JavaScript is disabled in your browser. Please enable JavaScript to view this website.
AB250044

Anti-ACSL1 antibody [EPR13498] - BSA and Azide free

Be the first to review this product! Submit a review

|

(0 Publication)

Rabbit Recombinant Monoclonal ACSL1 antibody. Carrier free. Suitable for WB, IHC-P and reacts with Human samples.

View Alternative Names

FACL1, FACL2, LACS, LACS1, LACS2, ACSL1, Long-chain-fatty-acid--CoA ligase 1, Acyl-CoA synthetase 1, Arachidonate--CoA ligase, Long-chain acyl-CoA synthetase 1, Long-chain acyl-CoA synthetase 2, Long-chain fatty acid-CoA ligase 2, Palmitoyl-CoA ligase 1, Palmitoyl-CoA ligase 2, Phytanate--CoA ligase, ACS1, LACS 1, LACS 2

2 Images
Western blot - Anti-ACSL1 antibody [EPR13498] - BSA and Azide free (AB250044)
  • WB

Unknown

Western blot - Anti-ACSL1 antibody [EPR13498] - BSA and Azide free (AB250044)

This data was developed using the same antibody clone in a different buffer formulation (ab178419). ** Lanes 1-3 : ** Merged signal (red and green). Green - ab178419 observed at 78 kDa. Red - loading control ab8245 observed at 36 kDa. ab178419 Anti-ACSL1 antibody [EPR13498] was shown to specifically react with ACSL1 in wild-type HeLa cells. Loss of signal was observed when knockout cell line ab265555 (knockout cell lysate ab257335) was used. Wild-type and ACSL1 knockout samples were subjected to SDS-PAGE. ab178419 and Anti-GAPDH antibody [6C5] - Loading Control (ab8245) were incubated overnight at 4°C at 1 in 1000 dilution and 1 in 20000 dilution respectively. Blots were developed with Goat anti-Rabbit IgG H&L (IRDye® 800CW) preadsorbed (ab216773) and Goat anti-Mouse IgG H&L (IRDye® 680RD) preadsorbed (ab216776) secondary antibodies at 1 in 20000 dilution for 1 hour at room temperature before imaging.

All lanes:

Western blot - Anti-ACSL1 antibody [EPR13498] (<a href='/en-us/products/primary-antibodies/acsl1-antibody-epr13498-ab178419'>ab178419</a>) at 1/1000 dilution

Lane 1:

Wild-type HeLa cell lysate at 20 µg

Lane 2:

ACSL1 knockout HeLa cell lysate at 20 µg

Lane 2:

Western blot - Human ACSL1 knockout HeLa cell line (<a href='/en-us/products/cell-lines/human-acsl1-knockout-hela-cell-line-ab265555'>ab265555</a>)

Lane 3:

HepG2 cell lysate at 20 µg

Secondary

All lanes:

Western blot - Goat anti-Rabbit IgG H&L (IRDye® 800CW) preadsorbed (<a href='/en-us/products/secondary-antibodies/goat-rabbit-igg-h-l-irdye-800cw-preadsorbed-ab216773'>ab216773</a>) at 1/10000 dilution

Predicted band size: 78 kDa

Observed band size: 78 kDa

false

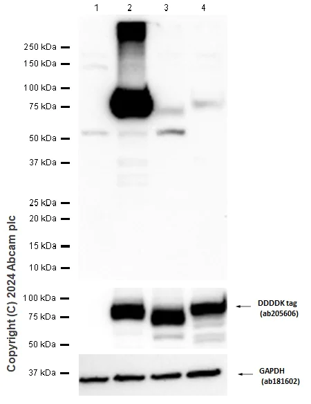
Western blot - Anti-ACSL1 antibody [EPR13498] - BSA and Azide free (AB250044)
  • WB

Supplier Data

Western blot - Anti-ACSL1 antibody [EPR13498] - BSA and Azide free (AB250044)

This data was developed using the same antibody clone in a different buffer formulation (ab178419).

Blocking and diluting buffer : 5% NFDM/TBST.

ab181602 was used as a loading control at 1/1000000 dilution.

ab205606 was used as a loading control at 1/1000 dilution.

This antibody shows very weak cross reactivity with ACSL5 and ACSL6.

All lanes:

Western blot - Anti-ACSL1 antibody [EPR13498] (<a href='/en-us/products/primary-antibodies/acsl1-antibody-epr13498-ab178419'>ab178419</a>) at 1/1000 dilution

Lane 1:

293T (human embryonic kidney epithelial cell) transfected with an empty vector whole cell lysate at 10 µg

Lane 2:

293T transfected with a human ACSL1 expression vector containing a DDDDK tag whole cell lysate at 10 µg

Lane 3:

293T transfected with a human ACSL5 expression vector containing a DDDDK tag whole cell lysate

Lane 4:

293T transfected with a human ACSL6 expression vector containing a DDDDK tag whole cell lysate at 10 µg

Secondary

All lanes:

Western blot - Goat Anti-Rabbit IgG H&L (HRP) (<a href='/en-us/products/secondary-antibodies/goat-rabbit-igg-h-l-hrp-ab97051'>ab97051</a>) at 1/20000 dilution

Predicted band size: 78 kDa

Observed band size: 75 kDa

false

Exposure time: 20s

Key facts

Host species

Rabbit

Clonality

Monoclonal

Clone number

EPR13498

Isotype

IgG

Carrier free

Yes

Reacts with

Human

Applications

IHC-P, WB

applications

Immunogen

The exact immunogen used to generate this antibody is proprietary information.

Specificity

This antibody shows very weak cross reactivity with ACSL5 and ACSL6.

Reactivity data

{ "title": "Reactivity Data", "filters": { "stats": ["", "Species", "Dilution Info", "Notes"], "tabs": { "all-applications": {"fullname" : "All Applications", "shortname": "All Applications"}, "IP" : {"fullname" : "Immunoprecipitation", "shortname":"IP"}, "FlowCyt" : {"fullname" : "Flow Cytometry", "shortname":"Flow Cyt"}, "WB" : {"fullname" : "Western blot", "shortname":"WB"}, "IHCP" : {"fullname" : "Immunohistochemistry (Formalin/PFA-fixed paraffin-embedded sections)", "shortname":"IHC-P"} }, "product-promise": { "all": "all", "testedAndGuaranteed": "tested", "guaranteed": "expected", "predicted": "predicted", "notRecommended": "not-recommended" } }, "values": { "Human": { "IP-species-checked": "notRecommended", "IP-species-dilution-info": "", "IP-species-notes": "<p></p>", "FlowCyt-species-checked": "notRecommended", "FlowCyt-species-dilution-info": "", "FlowCyt-species-notes": "<p></p>", "WB-species-checked": "testedAndGuaranteed", "WB-species-dilution-info": "", "WB-species-notes": "<p></p>", "IHCP-species-checked": "guaranteed", "IHCP-species-dilution-info": "", "IHCP-species-notes": "<p></p>" }, "Mouse": { "IP-species-checked": "notRecommended", "IP-species-dilution-info": "", "IP-species-notes": "<p></p>", "FlowCyt-species-checked": "notRecommended", "FlowCyt-species-dilution-info": "", "FlowCyt-species-notes": "<p></p>", "WB-species-checked": "notRecommended", "WB-species-dilution-info": "", "WB-species-notes": "<p></p>", "IHCP-species-checked": "notRecommended", "IHCP-species-dilution-info": "", "IHCP-species-notes": "<p></p>" }, "Rat": { "IP-species-checked": "notRecommended", "IP-species-dilution-info": "", "IP-species-notes": "<p></p>", "FlowCyt-species-checked": "notRecommended", "FlowCyt-species-dilution-info": "", "FlowCyt-species-notes": "<p></p>", "WB-species-checked": "notRecommended", "WB-species-dilution-info": "", "WB-species-notes": "<p></p>", "IHCP-species-checked": "notRecommended", "IHCP-species-dilution-info": "", "IHCP-species-notes": "<p></p>" } } }

Product details

ab250044 is the carrier-free version of ab178419.

Patented technology
Our RabMAb® technology is a patented hybridoma-based technology for making rabbit monoclonal antibodies. For details on our patents, please refer to RabMAb® patents.

What are the advantages of a recombinant monoclonal antibody?
This product is a recombinant monoclonal antibody, which offers several advantages including:

  • - High batch-to-batch consistency and reproducibility
  • - Improved sensitivity and specificity
  • - Long-term security of supply
  • - Animal-free batch production

For more information, read more on recombinant antibodies.

Conjugation ready
Our carrier-free antibodies are typically supplied in a PBS-only formulation, purified and free of BSA, sodium azide and glycerol. This conjugation-ready format is designed for use with fluorochromes, metal isotopes, oligonucleotides, and enzymes, which makes them ideal for antibody labelling, functional and cell-based assays, flow-based assays (e.g. mass cytometry) and Multiplex Imaging applications.

Use our conjugation kits for antibody conjugates that are ready-to-use in as little as 20 minutes with 1 minute hands-on-time and 100% antibody recovery: available for fluorescent dyes, HRP, biotin and gold.

Compatibility
This product is compatible with the Maxpar® Antibody Labeling Kit from Fluidigm, without the need for antibody preparation. Maxpar® is a trademark of Fluidigm Canada Inc.

Properties and storage information

Form
Liquid
Purification technique
Affinity purification
Storage buffer
pH: 7.2 - 7.4 Constituents: PBS
Shipped at conditions
Blue Ice
Appropriate short-term storage conditions
+4°C
Appropriate long-term storage conditions
+4°C
Storage information
Do Not Freeze

Supplementary information

This supplementary information is collated from multiple sources and compiled automatically.

The enzyme ACSL1 known as Acyl-CoA synthetase long-chain family member 1 plays an important role in lipid metabolism by converting free long-chain fatty acids into fatty acyl-CoA esters. This reaction is essential for the β-oxidation and synthesis of complex lipids. ACSL1 has an approximate mass of 78 kDa and is expressed in tissues with high metabolic activity including the liver heart and adipose tissue. The enzyme functions by regulating the cellular levels of fatty acids and their derivatives significantly impacting energy homeostasis.
Biological function summary

ACSL1 affects energy production and lipid storage by activating fatty acids making them substrates for metabolic processes. It is not only an independent enzyme but also works with other lipid-metabolizing enzymes to form complexes. This involvement in the dynamic regulation of lipid utilization and storage influences cellular energy balance and metabolic flexibility. ACSL1 also associates with peroxisomes contributing to its functions in lipid metabolism and organelle integrity.

Pathways

ACSL1 holds a significant position in the fatty acid metabolism and PPAR signaling pathways. It interacts with enzymes like CPT1 important for transporting activated fatty acids into mitochondria for β-oxidation highlighting its integral role in energy harvesting from lipids. This participation in essential metabolic pathways demonstrates ACSL1's contribution to maintaining cellular energy and lipid balance.

ACSL1 links to metabolic disorders such as non-alcoholic fatty liver disease (NAFLD) and cardiovascular disease. Overexpression or aberrant function of ACSL1 can disrupt normal lipid homeostasis contributing to abnormal lipid accumulation and metabolic dysregulation. The enzyme also associates with SREBP-1 a regulator of lipid synthesis indicating its involvement in lipid-related disorders. Researching ACSL1 helps understand its impact on lipid metabolism-related pathologies.

Product protocols

For this product, it's our understanding that no specific protocols are required. You can visit:

Target data

Catalyzes the conversion of long-chain fatty acids to their active form acyl-CoAs for both synthesis of cellular lipids, and degradation via beta-oxidation (PubMed : 21242590, PubMed : 22633490, PubMed : 24269233). Preferentially uses palmitoleate, oleate and linoleate (PubMed : 24269233). Preferentially activates arachidonate than epoxyeicosatrienoic acids (EETs) or hydroxyeicosatrienoic acids (HETEs) (By similarity).
See full target information ACSL1

Product promise

We are committed to supporting your work with high-quality reagents, and we're here for you every step of the way. In the unlikely event that one of our products does not perform as expected, you're protected by our Product Promise.
For full details, please see our Terms & Conditions

Please note: All products are 'FOR RESEARCH USE ONLY. NOT FOR USE IN DIAGNOSTIC OR THERAPEUTIC PROCEDURES'.

For licensing inquiries, please contact partnerships@abcam.com