JavaScript is disabled in your browser. Please enable JavaScript to view this website.
AB203289

Anti-Acrosin antibody

Be the first to review this product! Submit a review

|

(5 Publications)

Rabbit Polyclonal Acrosin antibody. Suitable for IHC-P and reacts with Rat samples. Cited in 5 publications. Immunogen corresponding to Synthetic Peptide within Human ACR aa 200-300 conjugated to Keyhole Limpet Haemocyanin.

View Alternative Names

ACRS, ACR, Acrosin

1 Images
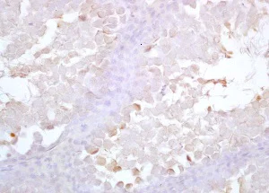
Immunohistochemistry (Formalin/PFA-fixed paraffin-embedded sections) - Anti-Acrosin antibody (AB203289)
  • IHC-P

Supplier Data

Immunohistochemistry (Formalin/PFA-fixed paraffin-embedded sections) - Anti-Acrosin antibody (AB203289)

Immunohistochemical analysis of formalin-fixed, paraffin-embedded Rat testis tissue labeling Acrosin with ab203289 at 1/200 dilution followed by conjugation to the secondary antibody and DAB staining.

Key facts

Host species

Rabbit

Clonality

Polyclonal

Isotype

IgG

Carrier free

No

Reacts with

Rat

Applications

IHC-P

applications

Immunogen

Synthetic Peptide within Human ACR aa 200-300 conjugated to Keyhole Limpet Haemocyanin. The exact immunogen used to generate this antibody is proprietary information.

P10323

Reactivity data

{ "title": "Reactivity Data", "filters": { "stats": ["", "Species", "Dilution Info", "Notes"], "tabs": { "all-applications": {"fullname" : "All Applications", "shortname": "All Applications"}, "IHCP" : {"fullname" : "Immunohistochemistry (Formalin/PFA-fixed paraffin-embedded sections)", "shortname":"IHC-P"} }, "product-promise": { "all": "all", "testedAndGuaranteed": "tested", "guaranteed": "expected", "predicted": "predicted", "notRecommended": "not-recommended" } }, "values": { "Rat": { "IHCP-species-checked": "testedAndGuaranteed", "IHCP-species-dilution-info": "1/100 - 1/500", "IHCP-species-notes": "<p>When using a fluorescent probe the recommended dilution is 1/50 – 1/200.</p>" } } }

Properties and storage information

Form
Liquid
Purification technique
Affinity purification Protein A
Storage buffer
pH: 7.4 Preservative: 0.02% Proclin 300 Constituents: 50% Glycerol (glycerin, glycerine), 48.98% TBS, 1X, 1% BSA
Shipped at conditions
Blue Ice
Appropriate short-term storage duration
1-2 weeks
Appropriate short-term storage conditions
+4°C
Appropriate long-term storage conditions
-20°C
Aliquoting information
Upon delivery aliquot
Storage information
Avoid freeze / thaw cycle

Supplementary information

This supplementary information is collated from multiple sources and compiled automatically.

Acrosin also known as ZPC and with a mass of approximately 40 kDa acts as a proteolytic enzyme in sperm cells. It falls under the category of serine proteases. Acrosin is synthesized in the acrosome of spermatozoa and gets activated during the sperm's travel through the female reproductive tract. The enzyme's main mechanical function is to digest the zona pellucida the outer glycoprotein layer of the egg aiding in sperm penetration and fertilization process.
Biological function summary

Enzymes like acrosin play significant roles in fertilization. Acrosin remains stored as proacrosin its inactive zymogen form within the acrosome until it is activated. This protein operates as part of a complex network that includes other acrosomal proteins. The activation of acrosin is tightly controlled ensuring the precise timing and localization of its enzymatic activity required for efficient sperm-egg fusion.

Pathways

Sperm motility and capacitation pathways integrate acrosin activity. These pathways are pivotal during fertilization as they govern the sperm's ability to reach and penetrate the egg. Acrosin interacts with enzymes like hyaluronidase in pathways where the digestion of the zona pellucida is necessary. This interaction ensures that sperm cells effectively breach the barriers surrounding the oocyte for successful fertilization.

Fertilization problems can connect with acrosin function anomalies. Improper activation or deficits in acrosin activity may contribute to infertility. Additionally anomalies in related proteins such as other serine proteases or those within the sperm's acrosome can lead to unsuccessful sperm-egg interactions. Research focuses on exploring these relationships to identify potential diagnostic markers or therapeutic targets for addressing infertility issues associated with acrosomal proteins like acrosin.

Product protocols

For this product, it's our understanding that no specific protocols are required. You can visit:

Target data

Acrosin is the major protease of mammalian spermatozoa. It is a serine protease of trypsin-like cleavage specificity, it is synthesized in a zymogen form, proacrosin and stored in the acrosome.
See full target information ACR

Publications (5)

Recent publications for all applications. Explore the full list and refine your search

Metabolites 15: PubMed40422900

2025

Intestinal Epithelial-Derived Exosomes Under Cold Stimulation Promote Adipose Thermogenesis.

Applications

Unspecified application

Species

Unspecified reactive species

Xue Han,Tiange Feng,Yaxu Yang,Ziming Zhu,Fangyu Shao,Lijun Sun,Yue Yin,Weizhen Zhang

Methods in molecular biology (Clifton, N.J.) 2849:239-251 PubMed37801256

2023

Flow Cytometric and Immunohistochemical Follow-Up of Spermatogonial Lineage Commitment.

Applications

Unspecified application

Species

Unspecified reactive species

Selin Önen,Merve Gizer,Petek Korkusuz

Scientific reports 12:11494 PubMed35798781

2022

Mesenchymal stem cells promote spermatogonial stem/progenitor cell pool and spermatogenesis in neonatal mice in vitro.

Applications

Unspecified application

Species

Unspecified reactive species

Selin Önen,Sevil Köse,Nilgün Yersal,Petek Korkusuz

International journal of molecular sciences 22: PubMed33498962

2021

The Expression Levels and Cellular Localization of Pigment Epithelium Derived Factor (PEDF) in Mouse Testis: Its Possible Involvement in the Differentiation of Spermatogonial Cells.

Applications

Unspecified application

Species

Unspecified reactive species

Noy Bagdadi,Alaa Sawaied,Ali AbuMadighem,Eitan Lunenfeld,Mahmoud Huleihel

Asian journal of andrology 22:88-93 PubMed31006710

2019

Reduced semen quality in patients with testicular cancer seminoma is associated with alterations in the expression of sperm proteins.

Applications

Unspecified application

Species

Unspecified reactive species

Tânia R Dias,Ashok Agarwal,Peter N Pushparaj,Gulfam Ahmad,Rakesh Sharma
View all publications

Product promise

We are committed to supporting your work with high-quality reagents, and we're here for you every step of the way. In the unlikely event that one of our products does not perform as expected, you're protected by our Product Promise.
For full details, please see our Terms & Conditions

Please note: All products are 'FOR RESEARCH USE ONLY. NOT FOR USE IN DIAGNOSTIC OR THERAPEUTIC PROCEDURES'.

For licensing inquiries, please contact partnerships@abcam.com