JavaScript is disabled in your browser. Please enable JavaScript to view this website.
AB238888

Anti-Acid phosphatase antibody [EPR21787] - BSA and Azide free

Be the first to review this product! Submit a review

|

(1 Publication)

Rabbit Recombinant Monoclonal PPAC antibody. Carrier free. Suitable for WB, IHC-P, ICC/IF, IP, Flow Cyt (Intra) and reacts with Human, Mouse, Rat samples. Cited in 1 publication.

View Alternative Names

Low molecular weight phosphotyrosine protein phosphatase, LMW-PTP, LMW-PTPase, Adipocyte acid phosphatase, Low molecular weight cytosolic acid phosphatase, Red cell acid phosphatase 1, ACP1

7 Images
Flow Cytometry (Intracellular) - Anti-Acid phosphatase antibody [EPR21787] - BSA and Azide free (AB238888)
  • Flow Cyt (Intra)

Supplier Data

Flow Cytometry (Intracellular) - Anti-Acid phosphatase antibody [EPR21787] - BSA and Azide free (AB238888)

Intracellular flow cytometric analysis of 4% paraformaldehyde-fixed, 90% methanol-permeabilized HeLa (Human epithelial cell line from cervix adenocarcinoma) cell line labeling Acid phosphatase with ab235448 at 1/50 dilution (red) compared with a Isotype control details (ab172730) (black) and an unlabeled control (cells without incubation with primary antibody and secondary antibody) (blue). Goat Anti-Rabbit IgG H&L (Alexa Fluor® 488) (ab150077), at 1/2000 dilution was used as the secondary antibody.

This data was developed using the same antibody clone in a different buffer formulation containing PBS, BSA, glycerol, and sodium azide (ab235448).

Immunocytochemistry/ Immunofluorescence - Anti-Acid phosphatase antibody [EPR21787] - BSA and Azide free (AB238888)
  • ICC/IF

Supplier Data

Immunocytochemistry/ Immunofluorescence - Anti-Acid phosphatase antibody [EPR21787] - BSA and Azide free (AB238888)

Immunofluorescent analysis of 4% paraformaldehyde-fixed, 0.1% Triton X-100 permeabilized HeLa (Human epithelial cell line from cervix adenocarcinoma) cells labeling Acid phosphatase with ab235448 at 1/100 dilution, followed by Goat Anti-Rabbit IgG H&L (Alexa Fluor® 488) (ab150077) secondary antibody at 1/1000 dilution (green). Confocal image showing cytoplasmic and nuclear staining in HeLa cell line (PMID 26159288). The nuclear counterstain is DAPI (blue). Tubulin is detected with Anti-alpha Tubulin antibody [DM1A] - Microtubule Marker (Alexa Fluor® 594) (ab195889) at 1/200 dilution.

Secondary antibody only control : Used PBS instead of primary antibody, followed by Goat Anti-Rabbit IgG H&L (Alexa Fluor® 488) (ab150077) secondary antibody at 1/1000 dilution.

This data was developed using the same antibody clone in a different buffer formulation containing PBS, BSA, glycerol, and sodium azide (ab235448).

Immunocytochemistry/ Immunofluorescence - Anti-Acid phosphatase antibody [EPR21787] - BSA and Azide free (AB238888)
  • ICC/IF

Supplier Data

Immunocytochemistry/ Immunofluorescence - Anti-Acid phosphatase antibody [EPR21787] - BSA and Azide free (AB238888)

Immunofluorescent analysis of 4% paraformaldehyde-fixed, 0.1% Triton X-100 permeabilized HepG2 (Human liver hepatocellular carcinoma cell line) cells labeling Acid phosphatase with ab235448 at 1/100 dilution, followed by Goat Anti-Rabbit IgG H&L (Alexa Fluor® 488) (ab150077) secondary antibody at 1/1000 dilution (green). Confocal image showing cytoplasmic and nuclear staining in HepG2 cell line (PMID 26159288). The nuclear counterstain is DAPI (blue). Tubulin is detected with Anti-alpha Tubulin antibody [DM1A] - Microtubule Marker (Alexa Fluor® 594) (ab195889) at 1/200 dilution.

Secondary antibody only control : Used PBS instead of primary antibody, followed by Goat Anti-Rabbit IgG H&L (Alexa Fluor® 488) (ab150077) secondary antibody at 1/1000 dilution.

This data was developed using the same antibody clone in a different buffer formulation containing PBS, BSA, glycerol, and sodium azide (ab235448).

Immunohistochemistry (Formalin/PFA-fixed paraffin-embedded sections) - Anti-Acid phosphatase antibody [EPR21787] - BSA and Azide free (AB238888)
  • IHC-P

Supplier Data

Immunohistochemistry (Formalin/PFA-fixed paraffin-embedded sections) - Anti-Acid phosphatase antibody [EPR21787] - BSA and Azide free (AB238888)

Immunohistochemical analysis of paraffin-embedded human colon cancer tissue labeling Acid phosphatase with ab235448 at 1/1000 dilution, followed by Goat Anti-Rabbit IgG H&L (HRP) ready to use. Positive staining in human colon cancer (PMID : 25811796) is observed. Counterstained with hematoxylin.
Secondary antibody only control : Used PBS instead of primary antibody, secondary antibody is Goat Anti-Rabbit IgG H&L (HRP) ready to use.

Heat mediated antigen retrieval using ab93684 (Tris/EDTA buffer, pH 9.0).

This data was developed using the same antibody clone in a different buffer formulation containing PBS, BSA, glycerol, and sodium azide (ab235448).

Immunoprecipitation - Anti-Acid phosphatase antibody [EPR21787] - BSA and Azide free (AB238888)
  • IP

Supplier Data

Immunoprecipitation - Anti-Acid phosphatase antibody [EPR21787] - BSA and Azide free (AB238888)

Acid phosphatase was immunoprecipitated from 0.35 mg of HeLa (Human epithelial cell line from cervix adenocarcinoma) whole cell lysate with ab235448 at 1/30 dilution. Western blot was performed from the immunoprecipitate using ab235448 at 1/1000 dilution. VeriBlot for IP Detection Reagent (HRP) (ab131366), was used for detection at 1/5000 dilution.

Lane 1 : HeLa whole cell lysate lysate 10 μg (Input).
Lane 2 : ab235448 IP in HeLa whole cell lysate.
Lane 3 : Rabbit monoclonal IgG (ab172730) instead of ab235448 in HeLa whole cell lysate.

Blocking and dilution buffer and concentration : 5% NFDM/TBST.
Exposure time : 3 minutes.

This data was developed using the same antibody clone in a different buffer formulation containing PBS, BSA, glycerol, and sodium azide (ab235448).

All lanes:

Immunoprecipitation - Anti-Acid phosphatase antibody [EPR21787] (<a href='/en-us/products/primary-antibodies/acid-phosphatase-antibody-epr21787-ab235448'>ab235448</a>)

Observed band size: 18 kDa

false

Immunohistochemistry (Formalin/PFA-fixed paraffin-embedded sections) - Anti-Acid phosphatase antibody [EPR21787] - BSA and Azide free (AB238888)
  • IHC-P

Supplier Data

Immunohistochemistry (Formalin/PFA-fixed paraffin-embedded sections) - Anti-Acid phosphatase antibody [EPR21787] - BSA and Azide free (AB238888)

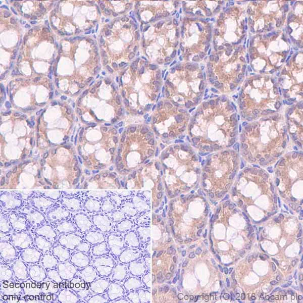
Immunohistochemical analysis of paraffin-embedded mouse colon tissue labeling Acid phosphatase with ab235448 at 1/1000 dilution, followed by Goat Anti-Rabbit IgG H&L (HRP) ready to use. Positive staining in mouse colon (PMID : 25811796) is observed. Counterstained with hematoxylin.
Secondary antibody only control : Used PBS instead of primary antibody, secondary antibody is Goat Anti-Rabbit IgG H&L (HRP) ready to use.

Heat mediated antigen retrieval using ab93684 (Tris/EDTA buffer, pH 9.0).

This data was developed using the same antibody clone in a different buffer formulation containing PBS, BSA, glycerol, and sodium azide (ab235448).

Immunohistochemistry (Formalin/PFA-fixed paraffin-embedded sections) - Anti-Acid phosphatase antibody [EPR21787] - BSA and Azide free (AB238888)
  • IHC-P

Supplier Data

Immunohistochemistry (Formalin/PFA-fixed paraffin-embedded sections) - Anti-Acid phosphatase antibody [EPR21787] - BSA and Azide free (AB238888)

Immunohistochemical analysis of paraffin-embedded rat colon tissue labeling Acid phosphatase with ab235448 at 1/1000 dilution, followed by Goat Anti-Rabbit IgG H&L (HRP) ready to use. Positive staining in rat colon (PMID : 25811796) is observed. Counterstained with hematoxylin.
Secondary antibody only control : Used PBS instead of primary antibody, secondary antibody is Goat Anti-Rabbit IgG H&L (HRP) ready to use.

Heat mediated antigen retrieval using ab93684 (Tris/EDTA buffer, pH 9.0).

This data was developed using the same antibody clone in a different buffer formulation containing PBS, BSA, glycerol and sodium azide (ab235448).

Key facts

Host species

Rabbit

Clonality

Monoclonal

Clone number

EPR21787

Isotype

IgG

Carrier free

Yes

Reacts with

Mouse, Rat, Human

Applications

IHC-P, Flow Cyt (Intra), IP, ICC/IF, WB

applications

Immunogen

The exact immunogen used to generate this antibody is proprietary information.

Reactivity data

{ "title": "Reactivity Data", "filters": { "stats": ["", "Species", "Dilution Info", "Notes"], "tabs": { "all-applications": {"fullname" : "All Applications", "shortname": "All Applications"}, "WB" : {"fullname" : "Western blot", "shortname":"WB"}, "IHCP" : {"fullname" : "Immunohistochemistry (Formalin/PFA-fixed paraffin-embedded sections)", "shortname":"IHC-P"}, "ICCIF" : {"fullname" : "Immunocytochemistry/ Immunofluorescence", "shortname":"ICC/IF"}, "IP" : {"fullname" : "Immunoprecipitation", "shortname":"IP"}, "FlowCytIntra" : {"fullname" : "Flow Cytometry (Intracellular)", "shortname":"Flow Cyt (Intra)"} }, "product-promise": { "all": "all", "testedAndGuaranteed": "tested", "guaranteed": "expected", "predicted": "predicted", "notRecommended": "not-recommended" } }, "values": { "Human": { "WB-species-checked": "testedAndGuaranteed", "WB-species-dilution-info": "", "WB-species-notes": "<p></p>", "IHCP-species-checked": "testedAndGuaranteed", "IHCP-species-dilution-info": "", "IHCP-species-notes": "<p></p>", "ICCIF-species-checked": "testedAndGuaranteed", "ICCIF-species-dilution-info": "", "ICCIF-species-notes": "<p></p>", "IP-species-checked": "testedAndGuaranteed", "IP-species-dilution-info": "", "IP-species-notes": "<p></p>", "FlowCytIntra-species-checked": "testedAndGuaranteed", "FlowCytIntra-species-dilution-info": "", "FlowCytIntra-species-notes": "<p></p>" }, "Mouse": { "WB-species-checked": "testedAndGuaranteed", "WB-species-dilution-info": "", "WB-species-notes": "<p></p>", "IHCP-species-checked": "testedAndGuaranteed", "IHCP-species-dilution-info": "", "IHCP-species-notes": "<p></p>", "ICCIF-species-checked": "guaranteed", "ICCIF-species-dilution-info": "", "ICCIF-species-notes": "", "IP-species-checked": "guaranteed", "IP-species-dilution-info": "", "IP-species-notes": "", "FlowCytIntra-species-checked": "guaranteed", "FlowCytIntra-species-dilution-info": "", "FlowCytIntra-species-notes": "<p></p>" }, "Rat": { "WB-species-checked": "testedAndGuaranteed", "WB-species-dilution-info": "", "WB-species-notes": "<p></p>", "IHCP-species-checked": "testedAndGuaranteed", "IHCP-species-dilution-info": "", "IHCP-species-notes": "<p></p>", "ICCIF-species-checked": "guaranteed", "ICCIF-species-dilution-info": "", "ICCIF-species-notes": "<p></p>", "IP-species-checked": "guaranteed", "IP-species-dilution-info": "", "IP-species-notes": "", "FlowCytIntra-species-checked": "guaranteed", "FlowCytIntra-species-dilution-info": "", "FlowCytIntra-species-notes": "<p></p>" } } }

Product details

ab238888 is the carrier-free version of ab235448.

Patented technology
Our RabMAb® technology is a patented hybridoma-based technology for making rabbit monoclonal antibodies. For details on our patents, please refer to RabMAb® patents.

What are the advantages of a recombinant monoclonal antibody?
This product is a recombinant monoclonal antibody, which offers several advantages including:

  • - High batch-to-batch consistency and reproducibility
  • - Improved sensitivity and specificity
  • - Long-term security of supply
  • - Animal-free batch production

For more information, read more on recombinant antibodies.

Conjugation ready
Our carrier-free antibodies are typically supplied in a PBS-only formulation, purified and free of BSA, sodium azide and glycerol. This conjugation-ready format is designed for use with fluorochromes, metal isotopes, oligonucleotides, and enzymes, which makes them ideal for antibody labelling, functional and cell-based assays, flow-based assays (e.g. mass cytometry) and Multiplex Imaging applications.

Use our conjugation kits for antibody conjugates that are ready-to-use in as little as 20 minutes with 1 minute hands-on-time and 100% antibody recovery: available for fluorescent dyes, HRP, biotin and gold.

Compatibility
This product is compatible with the Maxpar® Antibody Labeling Kit from Fluidigm, without the need for antibody preparation. Maxpar® is a trademark of Fluidigm Canada Inc.

Properties and storage information

Form
Liquid
Purification technique
Affinity purification Protein A
Storage buffer
pH: 7.2 - 7.4 Constituents: PBS
Shipped at conditions
Blue Ice
Appropriate short-term storage conditions
+4°C
Appropriate long-term storage conditions
+4°C
Storage information
Do Not Freeze

Supplementary information

This supplementary information is collated from multiple sources and compiled automatically.

Acid phosphatase also known as tartrate-resistant acid phosphatase (TRAP) or prostatic acid phosphatase (PAP) is an enzyme that catalyzes the hydrolysis of phosphate esters in an acidic environment. It has a molecular mass of approximately 50 kDa and is expressed in various human tissues including the prostate bone liver and spleen. Within the prostate it breaks down and releases phosphate from different compounds and it plays a role in bone resorption by osteoclasts.
Biological function summary

This enzyme contributes to multiple cellular processes including the regulation of bone metabolism and prostate health. Acid phosphatase when acting as TRAP is often found within osteoclast lysosomes where it degrades bone matrix components. It does not form part of a complex but functions independently to modulate these processes. Prostatic acid phosphatase in seminal fluid has additional roles particularly in prostate tissue affecting cellular proliferation and motility.

Pathways

Acid phosphatase participates in both bone resorption and lysosomal degradation pathways. In bone metabolism it works alongside proteins such as cathepsin K assisting in the breakdown of matrix constituents during bone remodeling. In lysosomal pathways it complements activities of enzymes like lysosomal acid lipase helping in recycling cellular materials. These interactions underline its involvement in maintaining cellular homeostasis through these critical biological pathways.

Acid phosphatase relates significantly to prostate cancer and bone disorders like osteoporosis. Elevated levels of prostatic acid phosphatase in serum serve as a marker for prostate cancer linking it to androgen receptor pathways critical in disease progression. In bone disorders TRAP's role in osteoclast function connects it to conditions such as osteoporosis where its interaction with integrin receptor influences bone density regulation. Understanding these connections can aid in developing diagnostic and therapeutic strategies for these diseases.

Product protocols

For this product, it's our understanding that no specific protocols are required. You can visit:

Target data

Acts on tyrosine phosphorylated proteins, low-MW aryl phosphates and natural and synthetic acyl phosphates with differences in substrate specificity between isoform 1 and isoform 2.. Isoform 3. Does not possess phosphatase activity.
See full target information ACP1

Publications (1)

Recent publications for all applications. Explore the full list and refine your search

Cell reports methods 3:100595 PubMed37741277

2023

Dual-modality imaging of immunofluorescence and imaging mass cytometry for whole-slide imaging and accurate segmentation.

Applications

Unspecified application

Species

Unspecified reactive species

Eun Na Kim,Phyllis Zixuan Chen,Dario Bressan,Monika Tripathi,Ahmad Miremadi,Massimiliano di Pietro,Lisa M Coussens,Gregory J Hannon,Rebecca C Fitzgerald,Lizhe Zhuang,Young Hwan Chang
View all publications

Product promise

We are committed to supporting your work with high-quality reagents, and we're here for you every step of the way. In the unlikely event that one of our products does not perform as expected, you're protected by our Product Promise.
For full details, please see our Terms & Conditions

Please note: All products are 'FOR RESEARCH USE ONLY. NOT FOR USE IN DIAGNOSTIC OR THERAPEUTIC PROCEDURES'.

For licensing inquiries, please contact partnerships@abcam.com