JavaScript is disabled in your browser. Please enable JavaScript to view this website.
AB187670

Anti-ACF1 / BAZ1A antibody [EPR15826] - C-terminal

2

(1 Review)

|

(1 Publication)

Rabbit Recombinant Monoclonal ACF1 / BAZ1A antibody. C-terminal. Suitable for WB, ICC/IF, IHC-P and reacts with Human samples. Cited in 1 publication.

View Alternative Names

ACF1, WCRF180, HSPC317, BAZ1A, Bromodomain adjacent to zinc finger domain protein 1A, ATP-dependent chromatin-remodeling protein, ATP-utilizing chromatin assembly and remodeling factor 1, CHRAC subunit ACF1, Williams syndrome transcription factor-related chromatin-remodeling factor 180, hWALp1, hACF1

7 Images
Western blot - Anti-ACF1 / BAZ1A antibody [EPR15826] - C-terminal (AB187670)
  • WB

Lab

Western blot - Anti-ACF1 / BAZ1A antibody [EPR15826] - C-terminal (AB187670)

Lanes 1-4 : Merged signal (red and green). Green - ab187670 observed at 178 kDa. Red - loading control ab7291 observed at 50 kDa.

ab187670 Anti-BAZ1A antibody [EPR15826] - C-terminal was shown to specifically react with BAZ1A in wild-type HeLa cells. Loss of signal was observed when knockout cell line ab264925 (knockout cell lysate ab257856) was used. Wild-type and BAZ1A knockout samples were subjected to SDS-PAGE. ab187670 and Anti-alpha Tubulin antibody [DM1A] - Loading Control (ab7291) were incubated overnight at 4°C at 1 in10000 dilution and 1 in 20000 dilution respectively. Blots were developed with Goat anti-Rabbit IgG H&L (IRDye® 800CW) preadsorbed (ab216773) and Goat anti-Mouse IgG H&L (IRDye® 680RD) preadsorbed (ab216776) secondary antibodies at 1 in 20000 dilution for 1 hour at room temperature before imaging.

All lanes:

Western blot - Anti-ACF1 / BAZ1A antibody [EPR15826] - C-terminal (ab187670) at 1/10000 dilution

Lane 1:

Wild-type HeLa cell lysate at 20 µg

Lane 2:

BAZ1A knockout HeLa cell lysate at 20 µg

Lane 2:

Western blot - Human BAZ1A (ACF1) knockout HeLa cell line (<a href='/en-us/products/cell-lines/human-baz1a-acf1-knockout-hela-cell-line-ab264925'>ab264925</a>)

Lane 3:

Jurkat cell lysate at 20 µg

Lane 4:

Daudi cell lysate at 20 µg

Secondary

All lanes:

Western blot - Goat anti-Rabbit IgG H&L (IRDye® 800CW) preadsorbed (<a href='/en-us/products/secondary-antibodies/goat-rabbit-igg-h-l-irdye-800cw-preadsorbed-ab216773'>ab216773</a>) at 1/20000 dilution

Predicted band size: 178 kDa

Observed band size: 178 kDa

false

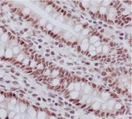
Immunohistochemistry (Formalin/PFA-fixed paraffin-embedded sections) - Anti-ACF1 / BAZ1A antibody [EPR15826] - C-terminal (AB187670)
  • IHC-P

Supplier Data

Immunohistochemistry (Formalin/PFA-fixed paraffin-embedded sections) - Anti-ACF1 / BAZ1A antibody [EPR15826] - C-terminal (AB187670)

Immunohistochemical analysis of paraffin embedded Human colon tissue labeling ACF1 / BAZ1A with ab187670 at 1/100 dilution. Prediluted (Ready to use) HRP Polymer for Rabbit IgG was used as a secondary antibody. Antigen retrieval : Perform heat mediated antigen retrieval using EDTA Buffer, pH 9. Counter stain : Hematoxylin.

Western blot - Anti-ACF1 / BAZ1A antibody [EPR15826] - C-terminal (AB187670)
  • WB

Lab

Western blot - Anti-ACF1 / BAZ1A antibody [EPR15826] - C-terminal (AB187670)

Lanes 1 - 4 : Merged signal (red and green). Green - ab187670 observed at 178 kDa. Red - loading control, ab18058, observed at 124 kDa.

ab187670 was shown to specifically react with BAZ1A in wilt-type HAP1 cells. No band was observed when BAZ1A knockout samples were used. Wild-type and BAZ1A knockout samples were subjected to SDS-PAGE. ab187670 and ab18058 (loading control to Vinculin) were diluted at 1/10000 and 1/10000 dilution respectively and incubated overnight at 4C. Blots were developed with Goat anti-Rabbit IgG H&L (IRDye® 800CW) preadsorbed ab216773 and Goat anti-Mouse IgG H&L (IRDye® 680RD) preadsorbed ab216776 secondary antibodies at 1/10000 dilution for 1 hour at room temperature before imaging.

All lanes:

Western blot - Anti-ACF1 / BAZ1A antibody [EPR15826] - C-terminal (ab187670) at 1/10000 dilution

Lane 1:

Wild-type HAP1 cell lysate at 20 µg

Lane 2:

BAZ1A knockout HAP1 cell lysate at 20 µg

Lane 3:

HeLa cell lysate at 20 µg

Lane 4:

Jurkat cell lysate at 20 µg

Predicted band size: 178 kDa

false

Western blot - Anti-ACF1 / BAZ1A antibody [EPR15826] - C-terminal (AB187670)
  • WB

Supplier Data

Western blot - Anti-ACF1 / BAZ1A antibody [EPR15826] - C-terminal (AB187670)

All lanes:

Western blot - Anti-ACF1 / BAZ1A antibody [EPR15826] - C-terminal (ab187670) at 1/10000 dilution

Lane 1:

HeLa cell lysate at 20 µg

Lane 2:

Molt4 cell lysate at 20 µg

Secondary

All lanes:

Goat Anti-Rabbit IgG, (H+L), Peroxidase conjugated at 1/1000 dilution

Predicted band size: 178 kDa

false

Western blot - Anti-ACF1 / BAZ1A antibody [EPR15826] - C-terminal (AB187670)
  • WB

Supplier Data

Western blot - Anti-ACF1 / BAZ1A antibody [EPR15826] - C-terminal (AB187670)

All lanes:

Western blot - Anti-ACF1 / BAZ1A antibody [EPR15826] - C-terminal (ab187670) at 1/50000 dilution

All lanes:

Jurkat cell lysate at 20 µg

Secondary

All lanes:

Goat Anti-Rabbit IgG, (H+L), Peroxidase conjugated at 1/1000 dilution

Predicted band size: 178 kDa

false

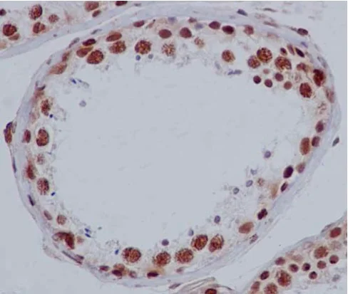
Immunohistochemistry (Formalin/PFA-fixed paraffin-embedded sections) - Anti-ACF1 / BAZ1A antibody [EPR15826] - C-terminal (AB187670)
  • IHC-P

Supplier Data

Immunohistochemistry (Formalin/PFA-fixed paraffin-embedded sections) - Anti-ACF1 / BAZ1A antibody [EPR15826] - C-terminal (AB187670)

Immunohistochemical analysis of paraffin embedded Human testis tissue labeling ACF1 / BAZ1A with ab187670 at 1/100 dilution. Prediluted (Ready to use) HRP Polymer for Rabbit IgG was used as a secondary antibody. Antigen retrieval : Perform heat mediated antigen retrieval using EDTA Buffer, pH 9. Counter stain : Hematoxylin.

Immunocytochemistry/ Immunofluorescence - Anti-ACF1 / BAZ1A antibody [EPR15826] - C-terminal (AB187670)
  • ICC/IF

Supplier Data

Immunocytochemistry/ Immunofluorescence - Anti-ACF1 / BAZ1A antibody [EPR15826] - C-terminal (AB187670)

Immunofluorescent analysis of 4% paraformaldehyde-fixed HeLa cells labeling ACF1 / BAZ1A with ab187670 at 1/250 (red) and DAPI staining (blue). Secondary aantibody : goat anti rabbit IgG(Alexa Fluor® 555).

  • Carrier free

    Anti-ACF1 / BAZ1A antibody [EPR15826] - BSA and Azide free

Key facts

Host species

Rabbit

Clonality

Monoclonal

Clone number

EPR15826

Isotype

IgG

Carrier free

No

Reacts with

Human

Applications

ICC/IF, WB, IHC-P

applications

Immunogen

The exact immunogen used to generate this antibody is proprietary information.

Reactivity data

{ "title": "Reactivity Data", "filters": { "stats": ["", "Species", "Dilution Info", "Notes"], "tabs": { "all-applications": {"fullname" : "All Applications", "shortname": "All Applications"}, "WB" : {"fullname" : "Western blot", "shortname":"WB"}, "ICCIF" : {"fullname" : "Immunocytochemistry/ Immunofluorescence", "shortname":"ICC/IF"}, "IHCP" : {"fullname" : "Immunohistochemistry (Formalin/PFA-fixed paraffin-embedded sections)", "shortname":"IHC-P"} }, "product-promise": { "all": "all", "testedAndGuaranteed": "tested", "guaranteed": "expected", "predicted": "predicted", "notRecommended": "not-recommended" } }, "values": { "Human": { "WB-species-checked": "testedAndGuaranteed", "WB-species-dilution-info": "1/10000 - 1/50000", "WB-species-notes": "<p></p>", "ICCIF-species-checked": "testedAndGuaranteed", "ICCIF-species-dilution-info": "1/250", "ICCIF-species-notes": "<p></p>", "IHCP-species-checked": "testedAndGuaranteed", "IHCP-species-dilution-info": "1/100", "IHCP-species-notes": "<p></p> Perform heat-mediated antigen retrieval with Tris/EDTA buffer pH 9.0 before commencing with IHC staining protocol." } } }

Product details

Patented technology
Our RabMAb® technology is a patented hybridoma-based technology for making rabbit monoclonal antibodies. For details on our patents, please refer to RabMAb® patents.

What are the advantages of a recombinant monoclonal antibody?
This product is a recombinant monoclonal antibody, which offers several advantages including:

  • - High batch-to-batch consistency and reproducibility
  • - Improved sensitivity and specificity
  • - Long-term security of supply
  • - Animal-free batch production

For more information, read more on recombinant antibodies.

Properties and storage information

Form
Liquid
Purification technique
Affinity purification Protein A
Storage buffer
pH: 7.2 - 7.4 Preservative: 0.01% Sodium azide Constituents: 59% PBS, 40% Glycerol (glycerin, glycerine), 0.05% BSA
Shipped at conditions
Blue Ice
Appropriate short-term storage duration
1-2 weeks
Appropriate short-term storage conditions
+4°C
Appropriate long-term storage conditions
-20°C
Aliquoting information
Upon delivery aliquot
Storage information
Avoid freeze / thaw cycle

Supplementary information

This supplementary information is collated from multiple sources and compiled automatically.

ACF1 also known as BAZ1A is a protein involved in DNA regulation. It is part of the ATP-utilizing chromatin assembly and remodeling factor (ACF) complex. This protein with a molecular mass of around 216 kDa is present mostly in the nucleus. ACF1 shows expression in various tissues including the brain and liver where it operates in regulating chromatin structure and gene accessibility.
Biological function summary

ACF1/BAZ1A is integral to chromatin remodeling which affects how DNA is packaged and accessed by other cellular machinery. It forms part of the ACF complex alongside the ISWI ATPase subunit heavily impacting nucleosome spacing and accessibility. ACF1/BAZ1A assists in nucleosome assembly and the establishment of regular chromatin structures important for gene expression regulation DNA replication and repair processes.

Pathways

ACF1/BAZ1A plays essential roles in pathways related to DNA repair and transcription regulation. In the DNA damage response pathway ACF1/BAZ1A works alongside other proteins like ISWI to ensure proper chromatin architecture facilitating DNA synthesis and repair mechanisms. It also contributes to transcription regulation by altering chromatin structure to allow transcription factors and RNA polymerase II access to DNA.

ACF1/BAZ1A associates with conditions involving genomic instability and cancer. Its role in chromatin remodeling makes it relevant in cancer where faulty chromatin regulation can lead to unchecked cell proliferation. ACF1/BAZ1A has connections with p53 a protein significant in the cellular response to DNA damage further implicating its importance in maintaining genomic integrity. Understanding this protein's role could aid therapeutic strategies targeting chromatin dynamics in these diseases.

Product protocols

For this product, it's our understanding that no specific protocols are required. You can visit:

Target data

Regulatory subunit of the ATP-dependent ACF-1 and ACF-5 ISWI chromatin remodeling complexes, which form ordered nucleosome arrays on chromatin and slide edge- and center-positioned histone octamers away from their original location on the DNA template to facilitate access to DNA during DNA-templated processes such as DNA replication, transcription, and repair (PubMed : 17099699, PubMed : 28801535). Both complexes regulate the spacing of nucleosomes along the chromatin and have the ability to slide mononucleosomes to the center of a DNA template in an ATP-dependent manner (PubMed : 14759371, PubMed : 17099699, PubMed : 28801535). The ACF-1 ISWI chromatin remodeling complex has a lower ATP hydrolysis rate than the ACF-5 ISWI chromatin remodeling complex (PubMed : 28801535). Has a role in sensing the length of DNA which flank nucleosomes, which modulates the nucleosome spacing activity of the ACF-5 ISWI chromatin remodeling complex (PubMed : 17099699). Involved in DNA replication and together with SMARCA5/SNF2H is required for replication of pericentric heterochromatin in S-phase (PubMed : 12434153). May have a role in nuclear receptor-mediated transcription repression (PubMed : 17519354).
See full target information BAZ1A

Publications (1)

Recent publications for all applications. Explore the full list and refine your search

Cancer research 81:4939-4948 PubMed34385184

2021

Radiation-Induced Phosphorylation of a Prion-Like Domain Regulates Transformation by FUS-CHOP.

Applications

Unspecified application

Species

Unspecified reactive species

Mark Chen,Joseph P Foster,Ian C Lock,Nathan H Leisenring,Andrea R Daniel,Warren Floyd,Eric Xu,Ian J Davis,David G Kirsch
View all publications

Product promise

We are committed to supporting your work with high-quality reagents, and we're here for you every step of the way. In the unlikely event that one of our products does not perform as expected, you're protected by our Product Promise.
For full details, please see our Terms & Conditions

Please note: All products are 'FOR RESEARCH USE ONLY. NOT FOR USE IN DIAGNOSTIC OR THERAPEUTIC PROCEDURES'.

For licensing inquiries, please contact partnerships@abcam.com