JavaScript is disabled in your browser. Please enable JavaScript to view this website.
AB231681

Anti-Acetyl Coenzyme A Carboxylase antibody [EPR4971] - BSA and Azide free

Be the first to review this product! Submit a review

|

(1 Publication)

Rabbit Recombinant Monoclonal ACACA antibody. Carrier free. Suitable for IHC-P, ICC/IF, WB and reacts with Human samples. Cited in 1 publication.

View Alternative Names

ACAC, ACC1, ACCA, ACACA, Acetyl-CoA carboxylase 1, Acetyl-Coenzyme A carboxylase alpha, ACC-alpha

8 Images
Immunohistochemistry (Formalin/PFA-fixed paraffin-embedded sections) - Anti-Acetyl Coenzyme A Carboxylase antibody [EPR4971] - BSA and Azide free (AB231681)
  • IHC-P

Lab

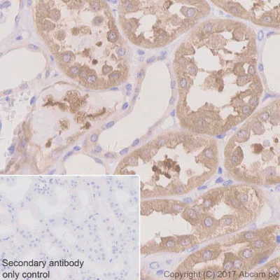
Immunohistochemistry (Formalin/PFA-fixed paraffin-embedded sections) - Anti-Acetyl Coenzyme A Carboxylase antibody [EPR4971] - BSA and Azide free (AB231681)

This data was developed using ab109368, the same antibody clone in a different buffer formulation.

Immunohistochemistry (Formalin/PFA-fixed paraffin-embedded sections) analysis of Human kidney tissue sections labeling Acetyl Coenzyme A carboxylase with purified ab109368 at 1 : 500 dilution (1.05 μg/ml). Heat mediated antigen retrieval was performed using citrate Buffer, pH6.0. Tissue was counterstained with Hematoxylin. ab97051 Goat Anti-Rabbit IgG H&L (HRP) secondary antibody was used at 1 : 500 dilution. PBS instead of the primary antibody was used as the negative control.

Immunocytochemistry/ Immunofluorescence - Anti-Acetyl Coenzyme A Carboxylase antibody [EPR4971] - BSA and Azide free (AB231681)
  • ICC/IF

Lab

Immunocytochemistry/ Immunofluorescence - Anti-Acetyl Coenzyme A Carboxylase antibody [EPR4971] - BSA and Azide free (AB231681)

This data was developed using ab109368, the same antibody clone in a different buffer formulation.

Immunocytochemistry/ Immunofluorescence analysis of 293 (Human embryonic kidney epithelial cell) cells labeling Acetyl Coenzyme A carboxylase with Purified ab109368 at 1 : 250 dilution (2.1μg/ml). Cells were fixed in 4% Paraformaldehyde and permeabilized with 0.1% tritonX-100. Cells were counterstained with ab195889 Anti-alpha Tubulin antibody [DM1A] - Microtubule Marker (Alexa Fluor® 594) 1 : 200 (2.5 μg/ml). ab150077 Goat anti rabbit IgG(Alexa Fluor® 488) was used as the secondary antibody at 1 : 1000 dilution. DAPI nuclear counterstain. PBS instead of the primary antibody was used as the secondary antibody only control.

Immunocytochemistry/ Immunofluorescence - Anti-Acetyl Coenzyme A Carboxylase antibody [EPR4971] - BSA and Azide free (AB231681)
  • ICC/IF

Unknown

Immunocytochemistry/ Immunofluorescence - Anti-Acetyl Coenzyme A Carboxylase antibody [EPR4971] - BSA and Azide free (AB231681)

This data was developed using ab109368, the same antibody clone in a different buffer formulation.

Immunofluorescent staining of 293 cells using unpurified ab109368 at 1/100 dilution

Western blot - Anti-Acetyl Coenzyme A Carboxylase antibody [EPR4971] - BSA and Azide free (AB231681)
  • WB

Unknown

Western blot - Anti-Acetyl Coenzyme A Carboxylase antibody [EPR4971] - BSA and Azide free (AB231681)

This data was developed using ab109368, the same antibody clone in a different buffer formulation.

All lanes:

Western blot - Anti-Acetyl Coenzyme A Carboxylase antibody [EPR4971] (<a href='/en-us/products/primary-antibodies/acetyl-coenzyme-a-carboxylase-antibody-epr4971-ab109368'>ab109368</a>) at 1/1000 dilution

Lane 1:

293T cell lysate at 10 µg

Lane 2:

HepG2 cell lysate at 10 µg

Lane 3:

SH-SY5Y cell lysate at 10 µg

Secondary

All lanes:

HRP labelled goat anti-rabbit at 1/2000 dilution

Predicted band size: 266 kDa

false

Western blot - Anti-Acetyl Coenzyme A Carboxylase antibody [EPR4971] - BSA and Azide free (AB231681)
  • WB

Lab

Western blot - Anti-Acetyl Coenzyme A Carboxylase antibody [EPR4971] - BSA and Azide free (AB231681)

This data was developed using ab109368, the same antibody clone in a different buffer formulation.

Lanes 1 - 4 : Merged signal (red and green). Green - ab109368 observed at 265 kDa. Red - loading control, ab130007, observed at 130 kDa.

ab109368 was shown to specifically react with Acetyl Coenzyme A carboxylase in wild-type HAP1 cells as signal was lost in ACACA (Acetyl Coenzyme A Carboxylase) knockout cells. Wild-type and ACACA (Acetyl Coenzyme A Carboxylase) knockout samples were subjected to SDS-PAGE. ab109368 and ab130007 (Mouse anti-Vinculin loading control) were incubated overnight at 4°C at 1/1000 dilution and 1/20000 dilution respectively. Blots were developed with Goat anti-Rabbit IgG H&L (IRDye® 800CW) preabsorbed ab216773 and Goat anti-Mouse IgG H&L (IRDye® 680RD) preabsorbed ab216776 secondary antibodies at 1/20000 dilution for 1 hour at room temperature before imaging.

All lanes:

Western blot - Anti-Acetyl Coenzyme A Carboxylase antibody [EPR4971] (<a href='/en-us/products/primary-antibodies/acetyl-coenzyme-a-carboxylase-antibody-epr4971-ab109368'>ab109368</a>) at 1/1000 dilution

Lane 1:

Wild-type HAP1 whole cell lysate at 20 µg

Lane 2:

ACACA (Acetyl Coenzyme A Carboxylase) knockout HAP1 whole cell lysate at 20 µg

Lane 3:

Hela whole cell lysate at 20 µg

Lane 4:

A431 whole cell lysate at 20 µg

Predicted band size: 266 kDa

false

Immunohistochemistry (Formalin/PFA-fixed paraffin-embedded sections) - Anti-Acetyl Coenzyme A Carboxylase antibody [EPR4971] - BSA and Azide free (AB231681)
  • IHC-P

Unknown

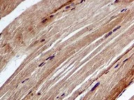
Immunohistochemistry (Formalin/PFA-fixed paraffin-embedded sections) - Anti-Acetyl Coenzyme A Carboxylase antibody [EPR4971] - BSA and Azide free (AB231681)

This data was developed using ab109368, the same antibody clone in a different buffer formulation.

Immunohistochemical analysis of paraffin-embedded skeletal muscle tissue using unpurified ab109368 at 1/250 dilution.

Heat mediated antigen retrieval was performed with citrate buffer pH 6 before commencing with IHC staining protocol.

Immunohistochemistry (Formalin/PFA-fixed paraffin-embedded sections) - Anti-Acetyl Coenzyme A Carboxylase antibody [EPR4971] - BSA and Azide free (AB231681)
  • IHC-P

Unknown

Immunohistochemistry (Formalin/PFA-fixed paraffin-embedded sections) - Anti-Acetyl Coenzyme A Carboxylase antibody [EPR4971] - BSA and Azide free (AB231681)

This data was developed using ab109368, the same antibody clone in a different buffer formulation.

Immunohistochemical analysis of paraffin-embedded brain tissue using unpurified ab109368 at 1/250 dilution.

Heat mediated antigen retrieval was performed with citrate buffer pH 6 before commencing with IHC staining protocol.

Western blot - Anti-Acetyl Coenzyme A Carboxylase antibody [EPR4971] - BSA and Azide free (AB231681)
  • WB

Lab

Western blot - Anti-Acetyl Coenzyme A Carboxylase antibody [EPR4971] - BSA and Azide free (AB231681)

This data was developed using ab109368, the same antibody clone in a different buffer formulation.

Blocking and dilution buffer : 5% NFDM/TBST.

All lanes:

Western blot - Anti-Acetyl Coenzyme A Carboxylase antibody [EPR4971] (<a href='/en-us/products/primary-antibodies/acetyl-coenzyme-a-carboxylase-antibody-epr4971-ab109368'>ab109368</a>) at 1/5000 dilution

Lane 1:

293 (Human embryonic kidney epithelial cell) whole cell lysate at 20 µg

Lane 2:

K562 (Human chronic myelogenous leukemia lymphoblast) whole cell lysate at 20 µg

Secondary

All lanes:

Western blot - Goat Anti-Rabbit IgG H&L (HRP) (<a href='/en-us/products/secondary-antibodies/goat-rabbit-igg-h-l-hrp-ab97051'>ab97051</a>) at 1/20000 dilution

Predicted band size: 266 kDa

Observed band size: 266 kDa

false

Key facts

Host species

Rabbit

Clonality

Monoclonal

Clone number

EPR4971

Isotype

IgG

Carrier free

Yes

Reacts with

Human

Applications

WB, ICC/IF, IHC-P

applications

Immunogen

The exact immunogen used to generate this antibody is proprietary information.

Reactivity data

{ "title": "Reactivity Data", "filters": { "stats": ["", "Species", "Dilution Info", "Notes"], "tabs": { "all-applications": {"fullname" : "All Applications", "shortname": "All Applications"}, "IHCP" : {"fullname" : "Immunohistochemistry (Formalin/PFA-fixed paraffin-embedded sections)", "shortname":"IHC-P"}, "ICCIF" : {"fullname" : "Immunocytochemistry/ Immunofluorescence", "shortname":"ICC/IF"}, "IP" : {"fullname" : "Immunoprecipitation", "shortname":"IP"}, "WB" : {"fullname" : "Western blot", "shortname":"WB"}, "FlowCytIntra" : {"fullname" : "Flow Cytometry (Intracellular)", "shortname":"Flow Cyt (Intra)"} }, "product-promise": { "all": "all", "testedAndGuaranteed": "tested", "guaranteed": "expected", "predicted": "predicted", "notRecommended": "not-recommended" } }, "values": { "Human": { "IHCP-species-checked": "testedAndGuaranteed", "IHCP-species-dilution-info": "", "IHCP-species-notes": "<p></p>", "ICCIF-species-checked": "testedAndGuaranteed", "ICCIF-species-dilution-info": "", "ICCIF-species-notes": "<p></p>", "IP-species-checked": "notRecommended", "IP-species-dilution-info": "", "IP-species-notes": "<p></p>", "WB-species-checked": "testedAndGuaranteed", "WB-species-dilution-info": "", "WB-species-notes": "<p></p>", "FlowCytIntra-species-checked": "notRecommended", "FlowCytIntra-species-dilution-info": "", "FlowCytIntra-species-notes": "<p></p>" }, "Mouse": { "IHCP-species-checked": "notRecommended", "IHCP-species-dilution-info": "", "IHCP-species-notes": "<p></p>", "ICCIF-species-checked": "notRecommended", "ICCIF-species-dilution-info": "", "ICCIF-species-notes": "<p></p>", "IP-species-checked": "notRecommended", "IP-species-dilution-info": "", "IP-species-notes": "<p></p>", "WB-species-checked": "notRecommended", "WB-species-dilution-info": "", "WB-species-notes": "<p></p>", "FlowCytIntra-species-checked": "notRecommended", "FlowCytIntra-species-dilution-info": "", "FlowCytIntra-species-notes": "" }, "Rat": { "IHCP-species-checked": "notRecommended", "IHCP-species-dilution-info": "", "IHCP-species-notes": "<p></p>", "ICCIF-species-checked": "notRecommended", "ICCIF-species-dilution-info": "", "ICCIF-species-notes": "<p></p>", "IP-species-checked": "notRecommended", "IP-species-dilution-info": "", "IP-species-notes": "<p></p>", "WB-species-checked": "notRecommended", "WB-species-dilution-info": "", "WB-species-notes": "<p></p>", "FlowCytIntra-species-checked": "notRecommended", "FlowCytIntra-species-dilution-info": "", "FlowCytIntra-species-notes": "" } } }

Product details

ab231681 is the carrier-free version of ab109368.

Species reactivity
Mouse, Rat: We have preliminary internal testing data to indicate this antibody may not react with these species.
Please contact us for more information.

Patented technology
Our RabMAb® technology is a patented hybridoma-based technology for making rabbit monoclonal antibodies. For details on our patents, please refer to RabMAb® patents.

What are the advantages of a recombinant monoclonal antibody?
This product is a recombinant monoclonal antibody, which offers several advantages including:

  • - High batch-to-batch consistency and reproducibility
  • - Improved sensitivity and specificity
  • - Long-term security of supply
  • - Animal-free batch production

For more information, read more on recombinant antibodies.

Conjugation ready
Our carrier-free antibodies are typically supplied in a PBS-only formulation, purified and free of BSA, sodium azide and glycerol. This conjugation-ready format is designed for use with fluorochromes, metal isotopes, oligonucleotides, and enzymes, which makes them ideal for antibody labelling, functional and cell-based assays, flow-based assays (e.g. mass cytometry) and Multiplex Imaging applications.

Use our conjugation kits for antibody conjugates that are ready-to-use in as little as 20 minutes with 1 minute hands-on-time and 100% antibody recovery: available for fluorescent dyes, HRP, biotin and gold.

Compatibility
This product is compatible with the Maxpar® Antibody Labeling Kit from Fluidigm, without the need for antibody preparation. Maxpar® is a trademark of Fluidigm Canada Inc.

Properties and storage information

Form
Liquid
Purification technique
Affinity purification Protein A
Storage buffer
pH: 7.2 - 7.4 Constituents: PBS
Shipped at conditions
Blue Ice
Appropriate short-term storage conditions
+4°C
Appropriate long-term storage conditions
+4°C
Storage information
Do Not Freeze

Supplementary information

This supplementary information is collated from multiple sources and compiled automatically.

Acetyl Coenzyme A Carboxylase (ACC) also known as acetyl-CoA carboxylase or ACAC is an enzyme that plays an important role in fatty acid metabolism. Mechanically it catalyzes the biotin-dependent carboxylation of acetyl coenzyme A (acetyl-CoA) to produce malonyl-CoA which is an important precursor in the biosynthesis of fatty acids. The molecular weight of ACC is approximately 265 kDa. Humans express this enzyme in multiple tissues such as the liver adipose tissue and mammary glands.
Biological function summary

Acetyl Coenzyme A Carboxylase contributes to fatty acid synthesis and regulation of metabolism. ACC exists in two main isoforms ACC1 which is found mainly in lipogenic tissues and ACC2 which is associated with oxidative tissues. These isoforms form part of larger complexes within the cell interacting with other enzymes and proteins to regulate metabolic processes. ACC also affects the synthesis of long-chain fatty acids by regulating the amount of malonyl-CoA available as a building block.

Pathways

Acetyl Coenzyme A Carboxylase plays a role in the synthesis of fatty acids and their cellular metabolism. This enzyme is a component of the lipogenesis pathway where it transforms acetyl-CoA to malonyl-CoA a step critical for fatty acid elongation. ACC interacts with proteins such as fatty acid synthase to carry out its function within these metabolic pathways. Additionally malonyl-CoA produced by ACC serves as a regulator of carnitine palmitoyltransferase 1 integrating with the fatty acid oxidation pathway.

Alterations in the function of acetyl Coenzyme A Carboxylase link to conditions like obesity and type 2 diabetes. Overexpression of ACC can result in increased fat storage contributing to obesity while its inhibition has been considered a strategy to counter insulin resistance in diabetes. In cancer dysregulation of ACC especially ACC1 can lead to altered lipid synthesis promoting tumor growth. ACC1 interacts with other proteins such as AMP-activated protein kinase (AMPK) which senses energy status and is involved in the regulation of ACC activity thereby influencing these diseases.

Product protocols

For this product, it's our understanding that no specific protocols are required. You can visit:

Target data

Cytosolic enzyme that catalyzes the carboxylation of acetyl-CoA to malonyl-CoA, the first and rate-limiting step of de novo fatty acid biosynthesis (PubMed : 20457939, PubMed : 20952656, PubMed : 29899443). This is a 2 steps reaction starting with the ATP-dependent carboxylation of the biotin carried by the biotin carboxyl carrier (BCC) domain followed by the transfer of the carboxyl group from carboxylated biotin to acetyl-CoA (PubMed : 20457939, PubMed : 20952656, PubMed : 29899443).
See full target information ACACA

Publications (1)

Recent publications for all applications. Explore the full list and refine your search

Communications biology 8:284 PubMed39987372

2025

Emergence of inflammatory fibroblasts with aging in Hermansky-Pudlak syndrome associated pulmonary fibrosis.

Applications

Unspecified application

Species

Unspecified reactive species

Brandon J H Banaschewski,Sylvia N Michki,Sneha Sitaraman,Ruby Pan,Joanna Y Wang,Dominique Stewart,Mary Kate Goldy,Susan M Lin,Edward Cantu,Jeremy B Katzen,Maria C Basil,Amir M Emtiazjoo,Jamie L Todd,Jason J Gokey,Jonathan A Kropski,David B Frank,Jarod A Zepp,Lisa R Young
View all publications

Product promise

We are committed to supporting your work with high-quality reagents, and we're here for you every step of the way. In the unlikely event that one of our products does not perform as expected, you're protected by our Product Promise.
For full details, please see our Terms & Conditions

Please note: All products are 'FOR RESEARCH USE ONLY. NOT FOR USE IN DIAGNOSTIC OR THERAPEUTIC PROCEDURES'.

For licensing inquiries, please contact partnerships@abcam.com