JavaScript is disabled in your browser. Please enable JavaScript to view this website.
AB216955

Anti-ACK1 antibody

Be the first to review this product! Submit a review

|

(1 Publication)

Rabbit Polyclonal ACK1 antibody. Suitable for IHC-P and reacts with Human samples. Cited in 1 publication. Immunogen corresponding to Synthetic Peptide within Human TNK2 aa 300-400 conjugated to Keyhole Limpet Haemocyanin.

View Alternative Names

ACK1, TNK2, Activated CDC42 kinase 1, ACK-1, Tyrosine kinase non-receptor protein 2

1 Images
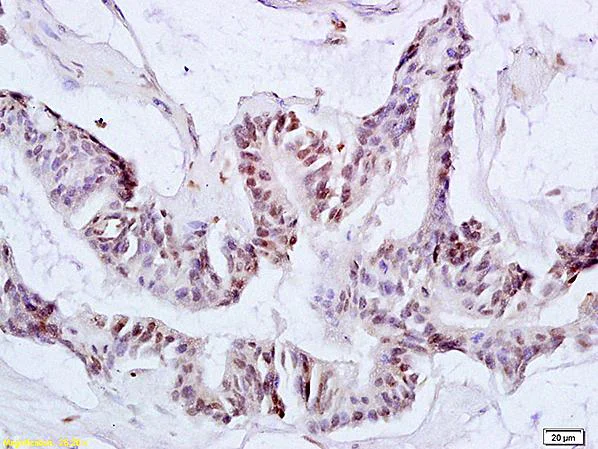
Immunohistochemistry (Formalin/PFA-fixed paraffin-embedded sections) - Anti-ACK1 antibody (AB216955)
  • IHC-P

Supplier Data

Immunohistochemistry (Formalin/PFA-fixed paraffin-embedded sections) - Anti-ACK1 antibody (AB216955)

Immunohistochemical analysis of formalin-fixed, paraffin-embedded Human colon carcinoma tissue labeling ACK1 with ab216955 at 1/200 dilution, followed by conjugation to a secondary antibody and DAB staining.

Key facts

Host species

Rabbit

Clonality

Polyclonal

Isotype

IgG

Carrier free

No

Reacts with

Human

Applications

IHC-P

applications

Immunogen

Synthetic Peptide within Human TNK2 aa 300-400 conjugated to Keyhole Limpet Haemocyanin. The exact immunogen used to generate this antibody is proprietary information.

Q07912

Reactivity data

{ "title": "Reactivity Data", "filters": { "stats": ["", "Species", "Dilution Info", "Notes"], "tabs": { "all-applications": {"fullname" : "All Applications", "shortname": "All Applications"}, "IHCP" : {"fullname" : "Immunohistochemistry (Formalin/PFA-fixed paraffin-embedded sections)", "shortname":"IHC-P"} }, "product-promise": { "all": "all", "testedAndGuaranteed": "tested", "guaranteed": "expected", "predicted": "predicted", "notRecommended": "not-recommended" } }, "values": { "Human": { "IHCP-species-checked": "testedAndGuaranteed", "IHCP-species-dilution-info": "1/100 - 1/500", "IHCP-species-notes": "<p></p>" }, "Mouse": { "IHCP-species-checked": "predicted", "IHCP-species-dilution-info": "", "IHCP-species-notes": "" }, "Rat": { "IHCP-species-checked": "predicted", "IHCP-species-dilution-info": "", "IHCP-species-notes": "" } } }

Properties and storage information

Form
Liquid
Purification technique
Affinity purification Protein A
Storage buffer
pH: 7.4 Preservative: 0.02% Proclin 300 Constituents: 50% Glycerol (glycerin, glycerine), 48.98% TBS, 1X, 1% BSA
Shipped at conditions
Blue Ice
Appropriate short-term storage duration
1-2 weeks
Appropriate short-term storage conditions
+4°C
Appropriate long-term storage conditions
-20°C
Aliquoting information
Upon delivery aliquot
Storage information
Avoid freeze / thaw cycle

Supplementary information

This supplementary information is collated from multiple sources and compiled automatically.

ACK1 also known as TNK2 is a non-receptor tyrosine kinase with a molecular mass of approximately 120 kDa. It primarily localizes in the cytoplasm but can also translocate to the membrane and nucleus. This protein is ubiquitously expressed with notable presence in tissues like the brain liver and muscles. ACK1 plays a significant role in cellular signaling by phosphorylating various substrates impacting processes like cell proliferation migration and survival.
Biological function summary

The functions of ACK1 relate to signal transduction processes. It acts as an important part of the signaling complex involved in cell growth and differentiation. ACK1 interacts with several growth factor receptors and coordinates signal transduction events. These interactions allow ACK1 to participate in complex networks that regulate cellular shaping and organization making it important for normal cell functionality.

Pathways

ACK1 significantly influences cellular processes through the MAPK and PI3K pathways. These pathways are essential for cell survival proliferation and metabolism. ACK1 interacts with proteins such as ERK and AKT mediating downstream signaling that determines cellular responses to external stimuli. The kinase activity of ACK1 regulates various signaling cascades emphasizing its role in controlling metabolic and growth signals.

ACK1 shows relevance to cancer and neurodegenerative diseases. In cancer ACK1 overexpression associates with increased tumor growth and metastasis linked with proteins like HER2 in breast cancer. In neurodegenerative diseases abnormal ACK1 activity aligns with the progression of conditions like Alzheimer's disease where it interacts with tau proteins. Understanding ACK1's involvement in these diseases highlights its potential as a therapeutic target.

Product protocols

For this product, it's our understanding that no specific protocols are required. You can visit:

Target data

Non-receptor tyrosine-protein and serine/threonine-protein kinase that is implicated in cell spreading and migration, cell survival, cell growth and proliferation. Transduces extracellular signals to cytosolic and nuclear effectors. Phosphorylates AKT1, AR, MCF2, WASL and WWOX. Implicated in trafficking and clathrin-mediated endocytosis through binding to epidermal growth factor receptor (EGFR) and clathrin. Binds to both poly- and mono-ubiquitin and regulates ligand-induced degradation of EGFR, thereby contributing to the accumulation of EGFR at the limiting membrane of early endosomes. Downstream effector of CDC42 which mediates CDC42-dependent cell migration via phosphorylation of BCAR1. May be involved both in adult synaptic function and plasticity and in brain development. Activates AKT1 by phosphorylating it on 'Tyr-176'. Phosphorylates AR on 'Tyr-267' and 'Tyr-363' thereby promoting its recruitment to androgen-responsive enhancers (AREs). Phosphorylates WWOX on 'Tyr-287'. Phosphorylates MCF2, thereby enhancing its activity as a guanine nucleotide exchange factor (GEF) toward Rho family proteins. Contributes to the control of AXL receptor levels. Confers metastatic properties on cancer cells and promotes tumor growth by negatively regulating tumor suppressor such as WWOX and positively regulating pro-survival factors such as AKT1 and AR. Phosphorylates WASP (PubMed : 20110370).
See full target information TNK2

Publications (1)

Recent publications for all applications. Explore the full list and refine your search

Molecular medicine reports 24: PubMed34368871

2021

Glutamate receptor, ionotropic, N‑methyl D‑aspartate‑associated protein 1 promotes colorectal cancer cell proliferation and metastasis, and is negatively regulated by miR‑296‑3p.

Applications

Unspecified application

Species

Unspecified reactive species

Zaihua Yan,Peidong Li,Yuan Xue,Hongpeng Tian,Tong Zhou,Guangjun Zhang
View all publications

Product promise

We are committed to supporting your work with high-quality reagents, and we're here for you every step of the way. In the unlikely event that one of our products does not perform as expected, you're protected by our Product Promise.
For full details, please see our Terms & Conditions

Please note: All products are 'FOR RESEARCH USE ONLY. NOT FOR USE IN DIAGNOSTIC OR THERAPEUTIC PROCEDURES'.

For licensing inquiries, please contact partnerships@abcam.com