JavaScript is disabled in your browser. Please enable JavaScript to view this website.
AB177958

Anti-ACSL1 + ACSL6 antibody [EPR13499]

4

(1 Review)

|

(18 Publications)

Rabbit Recombinant Monoclonal ACSL1 antibody. Suitable for IHC-P, WB and reacts with Human, Recombinant fragment - Human samples. Cited in 18 publications.

View Alternative Names

FACL1, FACL2, LACS, LACS1, LACS2, ACSL1, Long-chain-fatty-acid--CoA ligase 1, Acyl-CoA synthetase 1, Arachidonate--CoA ligase, Long-chain acyl-CoA synthetase 1, Long-chain acyl-CoA synthetase 2, Long-chain fatty acid-CoA ligase 2, Palmitoyl-CoA ligase 1, Palmitoyl-CoA ligase 2, Phytanate--CoA ligase, ACS1, LACS 1, LACS 2, ACS2, FACL6, KIAA0837, LACS5, ACSL6, Long-chain-fatty-acid--CoA ligase 6, Arachidonate--CoA ligase, Long-chain acyl-CoA synthetase 6, LACS 6

5 Images
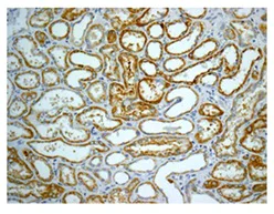
Immunohistochemistry (Formalin/PFA-fixed paraffin-embedded sections) - Anti-ACSL1 + ACSL6 antibody [EPR13499] (AB177958)
  • IHC-P

Supplier Data

Immunohistochemistry (Formalin/PFA-fixed paraffin-embedded sections) - Anti-ACSL1 + ACSL6 antibody [EPR13499] (AB177958)

Immunohistochemical analysis of Human kidney tissue labeling ACSL1 + ACSL6 using ab177958 at 1/100 dilution.

Perform heat mediated antigen retrieval with citrate buffer pH 6 before commencing with IHC staining protocol.

Immunohistochemistry (Formalin/PFA-fixed paraffin-embedded sections) - Anti-ACSL1 + ACSL6 antibody [EPR13499] (AB177958)
  • IHC-P

Supplier Data

Immunohistochemistry (Formalin/PFA-fixed paraffin-embedded sections) - Anti-ACSL1 + ACSL6 antibody [EPR13499] (AB177958)

Immunohistochemical analysis of Human liver tissue labeling ACSL1 + ACSL6 using ab177958 at 1/100 dilution.

Perform heat mediated antigen retrieval with citrate buffer pH 6 before commencing with IHC staining protocol.

Western blot - Anti-ACSL1 + ACSL6 antibody [EPR13499] (AB177958)
  • WB

Supplier Data

Western blot - Anti-ACSL1 + ACSL6 antibody [EPR13499] (AB177958)

All lanes:

Western blot - Anti-ACSL1 + ACSL6 antibody [EPR13499] (ab177958) at 1/1000 dilution

Lane 1:

HepG2 cell lysate at 10 µg

Lane 2:

Human fetal liver lysate at 10 µg

Predicted band size: 78 kDa

false

Western blot - Anti-ACSL1 + ACSL6 antibody [EPR13499] (AB177958)
  • WB

Lab

Western blot - Anti-ACSL1 + ACSL6 antibody [EPR13499] (AB177958)

Blocking and diluting buffer and concentration : 5% NFDM /TBST

ab181602 was used as a GAPDH loading control at 1/1000000 dilution.

ab205606 was used at 1/1000 dilution.

All lanes:

Western blot - Anti-ACSL1 + ACSL6 antibody [EPR13499] (ab177958) at 1/1000 dilution

Lane 1:

293T (human embryonic kidney epithelial cell) transfected with an empty vector whole cell lysate at 10 µg

Lane 2:

293T transfected with a human ACSL1 expression vector containing a DDDDK tag whole cell lysate at 10 µg

Lane 3:

293T transfected with a human ACSL5 expression vector containing a DDDDK tag whole cell lysate at 10 µg

Lane 4:

293T transfected with a human ACSL6 expression vector containing a DDDDK tag whole cell lysate at 10 µg

Secondary

All lanes:

Western blot - Goat Anti-Rabbit IgG H&L (HRP) (<a href='/en-us/products/secondary-antibodies/goat-rabbit-igg-h-l-hrp-ab97051'>ab97051</a>) at 1/200000 dilution

Observed band size: 75 kDa

false

Exposure time: 3s

Western blot - Anti-ACSL1 + ACSL6 antibody [EPR13499] (AB177958)
  • WB

CiteAb

Western blot - Anti-ACSL1 + ACSL6 antibody [EPR13499] (AB177958)

ACSL1 + ACSL6 western blot using anti-ACSL1 + ACSL6 antibody [EPR13499] ab177958. Publication image and figure legend from Li, T., Li, X., et al., 2020, Int J Med Sci, PubMed 32218693.

ab177958 was used in this publication in western blot. This may not be the same as the application(s) guaranteed by Abcam. For a full list of applications guaranteed by Abcam for ab177958 please see the product overview.

Comparison of expression level of ACSL1 gene at the protein level. Sample 1 is the overexpression control group, sample 2 is the overexpression group, sample 3 is the knockdown group, and sample 4 is the knockdown control group.

false

  • Carrier free

    Anti-ACSL1 + ACSL6 antibody [EPR13499] - BSA and Azide free

Key facts

Host species

Rabbit

Clonality

Monoclonal

Clone number

EPR13499

Isotype

IgG

Carrier free

No

Reacts with

Human

Applications

WB, IHC-P

applications

Immunogen

The exact immunogen used to generate this antibody is proprietary information.

Reactivity data

{ "title": "Reactivity Data", "filters": { "stats": ["", "Species", "Dilution Info", "Notes"], "tabs": { "all-applications": {"fullname" : "All Applications", "shortname": "All Applications"}, "IHCP" : {"fullname" : "Immunohistochemistry (Formalin/PFA-fixed paraffin-embedded sections)", "shortname":"IHC-P"}, "IP" : {"fullname" : "Immunoprecipitation", "shortname":"IP"}, "FlowCyt" : {"fullname" : "Flow Cytometry", "shortname":"Flow Cyt"}, "WB" : {"fullname" : "Western blot", "shortname":"WB"}, "ICCIF" : {"fullname" : "Immunocytochemistry/ Immunofluorescence", "shortname":"ICC/IF"} }, "product-promise": { "all": "all", "testedAndGuaranteed": "tested", "guaranteed": "expected", "predicted": "predicted", "notRecommended": "not-recommended" } }, "values": { "Human": { "IHCP-species-checked": "testedAndGuaranteed", "IHCP-species-dilution-info": "1/100 - 1/250", "IHCP-species-notes": "<p></p> Perform heat-mediated antigen retrieval with citrate buffer pH 6 before commencing with IHC staining protocol.", "IP-species-checked": "notRecommended", "IP-species-dilution-info": "", "IP-species-notes": "<p></p>", "FlowCyt-species-checked": "notRecommended", "FlowCyt-species-dilution-info": "", "FlowCyt-species-notes": "<p></p>", "WB-species-checked": "testedAndGuaranteed", "WB-species-dilution-info": "1/1000 - 1/10000", "WB-species-notes": "<p></p>", "ICCIF-species-checked": "notRecommended", "ICCIF-species-dilution-info": "", "ICCIF-species-notes": "<p></p>" }, "Mouse": { "IHCP-species-checked": "predicted", "IHCP-species-dilution-info": "", "IHCP-species-notes": "", "IP-species-checked": "notRecommended", "IP-species-dilution-info": "", "IP-species-notes": "", "FlowCyt-species-checked": "notRecommended", "FlowCyt-species-dilution-info": "", "FlowCyt-species-notes": "", "WB-species-checked": "predicted", "WB-species-dilution-info": "", "WB-species-notes": "", "ICCIF-species-checked": "notRecommended", "ICCIF-species-dilution-info": "", "ICCIF-species-notes": "" }, "Rat": { "IHCP-species-checked": "predicted", "IHCP-species-dilution-info": "", "IHCP-species-notes": "", "IP-species-checked": "notRecommended", "IP-species-dilution-info": "", "IP-species-notes": "", "FlowCyt-species-checked": "notRecommended", "FlowCyt-species-dilution-info": "", "FlowCyt-species-notes": "", "WB-species-checked": "predicted", "WB-species-dilution-info": "", "WB-species-notes": "", "ICCIF-species-checked": "notRecommended", "ICCIF-species-dilution-info": "", "ICCIF-species-notes": "" }, "Recombinant fragment - Human": { "IHCP-species-checked": "notRecommended", "IHCP-species-dilution-info": "", "IHCP-species-notes": "", "IP-species-checked": "notRecommended", "IP-species-dilution-info": "", "IP-species-notes": "", "FlowCyt-species-checked": "notRecommended", "FlowCyt-species-dilution-info": "", "FlowCyt-species-notes": "", "WB-species-checked": "testedAndGuaranteed", "WB-species-dilution-info": "1/1000 - 1/10000", "WB-species-notes": "<p></p>", "ICCIF-species-checked": "notRecommended", "ICCIF-species-dilution-info": "", "ICCIF-species-notes": "" } } }

Product details

Patented technology
Our RabMAb® technology is a patented hybridoma-based technology for making rabbit monoclonal antibodies. For details on our patents, please refer to RabMAb® patents.

What are the advantages of a recombinant monoclonal antibody?
This product is a recombinant monoclonal antibody, which offers several advantages including:

  • - High batch-to-batch consistency and reproducibility
  • - Improved sensitivity and specificity
  • - Long-term security of supply
  • - Animal-free batch production

For more information, read more on recombinant antibodies.

Properties and storage information

Form
Liquid
Purity
Tissue culture supernatant
Storage buffer
pH: 7.2 - 7.4 Preservative: 0.01% Sodium azide Constituents: PBS, 50% Tissue culture supernatant, 40% Glycerol (glycerin, glycerine), 0.05% BSA
Shipped at conditions
Blue Ice
Appropriate short-term storage duration
1-2 weeks
Appropriate short-term storage conditions
+4°C
Appropriate long-term storage conditions
-20°C
Aliquoting information
Upon delivery aliquot
Storage information
Avoid freeze / thaw cycle

Supplementary information

This supplementary information is collated from multiple sources and compiled automatically.

ACSL1 and ACSL6 are members of the acyl-CoA synthetase long-chain family. ACSL1 is also known as Acyl-CoA synthetase 1 with a mass of approximately 78 kDa. ACSL6 goes by the name Acyl-CoA synthetase 6. These enzymes convert free long-chain fatty acids into their active form acyl-CoA. ACSL1 is expressed in tissues like liver heart and adipose tissue while ACSL6 shows expression in brain and leukocytes. The activity of these enzymes is essential for lipid metabolism and energy production processes.
Biological function summary

The acyl-CoA synthetase functions as a gatekeeper in cellular lipid metabolism. Both ACSL1 and ACSL6 belong to a multi-enzyme complex involved in lipid modification processes. ACSL1 supports triglyceride synthesis and beta-oxidation of fatty acids. This role impacts energy homeostasis and lipid signaling. ACSL6 on the other hand participates in the formation of the myelin sheath in neurons and also influences neuronal differentiation through its action on fatty acid substrates.

Pathways

The enzymatic actions of ACSL1 and ACSL6 integrate into critical metabolic pathways. ACSL1 plays a role in the beta-oxidation pathway working in conjunction with enzymes like CPT1 to facilitate the transportation of acyl-CoA into mitochondria. ACSL6 is involved in the synthesis of myelin basic protein through the regulation of fatty acid availability. These enzymes also have connections to the peroxisome proliferator-activated receptor (PPAR) signaling pathway which controls the expression of genes related to lipid metabolism.

ACSL1 and ACSL6 have roles in metabolic and neurological diseases. ACSL1 is linked to metabolic diseases such as insulin resistance and type 2 diabetes as impaired lipid metabolism can affect insulin signaling pathways. ACSL6 associates with neurological disorders including schizophrenia due to its role in membrane lipid composition in neurons. The relationship of ACSL6 with proteins like myelin basic protein in the central nervous system underlines its importance in maintaining normal cognitive functions.

Product protocols

For this product, it's our understanding that no specific protocols are required. You can visit:

Target data

Catalyzes the conversion of long-chain fatty acids to their active form acyl-CoAs for both synthesis of cellular lipids, and degradation via beta-oxidation (PubMed : 21242590, PubMed : 22633490, PubMed : 24269233). Preferentially uses palmitoleate, oleate and linoleate (PubMed : 24269233). Preferentially activates arachidonate than epoxyeicosatrienoic acids (EETs) or hydroxyeicosatrienoic acids (HETEs) (By similarity).
See full target information ACSL1

Additional targets

ACSL6

Publications (18)

Recent publications for all applications. Explore the full list and refine your search

Pharmacology research & perspectives 12:e70025 PubMed39401152

2024

Study on the mechanism of echinacoside in preventing and treating hypoxic pulmonary hypertension based on proteomic analyses.

Applications

Unspecified application

Species

Unspecified reactive species

Xiangyun Gai,Qingqing Xia,Hongmai Wang,Hongtao Bi,Jinyu Wang,Yuefu Zhao

Journal of cellular and molecular medicine 28:e18231 PubMed38494855

2024

GPX4-mediated bone ferroptosis under mechanical stress decreased bone formation via the YAP-TEAD signalling pathway.

Applications

Unspecified application

Species

Unspecified reactive species

Wang Mengjia,Ji Jun,Zhang Xin,Zhang Jiahao,Guo Jie

Bioscience reports 44: PubMed38419527

2024

Integrative analysis of metabolism subtypes and identification of prognostic metabolism-related genes for glioblastoma.

Applications

Unspecified application

Species

Unspecified reactive species

Jiahui Li,Yutian Wei,Jiali Liu,Shupeng Cheng,Xia Zhang,Huaide Qiu,Jianan Li,Chuan He

Journal of orthopaedic surgery and research 19:109 PubMed38308345

2024

PDK4 inhibits osteoarthritis progression by activating the PPAR pathway.

Applications

Unspecified application

Species

Unspecified reactive species

Zhengnan Li,Lifeng Xie,Hui Zeng,Yaohong Wu

Food science & nutrition 12:313-327 PubMed38268900

2024

Transcriptome and proteomics conjoint analysis reveal anti-alcoholic liver injury effect of Dianhong Black Tea volatile substances.

Applications

Unspecified application

Species

Unspecified reactive species

Tinghui Gao,JiaoJiao Fu,Lin Liu,Jing Bai,Yangjun Lv,Yuejin Zhu,Yu Lan,Xiaonian Cao,Huafang Feng,Caihong Shen,Sijing Liu,Shikang Zhang,Jinlin Guo

PeerJ 11:e16659 PubMed38107572

2023

CXCL10-based gene cluster model serves as a potential diagnostic biomarker for premature ovarian failure.

Applications

Unspecified application

Species

Unspecified reactive species

Ying Qin,Canliang Wen,Huijiao Wu

Histology and histopathology 39:239-250 PubMed37212515

2023

TRIM3 inhibits colorectal cancer cell migration and lipid droplet formation by promoting FABP4 degradation.

Applications

Unspecified application

Species

Unspecified reactive species

Qi Zuo,Qimei Xu,Zhen Li,Dixian Luo,Hanwu Peng,Zhi Duan

Scientific reports 12:17990 PubMed36289272

2022

ACSL1 promotes imatinib-induced chronic myeloid leukemia cell senescence by regulating SIRT1/p53/p21 pathway.

Applications

Unspecified application

Species

Unspecified reactive species

Wen Liu,Xiaoying Zhu,Ling Tang,Na Shen,Fanjun Cheng,Ping Zou,Yong You,Guolin Yuan,Qing Li,Xiaojian Zhu

Bioactive materials 16:82-94 PubMed35386323

2022

Adoptive transfer of metabolically reprogrammed macrophages for atherosclerosis treatment in diabetic mice.

Applications

Unspecified application

Species

Unspecified reactive species

Tingting Wang,Yan Dong,Li Yao,Fan Lu,Chenxi Wen,Zhuo Wan,Li Fan,Zhelong Li,Te Bu,Mengying Wei,Xuekang Yang,Yi Zhang

Journal of cellular and molecular medicine 25:8863-8876 PubMed34402182

2021

Astragaloside IV ameliorates fat metabolism in the liver of ageing mice through targeting mitochondrial activity.

Applications

Unspecified application

Species

Unspecified reactive species

Zhixiao Luo,Yaqi Wang,Mengzhen Xue,Fangqi Xia,Leiqi Zhu,Yuanyang Li,Dengke Jia,Silong Chen,Guangfu Xu,Yan Lei
View all publications

Product promise

We are committed to supporting your work with high-quality reagents, and we're here for you every step of the way. In the unlikely event that one of our products does not perform as expected, you're protected by our Product Promise.
For full details, please see our Terms & Conditions

Please note: All products are 'FOR RESEARCH USE ONLY. NOT FOR USE IN DIAGNOSTIC OR THERAPEUTIC PROCEDURES'.

For licensing inquiries, please contact partnerships@abcam.com