JavaScript is disabled in your browser. Please enable JavaScript to view this website.
AB31276

Anti-Acetylcholinesterase antibody

4

(4 Reviews)

|

(14 Publications)

Goat Polyclonal Acetylcholinesterase antibody. Suitable for WB, Flow Cyt, ICC/IF and reacts with Human samples. Cited in 14 publications. Immunogen corresponding to Synthetic Peptide within Human ACHE aa 600 to C-terminus.

View Alternative Names

Acetylcholinesterase, AChE, ACHE

4 Images
Flow Cytometry - Anti-Acetylcholinesterase antibody (AB31276)
  • Flow Cyt

Supplier Data

Flow Cytometry - Anti-Acetylcholinesterase antibody (AB31276)

Flow cytometric analysis of paraformaldehyde fixed Kelly cells (blue line), permeabilized with 0.5% Triton. Primary incubation 1hr (10µg/mL) followed by Alexa Fluor 488 secondary antibody (1µg/mL). IgG control : Unimmunized goat IgG (black line) followed by Alexa Fluor 488 secondary antibody.

Immunocytochemistry/ Immunofluorescence - Anti-Acetylcholinesterase antibody (AB31276)
  • ICC/IF

Supplier Data

Immunocytochemistry/ Immunofluorescence - Anti-Acetylcholinesterase antibody (AB31276)

Immunofluorescence analysis of paraformaldehyde fixed U2OS cells, permeabilized with 0.15% Triton. Primary incubation 1hr (10ug/ml) followed by Alexa Fluor 488 secondary antibody (2ug/ml), showing nuclear, membrane and cytoplasmic staining. The nuclear stain is DAPI (blue). Negative control : Unimmunized goat IgG (10ug/ml) followed by Alexa Fluor 488 secondary antibody (2ug/ml).

Western blot - Anti-Acetylcholinesterase antibody (AB31276)
  • WB

Supplier Data

Western blot - Anti-Acetylcholinesterase antibody (AB31276)

Detected by chemiluminescence.

All lanes:

Western blot - Anti-Acetylcholinesterase antibody (ab31276) at 0.3 µg/mL

Lane 1:

Jurkat cell lysate at 0.5 µg/mL

Lane 2:

HepG2 cell lysate in RIPA buffer at 35 µg

Predicted band size: 68 kDa

false

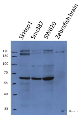
Western blot - Anti-Acetylcholinesterase antibody (AB31276)
  • WB

AbReview36958****

Western blot - Anti-Acetylcholinesterase antibody (AB31276)

All lanes:

Western blot - Anti-Acetylcholinesterase antibody (ab31276) at 1/200 dilution

Lane 1:

SkHep1 cell lysate at 50 µg

Lane 2:

Snu387 cell lysate at 50 µg

Lane 3:

SW620 cell lysate at 50 µg

Lane 4:

Zebrafish brain lysate at 50 µg

Secondary

All lanes:

HRP-conjugated Rabbit anti-goat IgG polyclonal at 1/5000 dilution

Predicted band size: 68 kDa

true

Exposure time: 20min

This image is courtesy of an Abreview submitted by Ender Avci

Key facts

Host species

Goat

Clonality

Polyclonal

Isotype

IgG

Carrier free

No

Reacts with

Human

Applications

Flow Cyt, ICC/IF, WB

applications

Immunogen

Synthetic Peptide within Human ACHE aa 600 to C-terminus. The exact immunogen used to generate this antibody is proprietary information.

P22303

Specificity

This antibody is expected to recognise isoform NP_000656 only (the ubiquitously expressed, hydrophillic form).

Reactivity data

{ "title": "Reactivity Data", "filters": { "stats": ["", "Species", "Dilution Info", "Notes"], "tabs": { "all-applications": {"fullname" : "All Applications", "shortname": "All Applications"}, "WB" : {"fullname" : "Western blot", "shortname":"WB"}, "FlowCyt" : {"fullname" : "Flow Cytometry", "shortname":"Flow Cyt"}, "ICCIF" : {"fullname" : "Immunocytochemistry/ Immunofluorescence", "shortname":"ICC/IF"} }, "product-promise": { "all": "all", "testedAndGuaranteed": "tested", "guaranteed": "expected", "predicted": "predicted", "notRecommended": "not-recommended" } }, "values": { "Human": { "WB-species-checked": "testedAndGuaranteed", "WB-species-dilution-info": "1-3 µg/mL", "WB-species-notes": "<p>1 hour primary incubation is recommended for this product.</p>", "FlowCyt-species-checked": "testedAndGuaranteed", "FlowCyt-species-dilution-info": "10 µg/mL", "FlowCyt-species-notes": "<p></p>", "ICCIF-species-checked": "testedAndGuaranteed", "ICCIF-species-dilution-info": "10 µg/mL", "ICCIF-species-notes": "<p></p>" }, "Rat": { "WB-species-checked": "predicted", "WB-species-dilution-info": "", "WB-species-notes": "", "FlowCyt-species-checked": "predicted", "FlowCyt-species-dilution-info": "", "FlowCyt-species-notes": "", "ICCIF-species-checked": "predicted", "ICCIF-species-dilution-info": "", "ICCIF-species-notes": "" }, "Cat": { "WB-species-checked": "predicted", "WB-species-dilution-info": "", "WB-species-notes": "", "FlowCyt-species-checked": "predicted", "FlowCyt-species-dilution-info": "", "FlowCyt-species-notes": "", "ICCIF-species-checked": "predicted", "ICCIF-species-dilution-info": "", "ICCIF-species-notes": "" }, "Cow": { "WB-species-checked": "predicted", "WB-species-dilution-info": "", "WB-species-notes": "", "FlowCyt-species-checked": "predicted", "FlowCyt-species-dilution-info": "", "FlowCyt-species-notes": "", "ICCIF-species-checked": "predicted", "ICCIF-species-dilution-info": "", "ICCIF-species-notes": "" }, "Rabbit": { "WB-species-checked": "predicted", "WB-species-dilution-info": "", "WB-species-notes": "", "FlowCyt-species-checked": "predicted", "FlowCyt-species-dilution-info": "", "FlowCyt-species-notes": "", "ICCIF-species-checked": "predicted", "ICCIF-species-dilution-info": "", "ICCIF-species-notes": "" } } }

Properties and storage information

Form
Liquid
Purification technique
Affinity purification Immunogen
Purification notes
Purified from goat serum by ammonium sulphate precipitation followed by antigen affinity chromatography using the immunizing peptide.
Storage buffer
pH: 7.3 Preservative: 0.02% Sodium azide Constituents: Tris buffered saline, 0.5% BSA
Shipped at conditions
Blue Ice
Appropriate short-term storage conditions
+4°C
Appropriate long-term storage conditions
-20°C
Aliquoting information
Upon delivery aliquot
Storage information
Avoid freeze / thaw cycle

Supplementary information

This supplementary information is collated from multiple sources and compiled automatically.

Acetylcholinesterase also known as AChE is an enzyme with a molecular mass of approximately 67 kDa. It plays a critical role in neurotransmission by catalyzing the hydrolysis of the neurotransmitter acetylcholine into acetate and choline. This reaction occurs at neuromuscular junctions and cholinergic synapses therefore terminating synaptic transmission. AChE is highly expressed in muscle and brain tissue particularly in the synaptic cleft where it regulates the nerve signal terminations.
Biological function summary

Acetylcholinesterase is essential for maintaining neurotransmission dynamics by ensuring timely acetylcholine breakdown. It does not function as part of a larger enzyme complex but its activity is necessary for efficient synaptic signaling in the nervous system. This enzymatic action prevents continuous stimulation of muscles and nerves by rapidly degrading acetylcholine thereby ensuring proper muscle contraction and cognitive processes.

Pathways

Acetylcholinesterase participates significantly in the cholinergic system. It influences cholinergic signaling pathways by inactivating acetylcholine after its release into the synaptic cleft. This function aligns acetylcholinesterase closely with receptors like nicotinic and muscarinic acetylcholine receptors. It indirectly affects signal transduction pathways that involve these receptors with potential downstream effects on ion channels and intracellular messengers.

Acetylcholinesterase plays a significant role in Alzheimer's disease and myasthenia gravis. In Alzheimer's disease decreased acetylcholinesterase function can lead to accumulations of acetylcholine and disrupted signaling contributing to cognitive dysfunction. Acetylcholinesterase inhibitors are therapeutic in such contexts. For myasthenia gravis a disorder affecting neuromuscular transmission the enzyme’s interaction with antibodies targets synaptic acetylcholine receptors. This interaction results in weakened muscle contractions correlating with condition severity.

Product protocols

For this product, it's our understanding that no specific protocols are required. You can visit:

Target data

Hydrolyzes rapidly the acetylcholine neurotransmitter released into the synaptic cleft allowing to terminate the signal transduction at the neuromuscular junction. Role in neuronal apoptosis.
See full target information ACHE

Publications (14)

Recent publications for all applications. Explore the full list and refine your search

Gut : PubMed35012996

2022

Extracellular Vesicles from Pancreatic Cancer Stem Cells Lead an Intratumor Communication Network (EVNet) to fuel tumour progression.

Applications

Unspecified application

Species

Unspecified reactive species

Carolina F Ruivo,Nuno Bastos,Barbara Adem,Ines Batista,Cecilia Duraes,Carlos A Melo,Stephanie A Castaldo,Francisco Campos-Laborie,Pedro Moutinho-Ribeiro,Barbara Morão,Ana Costa-Pinto,Soraia Silva,Hugo Osorio,Sergio Ciordia,Jose Luis Costa,David Goodrich,Bruno Cavadas,Luisa Pereira,Tony Kouzarides,Guilherme Macedo,Rui Maio,Fatima Carneiro,Marília Cravo,Raghu Kalluri,Jose Carlos Machado,Sonia A Melo

The EMBO journal 40:e105492 PubMed33709510

2021

Unbiased proteomic profiling of host cell extracellular vesicle composition and dynamics upon HIV-1 infection.

Applications

Unspecified application

Species

Unspecified reactive species

Lorena Martin-Jaular,Nathalie Nevo,Julia P Schessner,Mercedes Tkach,Mabel Jouve,Florent Dingli,Damarys Loew,Kenneth W Witwer,Matias Ostrowski,Georg H H Borner,Clotilde Théry

Journal of extracellular vesicles 10:e12050 PubMed33391636

2020

Extracellular vesicles containing ACE2 efficiently prevent infection by SARS-CoV-2 Spike protein-containing virus.

Applications

Unspecified application

Species

Unspecified reactive species

Federico Cocozza,Nathalie Névo,Ester Piovesana,Xavier Lahaye,Julian Buchrieser,Olivier Schwartz,Nicolas Manel,Mercedes Tkach,Clotilde Théry,Lorena Martin-Jaular

FEBS open bio 10:2805-2823 PubMed33145964

2020

Interaction of amyloid beta with humanin and acetylcholinesterase is modulated by ATP.

Applications

Unspecified application

Species

Unspecified reactive species

Sarah Atali,Sadaf Dorandish,Jonathan Devos,Asana Williams,Deanna Price,Jaylen Taylor,Jeffrey Guthrie,Deborah Heyl,Hedeel Guy Evans

International journal of biological macromolecules 160:35-46 PubMed32454110

2020

The inefficacy of donepezil on glycated-AChE inhibition: Binding affinity, complex stability and mechanism.

Applications

Unspecified application

Species

Unspecified reactive species

Reza Yekta,Leila Sadeghi,Gholamreza Dehghan

Biochemistry 59:1981-2002 PubMed32383868

2020

Humanin Blocks the Aggregation of Amyloid-β Induced by Acetylcholinesterase, an Effect Abolished in the Presence of IGFBP-3.

Applications

Unspecified application

Species

Unspecified reactive species

Deanna Price,Sadaf Dorandish,Asana Williams,Brandon Iwaniec,Alexis Stephens,Keyan Marshall,Jeffrey Guthrie,Deborah Heyl,Hedeel Guy Evans

Scientific reports 10:5083 PubMed32193421

2020

IGFBP-3 Blocks Hyaluronan-CD44 Signaling, Leading to Increased Acetylcholinesterase Levels in A549 Cell Media and Apoptosis in a p53-Dependent Manner.

Applications

Unspecified application

Species

Unspecified reactive species

Deanna Price,Robert Muterspaugh,Bradley Clegg,Asana Williams,Alexis Stephens,Jeffrey Guthrie,Deborah Heyl,Hedeel Guy Evans

Journal of extracellular vesicles 8:1628592 PubMed31303981

2019

Acetylcholinesterase is not a generic marker of extracellular vesicles.

Applications

Unspecified application

Species

Unspecified reactive species

Zhaohao Liao,Lorena Martin Jaular,Estelle Soueidi,Mabel Jouve,Dillon C Muth,Tine H Schøyen,Tessa Seale,Norman J Haughey,Matias Ostrowski,Clotilde Théry,Kenneth W Witwer

Journal of Alzheimer's disease : JAD 53:831-41 PubMed27258420

2016

Increased Expression of Readthrough Acetylcholinesterase Variants in the Brains of Alzheimer's Disease Patients.

Applications

Unspecified application

Species

Unspecified reactive species

Maria-Letizia Campanari,Francisco Navarrete,Stephen D Ginsberg,Jorge Manzanares,Javier Sáez-Valero,María-Salud García-Ayllón

PloS one 9:e113421 PubMed25405505

2014

Adolescent, but not adult, binge ethanol exposure leads to persistent global reductions of choline acetyltransferase expressing neurons in brain.

Applications

WB

Species

Human

Ryan P Vetreno,Margaret Broadwater,Wen Liu,Linda P Spear,Fulton T Crews
View all publications

Product promise

We are committed to supporting your work with high-quality reagents, and we're here for you every step of the way. In the unlikely event that one of our products does not perform as expected, you're protected by our Product Promise.
For full details, please see our Terms & Conditions

Please note: All products are 'FOR RESEARCH USE ONLY. NOT FOR USE IN DIAGNOSTIC OR THERAPEUTIC PROCEDURES'.

For licensing inquiries, please contact partnerships@abcam.com