JavaScript is disabled in your browser. Please enable JavaScript to view this website.
AB183591

Anti-Acetylcholinesterase antibody [EPR18978]

Be the first to review this product! Submit a review

|

(25 Publications)

Rabbit Recombinant Monoclonal Acetylcholinesterase antibody. Suitable for WB, IHC-Fr, IHC-P and reacts with Mouse, Rat samples. Cited in 25 publications.

View Alternative Names

Acetylcholinesterase, AChE, Ache

9 Images
Immunohistochemistry (Formalin/PFA-fixed paraffin-embedded sections) - Anti-Acetylcholinesterase antibody [EPR18978] (AB183591)
  • IHC-P

Supplier Data

Immunohistochemistry (Formalin/PFA-fixed paraffin-embedded sections) - Anti-Acetylcholinesterase antibody [EPR18978] (AB183591)

Immunohistochemical analysis of paraffin-embedded Rat striatum tissue labeling Acetylcholinesterase with ab183591 at 1/50 dilution, followed by Goat Anti-Rabbit IgG H&L (HRP) (ab97051) at 1/500 dilution. Membrane staining on Rat striatum is observed. Counter stained with Hematoxylin.

Secondary antibody only control : Used PBS instead of primary antibody, secondary antibody is ab97051 at 1/500 dilution.

Perform heat mediated antigen retrieval with Tris/EDTA buffer pH 9.0 before commencing with IHC staining protocol.

Immunohistochemistry (Frozen sections) - Anti-Acetylcholinesterase antibody [EPR18978] (AB183591)
  • IHC-Fr

Supplier Data

Immunohistochemistry (Frozen sections) - Anti-Acetylcholinesterase antibody [EPR18978] (AB183591)

Immunohistochemical analysis of 4% paraformaldehyde-fixed, 0.2% Triton X-100 permeabilized frozen Rat brain (sagittal section) tissue labeling Acetylcholinesterase with ab183591 at 1/1000 dilution, followed by Goat Anti-Rabbit IgG (Alexa Fluor® 488) (ab150077) secondary antibody at 1/1000 dilution (green). The result showed high expression on Rat striatum. The nuclear counterstain is DAPI (blue).

Secondary antibody only control : Used PBS instead of primary antibody, secondary antibody is ab150077 at 1/1000 dilution.

Immunohistochemistry (Formalin/PFA-fixed paraffin-embedded sections) - Anti-Acetylcholinesterase antibody [EPR18978] (AB183591)
  • IHC-P

Supplier Data

Immunohistochemistry (Formalin/PFA-fixed paraffin-embedded sections) - Anti-Acetylcholinesterase antibody [EPR18978] (AB183591)

Immunohistochemical analysis of paraffin-embedded Mouse skeletal muscle tissue labeling Acetylcholinesterase with ab183591 at 1/50 dilution, followed by Goat Anti-Rabbit IgG H&L (HRP) (ab97051) at 1/500 dilution. Positive staining on neuromuscular junction of Mouse skeletal muscle is observed. Counter stained with Hematoxylin.

Secondary antibody only control : Used PBS instead of primary antibody, secondary antibody is ab97051 at 1/500 dilution.

Perform heat mediated antigen retrieval with Tris/EDTA buffer pH 9.0 before commencing with IHC staining protocol.

Immunohistochemistry (Frozen sections) - Anti-Acetylcholinesterase antibody [EPR18978] (AB183591)
  • IHC-Fr

Supplier Data

Immunohistochemistry (Frozen sections) - Anti-Acetylcholinesterase antibody [EPR18978] (AB183591)

Immunohistochemical analysis of 4% paraformaldehyde-fixed, 0.2% Triton X-100 permeabilized frozen Mouse brain (Coronal section) tissue labeling Acetylcholinesterase with ab183591 at 1/1000 dilution, followed by Goat Anti-Rabbit IgG (Alexa Fluor® 488) (ab150077) secondary antibody at 1/1000 dilution (green). The result showed high expression on Mouse striatum. The nuclear counterstain is DAPI (blue).

Secondary antibody only control : Used PBS instead of primary antibody, secondary antibody is ab150077 at 1/1000 dilution

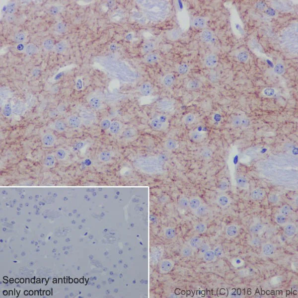
Immunohistochemistry (Formalin/PFA-fixed paraffin-embedded sections) - Anti-Acetylcholinesterase antibody [EPR18978] (AB183591)
  • IHC-P

Supplier Data

Immunohistochemistry (Formalin/PFA-fixed paraffin-embedded sections) - Anti-Acetylcholinesterase antibody [EPR18978] (AB183591)

Immunohistochemical analysis of paraffin-embedded Mouse striatum tissue labeling Acetylcholinesterase with ab183591 at 1/50 dilution, followed by Goat Anti-Rabbit IgG H&L (HRP) (ab97051) at 1/500 dilution. Membrane staining on Mouse striatum is observed. Counter stained with Hematoxylin.

Secondary antibody only control : Used PBS instead of primary antibody, secondary antibody is ab97051 at 1/500 dilution.

Perform heat mediated antigen retrieval with Tris/EDTA buffer pH 9.0 before commencing with IHC staining protocol.

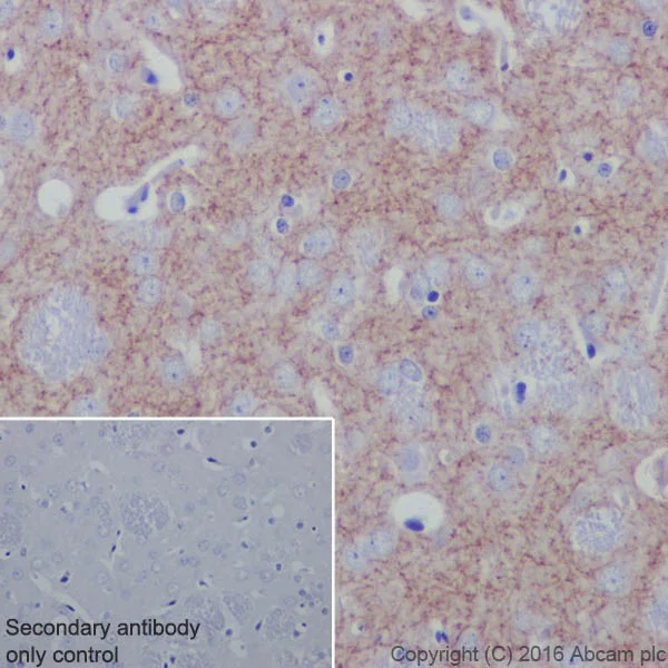
Immunohistochemistry (Formalin/PFA-fixed paraffin-embedded sections) - Anti-Acetylcholinesterase antibody [EPR18978] (AB183591)
  • IHC-P

Supplier Data

Immunohistochemistry (Formalin/PFA-fixed paraffin-embedded sections) - Anti-Acetylcholinesterase antibody [EPR18978] (AB183591)

Immunohistochemical analysis of paraffin-embedded Rat skeletal muscle tissue labeling Acetylcholinesterase with ab183591 at 1/50 dilution, followed by Goat Anti-Rabbit IgG H&L (HRP) (ab97051) at 1/500 dilution. Positive staining on neuromuscular junction of Rat skeletal muscle is observed. Counter stained with Hematoxylin.

Secondary antibody only control : Used PBS instead of primary antibody, secondary antibody is ab97051 at 1/500 dilution.

Perform heat mediated antigen retrieval with Tris/EDTA buffer pH 9.0 before commencing with IHC staining protocol.

Western blot - Anti-Acetylcholinesterase antibody [EPR18978] (AB183591)
  • WB

Supplier Data

Western blot - Anti-Acetylcholinesterase antibody [EPR18978] (AB183591)

Blocking/Dilution buffer : 5% NFDM/TBST.

Acetylcholinesterase hydrolyzes the acetylcholine at neuromuscular junctions and brain cholinergic synapses, and thus terminates signal transmission (PMID : 2400605; PMID 8515842).

All lanes:

Western blot - Anti-Acetylcholinesterase antibody [EPR18978] (ab183591) at 1/1000 dilution

Lane 1:

Rat striatum lysate at 20 µg

Lane 2:

Rat hippocampus lysate at 20 µg

Lane 3:

Rat brain lysate at 20 µg

Secondary

All lanes:

Western blot - Goat Anti-Rabbit IgG H&L (HRP) (<a href='/en-us/products/secondary-antibodies/goat-rabbit-igg-h-l-hrp-ab97051'>ab97051</a>) at 1/100000 dilution

Predicted band size: 68 kDa

Observed band size: 68 kDa

false

Exposure time: 3min

Western blot - Anti-Acetylcholinesterase antibody [EPR18978] (AB183591)
  • WB

Supplier Data

Western blot - Anti-Acetylcholinesterase antibody [EPR18978] (AB183591)

Blocking/Dilution buffer : 5% NFDM/TBST.

Exposure times : Lane 1 : 30 seconds, Lane 2 : 3 minutes.

Acetylcholinesterase hydrolyzes the acetylcholine at neuromuscular junctions and brain cholinergic synapses, and thus terminates signal transmission (PMID : 2400605; PMID 8515842).

All lanes:

Western blot - Anti-Acetylcholinesterase antibody [EPR18978] (ab183591) at 1/1000 dilution

Lane 1:

Mouse brain lysate at 20 µg

Lane 2:

Mouse striatum lysate at 20 µg

Secondary

All lanes:

Western blot - Goat Anti-Rabbit IgG H&L (HRP) (<a href='/en-us/products/secondary-antibodies/goat-rabbit-igg-h-l-hrp-ab97051'>ab97051</a>) at 1/100000 dilution

Predicted band size: 68 kDa

Observed band size: 68 kDa

false

Western blot - Anti-Acetylcholinesterase antibody [EPR18978] (AB183591)
  • WB

CiteAb

Western blot - Anti-Acetylcholinesterase antibody [EPR18978] (AB183591)

Acetylcholinesterase western blot using anti-Acetylcholinesterase antibody [EPR18978] ab183591. Publication image and figure legend from Liu, B., Kou, J., et al., 2020, Aging (Albany NY), PubMed 32392535.

ab183591 was used in this publication in western blot. This may not be the same as the application(s) guaranteed by Abcam. For a full list of applications guaranteed by Abcam for ab183591 please see the product overview.

Effects of LEO on acetylcholinesterase content in APP/PS1 mice and WT mice. Hippocampus of each group was extracted by extracting buffer and then estimated by Western blot. (A) Representative Western blot of acetylcholinesterase. (B) Densitometric analyses of the immunoreactivity to the antibody shown in A. (C) Quantitative analysis for the relative intensity of AChE in hippocampus. (D) Immunostaining with anti-AChE antibody in each group. Scale bar, hippocampus = 100 μm, CA1, CA3 = 20 μm, DG = 50 μm respectively. Data are expressed as the means ± SD. *p < 0.05, **p < 0.01, ***p < 0.001, significantly different from non-treated mice group. LEO : lemon essential oil.

false

  • Carrier free

    Anti-Acetylcholinesterase antibody [EPR18978] - BSA and Azide free

  • 665 Alexa Fluor® 647

    Alexa Fluor® 647 Anti-Acetylcholinesterase antibody [EPR18978]

Key facts

Host species

Rabbit

Clonality

Monoclonal

Clone number

EPR18978

Isotype

IgG

Carrier free

No

Reacts with

Mouse, Rat

Applications

WB, IHC-P, IHC-Fr

applications

Immunogen

The exact immunogen used to generate this antibody is proprietary information.

Reactivity data

{ "title": "Reactivity Data", "filters": { "stats": ["", "Species", "Dilution Info", "Notes"], "tabs": { "all-applications": {"fullname" : "All Applications", "shortname": "All Applications"}, "WB" : {"fullname" : "Western blot", "shortname":"WB"}, "IHCFr" : {"fullname" : "Immunohistochemistry (Frozen sections)", "shortname":"IHC-Fr"}, "IHCP" : {"fullname" : "Immunohistochemistry (Formalin/PFA-fixed paraffin-embedded sections)", "shortname":"IHC-P"} }, "product-promise": { "all": "all", "testedAndGuaranteed": "tested", "guaranteed": "expected", "predicted": "predicted", "notRecommended": "not-recommended" } }, "values": { "Mouse": { "WB-species-checked": "testedAndGuaranteed", "WB-species-dilution-info": "1/1000", "WB-species-notes": "<p></p>", "IHCFr-species-checked": "testedAndGuaranteed", "IHCFr-species-dilution-info": "1/1000", "IHCFr-species-notes": "<p>Antigen retrieval step: Heated citrate solution (10mM citrate pH 6.0 + 0.05% Tween-20)</p>", "IHCP-species-checked": "testedAndGuaranteed", "IHCP-species-dilution-info": "1/50", "IHCP-species-notes": "<p></p>" }, "Rat": { "WB-species-checked": "testedAndGuaranteed", "WB-species-dilution-info": "1/1000", "WB-species-notes": "<p></p>", "IHCFr-species-checked": "testedAndGuaranteed", "IHCFr-species-dilution-info": "1/1000", "IHCFr-species-notes": "<p>Antigen retrieval step: Heated citrate solution (10mM citrate pH 6.0 + 0.05% Tween-20)</p>", "IHCP-species-checked": "testedAndGuaranteed", "IHCP-species-dilution-info": "1/50", "IHCP-species-notes": "<p></p>" } } }

Product details

Patented technology
Our RabMAb® technology is a patented hybridoma-based technology for making rabbit monoclonal antibodies. For details on our patents, please refer to RabMAb® patents.

What are the advantages of a recombinant monoclonal antibody?
This product is a recombinant monoclonal antibody, which offers several advantages including:

  • - High batch-to-batch consistency and reproducibility
  • - Improved sensitivity and specificity
  • - Long-term security of supply
  • - Animal-free batch production

For more information, read more on recombinant antibodies.

Properties and storage information

Form
Liquid
Purification technique
Affinity purification Protein A
Storage buffer
pH: 7.2 Preservative: 0.01% Sodium azide Constituents: PBS, 40% Glycerol (glycerin, glycerine), 0.05% BSA
Shipped at conditions
Blue Ice
Appropriate short-term storage duration
1-2 weeks
Appropriate short-term storage conditions
+4°C
Appropriate long-term storage conditions
-20°C
Aliquoting information
Upon delivery aliquot
Storage information
Avoid freeze / thaw cycle

Supplementary information

This supplementary information is collated from multiple sources and compiled automatically.

Acetylcholinesterase also known as AChE is an enzyme with a molecular mass of approximately 67 kDa. It plays a critical role in neurotransmission by catalyzing the hydrolysis of the neurotransmitter acetylcholine into acetate and choline. This reaction occurs at neuromuscular junctions and cholinergic synapses therefore terminating synaptic transmission. AChE is highly expressed in muscle and brain tissue particularly in the synaptic cleft where it regulates the nerve signal terminations.
Biological function summary

Acetylcholinesterase is essential for maintaining neurotransmission dynamics by ensuring timely acetylcholine breakdown. It does not function as part of a larger enzyme complex but its activity is necessary for efficient synaptic signaling in the nervous system. This enzymatic action prevents continuous stimulation of muscles and nerves by rapidly degrading acetylcholine thereby ensuring proper muscle contraction and cognitive processes.

Pathways

Acetylcholinesterase participates significantly in the cholinergic system. It influences cholinergic signaling pathways by inactivating acetylcholine after its release into the synaptic cleft. This function aligns acetylcholinesterase closely with receptors like nicotinic and muscarinic acetylcholine receptors. It indirectly affects signal transduction pathways that involve these receptors with potential downstream effects on ion channels and intracellular messengers.

Acetylcholinesterase plays a significant role in Alzheimer's disease and myasthenia gravis. In Alzheimer's disease decreased acetylcholinesterase function can lead to accumulations of acetylcholine and disrupted signaling contributing to cognitive dysfunction. Acetylcholinesterase inhibitors are therapeutic in such contexts. For myasthenia gravis a disorder affecting neuromuscular transmission the enzyme’s interaction with antibodies targets synaptic acetylcholine receptors. This interaction results in weakened muscle contractions correlating with condition severity.

Product protocols

For this product, it's our understanding that no specific protocols are required. You can visit:

Target data

Terminates signal transduction at the neuromuscular junction by rapid hydrolysis of the acetylcholine released into the synaptic cleft.
See full target information Ache

Publications (25)

Recent publications for all applications. Explore the full list and refine your search

Nature communications 16:8404 PubMed40998795

2025

Injectable therapeutic system incorporating neurogenesis-programmed stem cells concomitantly promoting muscle regeneration treats stress urinary incontinence.

Applications

Unspecified application

Species

Unspecified reactive species

Wenzhuo Fang,Xuan Du,Ranxing Yang,Meng Liu,Ming Yang,Yangwang Jin,Guo Gao,Qiang Fu,Ying Wang

Journal of neurochemistry 169:e70178 PubMed40762084

2025

The Tacrine-Induced Endoplasmic Reticulum Stress in AChE-Expressed Cells Leads to Improper Assembly and Transport of the Oligomeric Enzyme: Reversal by Trehalose.

Applications

Unspecified application

Species

Unspecified reactive species

Xiaoyang Wang,Yingjie Xia,Maggie Suisui Guo,Jiahui Wu,Ajiaikebaier Dilidaer,Jin Gao,Tina Tingxia Dong,Yue Zhu,Karl Wah Keung Tsim

NPJ biofilms and microbiomes 11:93 PubMed40461483

2025

TSP50 deficiency in neural stem cells aggravates colitis in mice by altering intestinal microbiome.

Applications

Unspecified application

Species

Unspecified reactive species

Xiaoli Li,Rong Jin,Zhaoxia Wang,Chunxue Niu,Zhenbo Song,Xiaoling Liu,Jian Huang,Huan Zhang,Xia Qian,Feng Gao,Shuyue Wang,Chunlei Yu,Luguo Sun,Yanxin Huang,Lihua Zheng,Guannan Wang,Ying Sun,Xiaoguang Yang,Yongli Bao,Jiawei Li

Pharmaceutical biology 63:218-228 PubMed40205764

2025

, a standardized herbal formula, promotes gastrointestinal motility via modulation of the acetylcholine pathway in a loperamide-induced functional dyspepsia mice.

Applications

Unspecified application

Species

Unspecified reactive species

Seung-Ju Hwang,Chang-Seob Seo,Dong-Cheol Baek,Tae-Wook Woo,Jing-Hua Wang,Jin-Seok Lee,Yu-Jin Choi,Ji-Yeon Gu,Dong-Seon Kim,Chang-Gue Son

PloS one 20:e0317683 PubMed39841686

2025

GsMTx-4 combined with exercise improves skeletal muscle structure and motor function in rats with spinal cord injury.

Applications

Unspecified application

Species

Unspecified reactive species

Xin Zhang,Xinyu Liu,Qianxi Li,Chenyu Li,Xinyan Li,Jinghua Qian,Jianjun Li,Xuemei Li

Nature aging 4:969-983 PubMed38834884

2024

Cell type mapping of inflammatory muscle diseases highlights selective myofiber vulnerability in inclusion body myositis.

Applications

Unspecified application

Species

Unspecified reactive species

Sven Wischnewski,Thomas Thäwel,Chiseko Ikenaga,Anna Kocharyan,Celia Lerma-Martin,Amel Zulji,Hans-Werner Rausch,David Brenner,Leonie Thomas,Michael Kutza,Brittney Wick,Tim Trobisch,Corinna Preusse,Maximilian Haeussler,Jan Leipe,Albert Ludolph,Angela Rosenbohm,Ahmet Hoke,Michael Platten,Jochen H Weishaupt,Clemens J Sommer,Werner Stenzel,Thomas E Lloyd,Lucas Schirmer

CNS neuroscience & therapeutics 30:e14743 PubMed38780008

2024

Electroacupuncture regulates Rab5a-mediating NGF transduction to improve learning and memory ability in the early stage of AD mice.

Applications

Unspecified application

Species

Unspecified reactive species

Jianhong Li,Minguang Yang,Yaling Dai,Xiaoqin Guo,Yanyi Ding,Xiaoling Li,Shenghang Zhang,Wenshan Xu,Lidian Chen,Jing Tao,Weilin Liu

Journal of molecular and cellular cardiology 187:1-14 PubMed38103633

2023

Age-related structural and functional changes of the intracardiac nervous system.

Applications

Unspecified application

Species

Unspecified reactive species

Eliza Sassu,Gavin Tumlinson,Dragana Stefanovska,Marbely C Fernández,Pia Iaconianni,Josef Madl,Tomás A Brennan,Manuel Koch,Breanne A Cameron,Sebastian Preissl,Ursula Ravens,Franziska Schneider-Warme,Peter Kohl,Callum M Zgierski-Johnston,Luis Hortells

Foods (Basel, Switzerland) 12: PubMed38137233

2023

Protective Effects of Whey Protein Hydrolysate, Treadmill Exercise, and Their Combination against Scopolamine-Induced Cognitive Deficit in Mice.

Applications

Unspecified application

Species

Unspecified reactive species

Yeok Boo Chang,Eun-Jin Jung,Hyung Joo Suh,Hyeon-Son Choi

Science advances 9:eadd8162 PubMed36947608

2023

Functional neurological restoration of amputated peripheral nerve using biohybrid regenerative bioelectronics.

Applications

Unspecified application

Species

Unspecified reactive species

Amy E Rochford,Alejandro Carnicer-Lombarte,Malak Kawan,Amy Jin,Sam Hilton,Vincenzo F Curto,Alexandra L Rutz,Thomas Moreau,Mark R N Kotter,George G Malliaras,Damiano G Barone
View all publications

Product promise

We are committed to supporting your work with high-quality reagents, and we're here for you every step of the way. In the unlikely event that one of our products does not perform as expected, you're protected by our Product Promise.
For full details, please see our Terms & Conditions

Please note: All products are 'FOR RESEARCH USE ONLY. NOT FOR USE IN DIAGNOSTIC OR THERAPEUTIC PROCEDURES'.

For licensing inquiries, please contact partnerships@abcam.com