JavaScript is disabled in your browser. Please enable JavaScript to view this website.
AB238682

Anti-ACSM3/SAH antibody

Be the first to review this product! Submit a review

|

(2 Publications)

Rabbit Polyclonal ACSM3/SAH antibody. Suitable for WB, IHC-P and reacts with Human samples. Cited in 2 publications. Immunogen corresponding to Recombinant Fragment Protein within Human ACSM3 aa 350 to C-terminus.

View Alternative Names

SAH, ACSM3, Acyl-CoA synthetase medium-chain family member 3, Butyrate--CoA ligase 3, Butyryl-coenzyme A synthetase 3, Middle-chain acyl-CoA synthetase 3, Propionate--CoA ligase, Protein SA homolog

3 Images
Immunohistochemistry (Formalin/PFA-fixed paraffin-embedded sections) - Anti-ACSM3/SAH antibody (AB238682)
  • IHC-P

Supplier Data

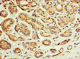
Immunohistochemistry (Formalin/PFA-fixed paraffin-embedded sections) - Anti-ACSM3/SAH antibody (AB238682)

Paraffin-embedded human colon cancer tissue stained for ACSM3/SAH using ab238682 at 1/100 dilution in immunohistochemical analysis.

Immunohistochemistry (Formalin/PFA-fixed paraffin-embedded sections) - Anti-ACSM3/SAH antibody (AB238682)
  • IHC-P

Supplier Data

Immunohistochemistry (Formalin/PFA-fixed paraffin-embedded sections) - Anti-ACSM3/SAH antibody (AB238682)

Paraffin-embedded human breast cancer tissue stained for ACSM3/SAH using ab238682 at 1/100 dilution in immunohistochemical analysis.

Western blot - Anti-ACSM3/SAH antibody (AB238682)
  • WB

Supplier Data

Western blot - Anti-ACSM3/SAH antibody (AB238682)

All lanes:

Western blot - Anti-ACSM3/SAH antibody (ab238682) at 10 µg/mL

All lanes:

293T whole cell lysate

Secondary

All lanes:

Goat polyclonal to rabbit IgG at 1/10000 dilution

Predicted band size: 66 kDa

false

Key facts

Host species

Rabbit

Clonality

Polyclonal

Isotype

IgG

Carrier free

No

Reacts with

Human

Applications

IHC-P, WB

applications

Immunogen

Recombinant Fragment Protein within Human ACSM3 aa 350 to C-terminus. The exact immunogen used to generate this antibody is proprietary information.

Q53FZ2

Reactivity data

{ "title": "Reactivity Data", "filters": { "stats": ["", "Species", "Dilution Info", "Notes"], "tabs": { "all-applications": {"fullname" : "All Applications", "shortname": "All Applications"}, "WB" : {"fullname" : "Western blot", "shortname":"WB"}, "IHCP" : {"fullname" : "Immunohistochemistry (Formalin/PFA-fixed paraffin-embedded sections)", "shortname":"IHC-P"} }, "product-promise": { "all": "all", "testedAndGuaranteed": "tested", "guaranteed": "expected", "predicted": "predicted", "notRecommended": "not-recommended" } }, "values": { "Human": { "WB-species-checked": "testedAndGuaranteed", "WB-species-dilution-info": "10 µg/mL", "WB-species-notes": "<p></p>", "IHCP-species-checked": "testedAndGuaranteed", "IHCP-species-dilution-info": "1/20 - 1/200", "IHCP-species-notes": "<p></p>" }, "Mouse": { "WB-species-checked": "predicted", "WB-species-dilution-info": "", "WB-species-notes": "", "IHCP-species-checked": "predicted", "IHCP-species-dilution-info": "", "IHCP-species-notes": "" }, "Orangutan": { "WB-species-checked": "predicted", "WB-species-dilution-info": "", "WB-species-notes": "", "IHCP-species-checked": "predicted", "IHCP-species-dilution-info": "", "IHCP-species-notes": "" } } }

Properties and storage information

Form
Liquid
Purification technique
Affinity purification Protein G
Purification notes
Purity >95%
Storage buffer
pH: 7.3 Preservative: 0.02% Sodium azide Constituents: PBS, 50% Glycerol (glycerin, glycerine)
Shipped at conditions
Blue Ice
Appropriate short-term storage duration
1-2 weeks
Appropriate short-term storage conditions
+4°C
Appropriate long-term storage conditions
-20°C
Aliquoting information
Upon delivery aliquot
Storage information
Avoid freeze / thaw cycle

Supplementary information

This supplementary information is collated from multiple sources and compiled automatically.

The ACSM3/SAH protein also known simply as ACSM3 plays an important role in cellular metabolism. This protein functions as an acyl-CoA synthetase catalyzing the conversion of medium-chain fatty acids into their corresponding acyl-CoA derivatives which are essential for energy production. ACSM3 has a known molecular mass of around 63 kDa. It is predominantly expressed in the liver and kidney tissues indicating its significant functions in metabolic processes associated with these organs.
Biological function summary

ACSM3 contributes to the activation and regulation of fatty acids within cellular metabolism and may also form a part of multifaceted enzyme complexes in the mitochondria. These complexes assist in metabolic pathways facilitating the energy production process that is fundamental to cellular functions. By converting fatty acids into acyl-CoA the protein plays a role in metabolic pathways that not only provide energy but also participate in biosynthesis of complex lipids.

Pathways

The ACSM3 protein integrates into fatty acid metabolism and the tricarboxylic acid (TCA) cycle. In these pathways its interaction with proteins such as carnitine palmitoyltransferase 1 (CPT1) highlights its role in transporting fatty acyl-CoAs into mitochondria for beta-oxidation. This protein interaction is important for channeling fatty acids onto pathways that support cellular respiration and energy production efficiently.

ACSM3 has associations with metabolic syndromes and certain liver disorders. Disruption or mutations affecting the function of this protein could lead to imbalances in fatty acid metabolism contributing to conditions such as nonalcoholic fatty liver disease (NAFLD). Additionally its regulatory interactions with proteins like AMP-activated protein kinase (AMPK) link ACSM3 to metabolic stress responses underlining its role in maintaining metabolic homeostasis and its potential in metabolic syndrome pathology.

Product protocols

For this product, it's our understanding that no specific protocols are required. You can visit:

Target data

Catalyzes the activation of fatty acids by CoA to produce an acyl-CoA, the first step in fatty acid metabolism (PubMed : 11772874). Capable of activating medium-chain fatty acids with a preference for isobutyrate among fatty acids with 2-6 carbon atoms (By similarity).
See full target information ACSM3

Publications (2)

Recent publications for all applications. Explore the full list and refine your search

Oncology letters 23:175 PubMed35497935

2022

KLF10 upregulates ACSM3 via the PI3K/Akt signaling pathway to inhibit the malignant progression of melanoma.

Applications

Unspecified application

Species

Unspecified reactive species

Zhirong Zhao,Yuanchang Zhan,Li Jing,Huali Zhai

Journal of Cancer 12:5153-5163 PubMed34335932

2021

Development and Validation of a Nomogram based on cell growth-related Biomarkers for Oral Squamous Cell Carcinoma.

Applications

Unspecified application

Species

Unspecified reactive species

Yanjie Shuai,Yuansheng Duan,Mengqian Zhou,Kai Yue,Dandan Liu,Yan Fang,Yuxuan Wang,Yansheng Wu,Ze Zhang,Xudong Wang
View all publications

Product promise

We are committed to supporting your work with high-quality reagents, and we're here for you every step of the way. In the unlikely event that one of our products does not perform as expected, you're protected by our Product Promise.
For full details, please see our Terms & Conditions

Please note: All products are 'FOR RESEARCH USE ONLY. NOT FOR USE IN DIAGNOSTIC OR THERAPEUTIC PROCEDURES'.

For licensing inquiries, please contact partnerships@abcam.com