JavaScript is disabled in your browser. Please enable JavaScript to view this website.
AB61257

Anti-acetyl Lysine antibody

5

(1 Review)

|

(9 Publications)

Rabbit Polyclonal acetyl Lysine antibody. Suitable for ELISA, WB, IHC-P and reacts with Modified Amino Acid samples. Cited in 9 publications.

View Alternative Names

pan acetyl Lysine

3 Images
Western blot - Anti-acetyl Lysine antibody (AB61257)
  • WB

AbReview27426****

Western blot - Anti-acetyl Lysine antibody (AB61257)

293 histone (acid extracted) loaded at 2μg.
Blocking step performed using 0.3% BSA for 12 hours at 4°C.
ab61257 used at a 1/1000 dilution for 1 hour at 25°C.
The secondary used was an HRP conjugated donkey anti-rabbit IgG polyclonal used at a 1/2000 dilution.

All lanes:

Western blot - Anti-acetyl Lysine antibody (ab61257)

true

Exposure time: 3min

Image courtesy of an anonymous Abreview.

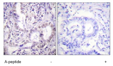
Immunohistochemistry (Formalin/PFA-fixed paraffin-embedded sections) - Anti-acetyl Lysine antibody (AB61257)
  • IHC-P

Unknown

Immunohistochemistry (Formalin/PFA-fixed paraffin-embedded sections) - Anti-acetyl Lysine antibody (AB61257)

ab61257 at 1/50 - 1/100 dilution staining Acetyl lysine in human lung carcinoma by Immunohistochemistry, Paraffin-embedded tissue, in the absence or presence of the immunising peptide.

Western blot - Anti-acetyl Lysine antibody (AB61257)
  • WB

Unknown

Western blot - Anti-acetyl Lysine antibody (AB61257)

All lanes:

Western blot - Anti-acetyl Lysine antibody (ab61257) at 1/500 dilution

Lane 1:

COS7 cell extracts treated with TSA (400uM, 24hours) at 5 µg

Lane 2:

COS7 cell extracts treated with TSA (400uM, 24hours) at 5 µg with immunising peptide

Observed band size: 120 kDa,25 kDa,45 kDa,85 kDa

false

Key facts

Host species

Rabbit

Clonality

Polyclonal

Isotype

IgG

Carrier free

No

Applications

ELISA, WB, IHC-P

applications

Reactivity data

{ "title": "Reactivity Data", "filters": { "stats": ["", "Species", "Dilution Info", "Notes"], "tabs": { "all-applications": {"fullname" : "All Applications", "shortname": "All Applications"}, "ELISA" : {"fullname" : "ELISA", "shortname":"ELISA"}, "WB" : {"fullname" : "Western blot", "shortname":"WB"}, "IHCP" : {"fullname" : "Immunohistochemistry (Formalin/PFA-fixed paraffin-embedded sections)", "shortname":"IHC-P"} }, "product-promise": { "all": "all", "testedAndGuaranteed": "tested", "guaranteed": "expected", "predicted": "predicted", "notRecommended": "not-recommended" } }, "values": { "Modified Amino Acid": { "ELISA-species-checked": "guaranteed", "ELISA-species-dilution-info": "", "ELISA-species-notes": "<p></p>", "WB-species-checked": "testedAndGuaranteed", "WB-species-dilution-info": "", "WB-species-notes": "<p></p>", "IHCP-species-checked": "testedAndGuaranteed", "IHCP-species-dilution-info": "", "IHCP-species-notes": "<p></p>" } } }

Properties and storage information

Form
Liquid
Purification technique
Affinity purification Immunogen
Purification notes
ab61257 was affinity-purified from rabbit antiserum by affinity-chromatography using epitope-specific acetylated peptide. The antibody against non-acetylated peptide was removed by chromatography using non-acetylated peptide corresponding to the acetylation site.
Storage buffer
pH: 7.4 Preservative: 0.02% Sodium azide Constituents: PBS, 50% Glycerol (glycerin, glycerine), 0.87% Sodium chloride
Shipped at conditions
Blue Ice
Appropriate short-term storage conditions
+4°C
Appropriate long-term storage conditions
-20°C
Storage information
Stable for 12 months at -20°C

Supplementary information

This supplementary information is collated from multiple sources and compiled automatically.

Acetyl lysine often referred to as acetylated lysine is a modification of the amino acid lysine where an acetyl group is transferred to the lysine residue. This modification impacts the mass of the lysine residue slightly altering its properties. Acetyl lysine occurs in histone proteins and this modification is an important regulator of chromatin structure and function. The acetylation of lysine residues happens frequently in the nucleus of eukaryotic cells where histone acetylases (HATs) facilitate this process. Known alternatively as lysine acetylation it represents an important post-translational modification impacting gene expression regulation.
Biological function summary

Acetylation adds an acetyl group to the lysine which changes its positive charge reducing chromatin compaction and enhancing gene transcription. The acetyl lysine modification is not acting alone; it forms part of larger histone modification complexes. By altering chromatin structure acetyl lysine regulates the accessibility of transcription factors to DNA influencing various biological processes like DNA repair replication and cell cycle progression. The interaction between acetyl lysine and chromatin remodeling complexes plays a significant role in epigenetic regulation.

Pathways

Acetyl lysine is central to epigenetic regulatory pathways significantly impacting gene expression and cellular growth pathways. The acetylation process involves histone acetylases (HATs) such as the p300/CBP complex which adds acetyl groups to specific lysines on histones increasing transcriptional activity. Conversely histone deacetylases (HDACs) remove acetyl groups decreasing transcription. The balance of these modifications involves critical pathways such as the TGF-beta signaling pathway and the NF-kB pathway linking acetyl lysine with numerous cellular activities and protein interactions.

Dysregulation of acetyl lysine levels is associated with cancer and neurodegenerative diseases. In cancer the aberrant acetylation of lysine impacts expression of oncogenes and tumor suppressor genes contributing to carcinogenesis. Proteins like p53 which relies on acetylation for activation become functionally impaired. Also in neurodegenerative disorders such as Alzheimer's disease histone acetylation imbalances disrupt neuronal function and gene expression. The involvement of the sirtuin family of proteins which act as NAD+-dependent deacetylases connects lysine acetylation to these diseases highlighting its importance in maintaining normal cellular functions and its role in pathological states.

Product protocols

For this product, it's our understanding that no specific protocols are required. You can visit:

Publications (9)

Recent publications for all applications. Explore the full list and refine your search

mSphere :e0011821 PubMed34190584

2021

The Histone Deacetylases MoRpd3 and MoHst4 Regulate Growth, Conidiation, and Pathogenicity in the Rice Blast Fungus Magnaporthe oryzae.

Applications

Unspecified application

Species

Unspecified reactive species

Chaoxiang Lin,Xue Cao,Ziwei Qu,Shulin Zhang,Naweed I Naqvi,Yi Zhen Deng

Autophagy :1-20 PubMed32186433

2020

Hypoxia-induced acetylation of PAK1 enhances autophagy and promotes brain tumorigenesis via phosphorylating ATG5.

Applications

Unspecified application

Species

Unspecified reactive species

Xing Feng,Heng Zhang,Lingbing Meng,Huiwen Song,Qingxin Zhou,Chao Qu,Pan Zhao,Qinghua Li,Chang Zou,Xing Liu,Zhiyong Zhang

eLife 8: PubMed31596237

2019

A single regulator NrtR controls bacterial NAD homeostasis via its acetylation.

Applications

Unspecified application

Species

Unspecified reactive species

Rongsui Gao,Wenhui Wei,Bachar H Hassan,Jun Li,Jiaoyu Deng,Youjun Feng

ACS chemical biology 14:1737-1750 PubMed31287655

2019

The Clinically Used Iron Chelator Deferasirox Is an Inhibitor of Epigenetic JumonjiC Domain-Containing Histone Demethylases.

Applications

Unspecified application

Species

Unspecified reactive species

Martin Roatsch,Inga Hoffmann,Martine I Abboud,Rebecca L Hancock,Hanna Tarhonskaya,Kuo-Feng Hsu,Sarah E Wilkins,Tzu-Lan Yeh,Kerstin Lippl,Kerstin Serrer,Isabelle Moneke,Theresa D Ahrens,Dina Robaa,Sandra Wenzler,Nicolas P F Barthes,Henriette Franz,Wolfgang Sippl,Silke Lassmann,Sven Diederichs,Erik Schleicher,Christopher J Schofield,Akane Kawamura,Roland Schüle,Manfred Jung

Methods in molecular biology (Clifton, N.J.) 1983:255-262 PubMed31087303

2019

Rapid Detection of p53 Acetylation Status in Response to Cellular Stress Signaling.

Applications

Unspecified application

Species

Unspecified reactive species

Marina Farkas,Steven B McMahon

Experimental cell research 370:519-530 PubMed30017934

2018

HDAC inhibitor suppresses proliferation and tumorigenicity of drug-resistant chronic myeloid leukemia stem cells through regulation of hsa-miR-196a targeting BCR/ABL1.

Applications

Unspecified application

Species

Unspecified reactive species

Oluwaseun Adebayo Bamodu,Kuang-Tai Kuo,Li-Ping Yuan,Wei-Hong Cheng,Wei-Hwa Lee,Yuan-Soon Ho,Tsu-Yi Chao,Chi-Tai Yeh

Autophagy 13:1318-1330 PubMed28594263

2017

Phototrophy and starvation-based induction of autophagy upon removal of Gcn5-catalyzed acetylation of Atg7 in Magnaporthe oryzae.

Applications

Unspecified application

Species

Unspecified reactive species

Shulin Zhang,Meiling Liang,Naweed I Naqvi,Chaoxiang Lin,Wanqiang Qian,Lian-Hui Zhang,Yi Zhen Deng

PloS one 9:e92884 PubMed24690901

2014

Apoptotic response through a high mobility box 1 protein-dependent mechanism in LPS/GalN-induced mouse liver failure and glycyrrhizin-mediated inhibition.

Applications

IHC-P

Species

Human

Noriyuki Kuroda,Kouji Inoue,Tadayuki Ikeda,Yaiko Hara,Kenjiro Wake,Tetsuji Sato

The European journal of neuroscience 38:2962-72 PubMed23834721

2013

Supporting cells regulate the remodelling of aminoglycoside-injured organ of Corti, through the release of high mobility group box 1.

Applications

Unspecified application

Species

Unspecified reactive species

Sabine Ladrech,Marc Mathieu,Jean-Luc Puel,Marc Lenoir
View all publications

Product promise

We are committed to supporting your work with high-quality reagents, and we're here for you every step of the way. In the unlikely event that one of our products does not perform as expected, you're protected by our Product Promise.
For full details, please see our Terms & Conditions

Please note: All products are 'FOR RESEARCH USE ONLY. NOT FOR USE IN DIAGNOSTIC OR THERAPEUTIC PROCEDURES'.

For licensing inquiries, please contact partnerships@abcam.com