JavaScript is disabled in your browser. Please enable JavaScript to view this website.
AB272729

Anti-Acid sphingomyelinase antibody [EPR23090-181]

Be the first to review this product! Submit a review

|

(2 Publications)

Rabbit Recombinant Monoclonal ASM antibody. Suitable for WB and reacts with Human samples. Cited in 2 publications.

View Alternative Names

ASM, SMPD1, Sphingomyelin phosphodiesterase, Acid sphingomyelinase, aSMase

4 Images
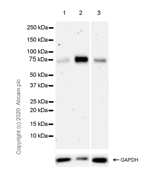
Western blot - Anti-Acid sphingomyelinase antibody [EPR23090-181] (AB272729)
  • WB

Lab

Western blot - Anti-Acid sphingomyelinase antibody [EPR23090-181] (AB272729)

Blocking and diluting buffer and concentration : 5% NFDM/TBST.

The molecular weight observed is consistent with what has been described in the literature (PMID : 25803076, 25853898).

ASM expression can be induced by PMA in THP-1 cells (PMID : 10224156).

Exposure time : 3 minutes.

All lanes:

Western blot - Anti-Acid sphingomyelinase antibody [EPR23090-181] (ab272729) at 1/1000 dilution

Lane 1:

Untreated THP-1 (human monocytic leukemia monocyte) whole cell lysate at 40 µg

Lane 2:

THP-1 treated with 80nM phorbol-12-myristate-13-acetate (PMA) (<a href='/en-us/products/biochemicals/phorbol-12-myristate-13-acetate-pma-pkc-activator-ab120297'>ab120297</a>) overnight whole cell lysate at 40 µg

Lane 3:

HepG2 (human hepatocellular carcinoma epithelial cell) whole cell lysate at 40 µg

Secondary

All lanes:

Goat Anti-Rabbit IgG, (H+L), Peroxidase conjugated (<a href='/en-us/products/secondary-antibodies/goat-rabbit-igg-h-l-hrp-ab97051'>ab97051</a>) at 1/50000 dilution

Predicted band size: 70 kDa

Observed band size: 75 kDa

false

Western blot - Anti-Acid sphingomyelinase antibody [EPR23090-181] (AB272729)
  • WB

Lab

Western blot - Anti-Acid sphingomyelinase antibody [EPR23090-181] (AB272729)

Blocking and diluting buffer and concentration : 5% NFDM/TBST
Diluting buffer and concentration.

This blot was developed using a higher sensitivity ECL substrate.

Exposure time : 3 minutes.

All lanes:

Western blot - Anti-Acid sphingomyelinase antibody [EPR23090-181] (ab272729) at 1/500 dilution

All lanes:

Human heart tissue lysate at 10 µg

Secondary

All lanes:

Western blot - VeriBlot for IP Detection Reagent (HRP) (<a href='/en-us/products/reagents/veriblot-for-ip-detection-reagent-hrp-ab131366'>ab131366</a>) at 1/1000 dilution

Predicted band size: 70 kDa

Observed band size: 75 kDa

false

Western blot - Anti-Acid sphingomyelinase antibody [EPR23090-181] (AB272729)
  • WB

Lab

Western blot - Anti-Acid sphingomyelinase antibody [EPR23090-181] (AB272729)

ab272729 was shown to react with SMPD1 in wild-type U-87 MG cell culture media in Western blot with loss of signal observed in a SMPD1 siRNA knockdown cell culture media. Cell culture media from wild-type U-87 MG transfected with either scrambled siRNA or SMPD1 siRNA were subjected to SDS-PAGE. Membranes were blocked in 5% milk in TBST for 1 hr before incubation with ab272729 overnight at 4 °C at a 1/1000 dilution. Blots were incubated with secondary antibodies at 0.2 µg/mL before imaging.

This data was provided by YCharOS Inc., an open science company with the mission of characterizing commercially available antibody reagents for all human proteins. Abcam and YCharOS are working together to help address the reproducibility crisis by enabling the life science community to better evaluate commercially available antibodies.

All lanes:

Western blot - Anti-Acid sphingomyelinase antibody [EPR23090-181] (ab272729) at 1/1000 dilution

Lane 1:

Wild-type U-87 MG transfected with scrambled siRNA control cell culture media at 10 µg

Lane 2:

U-87 MG transfected with siRNA specifically targeting SMPD1 cell culture media at 10 µg

Observed band size: 75 kDa

false

Western blot - Anti-Acid sphingomyelinase antibody [EPR23090-181] (AB272729)
  • WB

Lab

Western blot - Anti-Acid sphingomyelinase antibody [EPR23090-181] (AB272729)

Western blot : Rabbit Monoclonal[EPR23090-181] to Acid sphingomyelinase ab272729 staining at 1/1000 dilution, shown in green; Mouse anti GAPDH (ab8245) loading control staining at 1/20,000 dilution, shown in magenta. A band was observed at 74 kDa in Wild-type MCF7 cell lysates with no signal observed at this size in SMPD1 knockout MCF7 cell line. To generate this image, samples were run on an SDS-PAGE gel then transferred onto a nitrocellulose membrane. Membranes were blocked in 3 % Milk in TBS-0.1 % Tween® 20 (TBS-T) before incubation with primary antibodies overnight at 4 °C. Blots were washed four times in TBS-T, incubated with secondary antibodies for 1 h at room temperature, washed again four times then imaged. Secondary antibodies used were Goat anti-Rabbit 800CW & Goat anti-Mouse 680RD at 1/20,000 dilution.

All lanes:

Western blot - Anti-Acid sphingomyelinase antibody [EPR23090-181] (ab272729) at 1/1000 dilution

Lane 1:

Wild-type MCF7 at 20 µg

Lane 2:

SMPD1 knockout MCF7 at 20 µg

Lane 3:

HeLa at 20 µg

Lane 4:

Ramos at 20 µg

Secondary

All lanes:

Goat anti-Rabbit 800CW & Goat anti-Mouse 680RD at 1/20000 dilution

Predicted band size: 70 kDa

Observed band size: 74 kDa

false

  • Carrier free

    Anti-Acid sphingomyelinase antibody [EPR23090-181] - BSA and Azide free

Key facts

Host species

Rabbit

Clonality

Monoclonal

Clone number

EPR23090-181

Isotype

IgG

Carrier free

No

Reacts with

Human

Applications

WB

applications

Immunogen

The exact immunogen used to generate this antibody is proprietary information.

Reactivity data

{ "title": "Reactivity Data", "filters": { "stats": ["", "Species", "Dilution Info", "Notes"], "tabs": { "all-applications": {"fullname" : "All Applications", "shortname": "All Applications"}, "IP" : {"fullname" : "Immunoprecipitation", "shortname":"IP"}, "FlowCyt" : {"fullname" : "Flow Cytometry", "shortname":"Flow Cyt"}, "WB" : {"fullname" : "Western blot", "shortname":"WB"}, "IHCP" : {"fullname" : "Immunohistochemistry (Formalin/PFA-fixed paraffin-embedded sections)", "shortname":"IHC-P"}, "ICCIF" : {"fullname" : "Immunocytochemistry/ Immunofluorescence", "shortname":"ICC/IF"}, "IHCFr" : {"fullname" : "Immunohistochemistry (Frozen sections)", "shortname":"IHC-Fr"} }, "product-promise": { "all": "all", "testedAndGuaranteed": "tested", "guaranteed": "expected", "predicted": "predicted", "notRecommended": "not-recommended" } }, "values": { "Human": { "IP-species-checked": "notRecommended", "IP-species-dilution-info": "", "IP-species-notes": "<p></p>", "FlowCyt-species-checked": "notRecommended", "FlowCyt-species-dilution-info": "", "FlowCyt-species-notes": "<p></p>", "WB-species-checked": "testedAndGuaranteed", "WB-species-dilution-info": "1/1000", "WB-species-notes": "<p></p>", "IHCP-species-checked": "notRecommended", "IHCP-species-dilution-info": "", "IHCP-species-notes": "<p></p>", "ICCIF-species-checked": "notRecommended", "ICCIF-species-dilution-info": "", "ICCIF-species-notes": "<p></p>", "IHCFr-species-checked": "notRecommended", "IHCFr-species-dilution-info": "", "IHCFr-species-notes": "" }, "Mouse": { "IP-species-checked": "notRecommended", "IP-species-dilution-info": "", "IP-species-notes": "", "FlowCyt-species-checked": "notRecommended", "FlowCyt-species-dilution-info": "", "FlowCyt-species-notes": "", "WB-species-checked": "notRecommended", "WB-species-dilution-info": "1/1000", "WB-species-notes": "<p></p>", "IHCP-species-checked": "notRecommended", "IHCP-species-dilution-info": "", "IHCP-species-notes": "<p></p>", "ICCIF-species-checked": "notRecommended", "ICCIF-species-dilution-info": "", "ICCIF-species-notes": "", "IHCFr-species-checked": "notRecommended", "IHCFr-species-dilution-info": "", "IHCFr-species-notes": "<p></p>" }, "Rat": { "IP-species-checked": "notRecommended", "IP-species-dilution-info": "", "IP-species-notes": "", "FlowCyt-species-checked": "notRecommended", "FlowCyt-species-dilution-info": "", "FlowCyt-species-notes": "", "WB-species-checked": "notRecommended", "WB-species-dilution-info": "1/1000", "WB-species-notes": "<p></p>", "IHCP-species-checked": "notRecommended", "IHCP-species-dilution-info": "", "IHCP-species-notes": "<p></p>", "ICCIF-species-checked": "notRecommended", "ICCIF-species-dilution-info": "", "ICCIF-species-notes": "", "IHCFr-species-checked": "notRecommended", "IHCFr-species-dilution-info": "", "IHCFr-species-notes": "<p></p>" } } }

You may be interested in:

AB277075

Human Acid sphingomyelinase ELISA Kit (SMPD1)

0

0 Reviews

View product

We recommend this product because it’s often used in the same experiment or related research.

We advise that you always check the datasheet to ensure it fits your experiments, or contact ourtechnical teamfor help.

Product details

Properties and storage information

Form
Liquid
Purification technique
Affinity purification Protein A
Storage buffer
pH: 7.2 - 7.4 Preservative: 0.01% Sodium azide Constituents: 59% PBS, 40% Glycerol (glycerin, glycerine), 0.05% BSA
Shipped at conditions
Blue Ice
Appropriate short-term storage duration
1-2 weeks
Appropriate short-term storage conditions
+4°C
Appropriate long-term storage conditions
-20°C
Aliquoting information
Upon delivery aliquot
Storage information
Avoid freeze / thaw cycle

Supplementary information

This supplementary information is collated from multiple sources and compiled automatically.

Acid sphingomyelinase (ASMase) also known as sphingomyelin phosphodiesterase 1 or NP is an enzyme involved in sphingolipid metabolism. ASMase has a mass of approximately 75 kDa and appears in lysosomes where it converts sphingomyelin to ceramide and phosphorylcholine. This enzyme is important in maintaining cellular lipid balance and signaling. Expression of ASMase occurs in various tissues such as the liver spleen and brain.
Biological function summary

ASMase plays a role in membrane microdomain composition through its involvement in ceramide production. It participates in generating ceramide-enriched platforms that facilitate the clustering of signaling molecules. Ceramide acts as a second messenger in multiple cellular processes including apoptosis proliferation and inflammation. ASMase operates in the lysosomal lipid degradation pathway and connects with other lysosomal enzymes to modulate lipid turnovers such as glucosylceramidase affecting downstream cellular functions.

Pathways

Sphingolipid metabolism involves ASMase. This enzyme participates in the ceramide signaling pathway influencing apoptosis and stress responses. Related proteins in this pathway include casein kinase II which phosphorylates ASMase and cathepsin D involved in the lysosomal degradation process. ASMase activity alters ceramide levels impacting pro-apoptotic and pro-survival signals mediated by related proteins in the cell signaling network.

ASMase deficiency connects to Niemann-Pick disease types A and B characterized by lipid accumulation in lysosomes. Mutations in the ASMase gene lead to impaired enzyme function resulting in excessive sphingomyelin storage and cell damage. The disorder links ASMase to proteins such as hexa-beta-N-acetylglucosaminidase which is affected in other lysosomal storage disorders. Research shows that ASMase activity also influences cardiovascular diseases by regulating ceramide and cholesterol levels in atherosclerotic lesions connecting it to inflammatory pathways involving adhesion molecules and cytokines.

Product protocols

For this product, it's our understanding that no specific protocols are required. You can visit:

Target data

Converts sphingomyelin to ceramide (PubMed : 12563314, PubMed : 1840600, PubMed : 18815062, PubMed : 25339683, PubMed : 25920558, PubMed : 27659707, PubMed : 33163980). Exists as two enzymatic forms that arise from alternative trafficking of a single protein precursor, one that is targeted to the endolysosomal compartment, whereas the other is released extracellularly (PubMed : 20807762, PubMed : 21098024, PubMed : 9660788). However, in response to various forms of stress, lysosomal exocytosis may represent a major source of the secretory form (PubMed : 12563314, PubMed : 20530211, PubMed : 20807762, PubMed : 22573858, PubMed : 9393854).. In the lysosomes, converts sphingomyelin to ceramide (PubMed : 20807762, PubMed : 21098024). Plays an important role in the export of cholesterol from the intraendolysosomal membranes (PubMed : 25339683). Also has phospholipase C activities toward 1,2-diacylglycerolphosphocholine and 1,2-diacylglycerolphosphoglycerol (PubMed : 25339683). Modulates stress-induced apoptosis through the production of ceramide (PubMed : 8706124).. When secreted, modulates cell signaling with its ability to reorganize the plasma membrane by converting sphingomyelin to ceramide (PubMed : 12563314, PubMed : 17303575, PubMed : 20807762). Secreted form is increased in response to stress and inflammatory mediators such as IL1B, IFNG or TNF as well as upon infection with bacteria and viruses (PubMed : 12563314, PubMed : 20807762, PubMed : 9393854). Produces the release of ceramide in the outer leaflet of the plasma membrane playing a central role in host defense (PubMed : 12563314, PubMed : 20807762, PubMed : 9393854). Ceramide reorganizes these rafts into larger signaling platforms that are required to internalize P. aeruginosa, induce apoptosis and regulate the cytokine response in infected cells (PubMed : 12563314). In wounded cells, the lysosomal form is released extracellularly in the presence of Ca(2+) and promotes endocytosis and plasma membrane repair (PubMed : 20530211).. Sphingomyelin phosphodiesterase, processed form. This form is generated following cleavage by CASP7 in the extracellular milieu in response to bacterial infection (PubMed : 21157428). It shows increased ability to convert sphingomyelin to ceramide and promotes plasma membrane repair (By similarity). Plasma membrane repair by ceramide counteracts the action of gasdermin-D (GSDMD) perforin (PRF1) pores that are formed in response to bacterial infection (By similarity).. (Microbial infection) Secretion is activated by bacteria such as P. aeruginos, N. gonorrhoeae and others, this activation results in the release of ceramide in the outer leaflet of the plasma membrane which facilitates the infection.. (Microbial infection) Secretion is activated by human coronaviruses SARS-CoV and SARS-CoV-2 as well as Zaire ebolavirus, this activation results in the release of ceramide in the outer leaflet of the plasma membrane which facilitates the infection.. Isoform 2. Lacks residues that bind the cofactor Zn(2+) and has no enzyme activity.. Isoform 3. Lacks residues that bind the cofactor Zn(2+) and has no enzyme activity.
See full target information SMPD1

Publications (2)

Recent publications for all applications. Explore the full list and refine your search

Molecular medicine (Cambridge, Mass.) 29:125 PubMed37710183

2023

Acid sphingomyelinase mediates ferroptosis induced by high glucose via autophagic degradation of GPX4 in type 2 diabetic osteoporosis.

Applications

Unspecified application

Species

Unspecified reactive species

Yun-Xia Du,Yan-Tao Zhao,Yong-Xin Sun,Ai-Hua Xu

International journal of molecular sciences 23: PubMed35886939

2022

Sphingolipid Catabolism and Glycerophospholipid Levels Are Altered in Erythrocytes and Plasma from Multiple Sclerosis Patients.

Applications

Unspecified application

Species

Unspecified reactive species

Albena Momchilova,Roumen Pankov,Alexander Alexandrov,Tania Markovska,Stefan Pankov,Plamen Krastev,Galya Staneva,Evgenia Vassileva,Nikolai Krastev,Adriana Pinkas
View all publications

Product promise

We are committed to supporting your work with high-quality reagents, and we're here for you every step of the way. In the unlikely event that one of our products does not perform as expected, you're protected by our Product Promise.
For full details, please see our Terms & Conditions

Please note: All products are 'FOR RESEARCH USE ONLY. NOT FOR USE IN DIAGNOSTIC OR THERAPEUTIC PROCEDURES'.

For licensing inquiries, please contact partnerships@abcam.com