JavaScript is disabled in your browser. Please enable JavaScript to view this website.
AB72046

Anti-Acetyl Coenzyme A Carboxylase antibody

5

(2 Reviews)

|

(13 Publications)

Rabbit Polyclonal ACACA antibody. Suitable for WB, IHC-P and reacts with Human, Mouse samples. Cited in 13 publications. Immunogen corresponding to Synthetic Peptide within Human ACACA aa 2300 to C-terminus.

View Alternative Names

ACAC, ACC1, ACCA, ACACA, Acetyl-CoA carboxylase 1, Acetyl-Coenzyme A carboxylase alpha, ACC-alpha

2 Images
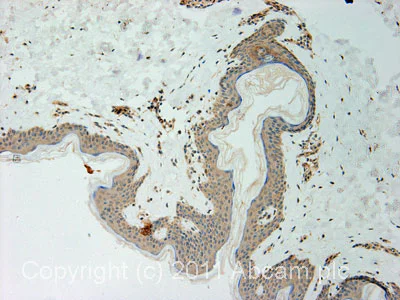
Immunohistochemistry (Formalin/PFA-fixed paraffin-embedded sections) - Anti-Acetyl Coenzyme A Carboxylase antibody (AB72046)
  • IHC-P

Unknown

Immunohistochemistry (Formalin/PFA-fixed paraffin-embedded sections) - Anti-Acetyl Coenzyme A Carboxylase antibody (AB72046)

IHC image of ab72046 staining in human normal skin formalin fixed paraffin embedded tissue section, performed on a Leica BondTM system using the standard protocol F. The section was pre-treated using heat mediated antigen retrieval with EDTA (pH9, epitope retrieval solution 2) for 20 mins. The section was then incubated with ab72046, 1µg/ml, for 15 mins at room temperature and detected using an HRP conjugated compact polymer system. DAB was used as the chromogen. The section was then counterstained with haematoxylin and mounted with DPX.

For other IHC staining systems (automated and non-automated) customers should optimize variable parameters such as antigen retrieval conditions, primary antibody concentration and antibody incubation times.

Western blot - Anti-Acetyl Coenzyme A Carboxylase antibody (AB72046)
  • WB

Unknown

Western blot - Anti-Acetyl Coenzyme A Carboxylase antibody (AB72046)

All lanes:

Western blot - Anti-Acetyl Coenzyme A Carboxylase antibody (ab72046) at 0.1 µg/mL

Lane 1:

HeLa whole cell lysate at 50 µg

Lane 2:

HeLa whole cell lysate at 15 µg

Lane 3:

HeLa whole cell lysate at 5 µg

Lane 4:

293T whole cell lysate at 50 µg

Lane 5:

NIH/3T3 whole cell lysate at 50 µg

Predicted band size: 266 kDa

Observed band size: 130 kDa,266 kDa,90 kDa

false

Key facts

Host species

Rabbit

Clonality

Polyclonal

Isotype

IgG

Carrier free

No

Reacts with

Mouse, Human

Applications

WB, IHC-P

applications

Immunogen

Synthetic Peptide within Human ACACA aa 2300 to C-terminus. The exact immunogen used to generate this antibody is proprietary information.

Q13085

Reactivity data

{ "title": "Reactivity Data", "filters": { "stats": ["", "Species", "Dilution Info", "Notes"], "tabs": { "all-applications": {"fullname" : "All Applications", "shortname": "All Applications"}, "WB" : {"fullname" : "Western blot", "shortname":"WB"}, "IHCP" : {"fullname" : "Immunohistochemistry (Formalin/PFA-fixed paraffin-embedded sections)", "shortname":"IHC-P"} }, "product-promise": { "all": "all", "testedAndGuaranteed": "tested", "guaranteed": "expected", "predicted": "predicted", "notRecommended": "not-recommended" } }, "values": { "Human": { "WB-species-checked": "testedAndGuaranteed", "WB-species-dilution-info": "1/2000 - 1/10000", "WB-species-notes": "<p></p>", "IHCP-species-checked": "testedAndGuaranteed", "IHCP-species-dilution-info": "1 µg/mL", "IHCP-species-notes": "<p></p>" }, "Mouse": { "WB-species-checked": "testedAndGuaranteed", "WB-species-dilution-info": "1/2000 - 1/10000", "WB-species-notes": "<p></p>", "IHCP-species-checked": "guaranteed", "IHCP-species-dilution-info": "", "IHCP-species-notes": "" }, "Rat": { "WB-species-checked": "predicted", "WB-species-dilution-info": "", "WB-species-notes": "", "IHCP-species-checked": "predicted", "IHCP-species-dilution-info": "", "IHCP-species-notes": "" }, "Chimpanzee": { "WB-species-checked": "predicted", "WB-species-dilution-info": "", "WB-species-notes": "", "IHCP-species-checked": "predicted", "IHCP-species-dilution-info": "", "IHCP-species-notes": "" }, "Dog": { "WB-species-checked": "predicted", "WB-species-dilution-info": "", "WB-species-notes": "", "IHCP-species-checked": "predicted", "IHCP-species-dilution-info": "", "IHCP-species-notes": "" }, "Gorilla": { "WB-species-checked": "predicted", "WB-species-dilution-info": "", "WB-species-notes": "", "IHCP-species-checked": "predicted", "IHCP-species-dilution-info": "", "IHCP-species-notes": "" }, "Guinea pig": { "WB-species-checked": "predicted", "WB-species-dilution-info": "", "WB-species-notes": "", "IHCP-species-checked": "predicted", "IHCP-species-dilution-info": "", "IHCP-species-notes": "" }, "Horse": { "WB-species-checked": "predicted", "WB-species-dilution-info": "", "WB-species-notes": "", "IHCP-species-checked": "predicted", "IHCP-species-dilution-info": "", "IHCP-species-notes": "" }, "Orangutan": { "WB-species-checked": "predicted", "WB-species-dilution-info": "", "WB-species-notes": "", "IHCP-species-checked": "predicted", "IHCP-species-dilution-info": "", "IHCP-species-notes": "" }, "Rabbit": { "WB-species-checked": "predicted", "WB-species-dilution-info": "", "WB-species-notes": "", "IHCP-species-checked": "predicted", "IHCP-species-dilution-info": "", "IHCP-species-notes": "" }, "Rhesus monkey": { "WB-species-checked": "predicted", "WB-species-dilution-info": "", "WB-species-notes": "", "IHCP-species-checked": "predicted", "IHCP-species-dilution-info": "", "IHCP-species-notes": "" }, "Sheep": { "WB-species-checked": "predicted", "WB-species-dilution-info": "", "WB-species-notes": "", "IHCP-species-checked": "predicted", "IHCP-species-dilution-info": "", "IHCP-species-notes": "" } } }

Properties and storage information

Form
Liquid
Purification technique
Affinity purification Immunogen
Storage buffer
pH: 7 - 8 Preservative: 0.09% Sodium azide Constituents: PBS, 1.815% Tris, 1.764% Sodium citrate
Shipped at conditions
Blue Ice
Appropriate short-term storage conditions
+4°C
Appropriate long-term storage conditions
+4°C
Aliquoting information
Upon delivery aliquot
Storage information
Avoid freeze / thaw cycle

Supplementary information

This supplementary information is collated from multiple sources and compiled automatically.

Acetyl Coenzyme A Carboxylase (ACC) also known as acetyl-CoA carboxylase or ACAC is an enzyme that plays an important role in fatty acid metabolism. Mechanically it catalyzes the biotin-dependent carboxylation of acetyl coenzyme A (acetyl-CoA) to produce malonyl-CoA which is an important precursor in the biosynthesis of fatty acids. The molecular weight of ACC is approximately 265 kDa. Humans express this enzyme in multiple tissues such as the liver adipose tissue and mammary glands.
Biological function summary

Acetyl Coenzyme A Carboxylase contributes to fatty acid synthesis and regulation of metabolism. ACC exists in two main isoforms ACC1 which is found mainly in lipogenic tissues and ACC2 which is associated with oxidative tissues. These isoforms form part of larger complexes within the cell interacting with other enzymes and proteins to regulate metabolic processes. ACC also affects the synthesis of long-chain fatty acids by regulating the amount of malonyl-CoA available as a building block.

Pathways

Acetyl Coenzyme A Carboxylase plays a role in the synthesis of fatty acids and their cellular metabolism. This enzyme is a component of the lipogenesis pathway where it transforms acetyl-CoA to malonyl-CoA a step critical for fatty acid elongation. ACC interacts with proteins such as fatty acid synthase to carry out its function within these metabolic pathways. Additionally malonyl-CoA produced by ACC serves as a regulator of carnitine palmitoyltransferase 1 integrating with the fatty acid oxidation pathway.

Alterations in the function of acetyl Coenzyme A Carboxylase link to conditions like obesity and type 2 diabetes. Overexpression of ACC can result in increased fat storage contributing to obesity while its inhibition has been considered a strategy to counter insulin resistance in diabetes. In cancer dysregulation of ACC especially ACC1 can lead to altered lipid synthesis promoting tumor growth. ACC1 interacts with other proteins such as AMP-activated protein kinase (AMPK) which senses energy status and is involved in the regulation of ACC activity thereby influencing these diseases.

Product protocols

For this product, it's our understanding that no specific protocols are required. You can visit:

Target data

Cytosolic enzyme that catalyzes the carboxylation of acetyl-CoA to malonyl-CoA, the first and rate-limiting step of de novo fatty acid biosynthesis (PubMed : 20457939, PubMed : 20952656, PubMed : 29899443). This is a 2 steps reaction starting with the ATP-dependent carboxylation of the biotin carried by the biotin carboxyl carrier (BCC) domain followed by the transfer of the carboxyl group from carboxylated biotin to acetyl-CoA (PubMed : 20457939, PubMed : 20952656, PubMed : 29899443).
See full target information ACACA

Publications (13)

Recent publications for all applications. Explore the full list and refine your search

iScience 28:112894 PubMed40678547

2025

Deep metabolic profiling of immune cells by spectral flow cytometry-A comprehensive validation approach.

Applications

Unspecified application

Species

Unspecified reactive species

Claire L Wishart,Alanna G Spiteri,Jian Tan,Claudio Counoupas,James A Triccas,Laurence Macia,Nicholas J C King

Investigative ophthalmology & visual science 66:51 PubMed39847368

2025

ROCK Inhibitor Enhances Resilience Against Metabolic Stress Through Increasing Bioenergetic Capacity in Corneal Endothelial Cells.

Applications

Unspecified application

Species

Unspecified reactive species

Wei-Ting Ho,Jung-Shen Chang,Chia-Jen Lei,Tsan-Chi Chen,Jia-Kang Wang,Shu-Wen Chang,Muh-Hwa Yang,Tzuu-Shuh Jou,I-Jong Wang

Frontiers in nutrition 10:1098715 PubMed36969813

2023

Sodium acetate regulates milk fat synthesis through the activation of GPR41/GPR43 signaling pathway.

Applications

Unspecified application

Species

Unspecified reactive species

Yingao Qi,Tenghui Zheng,Xinghong Liu,Siwang Yang,Qihui Li,Jiayuan Shao,Xiangfang Zeng,Wutai Guan,Shihai Zhang

Metabolites 12: PubMed36355136

2022

Altered Liver Metabolism, Mitochondrial Function, Oxidative Status, and Inflammatory Response in Intrauterine Growth Restriction Piglets with Different Growth Patterns before Weaning.

Applications

Unspecified application

Species

Unspecified reactive species

Jun Wang,Pengwei Zhu,Xiaoyu Zheng,Ziwei Ma,Chang Cui,Caichi Wu,Xiangfang Zeng,Wutai Guan,Fang Chen

Nutrients 14: PubMed35334934

2022

Hydrolyzed Bound Phenolics from Rice Bran Alleviate Hyperlipidemia and Improve Gut Microbiota Dysbiosis in High-Fat-Diet Fed Mice.

Applications

Unspecified application

Species

Unspecified reactive species

Guanghe Zhao,Ruifen Zhang,Fei Huang,Lihong Dong,Lei Liu,Xuchao Jia,Jianwei Chi,Yongxuan Ma,Mei Deng,Yanxia Chen,Qin Ma,Mingwei Zhang

Cell communication and signaling : CCS 20:25 PubMed35248054

2022

Energy deprivation-induced AMPK activation inhibits milk synthesis by targeting PrlR and PGC-1α.

Applications

Unspecified application

Species

Unspecified reactive species

Zhihui Wu,Qihui Li,Siwang Yang,Tenghui Zheng,Jiayuan Shao,Wutai Guan,Fang Chen,Shihai Zhang

Open medicine (Warsaw, Poland) 17:365-374 PubMed35799598

2022

Cardiac contractility modulation ameliorates myocardial metabolic remodeling in a rabbit model of chronic heart failure through activation of AMPK and PPAR-α pathway.

Applications

Unspecified application

Species

Unspecified reactive species

Feifei Zhang,Litian Liu,Yuetao Xie,Jiaqi Wang,Xuefeng Chen,Shihang Zheng,Yingxiao Li,Yi Dang

Cell death & disease 12:809 PubMed34446693

2021

Circ_0057558 promotes nonalcoholic fatty liver disease by regulating ROCK1/AMPK signaling through targeting miR-206.

Applications

Unspecified application

Species

Unspecified reactive species

Xi Chen,Qing-Qing Tan,Xin-Rui Tan,Shi-Jun Li,Xing-Xing Zhang

Medical science monitor : international medical jo 26:e920278 PubMed31939452

2020

Interaction of Nuclear Receptor Subfamily 4 Group A Member 1 (Nr4a1) and Liver Linase B1 (LKB1) Mitigates Type 2 Diabetes Mellitus by Activating Monophosphate-Activated Protein Kinase (AMPK)/Sirtuin 1 (SIRT1) Axis and Inhibiting Nuclear Factor-kappa B (NF-κB) Activation.

Applications

Unspecified application

Species

Unspecified reactive species

Yi Ming,Youmin Yin,Zhaoli Sun

Oxidative medicine and cellular longevity 2019:6362910 PubMed31341532

2019

Dietary Glycotoxins Impair Hepatic Lipidemic Profile in Diet-Induced Obese Rats Causing Hepatic Oxidative Stress and Insulin Resistance.

Applications

Unspecified application

Species

Unspecified reactive species

C Neves,T Rodrigues,J Sereno,C Simões,J Castelhano,J Gonçalves,G Bento,S Gonçalves,R Seiça,M R Domingues,M Castelo-Branco,P Matafome
View all publications

Product promise

We are committed to supporting your work with high-quality reagents, and we're here for you every step of the way. In the unlikely event that one of our products does not perform as expected, you're protected by our Product Promise.
For full details, please see our Terms & Conditions

Please note: All products are 'FOR RESEARCH USE ONLY. NOT FOR USE IN DIAGNOSTIC OR THERAPEUTIC PROCEDURES'.

For licensing inquiries, please contact partnerships@abcam.com