JavaScript is disabled in your browser. Please enable JavaScript to view this website.
AB218549

Anti-ACTC1 antibody [RM257] - N-terminal

Be the first to review this product! Submit a review

|

(1 Publication)

Rabbit Recombinant Monoclonal ACTC antibody. N-terminal. Suitable for WB, IHC-P and reacts with Mouse, Human samples. Cited in 1 publication. Immunogen corresponding to Synthetic Peptide within Human ACTC1.

View Alternative Names

ACTC, ACTC1, Alpha-cardiac actin

2 Images
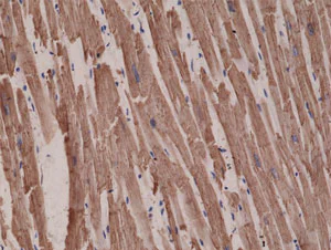
Immunohistochemistry (Formalin/PFA-fixed paraffin-embedded sections) - Anti-ACTC1 antibody [RM257] - N-terminal (AB218549)
  • IHC-P

Supplier Data

Immunohistochemistry (Formalin/PFA-fixed paraffin-embedded sections) - Anti-ACTC1 antibody [RM257] - N-terminal (AB218549)

Immunohistochemical analysis of paraffin embedded, formalin fixed human heart tissue labeling ACTC1 using ab218549 at a 1/1000 dilution.

Western blot - Anti-ACTC1 antibody [RM257] - N-terminal (AB218549)
  • WB

Supplier Data

Western blot - Anti-ACTC1 antibody [RM257] - N-terminal (AB218549)

All lanes:

Western blot - Anti-ACTC1 antibody [RM257] - N-terminal (ab218549) at 1/1000 dilution

All lanes:

mouse heart tissue lysate

Predicted band size: 42 kDa

false

Key facts

Host species

Rabbit

Clonality

Monoclonal

Clone number

RM257

Isotype

IgG

Carrier free

No

Reacts with

Mouse, Human

Applications

WB, IHC-P

applications

Immunogen

Synthetic Peptide within Human ACTC1. The exact immunogen used to generate this antibody is proprietary information.

P68032

Reactivity data

{ "title": "Reactivity Data", "filters": { "stats": ["", "Species", "Dilution Info", "Notes"], "tabs": { "all-applications": {"fullname" : "All Applications", "shortname": "All Applications"}, "WB" : {"fullname" : "Western blot", "shortname":"WB"}, "IHCP" : {"fullname" : "Immunohistochemistry (Formalin/PFA-fixed paraffin-embedded sections)", "shortname":"IHC-P"} }, "product-promise": { "all": "all", "testedAndGuaranteed": "tested", "guaranteed": "expected", "predicted": "predicted", "notRecommended": "not-recommended" } }, "values": { "Human": { "WB-species-checked": "guaranteed", "WB-species-dilution-info": "", "WB-species-notes": "", "IHCP-species-checked": "testedAndGuaranteed", "IHCP-species-dilution-info": "1/1000 - 1/2000", "IHCP-species-notes": "<p></p>" }, "Mouse": { "WB-species-checked": "testedAndGuaranteed", "WB-species-dilution-info": "1/1000 - 1/2000", "WB-species-notes": "<p></p>", "IHCP-species-checked": "guaranteed", "IHCP-species-dilution-info": "", "IHCP-species-notes": "" } } }

Properties and storage information

Form
Liquid
Purification technique
Affinity purification Protein A
Storage buffer
Preservative: 0.09% Sodium azide Constituents: PBS, 50% Glycerol (glycerin, glycerine), 1% BSA
Shipped at conditions
Blue Ice
Appropriate short-term storage duration
1-2 weeks
Appropriate short-term storage conditions
+4°C
Appropriate long-term storage conditions
-20°C
Aliquoting information
Upon delivery aliquot
Storage information
Avoid freeze / thaw cycle

Supplementary information

This supplementary information is collated from multiple sources and compiled automatically.

ACTC1 also known as cardiac alpha actin is a protein that plays an essential role in the cytoskeletal structure of heart muscle cells. Weighing around 42 kDa ACTC1 is found predominantly in cardiac tissue specifically in the sarcomere which is the fundamental unit of muscle contraction. In muscle cells ACTC1 organizes into thin filaments and is critical for maintaining the structural integrity and contractile function of the cardiac tissue.
Biological function summary

ACTC1 is significant in muscle contraction and cellular movement and it forms part of the sarcomeric complex within cardiac muscle cells. This protein along with other actin isoforms contributes to the organized network of actin and myosin filaments which generate force for heartbeats. ACTC1 polymerizes to form the actin filament which when coupled with myosin motors and regulatory proteins executes the contraction cycle in cardiac muscles.

Pathways

ACTC1 plays a central role within the muscle contraction process and the cardiac muscle contraction pathway. In these pathways its interaction with proteins like myosin tropomyosin and troponin is vital to initiate and regulate cardiac contractions. The dynamic interaction between ACTC1 and these proteins facilitates the conversion of chemical energy into mechanical energy necessary for the rhythmic contraction and relaxation of heart muscles.

Mutations or alterations in ACTC1 are closely linked to cardiac conditions such as hypertrophic cardiomyopathy and dilated cardiomyopathy. These disorders often involve associated proteins like troponin T and myosin heavy chain which when mutated along with ACTC1 disrupt normal cardiac contraction and lead to structural heart changes. These conditions highlight the importance of ACTC1 in maintaining normal cardiac function and structure.

Product protocols

For this product, it's our understanding that no specific protocols are required. You can visit:

Target data

Actins are highly conserved proteins that are involved in various types of cell motility and are ubiquitously expressed in all eukaryotic cells.
See full target information ACTC1

Publications (1)

Recent publications for all applications. Explore the full list and refine your search

Journal of virology 99:e0198024 PubMed39976465

2025

Zika virus inhibits cell death by inhibiting the expression of NLRP3 and A20.

Applications

Unspecified application

Species

Unspecified reactive species

Jian Li,Changyang Zhu,Yang Meng,Linliang Zhang,Cong Liu,Yali Qin,Mingzhou Chen
View all publications

Product promise

We are committed to supporting your work with high-quality reagents, and we're here for you every step of the way. In the unlikely event that one of our products does not perform as expected, you're protected by our Product Promise.
For full details, please see our Terms & Conditions

Please note: All products are 'FOR RESEARCH USE ONLY. NOT FOR USE IN DIAGNOSTIC OR THERAPEUTIC PROCEDURES'.

For licensing inquiries, please contact partnerships@abcam.com