JavaScript is disabled in your browser. Please enable JavaScript to view this website.
AB253201

Anti-Acetylcholinesterase antibody [EPR23268-202]

Be the first to review this product! Submit a review

|

(0 Publication)

Rabbit Recombinant Monoclonal Acetylcholinesterase antibody. Suitable for IP, WB and reacts with Mouse, Human, Rat samples.

View Alternative Names

Acetylcholinesterase, AChE, ACHE

4 Images
Immunoprecipitation - Anti-Acetylcholinesterase antibody [EPR23268-202] (AB253201)
  • IP

Unknown

Immunoprecipitation - Anti-Acetylcholinesterase antibody [EPR23268-202] (AB253201)

Acetylcholinesterase was immunoprecipitated from 0.35 mg human brain tissue lysate with ab253201 at 1/30 dilution (2μg in 0.35mg lysates). Western blot was performed on the immunoprecipitate using ab253201 at 1/1000 dilution. VeriBlot for IP Detection Reagent (HRP)(ab131366) was used at 1/5000 dilution.

Lane 1 : Human brain tissue lysate 10μg.

Lane 2 : ab253201 IP in human brain tissue lysate

Lane 3 : Rabbit monoclonal IgG (ab172730) instead of ab253201 in human brain tissue lysate.

Blocking and dilution buffer and concentration : 5% NFDM/TBST.

Exposure time : 10 seconds.

All lanes:

Immunoprecipitation - Anti-Acetylcholinesterase antibody [EPR23268-202] (ab253201)

Predicted band size: 68 kDa

Observed band size: 68 kDa

false

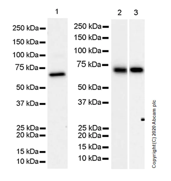
Immunoprecipitation - Anti-Acetylcholinesterase antibody [EPR23268-202] (AB253201)
  • IP

Unknown

Immunoprecipitation - Anti-Acetylcholinesterase antibody [EPR23268-202] (AB253201)

Acetylcholinesterase was immunoprecipitated from 0.35 mg mouse brain tissue lysate with ab253201 at 1/30 dilution (2μg in 0.35mg lysates). Western blot was performed on the immunoprecipitate using ab253201 at 1/1000 dilution. VeriBlot for IP Detection Reagent (HRP)(ab131366) was used at 1/5000 dilution.

Lane 1 : Mouse brain tissue lysate 10μg.

Lane 2 : ab253201 IP in mouse brain tissue lysate.

Lane 3 : Rabbit monoclonal IgG (ab172730) instead of ab253201 in mouse brain tissue lysate.

Blocking and dilution buffer and concentration : 5% NFDM/TBST.

Exposure time : 6 seconds.

All lanes:

Immunoprecipitation - Anti-Acetylcholinesterase antibody [EPR23268-202] (ab253201)

Predicted band size: 68 kDa

Observed band size: 68 kDa

false

Western blot - Anti-Acetylcholinesterase antibody [EPR23268-202] (AB253201)
  • WB

Lab

Western blot - Anti-Acetylcholinesterase antibody [EPR23268-202] (AB253201)

Blocking and diluting buffer and concentration : 5% NFDM/TBST.

Exposure times : Lane 1 : 59 seconds; Lane 2 : 26 seconds; Lane 3 : 3 minutes.

All lanes:

Western blot - Anti-Acetylcholinesterase antibody [EPR23268-202] (ab253201) at 1/1000 dilution

Lane 1:

HeLa (human cervix adenocarcinoma epithelial cell) whole cell lysate at 20 µg

Lane 2:

PC-12 (rat adrenal gland pheochromocytoma) whole cell lysate at 20 µg

Lane 3:

NIH/3T3 (mouse embryonic fibroblast) whole cell lysate at 20 µg

Secondary

All lanes:

Goat Anti-Rabbit IgG, (H+L), Peroxidase conjugated (<a href='/en-us/products/secondary-antibodies/goat-rabbit-igg-h-l-hrp-ab97051'>ab97051</a>) at 1/50000 dilution

Predicted band size: 68 kDa

Observed band size: 68 kDa

false

Western blot - Anti-Acetylcholinesterase antibody [EPR23268-202] (AB253201)
  • WB

Lab

Western blot - Anti-Acetylcholinesterase antibody [EPR23268-202] (AB253201)

Blocking and diluting buffer and concentration : 5% NFDM/TBST.

Negative control : Human liver (PMID : 2400605).

Exposure time : 3 minutes.

All lanes:

Western blot - Anti-Acetylcholinesterase antibody [EPR23268-202] (ab253201) at 1/1000 dilution

Lane 1:

Human brain tissue lysate at 20 µg

Lane 2:

Human liver tissue lysate at 20 µg

Lane 3:

Mouse brain tissue lysate at 20 µg

Lane 4:

Mouse striatum tissue lysate at 20 µg

Lane 5:

Rat brain tissue lysate at 20 µg

Lane 6:

Rat striatum tissue lysate at 20 µg

Secondary

All lanes:

Goat Anti-Rabbit IgG, (H+L), Peroxidase conjugated (<a href='/en-us/products/secondary-antibodies/goat-rabbit-igg-h-l-hrp-ab97051'>ab97051</a>) at 1/50000 dilution

Predicted band size: 68 kDa

Observed band size: 68 kDa

false

Key facts

Host species

Rabbit

Clonality

Monoclonal

Clone number

EPR23268-202

Isotype

IgG

Carrier free

No

Reacts with

Mouse, Rat, Human

Applications

WB, IP

applications

Immunogen

The exact immunogen used to generate this antibody is proprietary information.

Reactivity data

{ "title": "Reactivity Data", "filters": { "stats": ["", "Species", "Dilution Info", "Notes"], "tabs": { "all-applications": {"fullname" : "All Applications", "shortname": "All Applications"}, "ICCIF" : {"fullname" : "Immunocytochemistry/ Immunofluorescence", "shortname":"ICC/IF"}, "IP" : {"fullname" : "Immunoprecipitation", "shortname":"IP"}, "FlowCyt" : {"fullname" : "Flow Cytometry", "shortname":"Flow Cyt"}, "WB" : {"fullname" : "Western blot", "shortname":"WB"}, "IHCP" : {"fullname" : "Immunohistochemistry (Formalin/PFA-fixed paraffin-embedded sections)", "shortname":"IHC-P"} }, "product-promise": { "all": "all", "testedAndGuaranteed": "tested", "guaranteed": "expected", "predicted": "predicted", "notRecommended": "not-recommended" } }, "values": { "Human": { "ICCIF-species-checked": "notRecommended", "ICCIF-species-dilution-info": "", "ICCIF-species-notes": "<p></p>", "IP-species-checked": "testedAndGuaranteed", "IP-species-dilution-info": "1/30", "IP-species-notes": "<p></p>", "FlowCyt-species-checked": "notRecommended", "FlowCyt-species-dilution-info": "", "FlowCyt-species-notes": "<p></p>", "WB-species-checked": "testedAndGuaranteed", "WB-species-dilution-info": "1/1000", "WB-species-notes": "<p></p>", "IHCP-species-checked": "notRecommended", "IHCP-species-dilution-info": "", "IHCP-species-notes": "<p></p>" }, "Mouse": { "ICCIF-species-checked": "notRecommended", "ICCIF-species-dilution-info": "", "ICCIF-species-notes": "", "IP-species-checked": "testedAndGuaranteed", "IP-species-dilution-info": "1/30", "IP-species-notes": "<p></p>", "FlowCyt-species-checked": "notRecommended", "FlowCyt-species-dilution-info": "", "FlowCyt-species-notes": "", "WB-species-checked": "testedAndGuaranteed", "WB-species-dilution-info": "1/1000", "WB-species-notes": "<p></p>", "IHCP-species-checked": "notRecommended", "IHCP-species-dilution-info": "", "IHCP-species-notes": "<p></p>" }, "Rat": { "ICCIF-species-checked": "notRecommended", "ICCIF-species-dilution-info": "", "ICCIF-species-notes": "", "IP-species-checked": "guaranteed", "IP-species-dilution-info": "", "IP-species-notes": "", "FlowCyt-species-checked": "notRecommended", "FlowCyt-species-dilution-info": "", "FlowCyt-species-notes": "", "WB-species-checked": "testedAndGuaranteed", "WB-species-dilution-info": "1/1000", "WB-species-notes": "<p></p>", "IHCP-species-checked": "notRecommended", "IHCP-species-dilution-info": "", "IHCP-species-notes": "<p></p>" } } }

Product details

Patented technology
Our RabMAb® technology is a patented hybridoma-based technology for making rabbit monoclonal antibodies. For details on our patents, please refer to RabMAb® patents.

What are the advantages of a recombinant monoclonal antibody?
This product is a recombinant monoclonal antibody, which offers several advantages including:

  • - High batch-to-batch consistency and reproducibility
  • - Improved sensitivity and specificity
  • - Long-term security of supply
  • - Animal-free batch production

For more information, read more on recombinant antibodies.

Properties and storage information

Form
Liquid
Purification technique
Affinity purification Protein A
Storage buffer
pH: 7.2 - 7.4 Preservative: 0.01% Sodium azide Constituents: PBS, 40% Glycerol (glycerin, glycerine), 0.05% BSA
Shipped at conditions
Blue Ice
Appropriate short-term storage duration
1-2 weeks
Appropriate short-term storage conditions
+4°C
Appropriate long-term storage conditions
-20°C
Aliquoting information
Upon delivery aliquot
Storage information
Avoid freeze / thaw cycle

Supplementary information

This supplementary information is collated from multiple sources and compiled automatically.

Acetylcholinesterase also known as AChE is an enzyme with a molecular mass of approximately 67 kDa. It plays a critical role in neurotransmission by catalyzing the hydrolysis of the neurotransmitter acetylcholine into acetate and choline. This reaction occurs at neuromuscular junctions and cholinergic synapses therefore terminating synaptic transmission. AChE is highly expressed in muscle and brain tissue particularly in the synaptic cleft where it regulates the nerve signal terminations.
Biological function summary

Acetylcholinesterase is essential for maintaining neurotransmission dynamics by ensuring timely acetylcholine breakdown. It does not function as part of a larger enzyme complex but its activity is necessary for efficient synaptic signaling in the nervous system. This enzymatic action prevents continuous stimulation of muscles and nerves by rapidly degrading acetylcholine thereby ensuring proper muscle contraction and cognitive processes.

Pathways

Acetylcholinesterase participates significantly in the cholinergic system. It influences cholinergic signaling pathways by inactivating acetylcholine after its release into the synaptic cleft. This function aligns acetylcholinesterase closely with receptors like nicotinic and muscarinic acetylcholine receptors. It indirectly affects signal transduction pathways that involve these receptors with potential downstream effects on ion channels and intracellular messengers.

Acetylcholinesterase plays a significant role in Alzheimer's disease and myasthenia gravis. In Alzheimer's disease decreased acetylcholinesterase function can lead to accumulations of acetylcholine and disrupted signaling contributing to cognitive dysfunction. Acetylcholinesterase inhibitors are therapeutic in such contexts. For myasthenia gravis a disorder affecting neuromuscular transmission the enzyme’s interaction with antibodies targets synaptic acetylcholine receptors. This interaction results in weakened muscle contractions correlating with condition severity.

Product protocols

For this product, it's our understanding that no specific protocols are required. You can visit:

Target data

Hydrolyzes rapidly the acetylcholine neurotransmitter released into the synaptic cleft allowing to terminate the signal transduction at the neuromuscular junction. Role in neuronal apoptosis.
See full target information ACHE

Product promise

We are committed to supporting your work with high-quality reagents, and we're here for you every step of the way. In the unlikely event that one of our products does not perform as expected, you're protected by our Product Promise.
For full details, please see our Terms & Conditions

Please note: All products are 'FOR RESEARCH USE ONLY. NOT FOR USE IN DIAGNOSTIC OR THERAPEUTIC PROCEDURES'.

For licensing inquiries, please contact partnerships@abcam.com