JavaScript is disabled in your browser. Please enable JavaScript to view this website.
AB314771

Anti-ACE2 antibody [RM1070]

  • BOND RX™ Validated
  • 20ul selling size
  • RabMAb
  • Recombinant
  • What is this?

Be the first to review this product! Submit a review

|

(0 Publication)

Rabbit Recombinant Multiclonal ACE2 antibody. Suitable for WB, IHC-P, ICC/IF, IP, I-ELISA and reacts with Human, Mouse, Transfected cell lysate - Human, Transfected cell line, Recombinant fragment - Human samples.

View Alternative Names

UNQ868/PRO1885, ACE2, Angiotensin-converting enzyme 2, Angiotensin-converting enzyme homolog, Angiotensin-converting enzyme-related carboxypeptidase, Metalloprotease MPROT15, ACEH, ACE-related carboxypeptidase

11 Images
Immunohistochemistry (Formalin/PFA-fixed paraffin-embedded sections) - Anti-ACE2 antibody [RM1070] (AB314771)
  • IHC-P

Supplier Data

Immunohistochemistry (Formalin/PFA-fixed paraffin-embedded sections) - Anti-ACE2 antibody [RM1070] (AB314771)

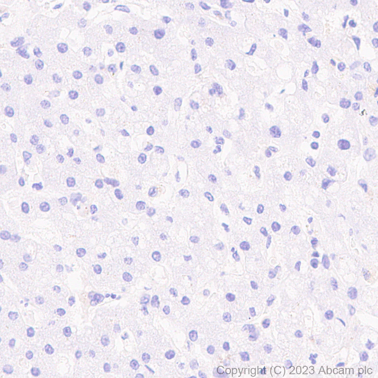
Immunohistochemical analysis of paraffin-embedded human liver tissue labeling ACE2 with ab314771 at 1/5000 (0.109 ug/ml) dilution, followed by a ready to use LeicaDS9800 (Bond™ Polymer Refine Detection). Negative control : no staining on human liver. The section was incubated with ab314771 for 30 mins at room temperature. The immunostaining was performed on a Leica Biosystems BOND® RX instrument. Counterstained with Hematoxylin. Secondary antibody only control : Secondary antibody is a ready to use LeicaDS9800 (Bond™ Polymer Refine Detection). Heat mediated antigen retrieval was performed with Citrate buffer (pH 6.0, Epitope Retrieval Solution 1) for 20 mins.

Immunohistochemistry (Formalin/PFA-fixed paraffin-embedded sections) - Anti-ACE2 antibody [RM1070] (AB314771)
  • IHC-P

Supplier Data

Immunohistochemistry (Formalin/PFA-fixed paraffin-embedded sections) - Anti-ACE2 antibody [RM1070] (AB314771)

Immunohistochemical analysis of paraffin-embedded human testis tissue labeling ACE2 with ab314771 at 1/5000 (0.109 ug/ml) dilution, followed by a ready to use LeicaDS9800 (Bond™ Polymer Refine Detection). Positive staining on human testis. The section was incubated with ab314771 for 30 mins at room temperature. The immunostaining was performed on a Leica Biosystems BOND® RX instrument. Counterstained with Hematoxylin. Secondary antibody only control : Secondary antibody is a ready to use LeicaDS9800 (Bond™ Polymer Refine Detection). Heat mediated antigen retrieval was performed with Citrate buffer (pH 6.0, Epitope Retrieval Solution 1) for 20 mins.

Immunohistochemistry (Formalin/PFA-fixed paraffin-embedded sections) - Anti-ACE2 antibody [RM1070] (AB314771)
  • IHC-P

Supplier Data

Immunohistochemistry (Formalin/PFA-fixed paraffin-embedded sections) - Anti-ACE2 antibody [RM1070] (AB314771)

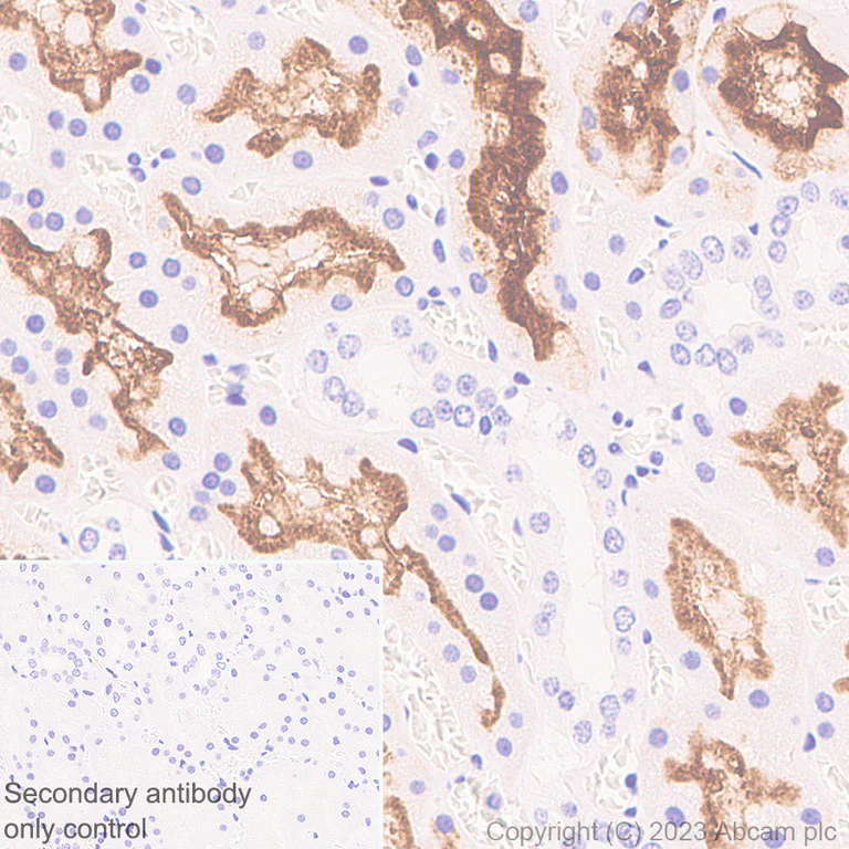
Immunohistochemical analysis of paraffin-embedded human kidney tissue labeling ACE2 with ab314771 at 1/5000 (0.109 ug/ml) dilution, followed by a ready to use LeicaDS9800 (Bond™ Polymer Refine Detection). Positive staining on human kidney. The section was incubated with ab314771 for 30 mins at room temperature. The immunostaining was performed on a Leica Biosystems BOND® RX instrument. Counterstained with Hematoxylin. Secondary antibody only control : Secondary antibody is a ready to use LeicaDS9800 (Bond™ Polymer Refine Detection). Heat mediated antigen retrieval was performed with Citrate buffer (pH 6.0, Epitope Retrieval Solution 1) for 20 mins.

Immunocytochemistry/ Immunofluorescence - Anti-ACE2 antibody [RM1070] (AB314771)
  • ICC/IF

Supplier Data

Immunocytochemistry/ Immunofluorescence - Anti-ACE2 antibody [RM1070] (AB314771)

Immunofluorescent analysis of 4% Paraformaldehyde-fixed, 0.1% TritonX-100 permeabilized HEK-293T (human epithelial cell line from embryonic kidney) transfected with myc-tagged ACE2 expression vector cells labelling ACE2 with ab314771 at 1/500 (1.092 ug/ml) dilution, followed by ab150081 Goat Anti-Rabbit IgG H&L (Alexa Fluor® 488) preadsorbed antibody at 1/1000 2ug/ml dilution (Green). Confocal image showing cytoplasmic staining in 293T cells transfected with ACE2 protein expression vector containing a myc tag, no staining on 293T transfected with empty vector containing a myc-tag. Image was taken with a confocal microscope (Leica-Microsystems, TCS SP8). ab223894 Anti-Myc tag mouse monoclonal antibody (Alexa Fluor® 594) was used to counterstain tubulin at 1/100 5ug/ml dilution (Red). The Nuclear counterstain was DAPI (Blue). Secondary antibody only control : Secondary antibody is ab150081 Goat Anti-Rabbit IgG H&L (Alexa Fluor® 488) preadsorbed at 1/1000 2ug/ml dilution.

Immunocytochemistry/ Immunofluorescence - Anti-ACE2 antibody [RM1070] (AB314771)
  • ICC/IF

Supplier Data

Immunocytochemistry/ Immunofluorescence - Anti-ACE2 antibody [RM1070] (AB314771)

Immunofluorescent analysis of 100% methanol-fixed, 0.1% TritonX-100 permeabilized Calu-3 (human lung adenocarcinoma epithelial cell) cells labelling ACE2 with ab314771 at 1/50 (10.92 ug/ml) dilution, followed by ab150081 Goat Anti-Rabbit IgG H&L (Alexa Fluor® 488) preadsorbed antibody at 1/1000 2ug/ml dilution (Green). Confocal image showing cytoplasmic staining in Calu-3 cell line. Negative control : HeLa.Image was taken with a confocal microscope(Leica-Microsystems, TCS SP8). ab195889 Anti-alpha Tubulin mouse monoclonal antibody - Microtubule Marker (Alexa Fluor® 594) was used to counterstain tubulin at 1/200 2.5ug/ml dilution (Red). The Nuclear counterstain was DAPI (Blue). Secondary antibody only control : Secondary antibody is ab150081 Goat Anti-Rabbit IgG H&L (Alexa Fluor® 488) preadsorbed at 1/1000 2ug/ml dilution.

Immunoprecipitation - Anti-ACE2 antibody [RM1070] (AB314771)
  • IP

Supplier Data

Immunoprecipitation - Anti-ACE2 antibody [RM1070] (AB314771)

ACE2 was immunoprecipitated from 0.35 mg Calu-3 (human lung adenocarcinoma epithelial cell) whole cell lysate with ab314771 at 1/30 dilution (2ug in 0.35mg lysates). Western blot was performed on the immunoprecipitate using ab314771 at 1/1000 dilution. VeriBlot for IP secondary antibody(HRP)(ab131366) was used at 1/5000 dilution. Lane 1 : Calu-3 (human lung adenocarcinoma epithelial cell) whole cell lysate Lane 2 : ab314771 IP in Calu-3 (human lung adenocarcinoma epithelial cell) whole cell lysate Lane 3 : Rabbit monoclonal IgG (ab172730) instead of ab314771 in Calu-3 whole cell lysate Blocking and dilution buffer and concentration : 5% NFDM/TBST.

All lanes:

Immunoprecipitation - Anti-ACE2 antibody [RM1070] (ab314771) at 1/30 dilution

All lanes:

Calu-3 (human lung adenocarcinoma epithelial cell) whole cell lysate

Secondary

All lanes:

Immunoprecipitation - VeriBlot for IP Detection Reagent (HRP) (<a href='/en-us/products/reagents/veriblot-for-ip-detection-reagent-hrp-ab131366'>ab131366</a>) at 1/5000 dilution

false

Exposure time: 41s

Immunohistochemistry (Formalin/PFA-fixed paraffin-embedded sections) - Anti-ACE2 antibody [RM1070] (AB314771)
  • IHC-P

Supplier Data

Immunohistochemistry (Formalin/PFA-fixed paraffin-embedded sections) - Anti-ACE2 antibody [RM1070] (AB314771)

Immunohistochemical analysis of paraffin-embedded mouse kidney tissue labeling ACE2 with ab314771 at 1/2000 (0.273 ug/ml) dilution, followed by a ready to use LeicaDS9800 (Bond™ Polymer Refine Detection). Positive staining on mouse kidney. The section was incubated with ab314771 for 30 mins at room temperature. The immunostaining was performed on a Leica Biosystems BOND® RX instrument. Counterstained with Hematoxylin. Secondary antibody only control : Secondary antibody is a ready to use LeicaDS9800 (Bond™ Polymer Refine Detection). Heat mediated antigen retrieval was performed with Citrate buffer (pH 6.0, Epitope Retrieval Solution 1) for 20 mins.

Western blot - Anti-ACE2 antibody [RM1070] (AB314771)
  • WB

Supplier Data

Western blot - Anti-ACE2 antibody [RM1070] (AB314771)

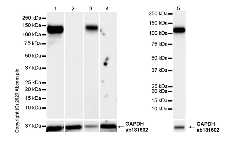
Blocking and diluting buffer and concentration : 5% NFDM/TBST. Negative control : liver (PMID : 10924499) and HeLa (PMID : 32926098). In western blot, Anti-GAPDH antibody [EPR16891] - Loading Control (ab181602) staining at 1/200000 dilution. Exposure time : Lanes 1-4 : 180 seconds; Lane 5 : 15 seconds

All lanes:

Western blot - Anti-ACE2 antibody [RM1070] (ab314771) at 1/1000 dilution

Lane 1:

Human testis tissue lysate at 20 µg

Lane 2:

Human liver tissue lysate at 20 µg

Lane 3:

Calu-3 (human lung adenocarcinoma epithelial cell) whole cell lysate at 20 µg

Lane 4:

HeLa (human cervical adenocarcinoma epithelial cell) whole cell lysate at 20 µg

Lane 5:

Human kidney tissue lysate at 20 µg

Secondary

All lanes:

Western blot - VeriBlot for IP Detection Reagent (HRP) (<a href='/en-us/products/reagents/veriblot-for-ip-detection-reagent-hrp-ab131366'>ab131366</a>) at 1/1000 dilution

Observed band size: 110 kDa

false

Western blot - Anti-ACE2 antibody [RM1070] (AB314771)
  • WB

Supplier Data

Western blot - Anti-ACE2 antibody [RM1070] (AB314771)

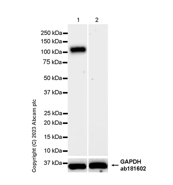
Blocking and diluting buffer and concentration : 5% NFDM/TBST. Negative control : liver (PMID : 10924499). In western blot, Anti-GAPDH antibody [EPR16891] - Loading Control (ab181602) staining at 1/200000 dilution.

All lanes:

Western blot - Anti-ACE2 antibody [RM1070] (ab314771) at 1/1000 dilution

Lane 1:

Mouse kidney tissue lysate at 20 µg

Lane 2:

Mouse liver tissue lysate at 20 µg

Secondary

All lanes:

Western blot - Goat Anti-Rabbit IgG H&L (HRP) (<a href='/en-us/products/secondary-antibodies/goat-rabbit-igg-h-l-hrp-ab97051'>ab97051</a>) at 1/100000 dilution

Observed band size: 110 kDa

false

Exposure time: 180s

Indirect ELISA - Anti-ACE2 antibody [RM1070] (AB314771)
  • I-ELISA

Supplier Data

Indirect ELISA - Anti-ACE2 antibody [RM1070] (AB314771)

Indirect ELISA analysis of ab314771 at 1000-0 ng/ml. The Secondary antibody used was Alkaline Phosphatase-conjugated AffiniPure Goat Anti-RABbit IgG (H+L) at 1 : 2500 dilution. Antigen : Human ACE2. Antigen concentration : 1000 ng/ml

Western blot - Anti-ACE2 antibody [RM1070] (AB314771)
  • WB

Supplier Data

Western blot - Anti-ACE2 antibody [RM1070] (AB314771)

Blocking and diluting buffer and concentration : 5% NFDM/TBST. In western blot, anti-GAPDH antibody [EPR16891] - Loading Control (ab181602) staining at 1/200000 dilution. In western blot, anti-6X His tag® antibody [EPR20547] - ChIP Grade (ab213204) staining at 1/5000 dilution.

All lanes:

Western blot - Anti-ACE2 antibody [RM1070] (ab314771) at 1/1000 dilution

Lane 1:

293T cells transfected with an empty vector containing a myc-his tag, whole cell lysate at 4 µg

Lane 2:

293T cells transfected with a human ACE2 expression vector containing a myc-his-tag, whole cell lysate at 4 µg

Secondary

All lanes:

Western blot - Goat Anti-Rabbit IgG H&L (HRP) (<a href='/en-us/products/secondary-antibodies/goat-rabbit-igg-h-l-hrp-ab97051'>ab97051</a>) at 1/100000 dilution

Observed band size: 110 kDa

false

Exposure time: 4s

Key facts

Host species

Rabbit

Clonality

Multiclonal

Clone number

RM1070

Isotype

IgG

Carrier free

No

Reacts with

Human, Mouse

Applications

IP, I-ELISA, IHC-P, WB, ICC/IF

applications

Immunogen

The exact immunogen used to generate this antibody is proprietary information.

Reactivity data

{ "title": "Reactivity Data", "filters": { "stats": ["", "Species", "Dilution Info", "Notes"], "tabs": { "all-applications": {"fullname" : "All Applications", "shortname": "All Applications"}, "WB" : {"fullname" : "Western blot", "shortname":"WB"}, "IHCP" : {"fullname" : "Immunohistochemistry (Formalin/PFA-fixed paraffin-embedded sections)", "shortname":"IHC-P"}, "ICCIF" : {"fullname" : "Immunocytochemistry/ Immunofluorescence", "shortname":"ICC/IF"}, "IP" : {"fullname" : "Immunoprecipitation", "shortname":"IP"}, "IELISA" : {"fullname" : "Indirect ELISA", "shortname":"I-ELISA"}, "FlowCyt" : {"fullname" : "Flow Cytometry", "shortname":"Flow Cyt"} }, "product-promise": { "all": "all", "testedAndGuaranteed": "tested", "guaranteed": "expected", "predicted": "predicted", "notRecommended": "not-recommended" } }, "values": { "Human": { "WB-species-checked": "testedAndGuaranteed", "WB-species-dilution-info": "1/1000", "WB-species-notes": "<p></p>", "IHCP-species-checked": "testedAndGuaranteed", "IHCP-species-dilution-info": "1/5000", "IHCP-species-notes": "<p></p>", "ICCIF-species-checked": "testedAndGuaranteed", "ICCIF-species-dilution-info": "1/50", "ICCIF-species-notes": "<p></p>", "IP-species-checked": "testedAndGuaranteed", "IP-species-dilution-info": "1/30", "IP-species-notes": "<p></p>", "IELISA-species-checked": "guaranteed", "IELISA-species-dilution-info": "", "IELISA-species-notes": "", "FlowCyt-species-checked": "notRecommended", "FlowCyt-species-dilution-info": "", "FlowCyt-species-notes": "<p></p>" }, "Mouse": { "WB-species-checked": "testedAndGuaranteed", "WB-species-dilution-info": "1/1000", "WB-species-notes": "<p></p>", "IHCP-species-checked": "testedAndGuaranteed", "IHCP-species-dilution-info": "1/2000", "IHCP-species-notes": "<p></p>", "ICCIF-species-checked": "guaranteed", "ICCIF-species-dilution-info": "", "ICCIF-species-notes": "", "IP-species-checked": "guaranteed", "IP-species-dilution-info": "", "IP-species-notes": "", "IELISA-species-checked": "guaranteed", "IELISA-species-dilution-info": "", "IELISA-species-notes": "", "FlowCyt-species-checked": "notRecommended", "FlowCyt-species-dilution-info": "", "FlowCyt-species-notes": "" }, "Rat": { "WB-species-checked": "notRecommended", "WB-species-dilution-info": "", "WB-species-notes": "<p></p>", "IHCP-species-checked": "notRecommended", "IHCP-species-dilution-info": "", "IHCP-species-notes": "<p></p>", "ICCIF-species-checked": "notRecommended", "ICCIF-species-dilution-info": "", "ICCIF-species-notes": "", "IP-species-checked": "notRecommended", "IP-species-dilution-info": "", "IP-species-notes": "", "IELISA-species-checked": "notRecommended", "IELISA-species-dilution-info": "", "IELISA-species-notes": "", "FlowCyt-species-checked": "notRecommended", "FlowCyt-species-dilution-info": "", "FlowCyt-species-notes": "" }, "Recombinant fragment - Human": { "WB-species-checked": "notRecommended", "WB-species-dilution-info": "", "WB-species-notes": "", "IHCP-species-checked": "notRecommended", "IHCP-species-dilution-info": "", "IHCP-species-notes": "", "ICCIF-species-checked": "notRecommended", "ICCIF-species-dilution-info": "", "ICCIF-species-notes": "", "IP-species-checked": "notRecommended", "IP-species-dilution-info": "", "IP-species-notes": "", "IELISA-species-checked": "testedAndGuaranteed", "IELISA-species-dilution-info": "1000 ng/mL", "IELISA-species-notes": "<p></p>", "FlowCyt-species-checked": "notRecommended", "FlowCyt-species-dilution-info": "", "FlowCyt-species-notes": "" }, "Transfected cell line": { "WB-species-checked": "notRecommended", "WB-species-dilution-info": "", "WB-species-notes": "", "IHCP-species-checked": "notRecommended", "IHCP-species-dilution-info": "", "IHCP-species-notes": "", "ICCIF-species-checked": "testedAndGuaranteed", "ICCIF-species-dilution-info": "1/500", "ICCIF-species-notes": "<p></p>", "IP-species-checked": "notRecommended", "IP-species-dilution-info": "", "IP-species-notes": "", "IELISA-species-checked": "notRecommended", "IELISA-species-dilution-info": "", "IELISA-species-notes": "", "FlowCyt-species-checked": "notRecommended", "FlowCyt-species-dilution-info": "", "FlowCyt-species-notes": "" }, "Transfected cell lysate - Human": { "WB-species-checked": "testedAndGuaranteed", "WB-species-dilution-info": "1/1000", "WB-species-notes": "<p></p>", "IHCP-species-checked": "notRecommended", "IHCP-species-dilution-info": "", "IHCP-species-notes": "", "ICCIF-species-checked": "notRecommended", "ICCIF-species-dilution-info": "", "ICCIF-species-notes": "", "IP-species-checked": "notRecommended", "IP-species-dilution-info": "", "IP-species-notes": "", "IELISA-species-checked": "notRecommended", "IELISA-species-dilution-info": "", "IELISA-species-notes": "", "FlowCyt-species-checked": "notRecommended", "FlowCyt-species-dilution-info": "", "FlowCyt-species-notes": "" } } }

Product details

What are recombinant multiclonals?
Recombinant multiclonals are a mixture of recombinant antibodies co-expressed from a library of heavy and light chains. They offer several advantages including:

  • - The sensitivity of polyclonal antibodies by recognising multiple epitopes
  • - High batch-to-batch consistency and reproducibility
  • - Improved sensitivity and specificity
  • - Long-term security of supply
  • - Animal-free batch production

View our range of recombinant multiclonal antibodies.

Patented technology
Our RabMAb® technology is a patented hybridoma-based technology for making rabbit monoclonal antibodies. For details on our patents, please refer to RabMAb® patents.

Properties and storage information

Form
Liquid
Purification technique
Affinity purification Protein A
Storage buffer
pH: 7.2 - 7.4 Preservative: 0.01% Sodium azide Constituents: PBS, 40% Glycerol (glycerin, glycerine), 0.05% BSA
Shipped at conditions
Blue Ice
Appropriate short-term storage duration
1-2 weeks
Appropriate short-term storage conditions
+4°C
Appropriate long-term storage conditions
-20°C
Aliquoting information
Upon delivery aliquot
Storage information
Avoid freeze / thaw cycle

Supplementary information

This supplementary information is collated from multiple sources and compiled automatically.

The ACE2 protein also known as angiotensin-converting enzyme 2 is an essential component in the renin-angiotensin system. It functions mechanically by converting the hormone angiotensin II to angiotensin-(1-7) which helps regulate blood pressure and fluid balance. The molecular weight of ACE2 is approximately 120 kDa. This protein is expressed in various tissues particularly the lungs heart kidneys and gastrointestinal tract. In cultured cells like Caco-2 cells researchers often study this expression.
Biological function summary

The ACE2 protein plays an important role in the regulation of cardiovascular and renal functions. It is a single-pass type I membrane protein and its activity reduces inflammation and oxidative stress in cells. ACE2 does not function as part of a larger protein complex but its enzymatic conversion has a substantial impact on reducing the effects of angiotensin II in the body leading to vasodilation and decreased blood pressure.

Pathways

ACE2 involvement is significant in the renin-angiotensin system and the kallikrein-kinin system. These pathways are essential for maintaining cardiovascular homeostasis. In the renin-angiotensin system ACE2 works in opposition to angiotensin-converting enzyme (ACE) balancing the effects through the production of angiotensin-(1-7) from angiotensin II. Additionally ACE2 interacts indirectly with proteins like angiotensin receptor type 1 (AT1) and angiotensin receptor type 2 (AT2) ensuring proper signaling and physiological responses.

ACE2 links closely with conditions such as hypertension and COVID-19. Increased activity of angiotensin II due to low ACE2 levels contributes to hypertension. In infectious disease SARS-CoV-2 virus responsible for COVID-19 uses ACE2 as an entry receptor to initiate infection in host cells. This interaction highlights the importance of ACE2 in disease pathogenesis and has prompted interest in ACE2 as a potential therapeutic target.

Product protocols

For this product, it's our understanding that no specific protocols are required. You can visit:

Target data

Essential counter-regulatory carboxypeptidase of the renin-angiotensin hormone system that is a critical regulator of blood volume, systemic vascular resistance, and thus cardiovascular homeostasis (PubMed : 27217402). Converts angiotensin I to angiotensin 1-9, a nine-amino acid peptide with anti-hypertrophic effects in cardiomyocytes, and angiotensin II to angiotensin 1-7, which then acts as a beneficial vasodilator and anti-proliferation agent, counterbalancing the actions of the vasoconstrictor angiotensin II (PubMed : 10924499, PubMed : 10969042, PubMed : 11815627, PubMed : 14504186, PubMed : 19021774). Also removes the C-terminal residue from three other vasoactive peptides, neurotensin, kinetensin, and des-Arg bradykinin, but is not active on bradykinin (PubMed : 10969042, PubMed : 11815627). Also cleaves other biological peptides, such as apelins (apelin-13, [Pyr1]apelin-13, apelin-17, apelin-36), casomorphins (beta-casomorphin-7, neocasomorphin) and dynorphin A with high efficiency (PubMed : 11815627, PubMed : 27217402, PubMed : 28293165). In addition, ACE2 C-terminus is homologous to collectrin and is responsible for the trafficking of the neutral amino acid transporter SL6A19 to the plasma membrane of gut epithelial cells via direct interaction, regulating its expression on the cell surface and its catalytic activity (PubMed : 18424768, PubMed : 19185582).. (Microbial infection) Acts as a receptor for human coronaviruses SARS-CoV and SARS-CoV-2, as well as human coronavirus NL63/HCoV-NL63.. Isoform 2. Non-functional as a carboxypeptidase.. Isoform 2. (Microbial infection) Non-functional as a receptor for human coronavirus SARS-CoV-2.
See full target information ACE2

Product promise

We are committed to supporting your work with high-quality reagents, and we're here for you every step of the way. In the unlikely event that one of our products does not perform as expected, you're protected by our Product Promise.
For full details, please see our Terms & Conditions

Please note: All products are 'FOR RESEARCH USE ONLY. NOT FOR USE IN DIAGNOSTIC OR THERAPEUTIC PROCEDURES'.

For licensing inquiries, please contact partnerships@abcam.com