JavaScript is disabled in your browser. Please enable JavaScript to view this website.
AB250534

Anti-ACSM2A antibody [EPR13330-17] - BSA and Azide free

Be the first to review this product! Submit a review

|

(1 Publication)

Rabbit Recombinant Monoclonal ACSM2A antibody. Carrier free. Suitable for IHC-P, WB and reacts with Human samples. Cited in 1 publication.

View Alternative Names

ACSM2, MACS2, ACSM2A, Acyl-CoA synthetase medium-chain family member 2A, Benzoate--CoA ligase, Butyrate--CoA ligase 2A, Butyryl-coenzyme A synthetase 2A, Middle-chain acyl-CoA synthetase 2A

2 Images
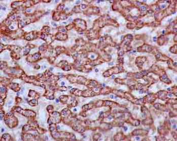
Immunohistochemistry (Formalin/PFA-fixed paraffin-embedded sections) - Anti-ACSM2A antibody [EPR13330-17] - BSA and Azide free (AB250534)
  • IHC-P

Supplier Data

Immunohistochemistry (Formalin/PFA-fixed paraffin-embedded sections) - Anti-ACSM2A antibody [EPR13330-17] - BSA and Azide free (AB250534)

This data was developed using ab181865, the same antibody clone in a different buffer formulation.

Immunohistochemical analysis of paraffin-embedded, Human liver tissue labeling ACSM2A with ab181865 at a 1/50 dilution. Counter stained with hematoxylin.

Perform heat mediated antigen retrieval with citrate buffer pH 6 before commencing with IHC staining protocol.

Western blot - Anti-ACSM2A antibody [EPR13330-17] - BSA and Azide free (AB250534)
  • WB

Supplier Data

Western blot - Anti-ACSM2A antibody [EPR13330-17] - BSA and Azide free (AB250534)

This data was developed using ab181865, the same antibody clone in a different buffer formulation.

All lanes:

Western blot - Anti-ACSM2A antibody [EPR13330-17] (<a href='/en-us/products/primary-antibodies/acsm2a-antibody-epr13330-17-ab181865'>ab181865</a>) at 1/10000 dilution

Lane 1:

Human fetal liver lysate at 20 µg

Lane 2:

Human fetal kidney lysate at 20 µg

Secondary

All lanes:

Western blot - Goat Anti-Rabbit IgG H&L (HRP) (<a href='/en-us/products/secondary-antibodies/goat-rabbit-igg-h-l-hrp-ab136636'>ab136636</a>) at 1/500 dilution

Predicted band size: 64 kDa,66 kDa

Observed band size: 64 kDa,80 kDa

true

Key facts

Host species

Rabbit

Clonality

Monoclonal

Clone number

EPR13330-17

Isotype

IgG

Carrier free

Yes

Reacts with

Human

Applications

WB, IHC-P

applications

Immunogen

The exact immunogen used to generate this antibody is proprietary information.

Reactivity data

{ "title": "Reactivity Data", "filters": { "stats": ["", "Species", "Dilution Info", "Notes"], "tabs": { "all-applications": {"fullname" : "All Applications", "shortname": "All Applications"}, "IHCP" : {"fullname" : "Immunohistochemistry (Formalin/PFA-fixed paraffin-embedded sections)", "shortname":"IHC-P"}, "WB" : {"fullname" : "Western blot", "shortname":"WB"} }, "product-promise": { "all": "all", "testedAndGuaranteed": "tested", "guaranteed": "expected", "predicted": "predicted", "notRecommended": "not-recommended" } }, "values": { "Human": { "IHCP-species-checked": "testedAndGuaranteed", "IHCP-species-dilution-info": "", "IHCP-species-notes": "<p></p>", "WB-species-checked": "testedAndGuaranteed", "WB-species-dilution-info": "", "WB-species-notes": "<p></p>" }, "Mouse": { "IHCP-species-checked": "predicted", "IHCP-species-dilution-info": "", "IHCP-species-notes": "", "WB-species-checked": "predicted", "WB-species-dilution-info": "", "WB-species-notes": "" }, "Rat": { "IHCP-species-checked": "predicted", "IHCP-species-dilution-info": "", "IHCP-species-notes": "", "WB-species-checked": "predicted", "WB-species-dilution-info": "", "WB-species-notes": "" } } }

Product details

ab250534 is the carrier-free version of ab181865.

Patented technology
Our RabMAb® technology is a patented hybridoma-based technology for making rabbit monoclonal antibodies. For details on our patents, please refer to RabMAb® patents.

What are the advantages of a recombinant monoclonal antibody?
This product is a recombinant monoclonal antibody, which offers several advantages including:

  • - High batch-to-batch consistency and reproducibility
  • - Improved sensitivity and specificity
  • - Long-term security of supply
  • - Animal-free batch production

For more information, read more on recombinant antibodies.

Conjugation ready
Our carrier-free antibodies are typically supplied in a PBS-only formulation, purified and free of BSA, sodium azide and glycerol. This conjugation-ready format is designed for use with fluorochromes, metal isotopes, oligonucleotides, and enzymes, which makes them ideal for antibody labelling, functional and cell-based assays, flow-based assays (e.g. mass cytometry) and Multiplex Imaging applications.

Use our conjugation kits for antibody conjugates that are ready-to-use in as little as 20 minutes with 1 minute hands-on-time and 100% antibody recovery: available for fluorescent dyes, HRP, biotin and gold.

Compatibility
This product is compatible with the Maxpar® Antibody Labeling Kit from Fluidigm, without the need for antibody preparation. Maxpar® is a trademark of Fluidigm Canada Inc.

Properties and storage information

Form
Liquid
Purification technique
Affinity purification Protein A
Storage buffer
pH: 7.2 - 7.4 Constituents: PBS
Shipped at conditions
Blue Ice
Appropriate short-term storage conditions
+4°C
Appropriate long-term storage conditions
+4°C
Storage information
Do Not Freeze

Supplementary information

This supplementary information is collated from multiple sources and compiled automatically.

ACSM2A also known as acyl-CoA synthetase medium-chain family member 2A is an enzyme that activates medium-chain fatty acids by converting them into acyl-CoA derivatives. It has a molecular mass of approximately 63 kDa. This enzyme expresses in liver and kidney tissues where it plays a significant role in lipid metabolism by facilitating the utilization of medium-chain fatty acids.
Biological function summary

ACSM2A catalyzes the formation of acyl-CoA from free fatty acids ATP and coenzyme A. It belongs to the acyl-CoA synthetase family which includes enzymes that are essential for fatty acid metabolism. While not explicitly part of a larger enzymatic complex ACSM2A interacts with other members of this family to modulate fatty acid activation and energy production.

Pathways

ACSM2A significantly contributes to beta-oxidation and the fatty acid metabolic process. It works closely with enzymes like CPT1A (carnitine palmitoyltransferase 1A) in the mitochondria to ensure efficient transport and oxidation of fatty acids. In these pathways ACSM2A's activity is vital for maintaining energy balance and regulating lipid levels within the cell.

Mutations or dysregulations of ACSM2A may associate with metabolic conditions such as obesity and diabetes mellitus. Its connection to obesity involves interactions with proteins like PPARα (peroxisome proliferator-activated receptor alpha) which regulates lipid metabolism and energy homeostasis. Altered expressions of ACSM2A can impact these metabolic pathways influencing disease progression.

Product protocols

For this product, it's our understanding that no specific protocols are required. You can visit:

Target data

Catalyzes the activation of fatty acids by CoA to produce an acyl-CoA, the first step in fatty acid metabolism (By similarity). Capable of activating medium-chain fatty acids (e.g. butyric (C4) to decanoic (C10) acids), and certain carboxylate-containing xenobiotics, e.g. benzoate (By similarity).
See full target information ACSM2A

Publications (1)

Recent publications for all applications. Explore the full list and refine your search

Scientific reports 14:15564 PubMed38971897

2024

LILRB4 knockdown inhibits aortic dissection development by regulating pyroptosis and the JAK2/STAT3 signaling pathway.

Applications

Unspecified application

Species

Unspecified reactive species

Jianxian Xiong,Jiayuan Ling,Jie Yan,Yanyu Duan,Junjian Yu,Wentong Li,Wenbo Yu,Jianfeng Gao,Dilin Xie,Ziyou Liu,Yongzhi Deng,Yongling Liao
View all publications

Product promise

We are committed to supporting your work with high-quality reagents, and we're here for you every step of the way. In the unlikely event that one of our products does not perform as expected, you're protected by our Product Promise.
For full details, please see our Terms & Conditions

Please note: All products are 'FOR RESEARCH USE ONLY. NOT FOR USE IN DIAGNOSTIC OR THERAPEUTIC PROCEDURES'.

For licensing inquiries, please contact partnerships@abcam.com