JavaScript is disabled in your browser. Please enable JavaScript to view this website.
AB272500

Anti-ACE2 antibody [EPR24705-45]

  • BOND RX™ Validated
  • 20ul selling size
  • RabMAb
  • Recombinant
  • KO Validated
  • What is this?

5

(2 Reviews)

|

(12 Publications)

Anti-ACE2 antibody [EPR24705-45] (ab272500) is a rabbit monoclonal antibody detecting ACE2 in Flow Cytometry, IP, IHC-P, ICC/IF. Suitable for Human.

- KO validated for confirmed specificity
- Biophysical QC for unrivalled batch-batch consistency

View Alternative Names

UNQ868/PRO1885, ACE2, Angiotensin-converting enzyme 2, Angiotensin-converting enzyme homolog, Angiotensin-converting enzyme-related carboxypeptidase, Metalloprotease MPROT15, ACEH, ACE-related carboxypeptidase

7 Images
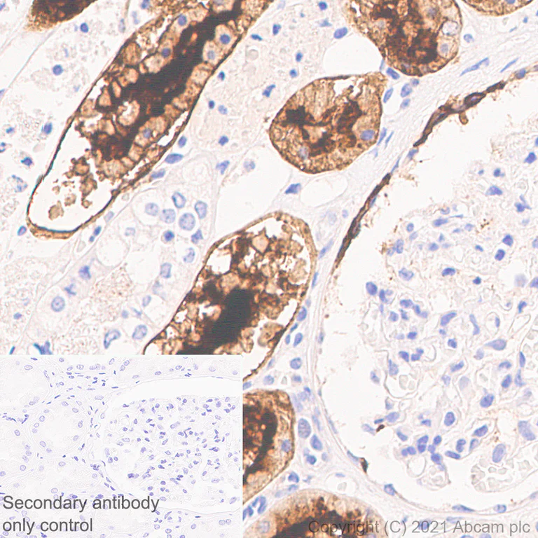
Immunohistochemistry (Formalin/PFA-fixed paraffin-embedded sections) - Anti-ACE2 antibody [EPR24705-45] (AB272500)
  • IHC-P

Supplier Data

Immunohistochemistry (Formalin/PFA-fixed paraffin-embedded sections) - Anti-ACE2 antibody [EPR24705-45] (AB272500)

Immunohistochemical analysis of paraffin-embedded Human kidney tissue labelling ACE2 with ab272500 at 1/100 (5.0 ug/ml) dilution followed by a ready to use LeicaDS9800 (Bond™ Polymer Refine Detection). Membranous and cytoplasmic staining in human kidney. The section was incubated with ab272500 for 30 mins at room temperature.The immunostaining was performed on a Leica Biosystems BOND™ RX instrument. Counterstained with Hematoxylin.

Secondary antibody only control : Secondary antibody is a ready to use LeicaDS9800 (Bond™ Polymer Refine Detection) .

Heat mediated antigen retrieval with Tris-EDTA buffer (pH 9.0, epitope retrieval solution2) for 20 mins.

Immunocytochemistry/ Immunofluorescence - Anti-ACE2 antibody [EPR24705-45] (AB272500)
  • ICC/IF

Supplier Data

Immunocytochemistry/ Immunofluorescence - Anti-ACE2 antibody [EPR24705-45] (AB272500)

Immunofluorescent analysis of 4% Paraformaldehyde-fixed, 0.1% TritonX-100 permeabilized Calu-3 cells labelling ACE2 with ab272500 at 1/50 (10.0 ug/ml) dilution, followed by ab150081 Goat Anti-Rabbit IgG H&L (Alexa Fluor® 488) antibody at 1/1000 dilution (Green). Confocal image showing membranous staining in subsets of Calu-3 cells. Negative control : HeLa (PMID : 32926098). ab195889 Anti-alpha Tubulin mouse monoclonal antibody - Microtubule Marker (Alexa Fluor® 594) (Red) was used at 1/200 dilution. The Nuclear counterstain was DAPI (Blue).

Secondary antibody only control : Secondary antibody is ab150081 Goat Anti-Rabbit IgG H&L (Alexa Fluor® 488) at 1/1000 dilution.

Immunocytochemistry/ Immunofluorescence - Anti-ACE2 antibody [EPR24705-45] (AB272500)
  • ICC/IF

Supplier Data

Immunocytochemistry/ Immunofluorescence - Anti-ACE2 antibody [EPR24705-45] (AB272500)

Immunofluorescent analysis of 4% Paraformaldehyde-fixed, 0.1% TritonX-100 permeabilized 293T cells labelling ACE2 with ab272500 at 1/250 (2.0 ug/ml) dilution, followed by ab150077 Goat Anti-Rabbit IgG H&L (Alexa Fluor® 488) antibody at 1/1000 dilution (Green). Confocal image showing positive staining in HEK-293T cells transfected with myc-tagged ACE2 expression vector. Myc-Tag Mouse mAb (Alexa Fluor® 647) was used at 1/100 dilution (Red). The Nuclear counterstain was DAPI (Blue).

Secondary antibody only control : Secondary antibody is ab150077 Goat Anti-Rabbit IgG H&L (Alexa Fluor® 488) at 1/1000 dilution.

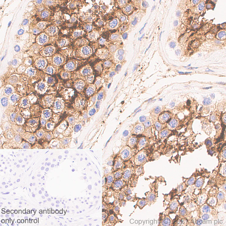
Immunohistochemistry (Formalin/PFA-fixed paraffin-embedded sections) - Anti-ACE2 antibody [EPR24705-45] (AB272500)
  • IHC-P

Supplier Data

Immunohistochemistry (Formalin/PFA-fixed paraffin-embedded sections) - Anti-ACE2 antibody [EPR24705-45] (AB272500)

Immunohistochemical analysis of paraffin-embedded Human testis tissue labelling ACE2 with ab272500 at 1/100 (5.0 ug/ml) dilution followed by a ready to use LeicaDS9800 (Bond® Polymer Refine Detection). Membranous and cytoplasmic staining in human testis. The section was incubated with ab272500 for 30 mins at room temperature. The immunostaining was performed on a Leica Biosystems BOND® RX instrument. Counterstained with Hematoxylin.

Secondary antibody only control : Secondary antibody is a ready to use LeicaDS9800 (Bond® Polymer Refine Detection) .

Heat mediated antigen retrieval with Tris-EDTA buffer (pH 9.0, epitope retrieval solution2) for 20 mins.

Immunohistochemistry (Formalin/PFA-fixed paraffin-embedded sections) - Anti-ACE2 antibody [EPR24705-45] (AB272500)
  • IHC-P

Supplier Data

Immunohistochemistry (Formalin/PFA-fixed paraffin-embedded sections) - Anti-ACE2 antibody [EPR24705-45] (AB272500)

Immunohistochemical analysis of paraffin-embedded Human liver tissue labelling ACE2 with ab272500 at 1/100 (5.0 ug/ml) dilution followed by a ready to use LeicaDS9800 (Bond™ Polymer Refine Detection). Negative control : No staining in human liver. The section was incubated with ab272500 for 30 mins at room temperature. The immunostaining was performed on a Leica Biosystems BOND® RX instrument. Counterstained with Hematoxylin.

Secondary antibody only control : Secondary antibody is a ready to use LeicaDS9800 (Bond®Polymer Refine Detection) .

Heat mediated antigen retrieval with Tris-EDTA buffer (pH 9.0, epitope retrieval solution2) for 20 mins.

Immunocytochemistry/ Immunofluorescence - Anti-ACE2 antibody [EPR24705-45] (AB272500)
  • ICC/IF

Lab

Immunocytochemistry/ Immunofluorescence - Anti-ACE2 antibody [EPR24705-45] (AB272500)

ab272500 staining ACE2 in wild-type Caco2 cells (top panel) and ACE2 knockout Caco2 cells (ab273731) (bottom panel). The cells were fixed with 4% paraformaldehyde (10 min) then permeabilized with 0.1% Tween for 5 minutes and then blocked with 1% BSA/10% normal goat serum/0.3M glycine in 0.1% PBS-Tween for 1h. The cells were then incubated with ab272500 at 10μg/ml concentration and ab7291 (Mouse monoclonal to alpha Tubulin) at 1/1000 dilution overnight at 4°C followed by a further incubation at room temperature for 1h with a goat secondary antibody to rabbit IgG (Alexa Fluor® 488) (ab150081) at 2 μg/ml (shown in green) and a goat secondary antibody to mouse IgG (Alexa Fluor® 594) (ab150120) at 2 μg/ml (shown in red). Nuclear DNA was labelled in blue with DAPI.
Image was taken with a confocal microscope (Leica-Microsystems TCS SP8).

Flow Cytometry - Anti-ACE2 antibody [EPR24705-45] (AB272500)
  • Flow Cyt

Supplier Data

Flow Cytometry - Anti-ACE2 antibody [EPR24705-45] (AB272500)

Flow cytometric analysis of HeLa (Human cervix adenocarcinoma epithelial cell, Left)/ Calu-3 (human lung adenocarcinoma epithelial cell, Right) cells labelling ACE2 with ab272500 at 1/500 dilution (0.1ug). Goat anti rabbit IgG (Alexa Fluor® 647, ab150079) at 1/2000 dilution was used as the secondary antibody.

Negative control : HeLa (PMID : 32926098). Gated on viable cells.

Key facts

Host species

Rabbit

Clonality

Monoclonal

Clone number

EPR24705-45

Isotype

IgG

Carrier free

No

Reacts with

Human

Applications

ICC/IF, IHC-P, Flow Cyt, IP

applications

Immunogen

The exact immunogen used to generate this antibody is proprietary information.

Reactivity data

{ "title": "Reactivity Data", "filters": { "stats": ["", "Species", "Dilution Info", "Notes"], "tabs": { "all-applications": {"fullname" : "All Applications", "shortname": "All Applications"}, "ICCIF" : {"fullname" : "Immunocytochemistry/ Immunofluorescence", "shortname":"ICC/IF"}, "IP" : {"fullname" : "Immunoprecipitation", "shortname":"IP"}, "FlowCyt" : {"fullname" : "Flow Cytometry", "shortname":"Flow Cyt"}, "WB" : {"fullname" : "Western blot", "shortname":"WB"}, "IHCP" : {"fullname" : "Immunohistochemistry (Formalin/PFA-fixed paraffin-embedded sections)", "shortname":"IHC-P"}, "IHCFr" : {"fullname" : "Immunohistochemistry (Frozen sections)", "shortname":"IHC-Fr"} }, "product-promise": { "all": "all", "testedAndGuaranteed": "tested", "guaranteed": "expected", "predicted": "predicted", "notRecommended": "not-recommended" } }, "values": { "Human": { "ICCIF-species-checked": "testedAndGuaranteed", "ICCIF-species-dilution-info": "1/50", "ICCIF-species-notes": "<p></p>", "IP-species-checked": "testedAndGuaranteed", "IP-species-dilution-info": "1/30", "IP-species-notes": "<p></p>", "FlowCyt-species-checked": "testedAndGuaranteed", "FlowCyt-species-dilution-info": "1/500", "FlowCyt-species-notes": "<p></p>", "WB-species-checked": "notRecommended", "WB-species-dilution-info": "", "WB-species-notes": "<p></p>", "IHCP-species-checked": "testedAndGuaranteed", "IHCP-species-dilution-info": "1/100", "IHCP-species-notes": "<p></p> Perform heat-mediated antigen retrieval with Tris/EDTA buffer pH 9.0 before commencing with IHC staining protocol.", "IHCFr-species-checked": "notRecommended", "IHCFr-species-dilution-info": "", "IHCFr-species-notes": "" }, "Mouse": { "ICCIF-species-checked": "notRecommended", "ICCIF-species-dilution-info": "", "ICCIF-species-notes": "", "IP-species-checked": "notRecommended", "IP-species-dilution-info": "", "IP-species-notes": "", "FlowCyt-species-checked": "notRecommended", "FlowCyt-species-dilution-info": "", "FlowCyt-species-notes": "", "WB-species-checked": "notRecommended", "WB-species-dilution-info": "1/1000", "WB-species-notes": "<p></p>", "IHCP-species-checked": "notRecommended", "IHCP-species-dilution-info": "1/100", "IHCP-species-notes": "<p></p> Perform heat-mediated antigen retrieval with Tris/EDTA buffer pH 9.0 before commencing with IHC staining protocol.", "IHCFr-species-checked": "notRecommended", "IHCFr-species-dilution-info": "", "IHCFr-species-notes": "<p></p>" }, "Rat": { "ICCIF-species-checked": "notRecommended", "ICCIF-species-dilution-info": "", "ICCIF-species-notes": "", "IP-species-checked": "notRecommended", "IP-species-dilution-info": "", "IP-species-notes": "", "FlowCyt-species-checked": "notRecommended", "FlowCyt-species-dilution-info": "", "FlowCyt-species-notes": "", "WB-species-checked": "notRecommended", "WB-species-dilution-info": "1/1000", "WB-species-notes": "<p></p>", "IHCP-species-checked": "notRecommended", "IHCP-species-dilution-info": "1/100", "IHCP-species-notes": "<p></p> Perform heat-mediated antigen retrieval with Tris/EDTA buffer pH 9.0 before commencing with IHC staining protocol.", "IHCFr-species-checked": "notRecommended", "IHCFr-species-dilution-info": "", "IHCFr-species-notes": "<p></p>" } } }

Product details

What is this antibody validated in?
Anti-ACE2 antibody [EPR24705-45] (ab272500) is a rabbit recombinant monoclonal antibody and is validated for use in Flow Cytometry (Flow Cyt), Immunoprecipitation (IP), Immunohistochemistry (IHC-P), Immunocytochemistry/immunofluorescence (ICC/IF) in Human samples.

Trial sizes available!
Test your antibody or perform pre-screening before committing to a larger quantity. Sold in 10µl. Discover our selection of trial-size antibodies.

Specificity confirmed
The specificity of Anti-ACE2 antibody [EPR24705-45] (ab272500) has been confirmed by Immunocytochemistry/ Immunofluorescence testing in ACE2 Knockout CACO-2 cell line, ab273731.

Other related products
We have a range of other formats of antibody clone [EPR24705-45] also available for your convenience: ab272500, Carrier free - ab282118, Alexa Fluor® 647 - ab283658

Patented technology
Our RabMAb® technology is a patented hybridoma-based technology for making rabbit monoclonal antibodies. For details on our patents, please refer to RabMAb® patents.

What are the advantages of a recombinant monoclonal antibody?
This product is a recombinant monoclonal antibody, which offers several advantages including:

  • - High batch-to-batch consistency and reproducibility
  • - Improved sensitivity and specificity
  • - Long-term security of supply
  • - Animal-free batch production

For more information, read more on recombinant antibodies.

Shipping conditions update: ambient shipping

This product will be delivered at ambient temperature instead of chilled – this is by design. Extensive stability testing confirmed that our products are suitable for shipment under ambient conditions and maintain expected quality.

Why the change?

It’s part of our commitment to more sustainable packaging solutions, with ambient deliveries using eco-friendly materials such as recyclable cardboard instead of polystyrene.

What you need to know

  • Ambient shipments come clearly marked on the delivery note.
  • No ice will be included in ambient shipments, but mixed orders (ambient and cold-chain items) will still arrive with ice packs to protect temperature-sensitive products.
  • Warranty coverage remains fully valid, aligned with our validated shipping method.
  • Please store the product as per the datasheet instructions upon receipt.

Find out more - https://www.abcam.com/en-us/support/shipping-storage-support/ambient-shipping

Properties and storage information

Form
Liquid
Purification technique
Affinity purification Protein A
Storage buffer
pH: 7.2 - 7.4 Preservative: 0.01% Sodium azide Constituents: PBS, 40% Glycerol (glycerin, glycerine), 0.05% BSA
Shipped at conditions
Conditional Ambient
Appropriate short-term storage duration
1-2 weeks
Appropriate short-term storage conditions
+4°C
Appropriate long-term storage conditions
-20°C
Aliquoting information
Upon delivery aliquot
Storage information
Avoid freeze / thaw cycle

Supplementary information

This supplementary information is collated from multiple sources and compiled automatically.

The ACE2 protein also known as angiotensin-converting enzyme 2 is an essential component in the renin-angiotensin system. It functions mechanically by converting the hormone angiotensin II to angiotensin-(1-7) which helps regulate blood pressure and fluid balance. The molecular weight of ACE2 is approximately 120 kDa. This protein is expressed in various tissues particularly the lungs heart kidneys and gastrointestinal tract. In cultured cells like Caco-2 cells researchers often study this expression.
Biological function summary

The ACE2 protein plays an important role in the regulation of cardiovascular and renal functions. It is a single-pass type I membrane protein and its activity reduces inflammation and oxidative stress in cells. ACE2 does not function as part of a larger protein complex but its enzymatic conversion has a substantial impact on reducing the effects of angiotensin II in the body leading to vasodilation and decreased blood pressure.

Pathways

ACE2 involvement is significant in the renin-angiotensin system and the kallikrein-kinin system. These pathways are essential for maintaining cardiovascular homeostasis. In the renin-angiotensin system ACE2 works in opposition to angiotensin-converting enzyme (ACE) balancing the effects through the production of angiotensin-(1-7) from angiotensin II. Additionally ACE2 interacts indirectly with proteins like angiotensin receptor type 1 (AT1) and angiotensin receptor type 2 (AT2) ensuring proper signaling and physiological responses.

ACE2 links closely with conditions such as hypertension and COVID-19. Increased activity of angiotensin II due to low ACE2 levels contributes to hypertension. In infectious disease SARS-CoV-2 virus responsible for COVID-19 uses ACE2 as an entry receptor to initiate infection in host cells. This interaction highlights the importance of ACE2 in disease pathogenesis and has prompted interest in ACE2 as a potential therapeutic target.

Product protocols

For this product, it's our understanding that no specific protocols are required. You can visit:

Target data

Essential counter-regulatory carboxypeptidase of the renin-angiotensin hormone system that is a critical regulator of blood volume, systemic vascular resistance, and thus cardiovascular homeostasis (PubMed : 27217402). Converts angiotensin I to angiotensin 1-9, a nine-amino acid peptide with anti-hypertrophic effects in cardiomyocytes, and angiotensin II to angiotensin 1-7, which then acts as a beneficial vasodilator and anti-proliferation agent, counterbalancing the actions of the vasoconstrictor angiotensin II (PubMed : 10924499, PubMed : 10969042, PubMed : 11815627, PubMed : 14504186, PubMed : 19021774). Also removes the C-terminal residue from three other vasoactive peptides, neurotensin, kinetensin, and des-Arg bradykinin, but is not active on bradykinin (PubMed : 10969042, PubMed : 11815627). Also cleaves other biological peptides, such as apelins (apelin-13, [Pyr1]apelin-13, apelin-17, apelin-36), casomorphins (beta-casomorphin-7, neocasomorphin) and dynorphin A with high efficiency (PubMed : 11815627, PubMed : 27217402, PubMed : 28293165). In addition, ACE2 C-terminus is homologous to collectrin and is responsible for the trafficking of the neutral amino acid transporter SL6A19 to the plasma membrane of gut epithelial cells via direct interaction, regulating its expression on the cell surface and its catalytic activity (PubMed : 18424768, PubMed : 19185582).. (Microbial infection) Acts as a receptor for human coronaviruses SARS-CoV and SARS-CoV-2, as well as human coronavirus NL63/HCoV-NL63.. Isoform 2. Non-functional as a carboxypeptidase.. Isoform 2. (Microbial infection) Non-functional as a receptor for human coronavirus SARS-CoV-2.
See full target information ACE2

Publications (12)

Recent publications for all applications. Explore the full list and refine your search

Frontiers in endocrinology 16:1616965 PubMed40741173

2025

Loss of p21 does not protect against premature ovarian insufficiency caused by alkylating agents.

Applications

Unspecified application

Species

Unspecified reactive species

Xiaohui Lu,Yongli Han,Jiaming Song,Qin Wan,Pengfei Liu,Li Chen,Yufeng Wang,Pingping Xue,Xiuliang Dai

International journal of molecular sciences 26: PubMed40565006

2025

SARS-Cov-2 Replication in a Blood-Brain Barrier Model Established with Human Brain Microvascular Endothelial Cells Induces Permeability and Disables ACE2-Dependent Regulation of Bradykinin B1 Receptor.

Applications

Unspecified application

Species

Unspecified reactive species

Sharton Vinicius Antunes Coelho,Gabriela Lisboa E Souza,Bruno Braz Bezerra,Luan Rocha Lima,Isadora Alonso Correa,Dalziza Victalina de Almeida,Rodrigo Pacheco da Silva-Aguiar,Ana Acácia S Pinheiro,Pierre Sirois,Celso Caruso-Neves,Luciana Jesus da Costa,Julio Scharfstein,Luciana Barros de Arruda

Frontiers in public health 13:1554024 PubMed40356822

2025

A comparative analysis of estrogen receptors, ACE2 and cytokines in pre-and postmenopausal women and men with COVID-19.

Applications

Unspecified application

Species

Unspecified reactive species

Mélida Del Rosario Lizarazo-Taborda,Natali Vega-Magaña,Carlos Daniel Díaz-Palomera,Julio César Villegas-Pineda,Marisol Godínez-Rubí,Rubén Alberto Bayardo-González,Adrián Ramírez-de-Arellano,Ana Laura Pereira-Suárez

PloS one 20:e0313616 PubMed39854441

2025

Secondary metabolites of Alternaria alternate appraisal of their SARS-CoV-2 inhibitory and anti-inflammatory potentials.

Applications

Unspecified application

Species

Unspecified reactive species

Fatma A Moharram,Reham R Ibrahim,Shahenda Mahgoub,Mohamed S Abdel-Aziz,Ahmed M Said,Hui-Chi Huang,Lo-Yun Chen,Kuei-Hung Lai,Nashwa Hashad,Mohamed S Mady

American journal of reproductive immunology (New York, N.Y. : 1989) 91:e13861 PubMed38716765

2024

In vitro mRNA-S maternal vaccination induced altered immune regulation at the maternal-fetal interface.

Applications

Unspecified application

Species

Unspecified reactive species

Ananth Kumar Kammala,Madhuri Tatiparthy,Tilu Jain Thomas,Srinivasa Reddy Bonam,Istvan Boldogh,Hu Haitao,Surendra Sharma,Ramkumar Menon

Journal of virology 97:e0055523 PubMed37668370

2023

One for all-human kidney Caki-1 cells are highly susceptible to infection with corona- and other respiratory viruses.

Applications

Unspecified application

Species

Unspecified reactive species

Alison Daniels,Sarah Fletcher,Holly E M Kerr,Annika Kratzel,Rute Maria Pinto,Nisha Kriplani,Nicky Craig,C James Hastie,Paul Davies,Paul Digard,Volker Thiel,Christine Tait-Burkard

Nanoscale advances 5:4167-4181 PubMed37560413

2023

SARS-CoV-2 virus-like-particles liposomal reconstitution of spike glycoproteins.

Applications

Unspecified application

Species

Unspecified reactive species

Sarah McColman,Klaidi Shkalla,Pavleen Sidhu,Jady Liang,Selena Osman,Norbert Kovacs,Zainab Bokhari,Ana Carolina Forjaz Marques,Yuchong Li,Qiwen Lin,Haibo Zhang,David T Cramb

Research (Washington, D.C.) 6:0124 PubMed37223472

2023

SARS-CoV-2 RBD and Its Variants Can Induce Platelet Activation and Clearance: Implications for Antibody Therapy and Vaccinations against COVID-19.

Applications

Unspecified application

Species

Unspecified reactive species

Xiaoying Ma,Jady Liang,Guangheng Zhu,Preeti Bhoria,Aron A Shoara,Daniel T MacKeigan,Christopher J Khoury,Sladjana Slavkovic,Lisha Lin,Danielle Karakas,Ziyan Chen,Viktor Prifti,Zhenze Liu,Chuanbin Shen,Yuchong Li,Cheng Zhang,Jiayu Dou,Zack Rousseau,Jiamin Zhang,Tiffany Ni,Xi Lei,Pingguo Chen,Xiaoyu Wu,Hamed Shaykhalishahi,Samira Mubareka,Kim A Connelly,Haibo Zhang,Ori Rotstein,Heyu Ni

Nature communications 13:7907 PubMed36564389

2022

Control of SARS-CoV-2 infection by MT1-MMP-mediated shedding of ACE2.

Applications

Unspecified application

Species

Unspecified reactive species

Xuanming Guo,Jianli Cao,Jian-Piao Cai,Jiayan Wu,Jiangang Huang,Pallavi Asthana,Sheung Kin Ken Wong,Zi-Wei Ye,Susma Gurung,Yijing Zhang,Sheng Wang,Zening Wang,Xin Ge,Hiu Yee Kwan,Aiping Lyu,Kui Ming Chan,Nathalie Wong,Jiandong Huang,Zhongjun Zhou,Zhao-Xiang Bian,Shuofeng Yuan,Hoi Leong Xavier Wong

Viruses 14: PubMed36146867

2022

Receptor-Binding Domain (RBD) Antibodies Contribute More to SARS-CoV-2 Neutralization When Target Cells Express High Levels of ACE2.

Applications

Unspecified application

Species

Unspecified reactive species

Ariana Ghez Farrell,Bernadeta Dadonaite,Allison J Greaney,Rachel Eguia,Andrea N Loes,Nicholas M Franko,Jennifer Logue,Juan Manuel Carreño,Anass Abbad,Helen Y Chu,Kenneth A Matreyek,Jesse D Bloom
View all publications

Product promise

We are committed to supporting your work with high-quality reagents, and we're here for you every step of the way. In the unlikely event that one of our products does not perform as expected, you're protected by our Product Promise.
For full details, please see our Terms & Conditions

Please note: All products are 'FOR RESEARCH USE ONLY. NOT FOR USE IN DIAGNOSTIC OR THERAPEUTIC PROCEDURES'.

For licensing inquiries, please contact partnerships@abcam.com