JavaScript is disabled in your browser. Please enable JavaScript to view this website.
AB64809

Anti-ACRBP antibody

4

(1 Review)

|

(4 Publications)

Rabbit Polyclonal ACRBP antibody. Suitable for IHC-P, WB and reacts with Human samples. Cited in 4 publications. Immunogen corresponding to Synthetic Peptide within Human ACRBP.

View Alternative Names

Acrosin-binding protein, Cancer/testis antigen 23, Cancer/testis antigen OY-TES-1, Proacrosin-binding protein sp32, CT23, ACRBP

2 Images
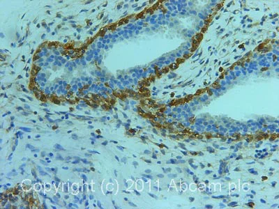
Immunohistochemistry (Formalin/PFA-fixed paraffin-embedded sections) - Anti-ACRBP antibody (AB64809)
  • IHC-P

Unknown

Immunohistochemistry (Formalin/PFA-fixed paraffin-embedded sections) - Anti-ACRBP antibody (AB64809)

IHC image of ab64809 staining in human breast carcinoma formalin fixed paraffin embedded tissue section, performed on a Leica BondTM system using the standard protocol F. The section was pre-treated using heat mediated antigen retrieval with sodium citrate buffer (pH6, epitope retrieval solution 1) for 20 mins. The section was then incubated with ab64809, 1µg/ml, for 15 mins at room temperature and detected using an HRP conjugated compact polymer system. DAB was used as the chromogen. The section was then counterstained with haematoxylin and mounted with DPX.

For other IHC staining systems (automated and non-automated) customers should optimize variable parameters such as antigen retrieval conditions, primary antibody concentration and antibody incubation times.

Western blot - Anti-ACRBP antibody (AB64809)
  • WB

Unknown

Western blot - Anti-ACRBP antibody (AB64809)

All lanes:

Western blot - Anti-ACRBP antibody (ab64809) at 1/500 dilution

Lane 1:

Extracts of 293 cells at 5 µg

Lane 2:

Extracts of HepG2 cells at 5 µg

Lane 3:

Extracts of Jurkat cells at 5 µg

Lane 4:

Extracts of Jurkat cells with immunizing Peptide at 5 µg

Predicted band size: 61 kDa

Observed band size: 61 kDa

false

Key facts

Host species

Rabbit

Clonality

Polyclonal

Isotype

IgG

Carrier free

No

Reacts with

Human

Applications

WB, IHC-P

applications

Immunogen

Synthetic Peptide within Human ACRBP. The exact immunogen used to generate this antibody is proprietary information.

Q8NEB7

Reactivity data

{ "title": "Reactivity Data", "filters": { "stats": ["", "Species", "Dilution Info", "Notes"], "tabs": { "all-applications": {"fullname" : "All Applications", "shortname": "All Applications"}, "IHCP" : {"fullname" : "Immunohistochemistry (Formalin/PFA-fixed paraffin-embedded sections)", "shortname":"IHC-P"}, "WB" : {"fullname" : "Western blot", "shortname":"WB"} }, "product-promise": { "all": "all", "testedAndGuaranteed": "tested", "guaranteed": "expected", "predicted": "predicted", "notRecommended": "not-recommended" } }, "values": { "Human": { "IHCP-species-checked": "testedAndGuaranteed", "IHCP-species-dilution-info": "1 µg/mL", "IHCP-species-notes": "<p></p> Perform heat-mediated antigen retrieval with citrate buffer pH 6 before commencing with IHC staining protocol.", "WB-species-checked": "testedAndGuaranteed", "WB-species-dilution-info": "1/500 - 1/1000", "WB-species-notes": "<p></p>" } } }

Properties and storage information

Form
Liquid
Purification technique
Affinity purification Immunogen
Storage buffer
pH: 7.4 Preservative: 0.02% Sodium azide Constituents: PBS, 50% Glycerol (glycerin, glycerine), 0.87% Sodium chloride
Shipped at conditions
Blue Ice
Appropriate short-term storage conditions
+4°C
Appropriate long-term storage conditions
-20°C
Storage information
Stable for 12 months at -20°C

Supplementary information

This supplementary information is collated from multiple sources and compiled automatically.

ACRBP also known as SP32 or cancer/testis antigen 14 is a microtubule-associated protein with an approximate mass of 25 kDa. It operates in cellular processes promoting stability in the microtubule structure. ACRBP expresses strongly in the testis and is scarcely found in other normal tissues. However its expression is notable in various cancers particularly in tumors such as ovarian and breast cancers.
Biological function summary

This protein plays a significant role in cell division by stabilizing microtubules during mitosis. ACRBP does not function alone as it is part of a larger complex involving microtubules aiding in their organization and dynamics. This stabilization ensures proper chromosome segregation and successful cell division which remains especially important in proliferative tissues and malignancies.

Pathways

ACRBP is important in the regulation of the cell cycle particularly in the progression of the G2/M phase. Its activity associates with significant signaling pathways involved in cell proliferation and mitotic spindle formation. ACRBP interacts with proteins like TUBB and enhances their function within these pathways influencing the assembly and disassembly of the mitotic spindle during cell division.

ACRBP's aberrant expression or malfunction links closely to cancer progression specifically in ovarian and lung cancers. Its association with malignant cell proliferation and chemotherapy resistance highlights its importance in tumor biology. Furthermore ACRBP connects with proteins like MAGE-A enhancing their oncogenic potential and influencing treatment outcomes in associated cancers.

Product protocols

For this product, it's our understanding that no specific protocols are required. You can visit:

Target data

Acrosin-binding protein, mature form. Acrosomal protein that maintains proacrosin (pro-ACR) as an enzymatically inactive zymogen in the acrosome. Involved also in the acrosome formation.
See full target information ACRBP

Publications (4)

Recent publications for all applications. Explore the full list and refine your search

Immunity, inflammation and disease 9:1759-1770 PubMed34528758

2021

Cancer-testis antigen ACRBP expression and serum immunoreactivity in ovarian cancer: Its association with prognosis.

Applications

Unspecified application

Species

Unspecified reactive species

Lina Lin,Weixia Nong,Bin Luo,Yingying Ge,Xia Zeng,Feng Li,Rong Fan,Qingmei Zhang,Xiaoxun Xie

Clinical proteomics 15:27 PubMed30166971

2018

iTRAQ-based analysis of sperm proteome from normozoospermic men achieving the rescue-ICSI pregnancy after the IVF failure.

Applications

Unspecified application

Species

Unspecified reactive species

Xin Liu,Gensheng Liu,Juan Liu,Peng Zhu,Jiahui Wang,Yanwei Wang,Wenting Wang,Ning Li,Xuebo Wang,Chenglin Zhang,Xiaofang Shen,Fujun Liu

Oncology letters 13:3080-3086 PubMed28529561

2017

Serum immunoreactivity of cancer/testis antigen OY-TES-1 and its tissues expression in glioma.

Applications

Unspecified application

Species

Unspecified reactive species

Xisheng Li,Jun Yan,Rong Fan,Bin Luo,Qingmei Zhang,Yongda Lin,Sufang Zhou,Guorong Luo,Xiaoxun Xie,Shaowen Xiao

Cell biology international 36:917-22 PubMed22651134

2012

Knockdown of OY-TES-1 by RNAi causes cell cycle arrest and migration decrease in bone marrow-derived mesenchymal stem cells.

Applications

Unspecified application

Species

Unspecified reactive species

Yan-Hui Cen,Wen-Wen Guo,Bin Luo,Yong-Da Lin,Qing-Mei Zhang,Su-Fang Zhou,Guo-Rong Luo,Shao-Wen Xiao,Xiao-Xun Xie
View all publications

Product promise

We are committed to supporting your work with high-quality reagents, and we're here for you every step of the way. In the unlikely event that one of our products does not perform as expected, you're protected by our Product Promise.
For full details, please see our Terms & Conditions

Please note: All products are 'FOR RESEARCH USE ONLY. NOT FOR USE IN DIAGNOSTIC OR THERAPEUTIC PROCEDURES'.

For licensing inquiries, please contact partnerships@abcam.com