JavaScript is disabled in your browser. Please enable JavaScript to view this website.
AB235448

Anti-Acid phosphatase antibody [EPR21787]

Be the first to review this product! Submit a review

|

(5 Publications)

Rabbit Recombinant Monoclonal PPAC antibody. Suitable for IP, Flow Cyt (Intra), ICC/IF, IHC-P, WB and reacts with Human, Mouse, Rat samples. Cited in 5 publications.

View Alternative Names

Low molecular weight phosphotyrosine protein phosphatase, LMW-PTP, LMW-PTPase, Adipocyte acid phosphatase, Low molecular weight cytosolic acid phosphatase, Red cell acid phosphatase 1, ACP1

9 Images
Immunocytochemistry/ Immunofluorescence - Anti-Acid phosphatase antibody [EPR21787] (AB235448)
  • ICC/IF

Supplier Data

Immunocytochemistry/ Immunofluorescence - Anti-Acid phosphatase antibody [EPR21787] (AB235448)

Immunofluorescent analysis of 4% paraformaldehyde-fixed, 0.1% Triton X-100 permeabilized HepG2 (Human liver hepatocellular carcinoma cell line) cells labeling Acid phosphatase with ab235448 at 1/100 dilution, followed by Goat Anti-Rabbit IgG H&L (Alexa Fluor® 488) (ab150077) secondary antibody at 1/1000 dilution (green). Confocal image showing cytoplasmic and nuclear staining in HepG2 cell line (PMID 26159288). The nuclear counterstain is DAPI (blue). Tubulin is detected with Anti-alpha Tubulin antibody [DM1A] - Microtubule Marker (Alexa Fluor® 594) (ab195889) at 1/200 dilution.

Secondary antibody only control : Used PBS instead of primary antibody, followed by Goat Anti-Rabbit IgG H&L (Alexa Fluor® 488) (ab150077) secondary antibody at 1/1000 dilution.

Immunocytochemistry/ Immunofluorescence - Anti-Acid phosphatase antibody [EPR21787] (AB235448)
  • ICC/IF

Supplier Data

Immunocytochemistry/ Immunofluorescence - Anti-Acid phosphatase antibody [EPR21787] (AB235448)

Immunofluorescent analysis of 4% paraformaldehyde-fixed, 0.1% Triton X-100 permeabilized HeLa (Human epithelial cell line from cervix adenocarcinoma) cells labeling Acid phosphatase with ab235448 at 1/100 dilution, followed by Goat Anti-Rabbit IgG H&L (Alexa Fluor® 488) (ab150077) secondary antibody at 1/1000 dilution (green). Confocal image showing cytoplasmic and nuclear staining in HeLa cell line (PMID 26159288). The nuclear counterstain is DAPI (blue). Tubulin is detected with Anti-alpha Tubulin antibody [DM1A] - Microtubule Marker (Alexa Fluor® 594) (ab195889) at 1/200 dilution.

Secondary antibody only control : Used PBS instead of primary antibody, followed by Goat Anti-Rabbit IgG H&L (Alexa Fluor® 488) (ab150077) secondary antibody at 1/1000 dilution.

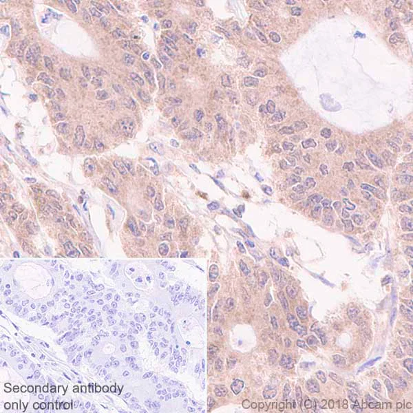
Immunohistochemistry (Formalin/PFA-fixed paraffin-embedded sections) - Anti-Acid phosphatase antibody [EPR21787] (AB235448)
  • IHC-P

Supplier Data

Immunohistochemistry (Formalin/PFA-fixed paraffin-embedded sections) - Anti-Acid phosphatase antibody [EPR21787] (AB235448)

Immunohistochemical analysis of paraffin-embedded human colon cancer tissue labeling Acid phosphatase with ab235448 at 1/1000 dilution, followed by Goat Anti-Rabbit IgG H&L (HRP) ready to use. Positive staining in human colon cancer (PMID : 25811796) is observed. Counterstained with hematoxylin.
Secondary antibody only control : Used PBS instead of primary antibody, secondary antibody is Goat Anti-Rabbit IgG H&L (HRP) ready to use.

Heat mediated antigen retrieval using ab93684 (Tris/EDTA buffer, pH 9.0).

Flow Cytometry (Intracellular) - Anti-Acid phosphatase antibody [EPR21787] (AB235448)
  • Flow Cyt (Intra)

Supplier Data

Flow Cytometry (Intracellular) - Anti-Acid phosphatase antibody [EPR21787] (AB235448)

Intracellular flow cytometric analysis of4% paraformaldehyde-fixed, 90% methanol-permeabilized HeLa (Human epithelial cell line from cervix adenocarcinoma) cell line labeling Acid phosphatase with ab235448 at 1/50 dilution (red) compared with a Isotype control details (ab172730) (black) and an unlabeled control (cells without incubation with primary antibody and secondary antibody) (blue). Goat Anti-Rabbit IgG H&L (Alexa Fluor® 488) (ab150077), at 1/2000 dilution was used as the secondary antibody.

Immunoprecipitation - Anti-Acid phosphatase antibody [EPR21787] (AB235448)
  • IP

Supplier Data

Immunoprecipitation - Anti-Acid phosphatase antibody [EPR21787] (AB235448)

Acid phosphatase was immunoprecipitated from 0.35 mg of HeLa (Human epithelial cell line from cervix adenocarcinoma) whole cell lysate with ab235448 at 1/30 dilution. Western blot was performed from the immunoprecipitate using ab235448 at 1/1000 dilution. VeriBlot for IP Detection Reagent (HRP) (ab131366), was used for detection at 1/5000 dilution.

Lane 1 : HeLa whole cell lysate lysate 10 μg (Input).
Lane 2 : ab235448 IP in HeLa whole cell lysate.
Lane 3 : Rabbit monoclonal IgG (ab172730) instead of ab235448 in HeLa whole cell lysate.

Blocking and dilution buffer and concentration : 5% NFDM/TBST.
Exposure time : 3 minutes.

All lanes:

Immunoprecipitation - Anti-Acid phosphatase antibody [EPR21787] (ab235448)

Observed band size: 18 kDa

false

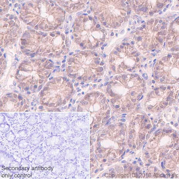
Immunohistochemistry (Formalin/PFA-fixed paraffin-embedded sections) - Anti-Acid phosphatase antibody [EPR21787] (AB235448)
  • IHC-P

Supplier Data

Immunohistochemistry (Formalin/PFA-fixed paraffin-embedded sections) - Anti-Acid phosphatase antibody [EPR21787] (AB235448)

Immunohistochemical analysis of paraffin-embedded rat colon tissue labeling Acid phosphatase with ab235448 at 1/1000 dilution, followed by Goat Anti-Rabbit IgG H&L (HRP) ready to use. Positive staining in rat colon (PMID : 25811796) is observed. Counterstained with hematoxylin.
Secondary antibody only control : Used PBS instead of primary antibody, secondary antibody is Goat Anti-Rabbit IgG H&L (HRP) ready to use.

Heat mediated antigen retrieval using ab93684 (Tris/EDTA buffer, pH 9.0).

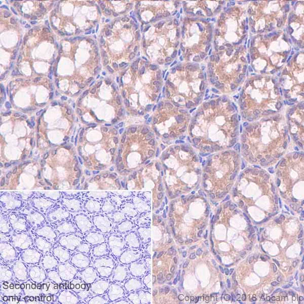
Immunohistochemistry (Formalin/PFA-fixed paraffin-embedded sections) - Anti-Acid phosphatase antibody [EPR21787] (AB235448)
  • IHC-P

Supplier Data

Immunohistochemistry (Formalin/PFA-fixed paraffin-embedded sections) - Anti-Acid phosphatase antibody [EPR21787] (AB235448)

Immunohistochemical analysis of paraffin-embedded mouse colon tissue labeling Acid phosphatase with ab235448 at 1/1000 dilution, followed by Goat Anti-Rabbit IgG H&L (HRP) ready to use. Positive staining in mouse colon (PMID : 25811796) is observed. Counterstained with hematoxylin.
Secondary antibody only control : Used PBS instead of primary antibody, secondary antibody is Goat Anti-Rabbit IgG H&L (HRP) ready to use.

Heat mediated antigen retrieval using ab93684 (Tris/EDTA buffer, pH 9.0).

Western blot - Anti-Acid phosphatase antibody [EPR21787] (AB235448)
  • WB

Lab

Western blot - Anti-Acid phosphatase antibody [EPR21787] (AB235448)

Lanes 1 - 4 : Merged signal (red and green). Green - ab235448 observed at 18 kDa. Red - loading control, ab8245, observed at 37 kDa.

ab235448 was shown to specifically react with ACP1 (Acid phosphatase 1) in wild-type HEK 293 cells as signal was lost in ACP1 knockout cells. Wild-type and ACP1 knockout samples were subjected to SDS-PAGE. The membrane was blocked with 3% Milk. ab235448 and ab8245 (Mouse anti GAPDH loading control) were incubated overnight at 4°C at 1/1000 dilution and 1/20000 dilution respectively. Blots were developed with Goat anti-Rabbit IgG H&L (IRDye® 800CW) preabsorbed ab216773 and Goat anti-Mouse IgG H&L (IRDye® 680RD) preabsorbed ab216776 secondary antibodies at 1/20000 dilution for 1 hour at room temperature before imaging.

All lanes:

Western blot - Anti-Acid phosphatase antibody [EPR21787] (ab235448) at 1/1000 dilution

Lane 1:

Wild-type HEK-293 (Human epithelial cell line from embryonic kidney) whole cell lysate at 20 µg

Lane 2:

ACP1 knockout HEK-293 (Human epithelial cell line from embryonic kidney) whole cell lysate at 20 µg

Lane 2:

Western blot - Human ACP1 (Acid phosphatase) knockout HEK-293 cell line (<a href='/en-us/products/cell-lines/human-acp1-acid-phosphatase-knockout-hek-293-cell-line-ab261859'>ab261859</a>)

Lane 3:

K562 (Human chronic myelogenous leukemia lymphoblast cell line ) whole cell lysate at 20 µg

Lane 4:

HeLa (Human epithelial cell line from cervix adenocarcinoma) whole cell lysate at 20 µg

Predicted band size: 18 kDa

false

Western blot - Anti-Acid phosphatase antibody [EPR21787] (AB235448)
  • WB

Supplier Data

Western blot - Anti-Acid phosphatase antibody [EPR21787] (AB235448)

Blocking and dilution buffer : 5% NFDM/TBST.

Exposure times.

Lane 1 : 37 seconds, Lanes 2-9 : 3 minutes.

The molecular mass observed is consistent with what has been described in the literature (PMID : 25811796).

All lanes:

Western blot - Anti-Acid phosphatase antibody [EPR21787] (ab235448) at 1/1000 dilution

Lane 1:

HepG2 (human liver hepatocellular carcinoma cell line) whole cell lysate at 20 µg

Lane 2:

SH-SY5Y (human neuroblastoma cell line from bone marrow) whole cell lysate at 20 µg

Lane 3:

HCT 116 (human colorectal carcinoma cell line) whole cell lysate at 20 µg

Lane 4:

Jurkat (human T cell leukemia cell line from peripheral blood) whole cell lysate at 20 µg

Lane 5:

Human placenta lysate at 20 µg

Lane 6:

Human colon lysate at 20 µg

Lane 7:

HeLa (human epithelial cell line from cervix adenocarcinoma) whole cell lysate at 10 µg

Lane 8:

C6 (rat glioma cell line) whole cell lysate at 10 µg

Lane 9:

NIH/3T3 (mouse embryo fibroblast cell line) whole cell lysate at 10 µg

Secondary

Lanes 1 - 6:

Western blot - Goat Anti-Rabbit IgG H&L (HRP) (<a href='/en-us/products/secondary-antibodies/goat-rabbit-igg-h-l-hrp-ab97051'>ab97051</a>) at 1/50000 dilution

Lanes 7 - 9:

Western blot - Goat Anti-Rabbit IgG H&L (HRP) (<a href='/en-us/products/secondary-antibodies/goat-rabbit-igg-h-l-hrp-ab97051'>ab97051</a>) at 1/100000 dilution

Predicted band size: 18 kDa

Observed band size: 18 kDa

false

  • Carrier free

    Anti-Acid phosphatase antibody [EPR21787] - BSA and Azide free

Key facts

Host species

Rabbit

Clonality

Monoclonal

Clone number

EPR21787

Isotype

IgG

Carrier free

No

Reacts with

Mouse, Rat, Human

Applications

WB, ICC/IF, IP, IHC-P, Flow Cyt (Intra)

applications

Immunogen

The exact immunogen used to generate this antibody is proprietary information.

Reactivity data

{ "title": "Reactivity Data", "filters": { "stats": ["", "Species", "Dilution Info", "Notes"], "tabs": { "all-applications": {"fullname" : "All Applications", "shortname": "All Applications"}, "IP" : {"fullname" : "Immunoprecipitation", "shortname":"IP"}, "FlowCytIntra" : {"fullname" : "Flow Cytometry (Intracellular)", "shortname":"Flow Cyt (Intra)"}, "ICCIF" : {"fullname" : "Immunocytochemistry/ Immunofluorescence", "shortname":"ICC/IF"}, "IHCP" : {"fullname" : "Immunohistochemistry (Formalin/PFA-fixed paraffin-embedded sections)", "shortname":"IHC-P"}, "WB" : {"fullname" : "Western blot", "shortname":"WB"} }, "product-promise": { "all": "all", "testedAndGuaranteed": "tested", "guaranteed": "expected", "predicted": "predicted", "notRecommended": "not-recommended" } }, "values": { "Human": { "IP-species-checked": "testedAndGuaranteed", "IP-species-dilution-info": "1/30", "IP-species-notes": "<p></p>", "FlowCytIntra-species-checked": "testedAndGuaranteed", "FlowCytIntra-species-dilution-info": "1/50", "FlowCytIntra-species-notes": "<p></p>", "ICCIF-species-checked": "testedAndGuaranteed", "ICCIF-species-dilution-info": "1/100", "ICCIF-species-notes": "<p></p>", "IHCP-species-checked": "testedAndGuaranteed", "IHCP-species-dilution-info": "1/1000", "IHCP-species-notes": "<p></p>", "WB-species-checked": "testedAndGuaranteed", "WB-species-dilution-info": "1/1000", "WB-species-notes": "<p></p>" }, "Mouse": { "IP-species-checked": "guaranteed", "IP-species-dilution-info": "", "IP-species-notes": "", "FlowCytIntra-species-checked": "guaranteed", "FlowCytIntra-species-dilution-info": "", "FlowCytIntra-species-notes": "", "ICCIF-species-checked": "guaranteed", "ICCIF-species-dilution-info": "", "ICCIF-species-notes": "", "IHCP-species-checked": "testedAndGuaranteed", "IHCP-species-dilution-info": "1/1000", "IHCP-species-notes": "<p></p>", "WB-species-checked": "testedAndGuaranteed", "WB-species-dilution-info": "1/1000", "WB-species-notes": "<p></p>" }, "Rat": { "IP-species-checked": "guaranteed", "IP-species-dilution-info": "", "IP-species-notes": "", "FlowCytIntra-species-checked": "guaranteed", "FlowCytIntra-species-dilution-info": "", "FlowCytIntra-species-notes": "", "ICCIF-species-checked": "guaranteed", "ICCIF-species-dilution-info": "", "ICCIF-species-notes": "", "IHCP-species-checked": "testedAndGuaranteed", "IHCP-species-dilution-info": "1/1000", "IHCP-species-notes": "<p></p>", "WB-species-checked": "testedAndGuaranteed", "WB-species-dilution-info": "1/1000", "WB-species-notes": "<p></p>" } } }

Product details

Patented technology
Our RabMAb® technology is a patented hybridoma-based technology for making rabbit monoclonal antibodies. For details on our patents, please refer to RabMAb® patents.

What are the advantages of a recombinant monoclonal antibody?
This product is a recombinant monoclonal antibody, which offers several advantages including:

  • - High batch-to-batch consistency and reproducibility
  • - Improved sensitivity and specificity
  • - Long-term security of supply
  • - Animal-free batch production

For more information, read more on recombinant antibodies.

Properties and storage information

Form
Liquid
Purification technique
Affinity purification Protein A
Storage buffer
pH: 7.2 - 7.4 Preservative: 0.01% Sodium azide Constituents: PBS, 40% Glycerol (glycerin, glycerine), 0.05% BSA
Shipped at conditions
Blue Ice
Appropriate short-term storage duration
1-2 weeks
Appropriate short-term storage conditions
+4°C
Appropriate long-term storage conditions
-20°C
Aliquoting information
Upon delivery aliquot
Storage information
Avoid freeze / thaw cycle

Supplementary information

This supplementary information is collated from multiple sources and compiled automatically.

Acid phosphatase also known as tartrate-resistant acid phosphatase (TRAP) or prostatic acid phosphatase (PAP) is an enzyme that catalyzes the hydrolysis of phosphate esters in an acidic environment. It has a molecular mass of approximately 50 kDa and is expressed in various human tissues including the prostate bone liver and spleen. Within the prostate it breaks down and releases phosphate from different compounds and it plays a role in bone resorption by osteoclasts.
Biological function summary

This enzyme contributes to multiple cellular processes including the regulation of bone metabolism and prostate health. Acid phosphatase when acting as TRAP is often found within osteoclast lysosomes where it degrades bone matrix components. It does not form part of a complex but functions independently to modulate these processes. Prostatic acid phosphatase in seminal fluid has additional roles particularly in prostate tissue affecting cellular proliferation and motility.

Pathways

Acid phosphatase participates in both bone resorption and lysosomal degradation pathways. In bone metabolism it works alongside proteins such as cathepsin K assisting in the breakdown of matrix constituents during bone remodeling. In lysosomal pathways it complements activities of enzymes like lysosomal acid lipase helping in recycling cellular materials. These interactions underline its involvement in maintaining cellular homeostasis through these critical biological pathways.

Acid phosphatase relates significantly to prostate cancer and bone disorders like osteoporosis. Elevated levels of prostatic acid phosphatase in serum serve as a marker for prostate cancer linking it to androgen receptor pathways critical in disease progression. In bone disorders TRAP's role in osteoclast function connects it to conditions such as osteoporosis where its interaction with integrin receptor influences bone density regulation. Understanding these connections can aid in developing diagnostic and therapeutic strategies for these diseases.

Product protocols

For this product, it's our understanding that no specific protocols are required. You can visit:

Target data

Acts on tyrosine phosphorylated proteins, low-MW aryl phosphates and natural and synthetic acyl phosphates with differences in substrate specificity between isoform 1 and isoform 2.. Isoform 3. Does not possess phosphatase activity.
See full target information ACP1

Publications (5)

Recent publications for all applications. Explore the full list and refine your search

Antioxidants (Basel, Switzerland) 14: PubMed40722910

2025

The Antioxidant and Skin-Brightening Effects of a Novel Caffeic Acid Derivative, Caffeic Acid-3,4-Dihydroxyphenylpropanolester.

Applications

Unspecified application

Species

Unspecified reactive species

Kyu-Lim Kim,Ju-Hee Jeon,Yeonjoon Kim,Kyung-Min Lim

Nature communications 15:5994 PubMed39013863

2024

ARID1A safeguards the canalization of the cell fate decision during osteoclastogenesis.

Applications

Unspecified application

Species

Unspecified reactive species

Jiahui Du,Yili Liu,Jinrui Sun,Enhui Yao,Jingyi Xu,Xiaolin Wu,Ling Xu,Mingliang Zhou,Guangzheng Yang,Xinquan Jiang

Nature communications 14:1413 PubMed36918560

2023

BRD9-mediated chromatin remodeling suppresses osteoclastogenesis through negative feedback mechanism.

Applications

Unspecified application

Species

Unspecified reactive species

Jiahui Du,Yili Liu,Xiaolin Wu,Jinrui Sun,Junfeng Shi,Hongming Zhang,Ao Zheng,Mingliang Zhou,Xinquan Jiang

Drug design, development and therapy 17:691-706 PubMed36915642

2023

Integrated Network Pharmacology and Experimental Validation Approach to Investigate the Mechanisms of in the Treatment of Rheumatoid Arthritis.

Applications

Unspecified application

Species

Unspecified reactive species

Wendong Xie,Hua Yang,Chun Guo,Rui Xie,Guoliang Yu,Yifu Li

American journal of translational research 14:3559-3571 PubMed35702106

2022

Duhuo Jisheng Decoction inhibits the activity of osteoclasts in osteonecrosis of the femoral head via regulation of the RELA/AKT1 axis.

Applications

Unspecified application

Species

Unspecified reactive species

Tao Xing,Yongqiang Zhao,Jun Zhao,Zhenxing Jiang,Yingshuan Zhang,Shenghua Li
View all publications

Product promise

We are committed to supporting your work with high-quality reagents, and we're here for you every step of the way. In the unlikely event that one of our products does not perform as expected, you're protected by our Product Promise.
For full details, please see our Terms & Conditions

Please note: All products are 'FOR RESEARCH USE ONLY. NOT FOR USE IN DIAGNOSTIC OR THERAPEUTIC PROCEDURES'.

For licensing inquiries, please contact partnerships@abcam.com