JavaScript is disabled in your browser. Please enable JavaScript to view this website.
AB238863

Anti-ACRV1 antibody

Be the first to review this product! Submit a review

|

(1 Publication)

Rabbit Polyclonal ACRV1 antibody. Suitable for IHC-P and reacts with Human samples. Cited in 1 publication. Immunogen corresponding to Recombinant Full Length Protein corresponding to Human Acrosomal protein SP-10.

View Alternative Names

Acrosomal protein SP-10, Acrosomal vesicle protein 1, ACRV1

1 Images
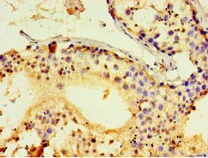
Immunohistochemistry (Formalin/PFA-fixed paraffin-embedded sections) - Anti-ACRV1 antibody (AB238863)
  • IHC-P

Supplier Data

Immunohistochemistry (Formalin/PFA-fixed paraffin-embedded sections) - Anti-ACRV1 antibody (AB238863)

Paraffin-embedded human testis tissue stained for ACRV1 using ab238863 at 1/100 dilution in immunohistochemical analysis.

Key facts

Host species

Rabbit

Clonality

Polyclonal

Isotype

IgG

Carrier free

No

Reacts with

Human

Applications

IHC-P

applications

Immunogen

Recombinant Full Length Protein corresponding to Human Acrosomal protein SP-10.

P26436

Reactivity data

{ "title": "Reactivity Data", "filters": { "stats": ["", "Species", "Dilution Info", "Notes"], "tabs": { "all-applications": {"fullname" : "All Applications", "shortname": "All Applications"}, "IHCP" : {"fullname" : "Immunohistochemistry (Formalin/PFA-fixed paraffin-embedded sections)", "shortname":"IHC-P"} }, "product-promise": { "all": "all", "testedAndGuaranteed": "tested", "guaranteed": "expected", "predicted": "predicted", "notRecommended": "not-recommended" } }, "values": { "Human": { "IHCP-species-checked": "testedAndGuaranteed", "IHCP-species-dilution-info": "1/20 - 1/200", "IHCP-species-notes": "<p></p>" } } }

Properties and storage information

Form
Liquid
Purification technique
Affinity purification Immunogen
Storage buffer
pH: 7.3 Preservative: 0.02% Sodium azide Constituents: PBS, 50% Glycerol (glycerin, glycerine)
Shipped at conditions
Blue Ice
Appropriate short-term storage duration
1-2 weeks
Appropriate short-term storage conditions
+4°C
Appropriate long-term storage conditions
-20°C
Aliquoting information
Upon delivery aliquot
Storage information
Avoid freeze / thaw cycle

Supplementary information

This supplementary information is collated from multiple sources and compiled automatically.

ACRV1 also known as acidic epididymal glycoprotein (AEG) is a protein that plays a role in reproductive biology. This protein has a molecular mass of approximately 24 kDa. Expression of ACRV1 mainly occurs in the testis more specifically in germ cells during spermatogenesis. Due to its specialized expression ACRV1 serves functions related to sperm development and maturation.
Biological function summary

Acidic epididymal glycoprotein (AEG) contributes to the stability and function of the acrosome a cap-like structure in sperm cells necessary for fertilization. ACRV1 is part of a larger protein complex involved in this process ensuring structural integrity and facilitating sperm-egg interaction. The acrosome plays a critical role in releasing enzymes that allow sperm to penetrate the egg’s outer layer enabling fertilization.

Pathways

Sperm maturation and fertilization processes rely on the presence of ACRV1. This protein is involved in the spermatogenesis pathway which is essential for producing functional and viable sperm. ACRV1 interacts with alpha-lactalbumin and protamines during this pathway to maintain chromatin stability and enable appropriate sperm head structure changes important for successful fertilization.

Abnormalities in ACRV1 expression or function can affect male fertility potentially leading to infertility conditions such as azoospermia. Defects in ACRV1 can disrupt normal sperm development contributing to issues with acrosome formation. ACRV1 is associated with other sperm-specific proteins like protamine 1 and cathepsin L which are implicated in compromised spermatozoa function and male reproductive disorders.

Product protocols

For this product, it's our understanding that no specific protocols are required. You can visit:

Publications (1)

Recent publications for all applications. Explore the full list and refine your search

Viruses 11: PubMed31018511

2019

Identification of RUVBL1 and RUVBL2 as Novel Cellular Interactors of the Ebola Virus Nucleoprotein.

Applications

Unspecified application

Species

Unspecified reactive species

M Jane Morwitzer,Sarah R Tritsch,Lisa H Cazares,Michael D Ward,Jonathan E Nuss,Sina Bavari,St Patrick Reid
View all publications

Product promise

We are committed to supporting your work with high-quality reagents, and we're here for you every step of the way. In the unlikely event that one of our products does not perform as expected, you're protected by our Product Promise.
For full details, please see our Terms & Conditions

Please note: All products are 'FOR RESEARCH USE ONLY. NOT FOR USE IN DIAGNOSTIC OR THERAPEUTIC PROCEDURES'.

For licensing inquiries, please contact partnerships@abcam.com