-ACD antibody (ab231330) at 2 µg/mL

All lanes:

Recombinant mouse ACD

Predicted band size: 113 kDa,22 kDa,25 kDa,58 kDa

false

Western blot - Anti-ACD antibody (AB231330)
  • WB

Supplier Data

Western blot - Anti-ACD antibody (AB231330)

All lanes:

Western blot - Anti-ACD antibody (ab231330) at 2 µg/mL

All lanes:

Mouse testis lysate

Predicted band size: 58 kDa

false

Key facts

Host species

Rabbit

Clonality

Polyclonal

Isotype

IgG

Carrier free

No

Reacts with

Mouse, Human

Applications

WB, IHC-P

applications

Immunogen

Recombinant Fragment Protein within Mouse Adrenocortical dysplasia protein aa 1-200. The exact immunogen used to generate this antibody is proprietary information.

Q5EE38

Reactivity data

{ "title": "Reactivity Data", "filters": { "stats": ["", "Species", "Dilution Info", "Notes"], "tabs": { "all-applications": {"fullname" : "All Applications", "shortname": "All Applications"}, "WB" : {"fullname" : "Western blot", "shortname":"WB"}, "IHCP" : {"fullname" : "Immunohistochemistry (Formalin/PFA-fixed paraffin-embedded sections)", "shortname":"IHC-P"} }, "product-promise": { "all": "all", "testedAndGuaranteed": "tested", "guaranteed": "expected", "predicted": "predicted", "notRecommended": "not-recommended" } }, "values": { "Human": { "WB-species-checked": "testedAndGuaranteed", "WB-species-dilution-info": "0.2-2 µg/mL", "WB-species-notes": "<p></p>", "IHCP-species-checked": "guaranteed", "IHCP-species-dilution-info": "", "IHCP-species-notes": "" }, "Mouse": { "WB-species-checked": "testedAndGuaranteed", "WB-species-dilution-info": "0.2-2 µg/mL", "WB-species-notes": "<p></p>", "IHCP-species-checked": "testedAndGuaranteed", "IHCP-species-dilution-info": "5-20 µg/mL", "IHCP-species-notes": "<p></p>" }, "Rat": { "WB-species-checked": "predicted", "WB-species-dilution-info": "", "WB-species-notes": "", "IHCP-species-checked": "predicted", "IHCP-species-dilution-info": "", "IHCP-species-notes": "" } } }

Properties and storage information

Form
Liquid
Purification technique
Affinity purification Immunogen
Purification notes
ab231330 was purified by antigen-specific affinity chromatography followed by Protein A affinity chromatography.
Storage buffer
pH: 7.4 Preservative: 0.02% Sodium azide Constituents: PBS, 55.77% Glycerol (glycerin, glycerine)
Shipped at conditions
Blue Ice
Appropriate short-term storage duration
1-2 weeks
Appropriate short-term storage conditions
+4°C
Appropriate long-term storage conditions
-20°C
Aliquoting information
Upon delivery aliquot
Storage information
Avoid freeze / thaw cycle

Supplementary information

This supplementary information is collated from multiple sources and compiled automatically.

The target ACD also known as TPP1 is a component of the shelterin complex which protects telomeres. Its molecular mass is approximately 55 kDa. ACD is expressed mainly in the nucleus of cells where it interacts with telomeric DNA. ACD plays a role in regulating telomere length and stability contributing to cellular replication and aging processes.
Biological function summary

ACD interacts with other proteins within the shelterin complex such as POT1 and TRF1. This complex is critical in protecting chromosome ends from DNA damage responses. ACD is important for maintaining telomere integrity supporting cellular proliferation. When ACD functions properly it helps prevent chromosomal instability and potential oncogenic transformations.

Pathways

ACD participates in the telomere maintenance pathway and the DNA damage response pathway. ACD closely associates with proteins like POT1 and TRF2 in these pathways. Through these interactions ACD assists in modulating telomerase activity which is essential for balancing telomere elongation and degradation.

Disruptions in ACD function have links to conditions like dyskeratosis congenita and some cancers. ACD malfunction contributes to telomere shortening leading to premature aging and increased cancer risk. It associates with proteins like TERT in these contexts where imbalances can exacerbate disease progression.

Product protocols

For this product, it's our understanding that no specific protocols are required. You can visit:

Target data

Component of the shelterin complex (telosome) that is involved in the regulation of telomere length and protection. Shelterin associates with arrays of double-stranded TTAGGG repeats added by telomerase and protects chromosome ends. Without its protective activity, telomeres are no longer hidden from the DNA damage surveillance and chromosome ends are inappropriately processed by DNA repair pathways. Promotes binding of POT1 to single-stranded telomeric DNA. Modulates the inhibitory effects of POT1 on telomere elongation. The ACD-POT1 heterodimer enhances telomere elongation by recruiting telomerase to telomeres and increasing its processivity. May play a role in organogenesis.
See full target information ACD

Publications (1)

Recent publications for all applications. Explore the full list and refine your search

Frontiers in oncology 12:875097 PubMed35586489

2022

ACYP1 Is a Pancancer Prognostic Indicator and Affects the Immune Microenvironment in LIHC.

Applications

Unspecified application

Species

Unspecified reactive species

Lingyi Zhou,Zheng Fu,Shuai Wang,Jing Jia,Yumeng Cheng,Yunxiang Zheng,Ningning Zhang,Wei Lu,Zhi Yao
View all publications

Product promise

We are committed to supporting your work with high-quality reagents, and we're here for you every step of the way. In the unlikely event that one of our products does not perform as expected, you're protected by our Product Promise.
For full details, please see our Terms & Conditions

Please note: All products are 'FOR RESEARCH USE ONLY. NOT FOR USE IN DIAGNOSTIC OR THERAPEUTIC PROCEDURES'.

For licensing inquiries, please contact partnerships@abcam.com