JavaScript is disabled in your browser. Please enable JavaScript to view this website.
AB308378

Anti-ACE2 antibody [HL1092]

Be the first to review this product! Submit a review

|

(0 Publication)

Rabbit Recombinant Monoclonal ACE2 antibody. Carrier free. Suitable for IHC-P, ICC/IF, WB and reacts with Human, Cat, African green monkey, Transfected cell lysate samples. Immunogen corresponding to Recombinant Fragment Protein within Human ACE2.

View Alternative Names

UNQ868/PRO1885, ACE2, Angiotensin-converting enzyme 2, Angiotensin-converting enzyme homolog, Angiotensin-converting enzyme-related carboxypeptidase, Metalloprotease MPROT15, ACEH, ACE-related carboxypeptidase

6 Images
Immunohistochemistry paraffin embedded sections - Anti-ACE2 antibody [HL1092] (AB308378)
  • IHC-P

Supplier Data

Immunohistochemistry paraffin embedded sections - Anti-ACE2 antibody [HL1092] (AB308378)

Immunohistochemical analysis of human kidney tissue labeling ACE2 using ab308378 at 1/1000 dilution. Antigen retrieval was performed using Citrate buffer, pH 6.0, 15 min

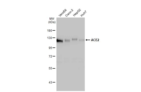
Western blot - Anti-ACE2 antibody [HL1092] (AB308378)
  • WB

Supplier Data

Western blot - Anti-ACE2 antibody [HL1092] (AB308378)

Various whole cell extracts (30 μg) were separated by 7.5% SDS-PAGE, and the membrane was blotted with ACE2 antibody [HL1092] (ab308378) diluted at 1/1000. A HRP-conjugated anti-rabbit IgG antibody was used to detect the primary antibody.

All lanes:

Western blot - Anti-ACE2 antibody [HL1092] (ab308378) at 1/1000 dilution

Lane 1:

VeroE6 cell lysate at 30 µg

Lane 2:

Caco-2 cell lysate at 30 µg

Lane 3:

HepG2 cell lysate at 30 µg

Lane 4:

Huh-7 cell lysate at 30 µg

Secondary

All lanes:

HRP-conjugated anti-rabbit IgG antibody

Predicted band size: 92.5 kDa

false

Western blot - Anti-ACE2 antibody [HL1092] (AB308378)
  • WB

Supplier Data

Western blot - Anti-ACE2 antibody [HL1092] (AB308378)

Non-transfected (–) and transfected (+) HEK293T whole cell lysate (30 μg) were separated by 7.5% SDS-PAGE, and the membrane was blotted with ACE2 antibody [HL1092] (ab308378) diluted at 1/5000. A HRP-conjugated anti-rabbit IgG antibody was used to detect the primary antibody.

All lanes:

Western blot - Anti-ACE2 antibody [HL1092] (ab308378) at 1/5000 dilution

Lane 1:

Non-transfected (–) HEK293T whole cell lysate at 30 µg

Lane 2:

Transfected (+) HEK293T whole cell lysate at 30 EU/µg/L

Secondary

All lanes:

HRP-conjugated anti-rabbit IgG antibody

Predicted band size: 92.5 kDa

false

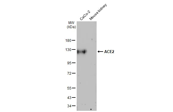
Western blot - Anti-ACE2 antibody [HL1092] (AB308378)
  • WB

Supplier Data

Western blot - Anti-ACE2 antibody [HL1092] (AB308378)

Various whole cell and tissue extracts were separated by 7.5% SDS-PAGE, and the membrane was blotted with ACE2 antibody [HL1092] (ab308378) diluted at 1/1000. A HRP-conjugated anti-rabbit IgG antibody was used to detect the primary antibody, and the signal was developed with Trident femto Western HRP Substrate.

All lanes:

Western blot - Anti-ACE2 antibody [HL1092] (ab308378) at 1/1000 dilution

Lane 1:

Caco-2 cell lysate

Lane 2:

Mouse kidney lysate

Secondary

All lanes:

HRP-conjugated anti-rabbit IgG antibody

Predicted band size: 92.5 kDa

true

Immunocytochemistry/ Immunofluorescence - Anti-ACE2 antibody [HL1092] (AB308378)
  • ICC/IF

Supplier Data

Immunocytochemistry/ Immunofluorescence - Anti-ACE2 antibody [HL1092] (AB308378)

For immunofluorescence analysis, VeroE6 cells were fixed in ice-cold MeOH for 5 minutes and permeabilized for detection of ACE2 protein using ab308378 at 1/500 dilution (green). Nuclei (blue) is stained with fluoroshield with DAPI. Alpha Tubulin stained by alpha Tubulin antibody (red) diluted at 1/1000

Immunohistochemistry (Formalin/PFA-fixed paraffin-embedded sections) - Anti-ACE2 antibody [HL1092] (AB308378)
  • IHC-P

Supplier Data

Immunohistochemistry (Formalin/PFA-fixed paraffin-embedded sections) - Anti-ACE2 antibody [HL1092] (AB308378)

Immunohistochemical analysis of paraffin-embedded cat colon tissue labelling ACE2 with ab308378 at 1/200 dilution.

Antigen Retrieval : Citrate buffer, pH 6.0, 15 min

Key facts

Host species

Rabbit

Clonality

Monoclonal

Clone number

HL1092

Isotype

IgG

Carrier free

Yes

Reacts with

Human, African green monkey, Cat

Applications

ICC/IF, IHC-P, WB

applications

Immunogen

Recombinant Fragment Protein within Human ACE2. The exact immunogen used to generate this antibody is proprietary information.

Q9BYF1

Reactivity data

{ "title": "Reactivity Data", "filters": { "stats": ["", "Species", "Dilution Info", "Notes"], "tabs": { "all-applications": {"fullname" : "All Applications", "shortname": "All Applications"}, "IHCP" : {"fullname" : "Immunohistochemistry (Formalin/PFA-fixed paraffin-embedded sections)", "shortname":"IHC-P"}, "ICCIF" : {"fullname" : "Immunocytochemistry/ Immunofluorescence", "shortname":"ICC/IF"}, "WB" : {"fullname" : "Western blot", "shortname":"WB"} }, "product-promise": { "all": "all", "testedAndGuaranteed": "tested", "guaranteed": "expected", "predicted": "predicted", "notRecommended": "not-recommended" } }, "values": { "Human": { "IHCP-species-checked": "testedAndGuaranteed", "IHCP-species-dilution-info": "1/1000", "IHCP-species-notes": "<p></p> Perform heat-mediated antigen retrieval with citrate buffer pH 6 before commencing with IHC staining protocol.", "ICCIF-species-checked": "guaranteed", "ICCIF-species-dilution-info": "", "ICCIF-species-notes": "", "WB-species-checked": "testedAndGuaranteed", "WB-species-dilution-info": "1/1000 - 1/5000", "WB-species-notes": "<p></p>" }, "African green monkey": { "IHCP-species-checked": "guaranteed", "IHCP-species-dilution-info": "", "IHCP-species-notes": "", "ICCIF-species-checked": "testedAndGuaranteed", "ICCIF-species-dilution-info": "1/500", "ICCIF-species-notes": "<p></p>", "WB-species-checked": "testedAndGuaranteed", "WB-species-dilution-info": "1/1000 - 1/5000", "WB-species-notes": "<p></p>" }, "Cat": { "IHCP-species-checked": "testedAndGuaranteed", "IHCP-species-dilution-info": "1/1000", "IHCP-species-notes": "<p></p> Perform heat-mediated antigen retrieval with citrate buffer pH 6 before commencing with IHC staining protocol.", "ICCIF-species-checked": "guaranteed", "ICCIF-species-dilution-info": "", "ICCIF-species-notes": "", "WB-species-checked": "guaranteed", "WB-species-dilution-info": "", "WB-species-notes": "" }, "Transfected cell lysate": { "IHCP-species-checked": "notRecommended", "IHCP-species-dilution-info": "", "IHCP-species-notes": "", "ICCIF-species-checked": "notRecommended", "ICCIF-species-dilution-info": "", "ICCIF-species-notes": "", "WB-species-checked": "testedAndGuaranteed", "WB-species-dilution-info": "1/1000 - 1/5000", "WB-species-notes": "<p></p>" } } }

Product details

What are the advantages of a recombinant monoclonal antibody?
This product is a recombinant monoclonal antibody, which offers several advantages including:

  • - High batch-to-batch consistency and reproducibility
  • - Improved sensitivity and specificity
  • - Long-term security of supply
  • - Animal-free batch production

For more information, read more on recombinant antibodies.

Conjugation ready
Our carrier-free antibodies are typically supplied in a PBS-only formulation, purified and free of BSA, sodium azide and glycerol. This conjugation-ready format is designed for use with fluorochromes, metal isotopes, oligonucleotides, and enzymes, which makes them ideal for antibody labelling, functional and cell-based assays, flow-based assays (e.g. mass cytometry) and Multiplex Imaging applications.

Use our conjugation kits for antibody conjugates that are ready-to-use in as little as 20 minutes with 1 minute hands-on-time and 100% antibody recovery: available for fluorescent dyes, HRP, biotin and gold.

Properties and storage information

Form
Liquid
Purification technique
Affinity purification Protein A
Storage buffer
pH: 7.4 Constituents: 100% PBS
Shipped at conditions
Blue Ice
Appropriate short-term storage duration
1-2 weeks
Appropriate short-term storage conditions
+4°C
Appropriate long-term storage conditions
+4°C
Aliquoting information
Upon delivery aliquot
Storage information
Avoid freeze / thaw cycle

Supplementary information

This supplementary information is collated from multiple sources and compiled automatically.

The ACE2 protein also known as angiotensin-converting enzyme 2 is an essential component in the renin-angiotensin system. It functions mechanically by converting the hormone angiotensin II to angiotensin-(1-7) which helps regulate blood pressure and fluid balance. The molecular weight of ACE2 is approximately 120 kDa. This protein is expressed in various tissues particularly the lungs heart kidneys and gastrointestinal tract. In cultured cells like Caco-2 cells researchers often study this expression.
Biological function summary

The ACE2 protein plays an important role in the regulation of cardiovascular and renal functions. It is a single-pass type I membrane protein and its activity reduces inflammation and oxidative stress in cells. ACE2 does not function as part of a larger protein complex but its enzymatic conversion has a substantial impact on reducing the effects of angiotensin II in the body leading to vasodilation and decreased blood pressure.

Pathways

ACE2 involvement is significant in the renin-angiotensin system and the kallikrein-kinin system. These pathways are essential for maintaining cardiovascular homeostasis. In the renin-angiotensin system ACE2 works in opposition to angiotensin-converting enzyme (ACE) balancing the effects through the production of angiotensin-(1-7) from angiotensin II. Additionally ACE2 interacts indirectly with proteins like angiotensin receptor type 1 (AT1) and angiotensin receptor type 2 (AT2) ensuring proper signaling and physiological responses.

ACE2 links closely with conditions such as hypertension and COVID-19. Increased activity of angiotensin II due to low ACE2 levels contributes to hypertension. In infectious disease SARS-CoV-2 virus responsible for COVID-19 uses ACE2 as an entry receptor to initiate infection in host cells. This interaction highlights the importance of ACE2 in disease pathogenesis and has prompted interest in ACE2 as a potential therapeutic target.

Product protocols

For this product, it's our understanding that no specific protocols are required. You can visit:

Target data

Essential counter-regulatory carboxypeptidase of the renin-angiotensin hormone system that is a critical regulator of blood volume, systemic vascular resistance, and thus cardiovascular homeostasis (PubMed : 27217402). Converts angiotensin I to angiotensin 1-9, a nine-amino acid peptide with anti-hypertrophic effects in cardiomyocytes, and angiotensin II to angiotensin 1-7, which then acts as a beneficial vasodilator and anti-proliferation agent, counterbalancing the actions of the vasoconstrictor angiotensin II (PubMed : 10924499, PubMed : 10969042, PubMed : 11815627, PubMed : 14504186, PubMed : 19021774). Also removes the C-terminal residue from three other vasoactive peptides, neurotensin, kinetensin, and des-Arg bradykinin, but is not active on bradykinin (PubMed : 10969042, PubMed : 11815627). Also cleaves other biological peptides, such as apelins (apelin-13, [Pyr1]apelin-13, apelin-17, apelin-36), casomorphins (beta-casomorphin-7, neocasomorphin) and dynorphin A with high efficiency (PubMed : 11815627, PubMed : 27217402, PubMed : 28293165). In addition, ACE2 C-terminus is homologous to collectrin and is responsible for the trafficking of the neutral amino acid transporter SL6A19 to the plasma membrane of gut epithelial cells via direct interaction, regulating its expression on the cell surface and its catalytic activity (PubMed : 18424768, PubMed : 19185582).. (Microbial infection) Acts as a receptor for human coronaviruses SARS-CoV and SARS-CoV-2, as well as human coronavirus NL63/HCoV-NL63.. Isoform 2. Non-functional as a carboxypeptidase.. Isoform 2. (Microbial infection) Non-functional as a receptor for human coronavirus SARS-CoV-2.
See full target information ACE2

Product promise

We are committed to supporting your work with high-quality reagents, and we're here for you every step of the way. In the unlikely event that one of our products does not perform as expected, you're protected by our Product Promise.
For full details, please see our Terms & Conditions

Please note: All products are 'FOR RESEARCH USE ONLY. NOT FOR USE IN DIAGNOSTIC OR THERAPEUTIC PROCEDURES'.

For licensing inquiries, please contact partnerships@abcam.com