JavaScript is disabled in your browser. Please enable JavaScript to view this website.
AB110321

Anti-Aconitase 2 antibody [6F12BD9]

5

(4 Reviews)

|

(40 Publications)

Mouse Monoclonal Aconitase 2 antibody. Suitable for Flow Cyt, WB, ICC/IF, IHC-P and reacts with Human, Mouse, Rat samples. Cited in 40 publications.

View Alternative Names

Aconitase, Citrate hydro-lyase, ACO2

5 Images
Immunocytochemistry/ Immunofluorescence - Anti-Aconitase 2 antibody [6F12BD9] (AB110321)
  • ICC/IF

Unknown

Immunocytochemistry/ Immunofluorescence - Anti-Aconitase 2 antibody [6F12BD9] (AB110321)

ab110321 at 1μg/ml staining Aconitase 2 in HDFn cells by Immunocytochemistry (4% paraformaldehyde fixed and 0.1% Triton X-100 permeabilized) followed by Alexa Fluor® 594 goat anti-mouse IgG (H+L) used at a 1/1000 dilution for 1 hour (red).

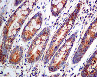
Immunohistochemistry (Formalin/PFA-fixed paraffin-embedded sections) - Anti-Aconitase 2 antibody [6F12BD9] (AB110321)
  • IHC-P

Unknown

Immunohistochemistry (Formalin/PFA-fixed paraffin-embedded sections) - Anti-Aconitase 2 antibody [6F12BD9] (AB110321)

IHC image of Aconitase 2 staining in Human normal colon formalin fixed paraffin embedded tissue section, performed on a Leica BondTM system using the standard protocol F. The section was pre-treated using heat mediated antigen retrieval with sodium citrate buffer (pH6, epitope retrieval solution 1) for 20 mins. The section was then incubated with ab110321, 5μg/ml, for 15 mins at room temperature and detected using an HRP conjugated compact polymer system. DAB was used as the chromogen. The section was then counterstained with haematoxylin and mounted with DPX.

For other IHC staining systems (automated and non-automated) customers should optimize variable parameters such as antigen retrieval conditions, primary antibody concentration and antibody incubation times.

Flow Cytometry - Anti-Aconitase 2 antibody [6F12BD9] (AB110321)
  • Flow Cyt

Unknown

Flow Cytometry - Anti-Aconitase 2 antibody [6F12BD9] (AB110321)

ab110321 at 1µg/ml staining Aconitase 2 in HeLa cells by Flow Cytometry (blue). Isotype control antibody (red).

Western blot - Anti-Aconitase 2 antibody [6F12BD9] (AB110321)
  • WB

Lab

Western blot - Anti-Aconitase 2 antibody [6F12BD9] (AB110321)

Lane 1 : Wild-type HAP1 whole cell lysate (20 μg)
Lane 2 : Aconitase 2 knockout HAP1 whole cell lysate (20 μg)
Lane 3 : HeLa whole cell lysate (20 μg)

Lane 4 : Jurkat whole cell lysate (20 μg)

Lanes 1 - 4 : Merged signal (red and green). Green - ab110321 observed at 90 kDa. Red - loading control, ab181602, observed at 37 kDa.

ab110321 was shown to specifically react with Aconitase 2 in wild-type HAP1 cells as signal was lost in Aconitase 2 knockout cells. Wild-type and Aconitase 2 knockout samples were subjected to SDS-PAGE. ab110321 and ab181602 (Rabbit anti-GAPDH loading control) were incubated overnight at 4°C at 1 μg/ml and 1/20000 dilution respectively. Blots were developed with Goat anti-Mouse IgG H&L (IRDye® 800CW) preabsorbed ab216772 and Goat anti-Rabbit IgG H&L (IRDye® 680RD) preabsorbed ab216777 secondary antibodies at 1/20000 dilution for 1 hour at room temperature before imaging.

All lanes:

Western blot - Anti-Aconitase 2 antibody [6F12BD9] (ab110321)

Predicted band size: 85 kDa

false

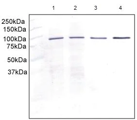
Western blot - Anti-Aconitase 2 antibody [6F12BD9] (AB110321)
  • WB

Unknown

Western blot - Anti-Aconitase 2 antibody [6F12BD9] (AB110321)

All lanes:

Western blot - Anti-Aconitase 2 antibody [6F12BD9] (ab110321) at 1 µg/mL

Lane 1:

HepG2 (human) at 20 µg

Lane 2:

HeLa (human) at 20 µg

Lane 3:

H9C2 (rat cardiomyocyte) at 20 µg

Lane 4:

MEF (mouse fibroblast) at 20 µg

Predicted band size: 85 kDa

false

Key facts

Host species

Mouse

Clonality

Monoclonal

Clone number

6F12BD9

Isotype

IgG1

Light chain type

kappa

Carrier free

No

Reacts with

Mouse, Rat, Human

Applications

IHC-P, ICC/IF, Flow Cyt, WB

applications

Reactivity data

{ "title": "Reactivity Data", "filters": { "stats": ["", "Species", "Dilution Info", "Notes"], "tabs": { "all-applications": {"fullname" : "All Applications", "shortname": "All Applications"}, "FlowCyt" : {"fullname" : "Flow Cytometry", "shortname":"Flow Cyt"}, "WB" : {"fullname" : "Western blot", "shortname":"WB"}, "ICCIF" : {"fullname" : "Immunocytochemistry/ Immunofluorescence", "shortname":"ICC/IF"}, "IHCP" : {"fullname" : "Immunohistochemistry (Formalin/PFA-fixed paraffin-embedded sections)", "shortname":"IHC-P"} }, "product-promise": { "all": "all", "testedAndGuaranteed": "tested", "guaranteed": "expected", "predicted": "predicted", "notRecommended": "not-recommended" } }, "values": { "Human": { "FlowCyt-species-checked": "testedAndGuaranteed", "FlowCyt-species-dilution-info": "1 µg/mL", "FlowCyt-species-notes": "<p><a href='/en-us/products/primary-antibodies/mouse-igg1-kappa-monoclonal-15-6e10a7-isotype-control-ab170190'>ab170190</a> - Mouse monoclonal IgG1, is suitable for use as an isotype control with this antibody.</p>", "WB-species-checked": "testedAndGuaranteed", "WB-species-dilution-info": "1 µg/mL", "WB-species-notes": "<p></p>", "ICCIF-species-checked": "testedAndGuaranteed", "ICCIF-species-dilution-info": "1 µg/mL", "ICCIF-species-notes": "<p>for 2 hours.</p>", "IHCP-species-checked": "testedAndGuaranteed", "IHCP-species-dilution-info": "5 µg/mL", "IHCP-species-notes": "<p></p>" }, "Mouse": { "FlowCyt-species-checked": "guaranteed", "FlowCyt-species-dilution-info": "", "FlowCyt-species-notes": "", "WB-species-checked": "testedAndGuaranteed", "WB-species-dilution-info": "1 µg/mL", "WB-species-notes": "<p></p>", "ICCIF-species-checked": "guaranteed", "ICCIF-species-dilution-info": "", "ICCIF-species-notes": "", "IHCP-species-checked": "guaranteed", "IHCP-species-dilution-info": "", "IHCP-species-notes": "" }, "Rat": { "FlowCyt-species-checked": "guaranteed", "FlowCyt-species-dilution-info": "", "FlowCyt-species-notes": "", "WB-species-checked": "testedAndGuaranteed", "WB-species-dilution-info": "1 µg/mL", "WB-species-notes": "<p></p>", "ICCIF-species-checked": "guaranteed", "ICCIF-species-dilution-info": "", "ICCIF-species-notes": "", "IHCP-species-checked": "guaranteed", "IHCP-species-dilution-info": "", "IHCP-species-notes": "" } } }

Product details

Want a custom formulation?
This antibody clone is manufactured by Abcam. If you require a custom buffer formulation or conjugation for your experiments, please contact orders@abcam.com

Properties and storage information

Form
Liquid
Purification notes
ab110321 was produced in vitro using hybridomas grown in serum-free medium, and then purified by biochemical fractionation.Purity: >95% by SDS-PAGE.
Storage buffer
pH: 7.5 Preservative: 0.02% Sodium azide Constituents: HEPES buffered saline
Shipped at conditions
Blue Ice
Appropriate short-term storage conditions
+4°C
Appropriate long-term storage conditions
+4°C
Storage information
Do Not Freeze

Supplementary information

This supplementary information is collated from multiple sources and compiled automatically.

Aconitase 2 also known as ACO2 is an enzyme involved in the citric acid cycle which plays an important role in energy production within the cell. This enzyme converts citrate to isocitrate via a cis-aconitate intermediate an essential step in the cycle that generates ATP. Aconitase 2 has a molecular mass of approximately 83 kDa and is primarily expressed in the mitochondria of eukaryotic cells where it functions optimally due to the organelle's environment.
Biological function summary

Aconitase 2 supports cellular energy metabolism by facilitating the conversion of citrate derivatives. It is an iron-sulfur protein integral to both the cytosolic aconitase and mitochondrial varieties that functions as part of the mitochondrial aconitase complex. The enzyme's iron-sulfur cluster gets oxidized under different conditions causing the enzyme to act as a regulatory factor in response to iron levels further linking it with cellular iron metabolism.

Pathways

Aconitase 2 plays a significant role in the tricarboxylic acid (TCA) cycle commonly known as the Krebs cycle and the iron regulatory pathway. In the TCA cycle aconitase 2 acts after citrate synthase and before isocitrate dehydrogenase establishing its role in the middle of the cycle. It is functionally related to iron regulatory proteins particularly IRP1 which can interchangeably bind to iron-responsive elements or possess aconitase activity in its Fe-containing form.

Disruptions in aconitase 2 activity are linked to conditions like Friedreich's ataxia and cancer. Friedreich's ataxia involves mitochondrial dysfunction wherein the decreased activity of aconitase 2 leads to impaired energy metabolism contributing to neurodegeneration. In cancers altered aconitase 2 function can impact cellular proliferation by modifying energy metabolism pathways. Aconitase 2 also interacts with the protein frataxin in the context of these conditions underlining its involvement in disease mechanisms related to mitochondrial dysfunction and iron metabolism.

Product protocols

For this product, it's our understanding that no specific protocols are required. You can visit:

Target data

Catalyzes the isomerization of citrate to isocitrate via cis-aconitate.
See full target information ACO2

Publications (40)

Recent publications for all applications. Explore the full list and refine your search

Nature metabolism 7:1570-1592 PubMed40691304

2025

LONP1 regulation of mitochondrial protein folding provides insight into beta cell failure in type 2 diabetes.

Applications

Unspecified application

Species

Unspecified reactive species

Jin Li,Yamei Deng,Marie Gasser,Jie Zhu,Emily M Walker,Vaibhav Sidarala,Emma C Reck,Dre L Hubers,Mabelle B Pasmooij,Chun-Shik Shin,Khushdeep Bandesh,Eftyhmios Motakis,Siddhi Nargund,Romy Kursawe,Venkatesha Basrur,Alexey I Nesvizhskii,Michael L Stitzel,David C Chan,Guy A Rutter,Scott A Soleimanpour

World journal of diabetes 15:2123-2134 PubMed39493567

2024

Effect of cuproptosis on acute kidney injury after cardiopulmonary bypass in diabetic patients.

Applications

Unspecified application

Species

Unspecified reactive species

Xi-Jin Deng,Yi-Nan Wang,Chuan-Bao Lv,Zhong-Zhi Qiu,Ling-Xin Zhu,Jing-Hui Shi,Si-Ri-Gu-Leng Sana

ACS nano 18:31244-31260 PubMed39487804

2024

Copper Oxide Nanoparticles Impair Mouse Preimplantation Embryonic Development through Disruption of Mitophagy-Mediated Metabolism.

Applications

Unspecified application

Species

Unspecified reactive species

Yunyao Luo,Xi Zeng,Xue Dai,Yin Tian,Jie Li,Qi Zhang,Qiang Dong,Lifeng Qin,Guoning Huang,Qi Gu,Jianyu Wang,Jingyu Li

Journal of neuroinflammation 21:261 PubMed39407211

2024

Glutamine metabolism modulates microglial NLRP3 inflammasome activity through mitophagy in Alzheimer's disease.

Applications

Unspecified application

Species

Unspecified reactive species

Zhixin Zhang,Miao Li,Xiang Li,Zhiyang Feng,Gan Luo,Ying Wang,Xiaoyan Gao

Metabolites 14: PubMed38668366

2024

Anaplerotic Therapy Using Triheptanoin in Two Brothers Suffering from Aconitase 2 Deficiency.

Applications

Unspecified application

Species

Unspecified reactive species

Maximilian Penkl,Johannes A Mayr,René G Feichtinger,Ralf Reilmann,Otfried Debus,Manfred Fobker,Anja Penkl,Janine Reunert,Stephan Rust,Thorsten Marquardt

Nature cell biology 25:1821-1832 PubMed38049604

2023

Prostate lineage-specific metabolism governs luminal differentiation and response to antiandrogen treatment.

Applications

Unspecified application

Species

Unspecified reactive species

Jenna M Giafaglione,Preston D Crowell,Amelie M L Delcourt,Takao Hashimoto,Sung Min Ha,Aishwarya Atmakuri,Nicholas M Nunley,Rachel M A Dang,Mao Tian,Johnny A Diaz,Elisavet Tika,Marie C Payne,Deborah L Burkhart,Dapei Li,Nora M Navone,Eva Corey,Peter S Nelson,Neil Y C Lin,Cedric Blanpain,Leigh Ellis,Paul C Boutros,Andrew S Goldstein

Cell discovery 9:76 PubMed37488138

2023

The Fe-S cluster assembly protein IscU2 increases α-ketoglutarate catabolism and DNA 5mC to promote tumor growth.

Applications

Unspecified application

Species

Unspecified reactive species

Xiaojun Ren,Jimei Yan,Qiongya Zhao,Xinzhu Bao,Xinyu Han,Chen Zheng,Yan Zhou,Lifang Chen,Bo Wang,Lina Yang,Xi Lin,Dandan Liu,Yuyan Lin,Min Li,Hezhi Fang,Zhimin Lu,Jianxin Lyu

Animal models and experimental medicine 6:155-167 PubMed37140997

2023

A neuron-specific Isca1 knockout rat developments multiple mitochondrial dysfunction syndromes.

Applications

Unspecified application

Species

Unspecified reactive species

Hanxuan Sheng,Dan Lu,Xiaolong Qi,Yahao Ling,Jing Li,Xu Zhang,Wei Dong,Wei Chen,Shan Gao,Xiang Gao,Li Zhang,Lianfeng Zhang

Nature communications 13:7414 PubMed36460681

2022

Nuclear localization of mitochondrial TCA cycle enzymes modulates pluripotency via histone acetylation.

Applications

Unspecified application

Species

Unspecified reactive species

Wei Li,Qi Long,Hao Wu,Yanshuang Zhou,Lifan Duan,Hao Yuan,Yingzhe Ding,Yile Huang,Yi Wu,Jinyu Huang,Delong Liu,Baodan Chen,Jian Zhang,Juntao Qi,Shiwei Du,Linpeng Li,Yang Liu,Zifeng Ruan,Zihuang Liu,Zichao Liu,Yifan Zhao,Jianghuan Lu,Junwei Wang,Wai-Yee Chan,Xingguo Liu

iScience 25:103715 PubMed35072007

2022

Cytosolic adaptation to mitochondria-induced proteostatic stress causes progressive muscle wasting.

Applications

Unspecified application

Species

Unspecified reactive species

Xiaowen Wang,Frank A Middleton,Rabi Tawil,Xin Jie Chen
View all publications

Product promise

We are committed to supporting your work with high-quality reagents, and we're here for you every step of the way. In the unlikely event that one of our products does not perform as expected, you're protected by our Product Promise.
For full details, please see our Terms & Conditions

Please note: All products are 'FOR RESEARCH USE ONLY. NOT FOR USE IN DIAGNOSTIC OR THERAPEUTIC PROCEDURES'.

For licensing inquiries, please contact partnerships@abcam.com