JavaScript is disabled in your browser. Please enable JavaScript to view this website.
AB269272

Anti-Acetyl Coenzyme A carboxylase alpha antibody [EPR23235-47]

  • BOND RX™ Validated
  • 20ul selling size
  • RabMAb
  • Recombinant
  • KO Validated
  • What is this?

Be the first to review this product! Submit a review

|

(0 Publication)

Rabbit Recombinant Monoclonal ACACA antibody. Suitable for IP, WB, ICC/IF, Flow Cyt (Intra), IHC-P and reacts with Mouse, Human, Rat samples.

View Alternative Names

ACAC, ACC1, ACCA, ACACA, Acetyl-CoA carboxylase 1, Acetyl-Coenzyme A carboxylase alpha, ACC-alpha

11 Images
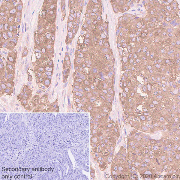
Immunohistochemistry (Formalin/PFA-fixed paraffin-embedded sections) - Anti-Acetyl Coenzyme A carboxylase alpha antibody [EPR23235-47] (AB269272)
  • IHC-P

Lab

Immunohistochemistry (Formalin/PFA-fixed paraffin-embedded sections) - Anti-Acetyl Coenzyme A carboxylase alpha antibody [EPR23235-47] (AB269272)

Immunohistochemical analysis of paraffin-embedded human breast carcinoma tissue labeling Acetyl Coenzyme A carboxylase alpha with ab269272 at 1/500 dilution followed by ready to use Rabbit specific IHC polymer detection kit HRP/DAB (ab209101). Cytoplasmic staining on human breast carcinoma (PMID : 21415164). The section was incubated with ab269272 for 30 mins at room temperature. The immunostaining was performed on a Leica Biosystems BOND® RX instrument. Counterstained with hematoxylin.

Secondary antibody only control : Secondary antibody is ready to use Rabbit specific IHC polymer detection kit HRP/DAB (ab209101).

Heat mediated antigen retrieval with Tris-EDTA buffer (pH 9.0, epitope retrieval solution2) for 20 mins.

Flow Cytometry (Intracellular) - Anti-Acetyl Coenzyme A carboxylase alpha antibody [EPR23235-47] (AB269272)
  • Flow Cyt (Intra)

Lab

Flow Cytometry (Intracellular) - Anti-Acetyl Coenzyme A carboxylase alpha antibody [EPR23235-47] (AB269272)

Intracellular flow cytometric analysis of 4% paraformaldehyde fixed 90% methanol permeabilized 293T (Human embryonic kidney epithelial cell) cells labelling Acetyl Coenzyme A carboxylase alpha with ab269272 at 1/500 dilution (0.1μg) (Red) compared with a Rabbit monoclonal IgG (ab172730) (Black) isotype control and an unlabelled control (cells without incubation with primary antibody and secondary antibody) (Blue). A Goat anti rabbit IgG (Alexa Fluor® 488, ab150077) at 1/2000 dilution was used as the secondary antibody.

Immunocytochemistry/ Immunofluorescence - Anti-Acetyl Coenzyme A carboxylase alpha antibody [EPR23235-47] (AB269272)
  • ICC/IF

Lab

Immunocytochemistry/ Immunofluorescence - Anti-Acetyl Coenzyme A carboxylase alpha antibody [EPR23235-47] (AB269272)

Immunofluorescent analysis of 4% Paraformaldehyde-fixed, 0.1% Triton X-100 permeabilized 293T cells labelling Acetyl Coenzyme A carboxylase alpha with ab269272 at 1/50 dilution, followed by ab150077 Goat Anti-Rabbit IgG H&L (Alexa Fluor® 488) antibody at 1/1000 2 μg/ml dilution (Green). Confocal image showing cytoplasmic staining in 293T cell line. ab195889 Anti-alpha Tubulin antibody [DM1A] - Microtubule Marker (Alexa Fluor® 594) was used to counterstain tubulin at 1/200 2.5 μg/ml dilution (Red). The nuclear counterstain was DAPI (Blue).

Secondary antibody only control : Secondary antibody is ab150077 Goat Anti-Rabbit IgG H&L (Alexa Fluor® 488) at 1/1000 2 μg/ml dilution.

Flow Cytometry (Intracellular) - Anti-Acetyl Coenzyme A carboxylase alpha antibody [EPR23235-47] (AB269272)
  • Flow Cyt (Intra)

Lab

Flow Cytometry (Intracellular) - Anti-Acetyl Coenzyme A carboxylase alpha antibody [EPR23235-47] (AB269272)

Flow cytometry overlay histogram showing wild-type HAP1 (green line) and ACACA knockout HAP1 stained with ab269272 (magenta line). The cells were fixed with 4% formaldehyde (10 min) and then permeabilised with 0.1% PBS-Triton X-100 for 15 min. The cells were then incubated in 1x PBS containing 10% normal goat serum to block non-specific protein-protein interaction followed by the antibody (ab269272) (1x 106 in 100μl at 0.04 μg/ml (1/13975 dilution)) for 30min at 22°C.

The secondary antibody Goat Anti-Rabbit IgG H&L (Alexa Fluor® 488) preadsorbed was incubated at 1/4000 dilution for 30min at 22°C.

Isotype control antibody was Recombinant Rabbit IgG, monoclonal [EPR25A] - Isotype Control in HAP1 WT cells (black line) and HAP1-ACACA KO cells (grey line), used at the same concentration and conditions as the primary antibody.

Acquisition of >5000 events were collected using a 50 mW Blue laser (488nm) and 525/40 bandpass filter.

This antibody gave a positive signal in wild-type HAP1 fixed with 80% methanol (5 min) and then permeabilised with 0.1% PBS-Triton X-100 for 15 min under the same conditions.

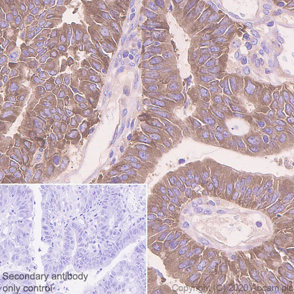
Immunohistochemistry (Formalin/PFA-fixed paraffin-embedded sections) - Anti-Acetyl Coenzyme A carboxylase alpha antibody [EPR23235-47] (AB269272)
  • IHC-P

Lab

Immunohistochemistry (Formalin/PFA-fixed paraffin-embedded sections) - Anti-Acetyl Coenzyme A carboxylase alpha antibody [EPR23235-47] (AB269272)

Immunohistochemical analysis of paraffin-embedded human endometrial carcinoma tissue labeling Acetyl Coenzyme A carboxylase alpha with ab269272 at 1/500 dilution followed by ready to use Rabbit specific IHC polymer detection kit HRP/DAB (ab209101). Cytoplasmic staining on human endometrial carcinoma. The section was incubated with ab269272 for 30 mins at room temperature. The immunostaining was performed on a Leica Biosystems BOND® RX instrument. Counterstained with hematoxylin.

Secondary antibody only control : Secondary antibody is ready to use Rabbit specific IHC polymer detection kit HRP/DAB (ab209101).

Heat mediated antigen retrieval with Tris-EDTA buffer (pH 9.0, epitope retrieval solution2) for 20 mins.

Immunoprecipitation - Anti-Acetyl Coenzyme A carboxylase alpha antibody [EPR23235-47] (AB269272)
  • IP

Lab

Immunoprecipitation - Anti-Acetyl Coenzyme A carboxylase alpha antibody [EPR23235-47] (AB269272)

Acetyl Coenzyme A carboxylase alpha was immunoprecipitated from 0.35 mg 293T (human embryonic kidney epithelial cell), whole cell lysate 10 μg with ab269272 at 1/30 dilution (2μg in 0.35mg lysates). Western blot was performed on the immunoprecipitate using ab269272 at 1/1000 dilution. VeriBlot for IP Detection Reagent (HRP)(ab131366) was used at 1/5000 dilution.

Lane 1 : 293T whole cell lysate 10 μg.

Lane 2 : ab269272 IP in 293T whole cell lysate.

Lane 3 : Rabbit monoclonal IgG (ab172730) instead of ab269272 in 293T whole cell lysate.

Blocking and dilution buffer and concentration : 5% NFDM/TBST.

Exposure time : 8 seconds.

All lanes:

Immunoprecipitation - Anti-Acetyl Coenzyme A carboxylase alpha antibody [EPR23235-47] (ab269272)

Predicted band size: 265 kDa

false

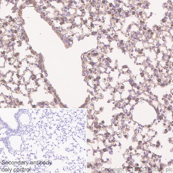
Immunohistochemistry (Formalin/PFA-fixed paraffin-embedded sections) - Anti-Acetyl Coenzyme A carboxylase alpha antibody [EPR23235-47] (AB269272)
  • IHC-P

Lab

Immunohistochemistry (Formalin/PFA-fixed paraffin-embedded sections) - Anti-Acetyl Coenzyme A carboxylase alpha antibody [EPR23235-47] (AB269272)

Immunohistochemical analysis of paraffin-embedded mouse lung tissue labeling Acetyl Coenzyme A carboxylase alpha with ab269272 at 1/500 dilution followed by ready to use Rabbit specific IHC polymer detection kit HRP/DAB (ab209101). Positive staining on mouse lung (PMID : 17521700). The section was incubated with ab269272 for 30 mins at room temperature. The immunostaining was performed on a Leica Biosystems BOND® RX instrument. Counterstained with hematoxylin.

Secondary antibody only control : Secondary antibody is ready to use Rabbit specific IHC polymer detection kit HRP/DAB (ab209101).

Heat mediated antigen retrieval with Tris-EDTA buffer (pH 9.0, epitope retrieval solution2) for 20 mins.

Immunocytochemistry/ Immunofluorescence - Anti-Acetyl Coenzyme A carboxylase alpha antibody [EPR23235-47] (AB269272)
  • ICC/IF

Lab

Immunocytochemistry/ Immunofluorescence - Anti-Acetyl Coenzyme A carboxylase alpha antibody [EPR23235-47] (AB269272)

Immunofluorescent analysis of 4% Paraformaldehyde-fixed, 0.1% Triton X-100 permeabilized C2C12 cells labelling Acetyl Coenzyme A carboxylase alpha with ab269272 at 1/50 dilution, followed by ab150077 Goat Anti-Rabbit IgG H&L (Alexa Fluor® 488) antibody at 1/1000 2 μg/ml dilution (Green). Confocal image showing cytoplasmic staining in C2C12 cell line. ab195889 Anti-alpha Tubulin antibody [DM1A] - Microtubule Marker (Alexa Fluor® 594) was used to counterstain tubulin at 1/200 2.5 μg/ml dilution (Red). The nuclear counterstain was DAPI (Blue).

Secondary antibody only control : Secondary antibody is ab150077 Goat Anti-Rabbit IgG H&L (Alexa Fluor® 488) at 1/1000 2 μg/ml dilution.

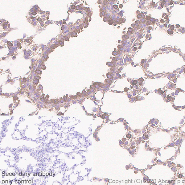
Immunohistochemistry (Formalin/PFA-fixed paraffin-embedded sections) - Anti-Acetyl Coenzyme A carboxylase alpha antibody [EPR23235-47] (AB269272)
  • IHC-P

Lab

Immunohistochemistry (Formalin/PFA-fixed paraffin-embedded sections) - Anti-Acetyl Coenzyme A carboxylase alpha antibody [EPR23235-47] (AB269272)

Immunohistochemical analysis of paraffin-embedded rat lung tissue labeling Acetyl Coenzyme A carboxylase alpha with ab269272 at 1/500 dilution followed by ready to use Rabbit specific IHC polymer detection kit HRP/DAB (ab209101). Positive staining on rat lung (PMID : 17521700). The section was incubated with ab269272 for 30 mins at room temperature. The immunostaining was performed on a Leica Biosystems BOND® RX instrument. Counterstained with hematoxylin.

Secondary antibody only control : Secondary antibody is ready to use Rabbit specific IHC polymer detection kit HRP/DAB (ab209101).

Heat mediated antigen retrieval with Tris-EDTA buffer (pH 9.0, epitope retrieval solution2) for 20 mins.

Immunoprecipitation - Anti-Acetyl Coenzyme A carboxylase alpha antibody [EPR23235-47] (AB269272)
  • IP

Lab

Immunoprecipitation - Anti-Acetyl Coenzyme A carboxylase alpha antibody [EPR23235-47] (AB269272)

Acetyl Coenzyme A carboxylase alpha was immunoprecipitated from 0.35 mg C2C12 (mouse myoblasts myoblast), whole cell lysate 10 μg with ab269272 at 1/30 dilution (2μg in 0.35mg lysates). Western blot was performed on the immunoprecipitate using ab269272 at 1/1000 dilution. VeriBlot for IP Detection Reagent (HRP)(ab131366) was used at 1/5000 dilution.

Lane 1 : C2C12 whole cell lysate 10 μg.

Lane 2 : ab269272 IP in C2C12 whole cell lysate 10 μg.

Lane 3 : Rabbit monoclonal IgG (ab172730) instead of ab269272 in C2C12 whole cell lysate.

Blocking and dilution buffer and concentration : 5% NFDM/TBST.

Exposure time : 8 seconds.

All lanes:

Immunoprecipitation - Anti-Acetyl Coenzyme A carboxylase alpha antibody [EPR23235-47] (ab269272)

Predicted band size: 265 kDa

false

Western blot - Anti-Acetyl Coenzyme A carboxylase alpha antibody [EPR23235-47] (AB269272)
  • WB

Lab

Western blot - Anti-Acetyl Coenzyme A carboxylase alpha antibody [EPR23235-47] (AB269272)

Blocking and diluting buffer and concentration : 5% NFDM/TBST.

Exposure time : Lane 1, 4 : 48 seconds; Lane 2, 3 : 26 seconds.

All lanes:

Western blot - Anti-Acetyl Coenzyme A carboxylase alpha antibody [EPR23235-47] (ab269272) at 1/5000 dilution

Lane 1:

293T (human embryonic kidney epithelial cell), whole cell lysate, in the loading buffer containing double DTT at 20 µg

Lane 2:

HeLa (human cervix adenocarcinoma epithelial cell), whole cell lysate, in the loading buffer containing double DTT at 20 µg

Lane 3:

PC-12 (rat adrenal gland pheochromocytoma), whole cell lysate, in the loading buffer containing double DTT at 20 µg

Lane 4:

C2C12 (mouse myoblasts myoblast), whole cell lysate, in the loading buffer containing double DTT at 20 µg

Secondary

All lanes:

Goat Anti-Rabbit IgG, (H+L), Peroxidase conjugated (<a href='/en-us/products/secondary-antibodies/goat-rabbit-igg-h-l-hrp-ab97051'>ab97051</a>) at 1/100000 dilution

Predicted band size: 265 kDa

Observed band size: 265 kDa

false

  • Carrier free

    Anti-Acetyl Coenzyme A carboxylase alpha antibody [EPR23235-47] - BSA and Azide free

Key facts

Host species

Rabbit

Clonality

Monoclonal

Clone number

EPR23235-47

Isotype

IgG

Carrier free

No

Reacts with

Mouse, Rat, Human

Applications

Flow Cyt (Intra), WB, IHC-P, ICC/IF, IP

applications

Immunogen

The exact immunogen used to generate this antibody is proprietary information.

Reactivity data

{ "title": "Reactivity Data", "filters": { "stats": ["", "Species", "Dilution Info", "Notes"], "tabs": { "all-applications": {"fullname" : "All Applications", "shortname": "All Applications"}, "IP" : {"fullname" : "Immunoprecipitation", "shortname":"IP"}, "WB" : {"fullname" : "Western blot", "shortname":"WB"}, "ICCIF" : {"fullname" : "Immunocytochemistry/ Immunofluorescence", "shortname":"ICC/IF"}, "IHCFr" : {"fullname" : "Immunohistochemistry (Frozen sections)", "shortname":"IHC-Fr"}, "FlowCytIntra" : {"fullname" : "Flow Cytometry (Intracellular)", "shortname":"Flow Cyt (Intra)"}, "IHCP" : {"fullname" : "Immunohistochemistry (Formalin/PFA-fixed paraffin-embedded sections)", "shortname":"IHC-P"} }, "product-promise": { "all": "all", "testedAndGuaranteed": "tested", "guaranteed": "expected", "predicted": "predicted", "notRecommended": "not-recommended" } }, "values": { "Human": { "IP-species-checked": "testedAndGuaranteed", "IP-species-dilution-info": "1/30", "IP-species-notes": "<p></p>", "WB-species-checked": "testedAndGuaranteed", "WB-species-dilution-info": "1/5000", "WB-species-notes": "<p></p>", "ICCIF-species-checked": "testedAndGuaranteed", "ICCIF-species-dilution-info": "1/50", "ICCIF-species-notes": "<p></p>", "IHCFr-species-checked": "notRecommended", "IHCFr-species-dilution-info": "", "IHCFr-species-notes": "", "FlowCytIntra-species-checked": "testedAndGuaranteed", "FlowCytIntra-species-dilution-info": "1/500 - 1/13975", "FlowCytIntra-species-notes": "<p></p>", "IHCP-species-checked": "testedAndGuaranteed", "IHCP-species-dilution-info": "1/500", "IHCP-species-notes": "<p></p> Perform heat-mediated antigen retrieval with Tris/EDTA buffer pH 9.0 before commencing with IHC staining protocol." }, "Mouse": { "IP-species-checked": "testedAndGuaranteed", "IP-species-dilution-info": "1/30", "IP-species-notes": "<p></p>", "WB-species-checked": "testedAndGuaranteed", "WB-species-dilution-info": "1/5000", "WB-species-notes": "<p></p>", "ICCIF-species-checked": "testedAndGuaranteed", "ICCIF-species-dilution-info": "1/50", "ICCIF-species-notes": "<p></p>", "IHCFr-species-checked": "notRecommended", "IHCFr-species-dilution-info": "", "IHCFr-species-notes": "<p></p>", "FlowCytIntra-species-checked": "guaranteed", "FlowCytIntra-species-dilution-info": "", "FlowCytIntra-species-notes": "", "IHCP-species-checked": "testedAndGuaranteed", "IHCP-species-dilution-info": "1/500", "IHCP-species-notes": "<p></p> Perform heat-mediated antigen retrieval with Tris/EDTA buffer pH 9.0 before commencing with IHC staining protocol." }, "Rat": { "IP-species-checked": "guaranteed", "IP-species-dilution-info": "", "IP-species-notes": "", "WB-species-checked": "testedAndGuaranteed", "WB-species-dilution-info": "1/5000", "WB-species-notes": "<p></p>", "ICCIF-species-checked": "guaranteed", "ICCIF-species-dilution-info": "", "ICCIF-species-notes": "", "IHCFr-species-checked": "notRecommended", "IHCFr-species-dilution-info": "", "IHCFr-species-notes": "<p></p>", "FlowCytIntra-species-checked": "guaranteed", "FlowCytIntra-species-dilution-info": "", "FlowCytIntra-species-notes": "", "IHCP-species-checked": "testedAndGuaranteed", "IHCP-species-dilution-info": "1/500", "IHCP-species-notes": "<p></p> Perform heat-mediated antigen retrieval with Tris/EDTA buffer pH 9.0 before commencing with IHC staining protocol." } } }

Product details

Patented technology
Our RabMAb® technology is a patented hybridoma-based technology for making rabbit monoclonal antibodies. For details on our patents, please refer to RabMAb® patents.

What are the advantages of a recombinant monoclonal antibody?
This product is a recombinant monoclonal antibody, which offers several advantages including:

  • - High batch-to-batch consistency and reproducibility
  • - Improved sensitivity and specificity
  • - Long-term security of supply
  • - Animal-free batch production

For more information, read more on recombinant antibodies.

Properties and storage information

Form
Liquid
Purification technique
Affinity purification Protein A
Storage buffer
pH: 7.2 - 7.4 Preservative: 0.01% Sodium azide Constituents: PBS, 40% Glycerol (glycerin, glycerine), 0.05% BSA
Shipped at conditions
Blue Ice
Appropriate short-term storage duration
1-2 weeks
Appropriate short-term storage conditions
+4°C
Appropriate long-term storage conditions
-20°C
Aliquoting information
Upon delivery aliquot
Storage information
Avoid freeze / thaw cycle

Supplementary information

This supplementary information is collated from multiple sources and compiled automatically.

Acetyl Coenzyme A Carboxylase Alpha also known as ACC1 is an important enzyme in fatty acid metabolism. It catalyzes the carboxylation of acetyl CoA to form malonyl CoA a critical step in fatty acid synthesis. ACC1 is a large protein with a mass of approximately 265 kDa and is mainly expressed in lipogenic tissues such as liver and adipose tissue. Additional isoforms have been identified with distinct tissue distribution patterns which allow for the regulation of fatty acid metabolism across different tissues.
Biological function summary

Acetyl Coenzyme A Carboxylase Alpha controls the availability of malonyl CoA serving as an important regulator of de novo lipogenesis. It functions as part of a homodimeric complex which is necessary for its optimal enzymatic activity. This regulation contributes to the balance of energy storage and consumption in cells. ACC1 not only facilitates the synthesis of long-chain fatty acids but also coordinates with other cellular processes that depend on lipid availability.

Pathways

ACC1 plays a central role in the fatty acid biosynthesis and energy metabolism pathways. It acts in concert with fatty acid synthase to promote production of fatty acids. ACC1's activity is modulated by several factors including AMP-activated protein kinase (AMPK) which phosphorylates ACC1 leading to its inhibition when energy levels are low. This positioning within the metabolism pathways makes ACC1 a critical point for controlling lipid biosynthesis in response to nutritional and hormonal signals.

Alterations in the activity of Acetyl Coenzyme A Carboxylase Alpha are implicated in conditions such as obesity and type 2 diabetes. Dysregulation of ACC1 leads to aberrant lipid accumulation in tissues contributing to obesity-related insulin resistance. Furthermore the link between ACC1 and fatty acid metabolism associates it with metabolic syndromes. The potential of ACC1 as a pharmacological target has led to research exploring its inhibition as a therapeutic strategy for these metabolic disorders.

Product protocols

For this product, it's our understanding that no specific protocols are required. You can visit:

Target data

Cytosolic enzyme that catalyzes the carboxylation of acetyl-CoA to malonyl-CoA, the first and rate-limiting step of de novo fatty acid biosynthesis (PubMed : 20457939, PubMed : 20952656, PubMed : 29899443). This is a 2 steps reaction starting with the ATP-dependent carboxylation of the biotin carried by the biotin carboxyl carrier (BCC) domain followed by the transfer of the carboxyl group from carboxylated biotin to acetyl-CoA (PubMed : 20457939, PubMed : 20952656, PubMed : 29899443).
See full target information ACACA

Product promise

We are committed to supporting your work with high-quality reagents, and we're here for you every step of the way. In the unlikely event that one of our products does not perform as expected, you're protected by our Product Promise.
For full details, please see our Terms & Conditions

Please note: All products are 'FOR RESEARCH USE ONLY. NOT FOR USE IN DIAGNOSTIC OR THERAPEUTIC PROCEDURES'.

For licensing inquiries, please contact partnerships@abcam.com