JavaScript is disabled in your browser. Please enable JavaScript to view this website.
AB89111

Anti-ACE2 antibody [MM0073-11A31]

4

(4 Reviews)

|

(8 Publications)

Mouse Monoclonal ACE2 antibody. Suitable for IHC-P and reacts with Human samples. Cited in 8 publications. Immunogen corresponding to Recombinant Fragment Protein within Human ACE2.

View Alternative Names

UNQ868/PRO1885, ACE2, Angiotensin-converting enzyme 2, Angiotensin-converting enzyme homolog, Angiotensin-converting enzyme-related carboxypeptidase, Metalloprotease MPROT15, ACEH, ACE-related carboxypeptidase

1 Images
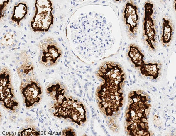
Immunohistochemistry (Formalin/PFA-fixed paraffin-embedded sections) - Anti-ACE2 antibody [MM0073-11A31] (AB89111)
  • IHC-P

Unknown

Immunohistochemistry (Formalin/PFA-fixed paraffin-embedded sections) - Anti-ACE2 antibody [MM0073-11A31] (AB89111)

IHC image of ACE2 staining in a section of formalin-fixed paraffin-embedded normal human kidney* performed on a Leica BONDTM system using the standard protocol F. The section was pre-treated using heat mediated antigen retrieval with sodium citrate buffer (pH6, epitope retrieval solution 1) for 20mins. The section was then incubated with ab89111, 1ug/ml, for 15 mins at room temperature and detected using an HRP conjugated compact polymer system. DAB was used as the chromogen. The section was then counterstained with haematoxylin and mounted with DPX.

Key facts

Host species

Mouse

Clonality

Monoclonal

Clone number

MM0073-11A31

Isotype

IgG2

Carrier free

No

Reacts with

Human

Applications

IHC-P

applications

Immunogen

Recombinant Fragment Protein within Human ACE2. The exact immunogen used to generate this antibody is proprietary information.

Q9BYF1

Reactivity data

{ "title": "Reactivity Data", "filters": { "stats": ["", "Species", "Dilution Info", "Notes"], "tabs": { "all-applications": {"fullname" : "All Applications", "shortname": "All Applications"}, "IHCP" : {"fullname" : "Immunohistochemistry (Formalin/PFA-fixed paraffin-embedded sections)", "shortname":"IHC-P"} }, "product-promise": { "all": "all", "testedAndGuaranteed": "tested", "guaranteed": "expected", "predicted": "predicted", "notRecommended": "not-recommended" } }, "values": { "Human": { "IHCP-species-checked": "testedAndGuaranteed", "IHCP-species-dilution-info": "1/50 - 1/200", "IHCP-species-notes": "<p></p>" } } }

Properties and storage information

Form
Liquid
Purification technique
Affinity purification Protein G
Storage buffer
Constituents: PBS
Shipped at conditions
Blue Ice
Appropriate short-term storage conditions
+4°C
Appropriate long-term storage conditions
-20°C
Aliquoting information
Upon delivery aliquot
Storage information
Avoid freeze / thaw cycle

Supplementary information

This supplementary information is collated from multiple sources and compiled automatically.

The ACE2 protein also known as angiotensin-converting enzyme 2 is an essential component in the renin-angiotensin system. It functions mechanically by converting the hormone angiotensin II to angiotensin-(1-7) which helps regulate blood pressure and fluid balance. The molecular weight of ACE2 is approximately 120 kDa. This protein is expressed in various tissues particularly the lungs heart kidneys and gastrointestinal tract. In cultured cells like Caco-2 cells researchers often study this expression.
Biological function summary

The ACE2 protein plays an important role in the regulation of cardiovascular and renal functions. It is a single-pass type I membrane protein and its activity reduces inflammation and oxidative stress in cells. ACE2 does not function as part of a larger protein complex but its enzymatic conversion has a substantial impact on reducing the effects of angiotensin II in the body leading to vasodilation and decreased blood pressure.

Pathways

ACE2 involvement is significant in the renin-angiotensin system and the kallikrein-kinin system. These pathways are essential for maintaining cardiovascular homeostasis. In the renin-angiotensin system ACE2 works in opposition to angiotensin-converting enzyme (ACE) balancing the effects through the production of angiotensin-(1-7) from angiotensin II. Additionally ACE2 interacts indirectly with proteins like angiotensin receptor type 1 (AT1) and angiotensin receptor type 2 (AT2) ensuring proper signaling and physiological responses.

ACE2 links closely with conditions such as hypertension and COVID-19. Increased activity of angiotensin II due to low ACE2 levels contributes to hypertension. In infectious disease SARS-CoV-2 virus responsible for COVID-19 uses ACE2 as an entry receptor to initiate infection in host cells. This interaction highlights the importance of ACE2 in disease pathogenesis and has prompted interest in ACE2 as a potential therapeutic target.

Product protocols

For this product, it's our understanding that no specific protocols are required. You can visit:

Target data

Essential counter-regulatory carboxypeptidase of the renin-angiotensin hormone system that is a critical regulator of blood volume, systemic vascular resistance, and thus cardiovascular homeostasis (PubMed : 27217402). Converts angiotensin I to angiotensin 1-9, a nine-amino acid peptide with anti-hypertrophic effects in cardiomyocytes, and angiotensin II to angiotensin 1-7, which then acts as a beneficial vasodilator and anti-proliferation agent, counterbalancing the actions of the vasoconstrictor angiotensin II (PubMed : 10924499, PubMed : 10969042, PubMed : 11815627, PubMed : 14504186, PubMed : 19021774). Also removes the C-terminal residue from three other vasoactive peptides, neurotensin, kinetensin, and des-Arg bradykinin, but is not active on bradykinin (PubMed : 10969042, PubMed : 11815627). Also cleaves other biological peptides, such as apelins (apelin-13, [Pyr1]apelin-13, apelin-17, apelin-36), casomorphins (beta-casomorphin-7, neocasomorphin) and dynorphin A with high efficiency (PubMed : 11815627, PubMed : 27217402, PubMed : 28293165). In addition, ACE2 C-terminus is homologous to collectrin and is responsible for the trafficking of the neutral amino acid transporter SL6A19 to the plasma membrane of gut epithelial cells via direct interaction, regulating its expression on the cell surface and its catalytic activity (PubMed : 18424768, PubMed : 19185582).. (Microbial infection) Acts as a receptor for human coronaviruses SARS-CoV and SARS-CoV-2, as well as human coronavirus NL63/HCoV-NL63.. Isoform 2. Non-functional as a carboxypeptidase.. Isoform 2. (Microbial infection) Non-functional as a receptor for human coronavirus SARS-CoV-2.
See full target information ACE2

Publications (8)

Recent publications for all applications. Explore the full list and refine your search

Viruses 14: PubMed35746801

2022

SARS-CoV-2, Placental Histopathology, Gravity of Infection and Immunopathology: Is There an Association?

Applications

Unspecified application

Species

Unspecified reactive species

Leonardo Resta,Antonella Vimercati,Gerardo Cazzato,Margherita Fanelli,Sara Vincenza Scarcella,Giuseppe Ingravallo,Anna Colagrande,Sara Sablone,Mary Stolfa,Francesca Arezzo,Teresa Lettini,Roberta Rossi

Human vaccines & immunotherapeutics 18:2048622 PubMed35348437

2022

Human-Immune-System (HIS) humanized mouse model (DRAGA: HLA-A2.HLA-DR4.Rag1KO.IL-2RγcKO.NOD) for COVID-19.

Applications

Unspecified application

Species

Unspecified reactive species

Teodor-D Brumeanu,Pooja Vir,Ahmad Faisal Karim,Swagata Kar,Dalia Benetiene,Megan Lok,Jack Greenhouse,Tammy Putmon-Taylor,Christopher Kitajewski,Kevin K Chung,Kathleen P Pratt,Sofia A Casares

International journal of chronic obstructive pulmonary disease 17:101-115 PubMed35046647

2022

SARS-CoV-2 (COVID-19) Adhesion Site Protein Upregulation in Small Airways, Type 2 Pneumocytes, and Alveolar Macrophages of Smokers and COPD - Possible Implications for Interstitial Fibrosis.

Applications

Unspecified application

Species

Unspecified reactive species

Samuel James Brake,Mathew Suji Eapen,Kielan Darcy McAlinden,James Markos,Greg Haug,Josie Larby,Collin Chia,Ashutosh Hardikar,Gurpreet Kaur Singhera,Tillie L Hackett,Wenying Lu,Sukhwinder Singh Sohal

JCI insight 6: PubMed34291736

2021

L-SIGN is a receptor on liver sinusoidal endothelial cells for SARS-CoV-2 virus.

Applications

Unspecified application

Species

Unspecified reactive species

Yuji Kondo,Jason L Larabee,Liang Gao,Huiping Shi,Bojing Shao,Christopher M Hoover,J Michael McDaniel,Yen-Chun Ho,Robert Silasi-Mansat,Stephanie A Archer-Hartmann,Parastoo Azadi,R Sathish Srinivasan,Alireza R Rezaie,Alain Borczuk,Jeffrey C Laurence,Florea Lupu,Jasimuddin Ahamed,Rodger P McEver,James F Papin,Zhongxin Yu,Lijun Xia

Journal of clinical medicine 10: PubMed33802256

2021

Electronic Cigarette Aerosol Is Cytotoxic and Increases ACE2 Expression on Human Airway Epithelial Cells: Implications for SARS-CoV-2 (COVID-19).

Applications

Unspecified application

Species

Unspecified reactive species

Kielan Darcy McAlinden,Wenying Lu,Parisa Vahidi Ferdowsi,Stephen Myers,James Markos,Josie Larby,Collin Chia,Heinrich C Weber,Greg Haug,Mathew Suji Eapen,Sukhwinder Singh Sohal

Experimental eye research 205:108527 PubMed33667466

2021

Co-expression of the SARS-CoV-2 entry receptors ACE2 and TMPRSS2 in healthy human conjunctiva.

Applications

Unspecified application

Species

Unspecified reactive species

Rita Mencucci,Eleonora Favuzza,Matteo Becatti,Alessia Tani,Costanza Mazzantini,Roberto Vignapiano,Claudia Fiorillo,DomenicoE Pellegrini-Giampietro,Mirko Manetti,Mirca Marini,Elisa Landucci

Zoological research 41:621-631 PubMed33045777

2020

Role of neutrophil chemoattractant CXCL5 in SARS-CoV-2 infection-induced lung inflammatory innate immune response in an hACE2 transfection mouse model.

Applications

Unspecified application

Species

Unspecified reactive species

Yan Liang,Heng Li,Jing Li,Ze-Ning Yang,Jia-Li Li,Hui-Wen Zheng,Yan-Li Chen,Hai-Jing Shi,Lei Guo,Long-Ding Liu

Journal of experimental & clinical cancer research 38:439 PubMed31747963

2019

Upregulation of ERp57 promotes clear cell renal cell carcinoma progression by initiating a STAT3/ILF3 feedback loop.

Applications

Unspecified application

Species

Unspecified reactive species

Yan Liu,Jian-Xing Wang,Zi-Yuan Nie,Yue Wen,Xin-Ju Jia,Li-Na Zhang,Hui-Jun Duan,Yong-Hong Shi
View all publications

Product promise

We are committed to supporting your work with high-quality reagents, and we're here for you every step of the way. In the unlikely event that one of our products does not perform as expected, you're protected by our Product Promise.
For full details, please see our Terms & Conditions

Please note: All products are 'FOR RESEARCH USE ONLY. NOT FOR USE IN DIAGNOSTIC OR THERAPEUTIC PROCEDURES'.

For licensing inquiries, please contact partnerships@abcam.com