JavaScript is disabled in your browser. Please enable JavaScript to view this website.
AB272704

Anti-Acetyl Coenzyme A carboxylase alpha antibody [EPR23235-147] - BSA and Azide free

  • BOND RX™ Validated
  • RabMAb
  • Recombinant
  • KO Validated
  • What is this?

5

(2 Reviews)

|

(5 Publications)

Anti-Acetyl Coenzyme A carboxylase alpha antibody [EPR23235-147] - BSA and Azide free (ab272704) is a rabbit recombinant monoclonal antibody for Western Blot, Flow Cytometry, IP, IHC-P, ICC/IF. Suitable for Human, Mouse, Rat.

- BSA, sodium azide, and glycerol-free for easy conjugation
- Biophysical QC for unrivalled batch-batch consistency

View Alternative Names

ACAC, ACC1, ACCA, ACACA, Acetyl-CoA carboxylase 1, Acetyl-Coenzyme A carboxylase alpha, ACC-alpha

12 Images
Flow Cytometry (Intracellular) - Anti-Acetyl Coenzyme A carboxylase alpha antibody [EPR23235-147] - BSA and Azide free (AB272704)
  • Flow Cyt (Intra)

Lab

Flow Cytometry (Intracellular) - Anti-Acetyl Coenzyme A carboxylase alpha antibody [EPR23235-147] - BSA and Azide free (AB272704)

Intracellular flow cytometric analysis of 4% paraformaldehyde fixed 90% methanol permeabilized 293T (Human embryonic kidney epithelial cell) cells labelling Acetyl Coenzyme A carboxylase alpha with ab269273 at 1/500 dilution (0.1μg) (Red) compared with a Rabbit monoclonal IgG (ab172730) (Black) isotype control and an unlabelled control (cells without incubation with primary antibody and secondary antibody) (Blue). A Goat anti rabbit IgG (Alexa Fluor®488, ab150077) at 1/2000 dilution was used as the secondary antibody.

This data was developed using the same antibody clone in a different buffer formulation containing PBS, BSA, glycerol, and sodium azide (ab269273).

Flow Cytometry (Intracellular) - Anti-Acetyl Coenzyme A carboxylase alpha antibody [EPR23235-147] - BSA and Azide free (AB272704)
  • Flow Cyt (Intra)

Lab

Flow Cytometry (Intracellular) - Anti-Acetyl Coenzyme A carboxylase alpha antibody [EPR23235-147] - BSA and Azide free (AB272704)

This data was developed using the same antibody clone in a different buffer formulation containing PBS, BSA, glycerol, and sodium azide (ab269273).

Flow cytometry overlay histogram showing wild-type HAP1 (green line) and ACACA knockout HAP1 stained with ab269273 (magenta line). The cells were fixed with 80% methanol (5 min) and then permeabilised with 0.1% PBS-Triton X-100 for 15 min. The cells were then incubated in 1x PBS containing 10% normal goat serum to block non-specific protein-protein interaction followed by the antibody (ab269273) (1x 106 in 100μl at 0.008 μg/ml (1/74750 dilution)) for 30min at 22°C.

The secondary antibody Goat Anti-Rabbit IgG H&L (Alexa Fluor® 488) preadsorbed was incubated at 1/4000 dilution for 30min at 22°C.

Isotype control antibody was Recombinant Rabbit IgG, monoclonal [EPR25A] - Isotype Control in HAP1 WT cells (black line) and HAP1-ACACA KO cells (grey line), used at the same concentration and conditions as the primary antibody.

Acquisition of >5000 events were collected using a 50 mW Blue laser (488nm) and 525/40 bandpass filter.

This antibody gave a positive signal in wild-type HAP1 fixed with 4% formaldehyde (10 min) and then permeabilised with 0.1% PBS-Triton X-100 for 15 min under the same conditions.

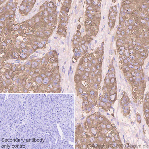
Immunohistochemistry (Formalin/PFA-fixed paraffin-embedded sections) - Anti-Acetyl Coenzyme A carboxylase alpha antibody [EPR23235-147] - BSA and Azide free (AB272704)
  • IHC-P

Lab

Immunohistochemistry (Formalin/PFA-fixed paraffin-embedded sections) - Anti-Acetyl Coenzyme A carboxylase alpha antibody [EPR23235-147] - BSA and Azide free (AB272704)

Immunohistochemical analysis of paraffin-embedded human breast carcinoma tissue labeling Acetyl Coenzyme A carboxylase alpha with ab269273 at 1/500 dilution followed by ready to use Rabbit specific IHC polymer detection kit HRP/DAB (ab209101). Cytoplasmic staining on human breast carcinoma (PMID : 21415164). The section was incubated with ab269273 for 30 mins at room temperature. The immunostaining was performed on a Leica Biosystems BOND® RX instrument. Counterstained with hematoxylin.

Secondary antibody only control : Secondary antibody is ready to use Rabbit specific IHC polymer detection kit HRP/DAB (ab209101).

Heat mediated antigen retrieval with Tris-EDTA buffer (pH 9.0, epitope retrieval solution2) for 20 mins.

This data was developed using the same antibody clone in a different buffer formulation containing PBS, BSA, glycerol, and sodium azide (ab269273).

Immunocytochemistry/ Immunofluorescence - Anti-Acetyl Coenzyme A carboxylase alpha antibody [EPR23235-147] - BSA and Azide free (AB272704)
  • ICC/IF

Lab

Immunocytochemistry/ Immunofluorescence - Anti-Acetyl Coenzyme A carboxylase alpha antibody [EPR23235-147] - BSA and Azide free (AB272704)

This image was produced using ab269273, the same clone but in a different formulation.

Immunofluorescent analysis of 4% Paraformaldehyde-fixed 0.1% Triton X-100 permeabilized Hap1 WT and Hap1-ACACA KO cells labelling Acetyl Coenzyme A carboxylase alpha with ab269273 at 1/500 dilution followed by ab150081 Goat Anti-Rabbit IgG H&L (Alexa Fluor® 488) preadsorbed antibody at 1/1000 2 μg/ml dilution (Green). Image showing cytoplasmic staining in Hap1 WT cell line. ab7291 Anti-alpha Tubulin antibody [DM1A] was used to counterstain tubulin at 1/1000 dilution (Magenta). The nuclear counterstain was DAPI (Blue).

Immunocytochemistry/ Immunofluorescence - Anti-Acetyl Coenzyme A carboxylase alpha antibody [EPR23235-147] - BSA and Azide free (AB272704)
  • ICC/IF

Unknown

Immunocytochemistry/ Immunofluorescence - Anti-Acetyl Coenzyme A carboxylase alpha antibody [EPR23235-147] - BSA and Azide free (AB272704)

Immunofluorescent analysis of 4% Paraformaldehyde-fixed, 0.1% Triton X-100 permeabilized 293T cells labelling Acetyl Coenzyme A carboxylase alpha with ab269273 at 1/50 dilution, followed by ab150077 Goat Anti-Rabbit IgG H&L (Alexa Fluor® 488) antibody at 1/1000 dilution (Green). Confocal image showing cytoplasmic staining in 293T cell line. ab195889 Anti-alpha Tubulin antibody [DM1A] - Microtubule Marker (Alexa Fluor® 594) was used to counterstain tubulin at 1/200 2.5 μg/ml dilution (Red). The nuclear counterstain was DAPI (Blue).

Secondary antibody only control : Secondary antibody is ab150077 Goat Anti-Rabbit IgG H&L (Alexa Fluor® 488) at 1/1000 dilution.

This data was developed using the same antibody clone in a different buffer formulation containing PBS, BSA, glycerol, and sodium azide (ab269273).

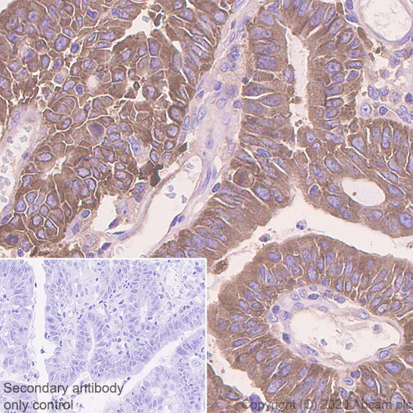
Immunohistochemistry (Formalin/PFA-fixed paraffin-embedded sections) - Anti-Acetyl Coenzyme A carboxylase alpha antibody [EPR23235-147] - BSA and Azide free (AB272704)
  • IHC-P

Lab

Immunohistochemistry (Formalin/PFA-fixed paraffin-embedded sections) - Anti-Acetyl Coenzyme A carboxylase alpha antibody [EPR23235-147] - BSA and Azide free (AB272704)

Immunohistochemical analysis of paraffin-embedded human endometrial carcinoma tissue labeling Acetyl Coenzyme A carboxylase alpha with ab269273 at 1/500 dilution followed by ready to use Rabbit specific IHC polymer detection kit HRP/DAB (ab209101). Cytoplasmic staining on human endometrial carcinoma. The section was incubated with ab269273 for 30 mins at room temperature. The immunostaining was performed on a Leica Biosystems BOND® RX instrument. Counterstained with hematoxylin.

Secondary antibody only control : Secondary antibody is ready to use Rabbit specific IHC polymer detection kit HRP/DAB (ab209101).

Heat mediated antigen retrieval with Tris-EDTA buffer (pH 9.0, epitope retrieval solution2) for 20 mins.

This data was developed using the same antibody clone in a different buffer formulation containing PBS, BSA, glycerol, and sodium azide (ab269273).

Flow Cytometry (Intracellular) - Anti-Acetyl Coenzyme A carboxylase alpha antibody [EPR23235-147] - BSA and Azide free (AB272704)
  • Flow Cyt (Intra)

Lab

Flow Cytometry (Intracellular) - Anti-Acetyl Coenzyme A carboxylase alpha antibody [EPR23235-147] - BSA and Azide free (AB272704)

Intracellular flow cytometric analysis of 4% paraformaldehyde fixed 90% methanol permeabilized C2C12 (Mouse myoblasts myoblast) cells labelling Acetyl Coenzyme A carboxylase alpha with ab269273 at 1/500 dilution (0.1μg) (Red) compared with a Rabbit monoclonal IgG (ab172730) (Black) isotype control and an unlabelled control (cells without incubation with primary antibody and secondary antibody) (Blue). A Goat anti rabbit IgG (Alexa Fluor®488, ab150077) at 1/2000 dilution was used as the secondary antibody.

This data was developed using the same antibody clone in a different buffer formulation containing PBS, BSA, glycerol, and sodium azide (ab269273).

Immunocytochemistry/ Immunofluorescence - Anti-Acetyl Coenzyme A carboxylase alpha antibody [EPR23235-147] - BSA and Azide free (AB272704)
  • ICC/IF

Lab

Immunocytochemistry/ Immunofluorescence - Anti-Acetyl Coenzyme A carboxylase alpha antibody [EPR23235-147] - BSA and Azide free (AB272704)

Immunofluorescent analysis of 4% Paraformaldehyde-fixed, 0.1% Triton X-100 permeabilized C2C12 cells labelling Acetyl Coenzyme A carboxylase alpha with ab269273 at 1/50 dilution, followed by ab150077 Goat Anti-Rabbit IgG H&L (Alexa Fluor®488) antibody at 1/1000 2 μg/ml dilution (Green). Confocal image showing cytoplasmic staining in C2C12 cell line. ab195889 Anti-alpha Tubulin antibody [DM1A] - Microtubule Marker (Alexa Fluor®594) was used to counterstain tubulin at 1/200 2.5 μg/ml dilution (Red). The nuclear counterstain was DAPI (Blue).

Secondary antibody only control : Secondary antibody is ab150077 Goat Anti-Rabbit IgG H&L (Alexa Fluor®488) at 1/1000 2 μg/ml dilution.

This data was developed using the same antibody clone in a different buffer formulation containing PBS, BSA, glycerol, and sodium azide (ab269273).

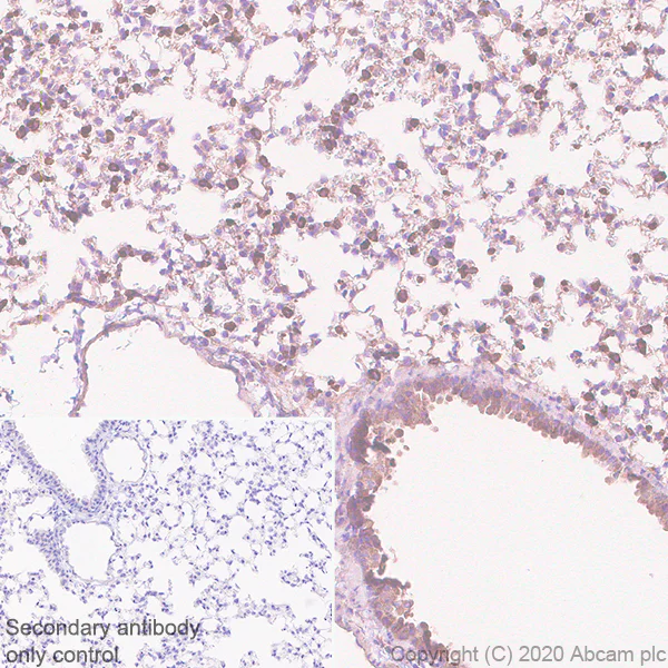
Immunohistochemistry (Formalin/PFA-fixed paraffin-embedded sections) - Anti-Acetyl Coenzyme A carboxylase alpha antibody [EPR23235-147] - BSA and Azide free (AB272704)
  • IHC-P

Lab

Immunohistochemistry (Formalin/PFA-fixed paraffin-embedded sections) - Anti-Acetyl Coenzyme A carboxylase alpha antibody [EPR23235-147] - BSA and Azide free (AB272704)

Immunohistochemical analysis of paraffin-embedded mouse lung tissue labeling Acetyl Coenzyme A carboxylase alpha with ab269273 at 1/500 dilution followed by ready to use Rabbit specific IHC polymer detection kit HRP/DAB (ab209101). Positive staining on mouse lung (PMID : 17521700). The section was incubated with ab269273 for 30 mins at room temperature. The immunostaining was performed on a Leica Biosystems BOND®RX instrument. Counterstained with hematoxylin.

Secondary antibody only control : Secondary antibody is ready to use Rabbit specific IHC polymer detection kit HRP/DAB (ab209101).

Heat mediated antigen retrieval with Tris-EDTA buffer (pH 9.0, epitope retrieval solution2) for 20 mins.

This data was developed using the same antibody clone in a different buffer formulation containing PBS, BSA, glycerol, and sodium azide (ab269273).

Immunohistochemistry (Formalin/PFA-fixed paraffin-embedded sections) - Anti-Acetyl Coenzyme A carboxylase alpha antibody [EPR23235-147] - BSA and Azide free (AB272704)
  • IHC-P

Unknown

Immunohistochemistry (Formalin/PFA-fixed paraffin-embedded sections) - Anti-Acetyl Coenzyme A carboxylase alpha antibody [EPR23235-147] - BSA and Azide free (AB272704)

Immunohistochemical analysis of paraffin-embedded rat lung tissue labeling Acetyl Coenzyme A carboxylase alpha with ab269273 at 1/500 dilution followed by ready to use Rabbit specific IHC polymer detection kit HRP/DAB (ab209101). Positive staining on rat lung (PMID : 17521700). The section was incubated with ab269273 for 30 mins at room temperature. The immunostaining was performed on a Leica Biosystems BOND® RX instrument. Counterstained with hematoxylin.

Secondary antibody only control : Secondary antibody is ready to use Rabbit specific IHC polymer detection kit HRP/DAB (ab209101).

Heat mediated antigen retrieval with Tris-EDTA buffer (pH 9.0, epitope retrieval solution2) for 20 mins.

This data was developed using the same antibody clone in a different buffer formulation containing PBS, BSA, glycerol, and sodium azide (ab269273).

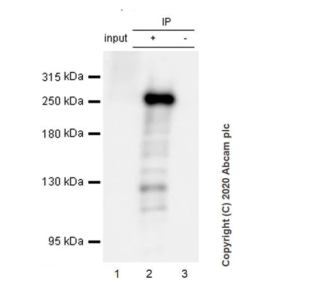
Immunoprecipitation - Anti-Acetyl Coenzyme A carboxylase alpha antibody [EPR23235-147] - BSA and Azide free (AB272704)
  • IP

Lab

Immunoprecipitation - Anti-Acetyl Coenzyme A carboxylase alpha antibody [EPR23235-147] - BSA and Azide free (AB272704)

Acetyl Coenzyme A carboxylase alpha was immunoprecipitated from 0.35 mg C2C12 (mouse myoblasts myoblast), whole cell lysate 10 μg with ab269273 at 1/30 dilution (2μg in 0.35mg lysates). Western blot was performed on the immunoprecipitate using ab269273 at 1/1000 dilution. VeriBlot for IP Detection Reagent (HRP)(ab131366) was used at 1/5000 dilution.

Lane 1 : C2C12 whole cell lysate 10 μg.

Lane 2 : ab269273 IP in C2C12 whole cell lysate 10 μg.

Lane 3 : Rabbit monoclonal IgG (ab172730) instead of ab269273 in C2C12 whole cell lysate.

Blocking and dilution buffer and concentration : 5% NFDM/TBST.

Exposure time : 5 seconds.

This data was developed using the same antibody clone in a different buffer formulation containing PBS, BSA, glycerol, and sodium azide (ab269273).

All lanes:

Immunoprecipitation - Anti-Acetyl Coenzyme A carboxylase alpha antibody [EPR23235-147] (<a href='/en-us/products/primary-antibodies/acetyl-coenzyme-a-carboxylase-alpha-antibody-epr23235-147-ab269273'>ab269273</a>)

Predicted band size: 265 kDa

false

Immunoprecipitation - Anti-Acetyl Coenzyme A carboxylase alpha antibody [EPR23235-147] - BSA and Azide free (AB272704)
  • IP

Lab

Immunoprecipitation - Anti-Acetyl Coenzyme A carboxylase alpha antibody [EPR23235-147] - BSA and Azide free (AB272704)

Acetyl Coenzyme A carboxylase alpha was immunoprecipitated from 0.35 mg 293T (human embryonic kidney epithelial cell), whole cell lysate 10 μg with ab269273 at 1/30 dilution (2μg in 0.35mg lysates). Western blot was performed on the immunoprecipitate using ab269273 at 1/1000 dilution. VeriBlot for IP Detection Reagent (HRP)(ab131366) was used at 1/5000 dilution.

Lane 1 : 293T whole cell lysate 10 μg.

Lane 2 : ab269273 IP in 293T whole cell lysate.

Lane 3 : Rabbit monoclonal IgG (ab172730) instead of ab269273 in 293T whole cell lysate.

Blocking and dilution buffer and concentration : 5% NFDM/TBST.

Exposure time : 5 seconds.

This data was developed using the same antibody clone in a different buffer formulation containing PBS, BSA, glycerol, and sodium azide (ab269273).

All lanes:

Immunoprecipitation - Anti-Acetyl Coenzyme A carboxylase alpha antibody [EPR23235-147] (<a href='/en-us/products/primary-antibodies/acetyl-coenzyme-a-carboxylase-alpha-antibody-epr23235-147-ab269273'>ab269273</a>)

Predicted band size: 265 kDa

false

  • Unconjugated

    Anti-Acetyl Coenzyme A carboxylase alpha antibody [EPR23235-147]

Key facts

Host species

Rabbit

Clonality

Monoclonal

Clone number

EPR23235-147

Isotype

IgG

Carrier free

Yes

Reacts with

Mouse, Rat, Human

Applications

IHC-P, IP, Flow Cyt (Intra), WB, ICC/IF

applications

Immunogen

The exact immunogen used to generate this antibody is proprietary information.

Reactivity data

{ "title": "Reactivity Data", "filters": { "stats": ["", "Species", "Dilution Info", "Notes"], "tabs": { "all-applications": {"fullname" : "All Applications", "shortname": "All Applications"}, "IP" : {"fullname" : "Immunoprecipitation", "shortname":"IP"}, "WB" : {"fullname" : "Western blot", "shortname":"WB"}, "ICCIF" : {"fullname" : "Immunocytochemistry/ Immunofluorescence", "shortname":"ICC/IF"}, "IHCFr" : {"fullname" : "Immunohistochemistry (Frozen sections)", "shortname":"IHC-Fr"}, "FlowCytIntra" : {"fullname" : "Flow Cytometry (Intracellular)", "shortname":"Flow Cyt (Intra)"}, "IHCP" : {"fullname" : "Immunohistochemistry (Formalin/PFA-fixed paraffin-embedded sections)", "shortname":"IHC-P"} }, "product-promise": { "all": "all", "testedAndGuaranteed": "tested", "guaranteed": "expected", "predicted": "predicted", "notRecommended": "not-recommended" } }, "values": { "Human": { "IP-species-checked": "testedAndGuaranteed", "IP-species-dilution-info": "", "IP-species-notes": "<p></p>", "WB-species-checked": "guaranteed", "WB-species-dilution-info": "", "WB-species-notes": "<p></p>", "ICCIF-species-checked": "testedAndGuaranteed", "ICCIF-species-dilution-info": "", "ICCIF-species-notes": "<p></p>", "IHCFr-species-checked": "notRecommended", "IHCFr-species-dilution-info": "", "IHCFr-species-notes": "<p></p>", "FlowCytIntra-species-checked": "testedAndGuaranteed", "FlowCytIntra-species-dilution-info": "", "FlowCytIntra-species-notes": "<p></p>", "IHCP-species-checked": "testedAndGuaranteed", "IHCP-species-dilution-info": "", "IHCP-species-notes": "<p></p> Perform heat-mediated antigen retrieval with Tris/EDTA buffer pH 9.0 before commencing with IHC staining protocol." }, "Mouse": { "IP-species-checked": "testedAndGuaranteed", "IP-species-dilution-info": "", "IP-species-notes": "<p></p>", "WB-species-checked": "guaranteed", "WB-species-dilution-info": "", "WB-species-notes": "<p></p>", "ICCIF-species-checked": "testedAndGuaranteed", "ICCIF-species-dilution-info": "", "ICCIF-species-notes": "<p></p>", "IHCFr-species-checked": "notRecommended", "IHCFr-species-dilution-info": "", "IHCFr-species-notes": "<p></p>", "FlowCytIntra-species-checked": "testedAndGuaranteed", "FlowCytIntra-species-dilution-info": "", "FlowCytIntra-species-notes": "<p></p>", "IHCP-species-checked": "testedAndGuaranteed", "IHCP-species-dilution-info": "", "IHCP-species-notes": "<p></p> Perform heat-mediated antigen retrieval with Tris/EDTA buffer pH 9.0 before commencing with IHC staining protocol." }, "Rat": { "IP-species-checked": "guaranteed", "IP-species-dilution-info": "", "IP-species-notes": "", "WB-species-checked": "guaranteed", "WB-species-dilution-info": "", "WB-species-notes": "<p></p>", "ICCIF-species-checked": "guaranteed", "ICCIF-species-dilution-info": "", "ICCIF-species-notes": "", "IHCFr-species-checked": "notRecommended", "IHCFr-species-dilution-info": "", "IHCFr-species-notes": "<p></p>", "FlowCytIntra-species-checked": "guaranteed", "FlowCytIntra-species-dilution-info": "", "FlowCytIntra-species-notes": "", "IHCP-species-checked": "testedAndGuaranteed", "IHCP-species-dilution-info": "", "IHCP-species-notes": "<p></p> Perform heat-mediated antigen retrieval with Tris/EDTA buffer pH 9.0 before commencing with IHC staining protocol." } } }

Product details

What is this antibody validated in?
Anti-Acetyl Coenzyme A carboxylase alpha antibody [EPR23235-147] - BSA and Azide free (ab272704) is a rabbit recombinant monoclonal antibody and is validated for use in Western Blot (WB), Flow Cytometry (Intra), Flow Cytometry (Flow Cyt), Immunoprecipitation (IP), Immunohistochemistry (IHC-P), Immunocytochemistry/immunofluorescence (ICC/IF) in Human, Mouse, Rat samples.

What is the molecular weight of Acetyl Coenzyme A carboxylase alpha?
Anti-Acetyl Coenzyme A carboxylase alpha [EPR23235-147] - BSA and Azide free (ab272704) specifically detects a band for Acetyl Coenzyme A carboxylase alpha (UniProt: Q13085) at a molecular weight of 265kDa.

Other related products
We have a range of other formats of antibody clone [EPR23235-147] also available for your convenience: ab269273, Carrier free - ab272704

Patented technology
Our RabMAb® technology is a patented hybridoma-based technology for making rabbit monoclonal antibodies. For details on our patents, please refer to RabMAb® patents.

What are the advantages of a recombinant monoclonal antibody?
This product is a recombinant monoclonal antibody, which offers several advantages including:

  • - High batch-to-batch consistency and reproducibility
  • - Improved sensitivity and specificity
  • - Long-term security of supply
  • - Animal-free batch production

For more information, read more on recombinant antibodies.

Conjugation ready
Our carrier-free antibodies are typically supplied in a PBS-only formulation, purified and free of BSA, sodium azide and glycerol. This conjugation-ready format is designed for use with fluorochromes, metal isotopes, oligonucleotides, and enzymes, which makes them ideal for antibody labelling, functional and cell-based assays, flow-based assays (e.g. mass cytometry) and Multiplex Imaging applications.

Use our conjugation kits for antibody conjugates that are ready-to-use in as little as 20 minutes with 1 minute hands-on-time and 100% antibody recovery: available for fluorescent dyes, HRP, biotin and gold.

Compatibility
This product is compatible with the Maxpar® Antibody Labeling Kit from Fluidigm, without the need for antibody preparation. Maxpar® is a trademark of Fluidigm Canada Inc.

Properties and storage information

Form
Liquid
Purification technique
Affinity purification Protein A
Storage buffer
pH: 7.2 - 7.4 Constituents: PBS
Shipped at conditions
Blue Ice
Appropriate short-term storage conditions
+4°C
Appropriate long-term storage conditions
+4°C
Storage information
Do Not Freeze

Supplementary information

This supplementary information is collated from multiple sources and compiled automatically.

Acetyl Coenzyme A Carboxylase Alpha also known as ACC1 is an important enzyme in fatty acid metabolism. It catalyzes the carboxylation of acetyl CoA to form malonyl CoA a critical step in fatty acid synthesis. ACC1 is a large protein with a mass of approximately 265 kDa and is mainly expressed in lipogenic tissues such as liver and adipose tissue. Additional isoforms have been identified with distinct tissue distribution patterns which allow for the regulation of fatty acid metabolism across different tissues.
Biological function summary

Acetyl Coenzyme A Carboxylase Alpha controls the availability of malonyl CoA serving as an important regulator of de novo lipogenesis. It functions as part of a homodimeric complex which is necessary for its optimal enzymatic activity. This regulation contributes to the balance of energy storage and consumption in cells. ACC1 not only facilitates the synthesis of long-chain fatty acids but also coordinates with other cellular processes that depend on lipid availability.

Pathways

ACC1 plays a central role in the fatty acid biosynthesis and energy metabolism pathways. It acts in concert with fatty acid synthase to promote production of fatty acids. ACC1's activity is modulated by several factors including AMP-activated protein kinase (AMPK) which phosphorylates ACC1 leading to its inhibition when energy levels are low. This positioning within the metabolism pathways makes ACC1 a critical point for controlling lipid biosynthesis in response to nutritional and hormonal signals.

Alterations in the activity of Acetyl Coenzyme A Carboxylase Alpha are implicated in conditions such as obesity and type 2 diabetes. Dysregulation of ACC1 leads to aberrant lipid accumulation in tissues contributing to obesity-related insulin resistance. Furthermore the link between ACC1 and fatty acid metabolism associates it with metabolic syndromes. The potential of ACC1 as a pharmacological target has led to research exploring its inhibition as a therapeutic strategy for these metabolic disorders.

Product protocols

For this product, it's our understanding that no specific protocols are required. You can visit:

Target data

Cytosolic enzyme that catalyzes the carboxylation of acetyl-CoA to malonyl-CoA, the first and rate-limiting step of de novo fatty acid biosynthesis (PubMed : 20457939, PubMed : 20952656, PubMed : 29899443). This is a 2 steps reaction starting with the ATP-dependent carboxylation of the biotin carried by the biotin carboxyl carrier (BCC) domain followed by the transfer of the carboxyl group from carboxylated biotin to acetyl-CoA (PubMed : 20457939, PubMed : 20952656, PubMed : 29899443).
See full target information ACACA

Publications (5)

Recent publications for all applications. Explore the full list and refine your search

Nature 644:790-798 PubMed40533564

2025

Kupffer cell programming by maternal obesity triggers fatty liver disease.

Applications

Unspecified application

Species

Unspecified reactive species

Hao Huang,Nora R Balzer,Lea Seep,Iva Splichalova,Nelli Blank-Stein,Maria Francesca Viola,Eliana Franco Taveras,Kerim Acil,Diana Fink,Franzisca Petrovic,Nikola Makdissi,Seyhmus Bayar,Katharina Mauel,Carolin Radwaniak,Jelena Zurkovic,Amir H Kayvanjoo,Klaus Wunderling,Malin Jessen,Mohamed H Yaghmour,Lukas Kenner,Thomas Ulas,Stephan Grein,Joachim L Schultze,Charlotte L Scott,Martin Guilliams,Zhaoyuan Liu,Florent Ginhoux,Marc D Beyer,Christoph Thiele,Felix Meissner,Jan Hasenauer,Dagmar Wachten,Elvira Mass

European journal of immunology 55:e202451586 PubMed40170376

2025

IgA2 ACPA Drives a Hyper-Inflammatory Phenotype in Macrophages via ATP Synthase and COX2.

Applications

Unspecified application

Species

Unspecified reactive species

Luís Almeida,Alice Bacon,Mohan Ghorasaini,Alwin J van der Ham,René E M Toes,Martin Giera,Bart Everts

The Journal of clinical investigation 134: PubMed38954588

2024

Inhibiting the NADase CD38 improves cytomegalovirus-specific CD8+ T cell functionality and metabolism.

Applications

Unspecified application

Species

Unspecified reactive species

Nils Mülling,Felix M Behr,Graham A Heieis,Kristina Boss,Suzanne van Duikeren,Floortje J van Haften,Iris N Pardieck,Esmé Ti van der Gracht,Ward Vleeshouwers,Tetje C van der Sluis,J Fréderique de Graaf,Dominique Mb Veerkamp,Kees Lmc Franken,Xin Lei,Lukas van de Sand,Sjoerd H van der Burg,Marij Jp Welters,Sebastiaan Heidt,Wesley Huisman,Simon P Jochems,Martin Giera,Oliver Witzke,Aiko Pj de Vries,Andreas Kribben,Bart Everts,Benjamin Wilde,Ramon Arens

Nature communications 14:5627 PubMed37699869

2023

Metabolic heterogeneity of tissue-resident macrophages in homeostasis and during helminth infection.

Applications

Flow Cyt (Intra)

Species

Mouse

Graham A Heieis,Thiago A Patente,Luís Almeida,Frank Vrieling,Tamar Tak,Georgia Perona-Wright,Rick M Maizels,Rinke Stienstra,Bart Everts

Cell reports 40:111032 PubMed35793635

2022

mTORC1 signaling in antigen-presenting cells of the skin restrains CD8 T cell priming.

Applications

Unspecified application

Species

Unspecified reactive species

Leonard R Pelgrom,Thiago A Patente,Frank Otto,Lonneke V Nouwen,Arifa Ozir-Fazalalikhan,Alwin J van der Ham,Hendrik J P van der Zande,Graham A Heieis,Ramon Arens,Bart Everts
View all publications

Product promise

We are committed to supporting your work with high-quality reagents, and we're here for you every step of the way. In the unlikely event that one of our products does not perform as expected, you're protected by our Product Promise.
For full details, please see our Terms & Conditions

Please note: All products are 'FOR RESEARCH USE ONLY. NOT FOR USE IN DIAGNOSTIC OR THERAPEUTIC PROCEDURES'.

For licensing inquiries, please contact partnerships@abcam.com